|
|

Gonioscopy of Blood in the Angle1084 viewsYoung female who has a history of uveitis, glaucoma and juvenile rheumatoid arthritis. VA is hand motion in the left eye. Pigment changes with some blood in the anterior chamber seen here on Gonioscopy.
|
|

Retinal Artery Occlusion1084 viewsPatient comes in for eval on artery occlusions in both eyes. VA is 20/400, right eye and NLP, left eye. Fundus photos show paniretinal scars in the right eye with arterial narrowing and the left eye has arterial narrowing as well.
|
|

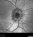
Optic Nerve Drusen - - Nerve Fiber Layer Scan1083 views72-year-old woman has had optic nerve drusen for sometime and has visual field abnormalities. OD 20/32, OS 20/32.
|
|

Optic Nerve Hypoplasia1083 views28-year-old man with diabetes and anomalous vessels near nerve. OD is 20/25, OS is 20/20. IOP: OD 20, OS 22.
OD: Vertical C/D ratio is 0.0. The nerve is tilted and small and there is an anomalous branching pattern of the major retinal vessels. There is a tuft of irregular telangiectatic vessels on the nasal edge of the optic nerve. There is also a buried optic nerve druse at the optic margin at 5:00 o’clock. There are rare retinal hemorrhages in the macula.
OS: Vertical C/D ratio is 0.0. Again, the nerve looks small. There is an anomalous branching pattern of the retinal vessels and rare retinal hemorrhages.
|
|

Retinal Pigment Epithelial Dysgenesis1081 views
|
|

Toxoplasmosis Macular Scar (acquired not congenital) 31 Year Old Man- Recent Vision Change - Creeping Scar1081 views31-year-old man had an episode of toxoplasmosis in the left eye, where unfortunately it adversely affected his central vision that was back in 2004 (7 years ago)
He did notice recently a change in his visual function. He plays softball, he was getting hit by the ball and having trouble seeing and he said that is how he noticed the toxoplasmosis when it first occurred and he was concerned it might have recurred.
OD 20/16, OS 20/80.
|
|

Papilledema - Spectral Domain OCT used for Diagnosis - 14 year old Child1081 views14-year-old was with optic nerve swelling asymptomatic - picked up during routine eye exam. OD 20/20, OS 20/32
SD-OCT is used to differentiate optic disc edema from optic nerve head drusen (which are not yet calcified in children).
|
|

Multifocal Choroiditis and Subretinal Fibrosis - 32 yo Female Macula OS 2 months post rx1079 views32-year-old woman vision loss in the right eye associated with macular scarring and multifocal choroiditis in 1999 with new vision loss in left eye: OD 20/400, OS 20/50.
2 months post-rx with posterior subtenons kenalog and intravitreal avastin - va os 20/30 and lesion has retracted and organized. It never subsequently grew over 2 years follow-up
|
|

Retinitis Pigmentosa - Leber's Congenital Amaurosis - 7 Year Old Child - Left Eye1079 views7-year-old child who trips over things that the other children do not have trouble seeing. She is the only person in the family tree that the mother knows has any vision problems. Vision is 20/20 in each eye
|
|

Acute Posterior Multifocal Placoid Pigment Epitheliopathy - APMPPE - Fluorescein Angiogram1079 views 25-year-old man with one and half weeks ago he woke up with night chills. Also around that time his joints started hurting him. He also has headaches, although the headache at this point is not severe. His vision has been changing for about the last week and a half. He sees some spots in his vision and they are blurred spots. They are not in the central vision.
VISUAL ACUITY: OD 20/32, OS 20/32
|
|

Basal Laminar Drusen - Cuticular Drusen - Equatorial Drusen - 70 Year Old Woman 1078 views70 year old woman has had macular drusen since her thirties and she said her sister has a similar problem. Recently the vision in the left eye has substantially declined. OD 20/16, OS 10/200.
|
|

Macular Hole with Subretinal Hemorrhage Secondary to Ocular Trauma1078 views
|
|

Macular Hole with Peripheral Laser Scars1078 viewsDiabetic patient comes in with flashes and floaters in both eyes. Patient's VA is 20/400, right eye and 20/25, left eye. Fundus exam presents with large macular hole with diabetic changes in the retina. Laser scars in the peripheral.
|
|

Bilateral Diffuse Uveal Melanocytic Proliferation - BDUMP - Paraneoplastic Syndrome1077 views80-year-old man vision loss for one year. He died about one year after these photos from Metastatic Poorly Differentiated Large Cell Carcinoma of unknown primary. He was a smoker.
|
|

360-Degree's Pseudoexfoliation1077 viewsFollow-up on glaucoma. Patient has sever pseudoexfoliation in the right eye. VA is 20/25 with IOP at 27. Patient will return in 6-months for re-evaluation.
|
|

DUSN - Diffuse Unilateral Subacute Neuroretinitis - Nematode1076 views
|
|

AMD - Wet - Fibrovascular Hemorrhagic PED - Occult CNVM1075 views87-year-old woman for one month OS: 20/60 Fibrovascular PED and Hemorrhage
|
|

Central Serous Retinopathy Acute - Indocyanine Green Angiogram - Leakage Choriocapillaris 1075 views42-year-old man was seen in the office on October 5, 2011. He had noticed starting in August after a course of antibiotic and steroids, that he developed new spots in his vision in the right eye. He may have had an episode like this sometime in the past. He did take steroids a few years ago and his vision did change at that time, but then returned.
VISUAL ACUITY: OD 20/32, OS 20/32
|
|

Acute Posterior Multifocal Placoid Pigment Epitheliopathy - APMPPE - Fundus Photo - Color1075 views 25-year-old man with one and half weeks ago he woke up with night chills. Also around that time his joints started hurting him. He also has headaches, although the headache at this point is not severe. His vision has been changing for about the last week and a half. He sees some spots in his vision and they are blurred spots. They are not in the central vision.
VISUAL ACUITY: OD 20/32, OS 20/32
|
|

Macroaneurysm FP1073 viewsMacroaneurysm with Subretinal Hemorrhage and ME in OS of an Elderly Female
|
|

Gonioscopy; Scattered Peripheral Anterior Synechiae1073 viewsPatient comes in for evaluation for glaucoma. Patient also has a history of Uveitis. Last flare up was back in 1990. Patient's VA was 20/30, Right eye and 20/40-1, Left eye. Slit Lamp Gonioscopy reveals iris bow with scattered PAS around the angles of the anterior chamber. You can also see pigmentation in the trabecular meshwork. Patient will follow up in 3-months.
|
|

Myopic Degeneration with RPE Loss1072 viewsPatient comes in for follow up for glaucoma. VA is 20/30 in both eyes. Fundus photography shows the RPE loss due to myopic degeneration, nasally, inferiority in the left eye.
|
|

Adult Vitelliform Macular Dystrophy - Pattern Dystrophy1071 views69-year-old woman sees a dark spot centrally. When she looks at things she loses letters and numbers and is having more and more difficulty balancing her checkbook. OD is 20/80, OS is 20/40
|
|

Low Tension Glaucoma1070 views59-year-old woman has a history of glaucoma dating back to 1990. She had trabeculectomy in the left eye in 1998 and then persisted to lose vision despite normal intraocular pressures from low-tension glaucoma in the left eye. She is now on Cosopt and Travatan in both eyes.
Vision OD is 20/20, OS is 20/16. IOP: OD 9, OS 6.
|
|

Pseudophakic Macula-Off Retinal Detachment with Larger Retinal Tear1070 views68-year-old woman with veil over her vision just the last few days. She had cataract surgery a year ago. OD 20/200 -- One year later vision 20/30!
|
|

Dislocated IOL with Tube Shunt1070 viewsPatient comes in with a dislocated lens in the right eye. Decreased vision in the right eye. Slit lamp photos shows lens dislocated halfway inferior. Ahmed Tube shut is visible at 11-o'clock superiorly in the right eye.
|
|

Patterned Pigment Dystrophy of the Fovea 79 YO Woman VA 20/20 Right 20/30 Left1069 views
|
|

1069 views
|
|

Retinal Tear Before Laser1068 views65-year-old woman new onset floaters for 1 week. She initially saw flashing lights and then the flashing lights subsided and then she had the floaters VISUAL ACUITY: OD 20/25, OS 20/50
|
|

Malignant Hypertension - Cotton Wool Spots - Elschnig Spots - Optic Nerve Edema 1068 views6 week fu - CWS are Fading
|
|

Acute Zonal Occult Outer Retinopathy1067 views45-year-old man noticed a few years ago peripheral vision blurriness in the left eye and also some central vision loss. Previous to that, as far as he knows, the two eyes were okay.
VISUAL ACUITY: OD: 20/20; OS: 20/40.
|
|

Glaucoma (also Diabetes and Previous Retinal Detachment both Eyes)1067 views84-year-old man has had retinal detachment repairs in both eyes. He also has advanced optic atrophy. He also has had diabetes for thirty five years. OD 20/30, OS 20/40
|
|

Fuch's heterochromic iridocyclitis - inflammed blue eye1065 views46-year-old man has had blurred vision in the left eye for the last two years. He had cataract surgery in that eye eight years ago. He has also had a lot of floaters in the left eye for several years. His left eye is blue and his right eye is brown. OD 20/16, OS 20/50.
|
|

Juxtafoveal Telangiectasis - MacTel - Group 2a - Stage IV - Pigment Plaque 89 Year Old Man1064 views89-year-old man has stage IV juxtafoveal retinal telangiectasis in both eyes with background diabetic retinopathy. His vision is stable since he was here last which is about 6 months ago. OD 20/50, OS 20/70.
|
|

Central Retinal Artery Occlusion with Cilioretinal Sparing - Acute - SD-OCT Line Scan Inner retinal edema1063 views 77-year-old man was doing fine until midnight of last night when he noticed sudden severe vision loss in the left eye. VISUAL ACUITY: OD 20/20, OS 2/200.
|
|

Acute Posterior Multifocal Placoid Pigment Epitheliopathy - APMPPE - Sequential color photos show progression1063 viewsVision in right eye dropped to 5/200 by the last photo.
|
|

PDR OS with NVE1062 views57-year-old man has diabetic retinopathy in both eyes.
Diabetic for 14 years with HgB A1C often over 10.
VISUAL ACUITY: OD 20/30, OS 20/40. PDR OS BDR OD
|
|

Glaucomatous optic nerve with severe cupping1062 views
|
|

Equatorial Drusen Fundus Photo Right Eye1061 views
|
|

Amelanotic Choroidal Nevus 1061 views45-year-old man OD 20/20, OS 20/20. 5x5 mm flat, yellow choroidal lesion just inferonasal to the optic nerve, two disc-diameters from the nerve with scalloped edges. It looks like a confluent drusen, but it is not elevated.
|
|

Diabetic Macular Edema and Hypertensive Retinopathy - Circinate Exudate (Ring Exudate) 1061 views55-year-old woman diabetic for fifteen years and high blood pressure, especially over the last few months. She has had problems with nosebleeds, headaches, and there has been some difficulty bringing her blood pressure down. She said now the blood pressure is under control but it was running 220/120 mmHg for some time. Her vision in the right eye has been poor for four weeks with a spot in the central vision and both eyes have been blurred.
VISUAL ACUITY: Vision OD is 20/160, OS is 20/60
|
|

Crystalline retinopathy associated with chronic retinal detachment (Macular Crystals)1060 views54-year-old man with an asymptomatic chronic inferotemporal retinal detachment (10 years old) OD 20/25, OS 20/30
|
|

Central Serous Retinopathy Acute - Fundus Autofluorescence1060 views42-year-old man was seen in the office on October 5, 2011. He had noticed starting in August after a course of antibiotic and steroids, that he developed new spots in his vision in the right eye. He may have had an episode like this sometime in the past. He did take steroids a few years ago and his vision did change at that time, but then returned.
VISUAL ACUITY: OD 20/32, OS 20/32
|
|

Angioid Streaks - Peau D'Orange - Pseudoxanthoma Elasticum - Asymptomatic Extrafoveal Choroidal Neovascular Membrane1060 views60-year-old woman has pseudoxanthoma elasticum since 2008. Her sister has the same problem and lost vision in both eyes. She had a problem with blood vessel growth in the left eye for which she had injections of Avastin in August, September, and October of 2011 (5 months ago). Subsequent to that, the macula has been dry and you have just been watching her carefully. She is in Florida for a short time but will ultimately be spending nine months out of the year here. Both of her eyes have good vision at
|
|

Gonioscopy; Scattered Peripheral Anterior Synechiae1059 viewsPatient comes in for evaluation for glaucoma. Patient also has a history of Uveitis. Last flare up was back in 1990. Patient's VA was 20/30, Right eye and 20/40-1, Left eye. Slit Lamp Gonioscopy reveals iris bow with scattered PAS around the angles of the anterior chamber. You can also see pigmentation in the trabecular meshwork. Patient will follow up in 3-months.
|
|

A case of DUSN-21058 views
|
|

Subretinal Perfluoro-n-octane Droplets - Color1057 viewsSubretinal Perfluoro-n-octane droplets
|
|

50 Year Old woman with Congenital Retinal Vascular Tortuosity - Normal Vision1057 views
|
|

AMD - Wet - Fibrovascular Hemorrhagic PED - Occult CNVM1056 views87-year-old woman for one month OS: 20/60 Fibrovascular PED and Hemorrhage
|
|

Toxocariasis1056 views15-year-old one year ago had pink eye then her vision has been abnormal. She recently went for a drivers’ test and failed, OD: 20/80; OS: 20/20.
|
|

AVM1056 viewsFP of AVM in OS of a 48 yr old female.
|
|

Subluxed IOL with TID1055 viewsPatient comes in with blurred vision in the left eye. Slit lamp exam shows dislocated IOL, inferior, left eye. PXF material on the implant inferiorly.
|
|

Melanoma - Large Ciliary Body Photo shows tumor visible through the pupil1054 views
|
|

Cone Rod Dystrophy1054 viewsCone Rod Dystrophy in OD of seven year old girl
|
|

Pseudoxanthoma Elasticum with Angioid Streaks1054 viewsYoung female patient who comes in for routine eye exam, VA 20/20 in both eyes. Fundus photos shows a Peu'd orange appearance in the periphery of the retina and angioid streaks around the optic nerve.
|
|

Gonioscopy, Mass in the Angle of Anterior Chamber1053 viewsSlit Lamp and goinoscopy photos show a mass at 7-o'clock i the right eye. The mass extends beneath the iris behind the lens.
|
|

Best Disease, Vitelliform Macular Dystrophy - 6 year old child1052 viewsVISUAL ACUITY: Vision OD is 20/30, OS is 20/100.
|
|

Hemi Central Retinal Vein Occlusion 35 year old non-compliant man1052 views35-year-old man hazy vision in his left eye for about the last three days. OD 20/20, OS 20/30
|
|

Retinitis Pigmentosa1052 viewsRetinitis Pigmentosa
|
|

Silicone Oil in the Anterior Chamber1052 viewsPatient comes in for second opinion for retinal detachment in the left eye. VA is hand motion in the left eye. Poor view to look into the retina. Small silicone bubble at 12 o'clock superior in the anterior chamber. Surgery was not recommended due to the silicone oil in the left eye.
|
|

Macular Scars - Laser (1980s) Ocular Histoplasmosis1051 views70 year old man who had laser at Wills, Wilmer and the Mayo clinic before better therapies were available for ocular histoplasmosis related CNVM
|
|

Acute Posterior Multifocal Placoid Pigment Epitheliopathy - APMPPE - Fundus Autofluorescence1051 views 25-year-old man with one and half weeks ago he woke up with night chills. Also around that time his joints started hurting him. He also has headaches, although the headache at this point is not severe. His vision has been changing for about the last week and a half. He sees some spots in his vision and they are blurred spots. They are not in the central vision.
VISUAL ACUITY: OD 20/32, OS 20/32
|
|

Radioactive Plaque Placement for Choroidal Melanoma Radioactive Plaque Placement for Choroidal Melanoma 1050 views
|
|

80 year old woman with Reticular Drusen (pseudodrusen) 20/30 Vision1048 views80 year old woman with asteroid hyalosis and macular degeneration.
OPHTHALMIC EXAMINATION: Visual acuity with correction 20/30-3 OD and 20/30-2
|
|

Papilledema - Spectral Domain OCT used for Diagnosis - 14 year old Child - IR Photo1048 views14-year-old was with optic nerve swelling asymptomatic - picked up during routine eye exam. OD 20/20, OS 20/32
SD-OCT is used to differentiate optic disc edema from optic nerve head drusen (which are not yet calcified in children).
|
|

Optic Nerve (Disc) Drusen - Spectral Domain Optical Coherence Tomography Line Scan1048 views34 Year Old woman no headaches normal vision
|
|

Optic Nerve Drusen in 7 Year Old Child - Miminal Calcification1046 views7-year-old child difficulty seeing the blackboard in school. She was checked for glasses and it was noted at that time that she had unusual looking optic nerves. Vision OU is 20/50.
|
|

Optic Nerve Drusen - - Fundus Autofluorescence - FAF1046 views72-year-old woman has had optic nerve drusen for sometime and has visual field abnormalities. OD 20/32, OS 20/32.
|
|

Peripheral Bullous Retinoschisis Spectral Domain Optical Coherence Tomography (SD-OCT)1046 views64-year-old man with peripheral retinal problem noted during comprehensive eye examination. OD 20/32, OS 20/25
|
|

Stage 2 Macular Hole with 20/70 Vision1045 views57-year-old woman blurred central vision in the right eye for about two to three weeks. OD 20/70
|
|

Corneal Foreign Body 1044 viewsPatient complains of foreign body sensation in the right eye. Slit lamp photos shows a piece of glass metal embedded into the inferior part of the cornea at 7-o'clock in the right eye. Foreign body was removed.
|
|

hypertension retinopathy w/ disc edema and CRVO1043 views64 year old white male w/ a vision of 20/200 which eventually improved to 20/60 without treatment
|
|

HD Grayscale OCT of Central Serous Retinopathy1043 views
|
|

Central Retinal Vein Occlusion with Disc Collaterals1043 views
|
|

Metastatic Choroidal Lesion1043 viewsYoung female with choroidal lesion with subretinal fluid in the left eye. VA is finger count in the left eye.
|
|

Radioactive Plaque Placement for Choroidal Melanoma Plaque Sutured to Globe1042 views
|
|

69 Year Old Woman Normal Fundus Photograph1042 views69-year-old woman OD 20/50 - OS 20/30 ATYPICAL PHOTOPSIAS
|
|

CHRPE - Congenital Hypertrophy of the Pigment Epithelium - Peripheral1042 views55-year-old woman OD 20/30, OS 20/25
|
|

Steel Dart Perforating Injury - 15 year old - 3 weeks post-injury Vision 20/4001041 views15-year-old injured in his left eye with a steel dart. The dart entered superiorly at the pars plana and his vision is clearing as the blood absorbs.
VISUAL ACUITY: OD 20/20, OS 20/400.
|
|

Posterior Staphyloma and Geographic Atrophy Myopic Degeneration1039 views54-year-old man . He is a high myope. He has posterior staphylomas. He has had gradually changing vision for the last month or two. OD is 20/40, OS is 20/50.
|
|

Acute Zonal Occult Outer Retinopathy1038 views45-year-old man noticed a few years ago peripheral vision blurriness in the left eye and also some central vision loss. Previous to that, as far as he knows, the two eyes were okay.
VISUAL ACUITY: OD: 20/20; OS: 20/40.
|
|

Toxoplasmosis Macular Scar (acquired not congenital) 31 Year Old Man- Recent Vision Change - Creeping Scar1038 views31-year-old man had an episode of toxoplasmosis in the left eye, where unfortunately it adversely affected his central vision that was back in 2004 (7 years ago)
He did notice recently a change in his visual function. He plays softball, he was getting hit by the ball and having trouble seeing and he said that is how he noticed the toxoplasmosis when it first occurred and he was concerned it might have recurred.
OD 20/16, OS 20/80.
|
|

Atypical Birdshot Chorioretinitis and Retinal Arterial Macroaneurysm Right Eye - HLA-B29 Positive1037 views55-year-old woman has multifocal choroiditis in both eyes because she was HLA A-29 positive. She has presumptive birdshot chorioretinopathy. She has not noticed any vision changes. OD 20/40, OS 20/20.
|
|

Glaucoma (also Diabetes and Previous Retinal Detachment both Eyes)1037 views84-year-old man has had retinal detachment repairs in both eyes. He also has advanced optic atrophy. He also has had diabetes for thirty five years. OD 20/30, OS 20/40
|
|

1037 viewsPHPV - Left eye - optic nerve
|
|

CNV secondary to Angioid Streaks, PXE1037 views
|
|

MEWDS1036 viewsMultiple evanescent white dot syndrome (MEWDS) with classic "wreath pattern" and early optic nerve hyper fluorescence during the arterial phase of the fluorescein angiogram.
|
|

Hemicentral Retinal Vein Occlusion Vision 20/60 1035 views84-year-old man has a hemicentral retinal vein occlusion in the right eye. His vision has declined since then.
VISUAL ACUITY: Vision OD is 20/60.
|
|

Fundus Photograph - Enhanced S Cone Syndrome - Goldmann Favre - 1035 views55-year-old woman while in college her vision was poor even with glasses and she sought evaluation for that. She was told after she had an electroretinogram at USF 15 years ago, that she had something with her blue cones. She does have poor night vision, but her reading vision is pretty good.
VISUAL ACUITY: OD 20/40, OS 20/40
|
|

Occult Maculopathy - Thin Fovea on OCT and Normal Color VA, Photos, FA VA 20/80 OU1034 views45-year-old man his mother and his maternal grandmother each had vision loss at a relatively young age. OCT MAP shows foveal thinning.
|
|

Retinocytoma - Retinoma - Regressed Retinoblastoma 43 year old male incidental finding 1034 views
|
|

Optic Neuritis with Suspected Harada's Disease 1034 viewsYoung female patient comes in with red and irritated eyes which were sensitive to the touch. Patient also had vision loss in both eyes. VA was 20/80, right eye, 20/60, left eye. Fundiscopic exam shows sub retinal fluid in the right eye surrounding the optic nerve. Patient will start steroid therapy to reduce any other inflammation that is active.
|
|

Fundus Autofluorescence - Enhanced S Cone Syndrome - Goldmann Favre - 1033 views55-year-old woman while in college her vision was poor even with glasses and she sought evaluation for that. She was told after she had an electroretinogram at USF 15 years ago, that she had something with her blue cones. She does have poor night vision, but her reading vision is pretty good.
VISUAL ACUITY: OD 20/40, OS 20/40
|
|

Acute Multifocal Vitelliform Exudative Maculopathy Left Eye1033 views41 yr old male with decreased central vision 10 days OU
|
|

Retinal Detachment - Treated Horseshoe Tear on segmental buckle1033 viewssegmental buckle
|
|

Gonioscopy, Pigment Dispersion Syndrome1033 viewsPatient comes in with elevated pressures. Goinoscopy shows heavy pigment dusted off the iris into the trabecular meshwork. Laser procedure was done to break up the pigment for more aqueous flow.
|
|

Radioactive Plaque Placement for Choroidal Melanoma Eye After Surgery with Conjunctiva Closed1032 views
|
|

Group 2a Juxtafoveal Telangiectasis - MacTel - Idiopathic Juxtafoveal Macular Telangiectasia - Macular Hole1032 views80-year-old man has juxtafoveal retinal telangiectasis in both eyes. He also has a true full-thickness macular hole in the left eye. The vision OD is 20/40, OS is 20/160
Group 2a Juxtafoveal Retinal Telangiectasis (telangiectasia), MacTel
|
|

Macular Scar with Retinal Pigment Epithelial Hyperplasia - Hyperpigmentation - Wet Macular Degeneration1032 viewsMacular Scar in age related macular degeneration with pathology showing retinal pigment epithelial hyperplasia at the edge of the scar. Histopathogy, microscopic slide, pathology.
|
|

Peripapillary Choroidal Nevus1032 views37-year-old woman was seen in the office on July 27, 2011. She has photographs from 2009 and 2010 showing a peripapillary choroidal nevus in the right eye. VISUAL ACUITY: OD 20/20
|
|
| 17965 files on 180 page(s) |
 |
 |
 |
 |
 |
7 |  |
 |
 |
 |
|