|
|

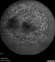
Traumatic Peripapillary Subretinal Hemorrhage1 views16 year old hit in eye with finger during basketball. Vision is 20/25 and there is a peripapillary hemorrhage.Apr 13, 2026
|
|

Traumatic Peripapillary Subretinal Hemorrhage1 views16 year old hit in eye with finger during basketball. Vision is 20/25 and there is a peripapillary hemorrhage.Apr 13, 2026
|
|

Traumatic Peripapillary Subretinal Hemorrhage2 views16 year old hit in eye with finger during basketball. Vision is 20/25 and there is a peripapillary hemorrhage.Apr 13, 2026
|
|

Traumatic Peripapillary Subretinal Hemorrhage2 views16 year old hit in eye with finger during basketball. Vision is 20/25 and there is a peripapillary hemorrhage.Apr 13, 2026
|
|

Traumatic Peripapillary Subretinal Hemorrhage2 views16 year old hit in eye with finger during basketball. Vision is 20/25 and there is a peripapillary hemorrhage.Apr 13, 2026
|
|

Traumatic Peripapillary Subretinal Hemorrhage2 views16 year old hit in eye with finger during basketball. Vision is 20/25 and there is a peripapillary hemorrhage.Apr 13, 2026
|
|

Traumatic Peripapillary Subretinal Hemorrhage2 views16 year old hit in eye with finger during basketball. Vision is 20/25 and there is a peripapillary hemorrhage.Apr 13, 2026
|
|

Traumatic Peripapillary Subretinal Hemorrhage2 views16 year old hit in eye with finger during basketball. Vision is 20/25 and there is a peripapillary hemorrhage.Apr 13, 2026
|
|

Traumatic Peripapillary Subretinal Hemorrhage2 views16 year old hit in eye with finger during basketball. Vision is 20/25 and there is a peripapillary hemorrhage.Apr 13, 2026
|
|

Traumatic Peripapillary Subretinal Hemorrhage2 views16 year old hit in eye with finger during basketball. Vision is 20/25 and there is a peripapillary hemorrhage.Apr 13, 2026
|
|

Traumatic Peripapillary Subretinal Hemorrhage2 views16 year old hit in eye with finger during basketball. Vision is 20/25 and there is a peripapillary hemorrhage.Apr 13, 2026
|
|

Traumatic Peripapillary Subretinal Hemorrhage2 views16 year old hit in eye with finger during basketball. Vision is 20/25 and there is a peripapillary hemorrhage.Apr 13, 2026
|
|

Traumatic Peripapillary Subretinal Hemorrhage1 views16 year old hit in eye with finger during basketball. Vision is 20/25 and there is a peripapillary hemorrhage.Apr 13, 2026
|
|

Traumatic Peripapillary Subretinal Hemorrhage2 views16 year old hit in eye with finger during basketball. Vision is 20/25 and there is a peripapillary hemorrhage.Apr 13, 2026
|
|

Traumatic Peripapillary Subretinal Hemorrhage1 views16 year old hit in eye with finger during basketball. Vision is 20/25 and there is a peripapillary hemorrhage.Apr 13, 2026
|
|

Traumatic Peripapillary Subretinal Hemorrhage1 views16 year old hit in eye with finger during basketball. Vision is 20/25 and there is a peripapillary hemorrhage.Apr 13, 2026
|
|

Traumatic Peripapillary Subretinal Hemorrhage1 views16 year old hit in eye with finger during basketball. Vision is 20/25 and there is a peripapillary hemorrhage.Apr 13, 2026
|
|

Traumatic Peripapillary Subretinal Hemorrhage1 views16 year old hit in eye with finger during basketball. Vision is 20/25 and there is a peripapillary hemorrhage.Apr 13, 2026
|
|

Traumatic Peripapillary Subretinal Hemorrhage2 views16 year old hit in eye with finger during basketball. Vision is 20/25 and there is a peripapillary hemorrhage.Apr 13, 2026
|
|

Staphyloma and Atrophy with Vitreoretinal traction2 viewsOnly eye of patient with Albinism and decreasing vision now 5/200 in this 72 year old man. There is myopic tractional maculopathy. The patient also has albinism by history.Apr 13, 2026
|
|

Staphyloma and Atrophy with Vitreoretinal traction2 viewsOnly eye of patient with Albinism and decreasing vision now 5/200 in this 72 year old man. There is myopic tractional maculopathy. The patient also has albinism by history.Apr 13, 2026
|
|

Staphyloma and Atrophy with Vitreoretinal traction2 viewsOnly eye of patient with Albinism and decreasing vision now 5/200 in this 72 year old man. There is myopic tractional maculopathy. The patient also has albinism by history.Apr 13, 2026
|
|

Chronic macula-splitting demarcated retinal detachment3 views35 year old female with 20/25 vision and noticing something wrong with the superior vision in the right eye for a long time.Apr 13, 2026
|
|

Chronic macula-splitting demarcated retinal detachment1 views35 year old female with 20/25 vision and noticing something wrong with the superior vision in the right eye for a long time.Apr 13, 2026
|
|

Chronic macula-splitting demarcated retinal detachment2 views35 year old female with 20/25 vision and noticing something wrong with the superior vision in the right eye for a long time.Apr 13, 2026
|
|

Chronic macula-splitting demarcated retinal detachment1 views35 year old female with 20/25 vision and noticing something wrong with the superior vision in the right eye for a long time.Apr 13, 2026
|
|

Chronic macula-splitting demarcated retinal detachment1 views35 year old female with 20/25 vision and noticing something wrong with the superior vision in the right eye for a long time.Apr 13, 2026
|
|

Chronic macula-splitting demarcated retinal detachment1 views35 year old female with 20/25 vision and noticing something wrong with the superior vision in the right eye for a long time.Apr 13, 2026
|
|

Acute Retinal Pigment Epitheliitis (Krills disease)2 views15 year old with sudden central vision loss in one eye. The vision loss persisted though for at least 6 months (which may be a laser injury)Apr 13, 2026
|
|

Acute Retinal Pigment Epitheliitis (Krills disease)1 views15 year old with sudden central vision loss in one eye. The vision loss persisted though for at least 6 months (which may be a laser injury)Apr 13, 2026
|
|

Acute Retinal Pigment Epitheliitis (Krills disease)1 views15 year old with sudden central vision loss in one eye. The vision loss persisted though for at least 6 months (which may be a laser injury)Apr 13, 2026
|
|

Acute Retinal Pigment Epitheliitis (Krills disease)1 views15 year old with sudden central vision loss in one eye. The vision loss persisted though for at least 6 months (which may be a laser injury)Apr 13, 2026
|
|

Acute Retinal Pigment Epitheliitis (Krills disease)1 views15 year old with sudden central vision loss in one eye. The vision loss persisted though for at least 6 months (which may be a laser injury)Apr 13, 2026
|
|

Acute Retinal Pigment Epitheliitis (Krills disease)1 views15 year old with sudden central vision loss in one eye. The vision loss persisted though for at least 6 months (which may be a laser injury)Apr 13, 2026
|
|

Acute Retinal Pigment Epitheliitis (Krills disease)1 views15 year old with sudden central vision loss in one eye. The vision loss persisted though for at least 6 months (which may be a laser injury)Apr 13, 2026
|
|

Acute Retinal Pigment Epitheliitis (Krills disease)1 views15 year old with sudden central vision loss in one eye. The vision loss persisted though for at least 6 months (which may be a laser injury)Apr 13, 2026
|
|

Acute Retinal Pigment Epitheliitis (Krills disease)1 views15 year old with sudden central vision loss in one eye. The vision loss persisted though for at least 6 months (which may be a laser injury)Apr 13, 2026
|
|

Acute Retinal Pigment Epitheliitis (Krills disease)1 views15 year old with sudden central vision loss in one eye. The vision loss persisted though for at least 6 months (which may be a laser injury)Apr 13, 2026
|
|

Acute Retinal Pigment Epitheliitis (Krills disease)1 views15 year old with sudden central vision loss in one eye. The vision loss persisted though for at least 6 months (which may be a laser injury)Apr 13, 2026
|
|

Acute Retinal Pigment Epitheliitis (Krills disease)1 views15 year old with sudden central vision loss in one eye. The vision loss persisted though for at least 6 months (which may be a laser injury)Apr 13, 2026
|
|

Acute Retinal Pigment Epitheliitis (Krills disease)1 views15 year old with sudden central vision loss in one eye. The vision loss persisted though for at least 6 months (which may be a laser injury)Apr 13, 2026
|
|

Acute Retinal Pigment Epitheliitis (Krills disease)1 views15 year old with sudden central vision loss in one eye. The vision loss persisted though for at least 6 months (which may be a laser injury)Apr 13, 2026
|
|

Acute Retinal Pigment Epitheliitis (Krills disease)1 views15 year old with sudden central vision loss in one eye. The vision loss persisted though for at least 6 months (which may be a laser injury)Apr 13, 2026
|
|

Acute Retinal Pigment Epitheliitis (Krills disease)1 views15 year old with sudden central vision loss in one eye. The vision loss persisted though for at least 6 months (which may be a laser injury)Apr 13, 2026
|
|

Acute Retinal Pigment Epitheliitis (Krills disease)1 views15 year old with sudden central vision loss in one eye. The vision loss persisted though for at least 6 months (which may be a laser injury)Apr 13, 2026
|
|

Acute Retinal Pigment Epitheliitis (Krills disease)1 views15 year old with sudden central vision loss in one eye. The vision loss persisted though for at least 6 months (which may be a laser injury)Apr 13, 2026
|
|

Acute Retinal Pigment Epitheliitis (Krills disease)1 views15 year old with sudden central vision loss in one eye. The vision loss persisted though for at least 6 months (which may be a laser injury)Apr 13, 2026
|
|

Acute Retinal Pigment Epitheliitis (Krills disease)1 views15 year old with sudden central vision loss in one eye. The vision loss persisted though for at least 6 months (which may be a laser injury)Apr 13, 2026
|
|

Acute Retinal Pigment Epitheliitis (Krills disease)1 views15 year old with sudden central vision loss in one eye. The vision loss persisted though for at least 6 months (which may be a laser injury)Apr 13, 2026
|
|

Acute Retinal Pigment Epitheliitis (Krills disease)1 views15 year old with sudden central vision loss in one eye. The vision loss persisted though for at least 6 months (which may be a laser injury)Apr 13, 2026
|
|

Acute Retinal Pigment Epitheliitis (Krills disease)1 views15 year old with sudden central vision loss in one eye. The vision loss persisted though for at least 6 months (which may be a laser injury)Apr 13, 2026
|
|

Acute Retinal Pigment Epitheliitis (Krills disease)1 views15 year old with sudden central vision loss in one eye. The vision loss persisted though for at least 6 months (which may be a laser injury)Apr 13, 2026
|
|

Acute Retinal Pigment Epitheliitis (Krills disease)1 views15 year old with sudden central vision loss in one eye. The vision loss persisted though for at least 6 months (which may be a laser injury)Apr 13, 2026
|
|

Acute Retinal Pigment Epitheliitis (Krills disease)1 views15 year old with sudden central vision loss in one eye. The vision loss persisted though for at least 6 months (which may be a laser injury)Apr 13, 2026
|
|

Acute Retinal Pigment Epitheliitis (Krills disease)1 views15 year old with sudden central vision loss in one eye. The vision loss persisted though for at least 6 months (which may be a laser injury)Apr 13, 2026
|
|

Acute Retinal Pigment Epitheliitis (Krills disease)1 views15 year old with sudden central vision loss in one eye. The vision loss persisted though for at least 6 months (which may be a laser injury)Apr 13, 2026
|
|

Acute Retinal Pigment Epitheliitis (Krills disease)2 views15 year old with sudden central vision loss in one eye. The vision loss persisted though for at least 6 months (which may be a laser injury)Apr 13, 2026
|
|

Elmiron (pentasosan polysulfate) Macular Toxicity104 views77 year old female who had been on Elmiron for 20 years and stopped it 2 years agoMar 15, 2026
|
|

Elmiron (pentasosan polysulfate) Macular Toxicity89 views77 year old female who had been on Elmiron for 20 years and stopped it 2 years agoMar 15, 2026
|
|

Elmiron (pentasosan polysulfate) Macular Toxicity89 views77 year old female who had been on Elmiron for 20 years and stopped it 2 years agoMar 15, 2026
|
|

Elmiron (pentasosan polysulfate) Macular Toxicity35 views77 year old female who had been on Elmiron for 20 years and stopped it 2 years agoMar 15, 2026
|
|

Elmiron (pentasosan polysulfate) Macular Toxicity41 views77 year old female who had been on Elmiron for 20 years and stopped it 2 years agoMar 15, 2026
|
|

Elmiron (pentasosan polysulfate) Macular Toxicity45 views77 year old female who had been on Elmiron for 20 years and stopped it 2 years agoMar 15, 2026
|
|

Elmiron (pentasosan polysulfate) Macular Toxicity41 views77 year old female who had been on Elmiron for 20 years and stopped it 2 years agoMar 15, 2026
|
|

Elmiron (pentasosan polysulfate) Macular Toxicity46 views77 year old female who had been on Elmiron for 20 years and stopped it 2 years agoMar 15, 2026
|
|

Elmiron (pentasosan polysulfate) Macular Toxicity38 views77 year old female who had been on Elmiron for 20 years and stopped it 2 years agoMar 15, 2026
|
|

Elmiron (pentasosan polysulfate) Macular Toxicity37 views77 year old female who had been on Elmiron for 20 years and stopped it 2 years agoMar 15, 2026
|
|

Elmiron (pentasosan polysulfate) Macular Toxicity36 views77 year old female who had been on Elmiron for 20 years and stopped it 2 years agoMar 15, 2026
|
|

Elmiron (pentasosan polysulfate) Macular Toxicity40 views77 year old female who had been on Elmiron for 20 years and stopped it 2 years agoMar 15, 2026
|
|

Elmiron (pentasosan polysulfate) Macular Toxicity45 views77 year old female who had been on Elmiron for 20 years and stopped it 2 years agoMar 15, 2026
|
|

Elmiron (pentasosan polysulfate) Macular Toxicity46 views77 year old female who had been on Elmiron for 20 years and stopped it 2 years agoMar 15, 2026
|
|

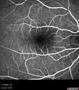
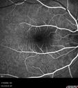
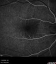
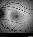
Mild Cone Dystrophy - CRX Mutation26 views65 year old female with minimal symptoms and a mild cone dystrophy.Mar 15, 2026
|
|

Mild Cone Dystrophy - CRX Mutation30 views65 year old female with minimal symptoms and a mild cone dystrophy.Mar 15, 2026
|
|

Mild Cone Dystrophy - CRX Mutation24 views65 year old female with minimal symptoms and a mild cone dystrophy.Mar 15, 2026
|
|

Mild Cone Dystrophy - CRX Mutation31 views65 year old female with minimal symptoms and a mild cone dystrophy.Mar 15, 2026
|
|

Mild Cone Dystrophy - CRX Mutation25 views65 year old female with minimal symptoms and a mild cone dystrophy.Mar 15, 2026
|
|

Mild Cone Dystrophy - CRX Mutation29 views65 year old female with minimal symptoms and a mild cone dystrophy.Mar 15, 2026
|
|

Mild Cone Dystrophy - CRX Mutation35 views65 year old female with minimal symptoms and a mild cone dystrophy.Mar 15, 2026
|
|

Mild Cone Dystrophy - CRX Mutation31 views65 year old female with minimal symptoms and a mild cone dystrophy.Mar 15, 2026
|
|

Mild Cone Dystrophy - CRX Mutation21 views65 year old female with minimal symptoms and a mild cone dystrophy.Mar 15, 2026
|
|

Mild Cone Dystrophy - CRX Mutation23 views65 year old female with minimal symptoms and a mild cone dystrophy.Mar 15, 2026
|
|

Mild Cone Dystrophy - CRX Mutation23 views65 year old female with minimal symptoms and a mild cone dystrophy.Mar 15, 2026
|
|

Mild Cone Dystrophy - CRX Mutation25 views65 year old female with minimal symptoms and a mild cone dystrophy.Mar 15, 2026
|
|

Mild Cone Dystrophy - CRX Mutation21 views65 year old female with minimal symptoms and a mild cone dystrophy.Mar 15, 2026
|
|

Mild Cone Dystrophy - CRX Mutation22 views65 year old female with minimal symptoms and a mild cone dystrophy.Mar 15, 2026
|
|

Mild Cone Dystrophy - CRX Mutation26 views65 year old female with minimal symptoms and a mild cone dystrophy.Mar 15, 2026
|
|

Mild Cone Dystrophy - CRX Mutation27 views65 year old female with minimal symptoms and a mild cone dystrophy.Mar 15, 2026
|
|

Mild Cone Dystrophy - CRX Mutation26 views65 year old female with minimal symptoms and a mild cone dystrophy.Mar 15, 2026
|
|

Mild Cone Dystrophy - CRX Mutation23 views65 year old female with minimal symptoms and a mild cone dystrophy.Mar 15, 2026
|
|

Mild Cone Dystrophy - CRX Mutation24 views65 year old female with minimal symptoms and a mild cone dystrophy.Mar 15, 2026
|
|

Mild Cone Dystrophy - CRX Mutation33 views65 year old female with minimal symptoms and a mild cone dystrophy.Mar 15, 2026
|
|

Mild Cone Dystrophy - CRX Mutation33 views65 year old female with minimal symptoms and a mild cone dystrophy.Mar 15, 2026
|
|

Mild Cone Dystrophy - CRX Mutation32 views65 year old female with minimal symptoms and a mild cone dystrophy.Mar 15, 2026
|
|

Cotton Wool Spots following cardio-pulmonary bypass27 viewsThe patient had emergency thoracotomy about 3 weeks ago he had an aortic dissection with a root aneurysm. It had dissected down to the iliacs. The patient had a thoracotomy and aortic valve replacement and large aortic graft.Mar 15, 2026
|
|

Cotton Wool Spots following cardio-pulmonary bypass26 viewsThe patient had emergency thoracotomy about 3 weeks ago he had an aortic dissection with a root aneurysm. It had dissected down to the iliacs. The patient had a thoracotomy and aortic valve replacement and large aortic graft.Mar 15, 2026
|
|

Cotton Wool Spots following cardio-pulmonary bypass36 viewsThe patient had emergency thoracotomy about 3 weeks ago he had an aortic dissection with a root aneurysm. It had dissected down to the iliacs. The patient had a thoracotomy and aortic valve replacement and large aortic graft.Mar 15, 2026
|
|

Cotton Wool Spots following cardio-pulmonary bypass28 viewsThe patient had emergency thoracotomy about 3 weeks ago he had an aortic dissection with a root aneurysm. It had dissected down to the iliacs. The patient had a thoracotomy and aortic valve replacement and large aortic graft.Mar 15, 2026
|
|

Cotton Wool Spots following cardio-pulmonary bypass27 viewsThe patient had emergency thoracotomy about 3 weeks ago he had an aortic dissection with a root aneurysm. It had dissected down to the iliacs. The patient had a thoracotomy and aortic valve replacement and large aortic graft.Mar 15, 2026
|
|

Cotton Wool Spots following cardio-pulmonary bypass26 viewsThe patient had emergency thoracotomy about 3 weeks ago he had an aortic dissection with a root aneurysm. It had dissected down to the iliacs. The patient had a thoracotomy and aortic valve replacement and large aortic graft.Mar 15, 2026
|
|

Cotton Wool Spots following cardio-pulmonary bypass26 viewsThe patient had emergency thoracotomy about 3 weeks ago he had an aortic dissection with a root aneurysm. It had dissected down to the iliacs. The patient had a thoracotomy and aortic valve replacement and large aortic graft.Mar 15, 2026
|
|
| 17965 files on 180 page(s) |
1 |
 |
 |
 |
 |
 |
 |
 |
 |
 |
|