|
|

27 year old with migraine - normal imaging33 views
|
|

27 year old with migraine - normal imaging33 views
|
|

Recurrent toxoplasmosis with elevated IOP33 views48 year old man with 4 episodes over 40 years of vision loss from toxoplasmosis. His IOP was 44 on presentation.
|
|

Peripapillary CNVM No Treatment33 views85 year old with peripapillary CNVM watched for many years.
|
|

Peripapillary CNVM No Treatment33 views85 year old with peripapillary CNVM watched for many years.
|
|

Peripapillary CNVM No Treatment33 views85 year old with peripapillary CNVM watched for many years.
|
|

Peripapillary CNVM No Treatment33 views85 year old with peripapillary CNVM watched for many years.
|
|

MacTel with foveal atrophy in both eyes33 views62 year old female with 20/50 OD, 20/40 OS.
|
|

Pattern Dystrophy with Collapsed Vitelliform33 views74 year old female with vision loss in eye with collapsed vitelliform lesion.
|
|

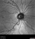
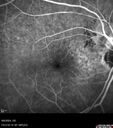
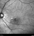
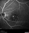
Optic Disc Drusen in a child (non Calcified)33 viewsFluorescein angiography shows no leakage
|
|

Mild Cone Dystrophy - CRX Mutation33 views65 year old female with minimal symptoms and a mild cone dystrophy.
|
|

Mild Cone Dystrophy - CRX Mutation33 views65 year old female with minimal symptoms and a mild cone dystrophy.
|
|

Mild Cone Dystrophy - CRX Mutation33 views65 year old female with minimal symptoms and a mild cone dystrophy.
|
|

Stable Myopic Tractional Maculopathy32 views73 year old female with mild vision loss from table myopic tractional maculopathy in the left eye
|
|

27 year old with migraine - normal imaging32 views
|
|

Peripapillary CNVM No Treatment32 views85 year old with peripapillary CNVM watched for many years.
|
|

Peripapillary CNVM No Treatment32 views85 year old with peripapillary CNVM watched for many years.
|
|

Pattern Dystrophy with Collapsed Vitelliform32 views74 year old female with vision loss in eye with collapsed vitelliform lesion.
|
|

Conversion to Wet AMD after Izervay32 views83 year old man whose left eye had minimal GA and converted from dry to wet AMD after a single Izervay treatment
|
|

Cotton Wool Spots following cardio-pulmonary bypass32 viewsThe patient had emergency thoracotomy about 3 weeks ago he had an aortic dissection with a root aneurysm. It had dissected down to the iliacs. The patient had a thoracotomy and aortic valve replacement and large aortic graft.
|
|

27 year old with migraine - normal imaging31 views
|
|

Conversion to Wet AMD after Izervay31 views83 year old man whose left eye had minimal GA and converted from dry to wet AMD after a single Izervay treatment
|
|

Mild Cone Dystrophy - CRX Mutation31 views65 year old female with minimal symptoms and a mild cone dystrophy.
|
|

Mild Cone Dystrophy - CRX Mutation31 views65 year old female with minimal symptoms and a mild cone dystrophy.
|
|

Mild Cone Dystrophy - CRX Mutation31 views65 year old female with minimal symptoms and a mild cone dystrophy.
|
|

Serous Macular Detachment from Small Choroidal Melanoma30 views72 year old female misdiagnosed as CSR who had small choroidal melanoms.
|
|

27 year old with migraine - normal imaging30 views
|
|

Recurrent toxoplasmosis with elevated IOP30 views48 year old man with 4 episodes over 40 years of vision loss from toxoplasmosis. His IOP was 44 on presentation.
|
|

Conversion to Wet AMD after Izervay30 views83 year old man whose left eye had minimal GA and converted from dry to wet AMD after a single Izervay treatment
|
|

Peripapillary CNVM No Treatment29 views85 year old with peripapillary CNVM watched for many years.
|
|

Conversion to Wet AMD after Izervay29 views83 year old man whose left eye had minimal GA and converted from dry to wet AMD after a single Izervay treatment
|
|

Conversion to Wet AMD after Izervay29 views83 year old man whose left eye had minimal GA and converted from dry to wet AMD after a single Izervay treatment
|
|

Cotton Wool Spots following cardio-pulmonary bypass29 viewsThe patient had emergency thoracotomy about 3 weeks ago he had an aortic dissection with a root aneurysm. It had dissected down to the iliacs. The patient had a thoracotomy and aortic valve replacement and large aortic graft.
|
|

Cotton Wool Spots following cardio-pulmonary bypass29 viewsThe patient had emergency thoracotomy about 3 weeks ago he had an aortic dissection with a root aneurysm. It had dissected down to the iliacs. The patient had a thoracotomy and aortic valve replacement and large aortic graft.
|
|

Mild Cone Dystrophy - CRX Mutation29 views65 year old female with minimal symptoms and a mild cone dystrophy.
|
|

Peripapillary CNVM No Treatment28 views85 year old with peripapillary CNVM watched for many years.
|
|

Peripapillary CNVM No Treatment28 views85 year old with peripapillary CNVM watched for many years.
|
|

Peripapillary CNVM No Treatment28 views85 year old with peripapillary CNVM watched for many years.
|
|

MacTel with foveal atrophy in both eyes28 views62 year old female with 20/50 OD, 20/40 OS.
|
|

MacTel with foveal atrophy in both eyes28 views62 year old female with 20/50 OD, 20/40 OS.
|
|

Pattern Dystrophy with Collapsed Vitelliform28 views74 year old female with vision loss in eye with collapsed vitelliform lesion.
|
|

Optic Disc Drusen in a child (non Calcified)28 viewsFluorescein angiography shows no leakage
|
|

Conversion to Wet AMD after Izervay28 views83 year old man whose left eye had minimal GA and converted from dry to wet AMD after a single Izervay treatment
|
|

27 year old with migraine - normal imaging27 views
|
|

Recurrent toxoplasmosis with elevated IOP27 views48 year old man with 4 episodes over 40 years of vision loss from toxoplasmosis. His IOP was 44 on presentation.
|
|

Pattern Dystrophy with Collapsed Vitelliform27 views74 year old female with vision loss in eye with collapsed vitelliform lesion.
|
|

Optic Disc Drusen in a child (non Calcified)27 viewsFluorescein angiography shows no leakage
|
|

Optic Disc Drusen in a child (non Calcified)27 viewsFluorescein angiography shows no leakage
|
|

Conversion to Wet AMD after Izervay27 views83 year old man whose left eye had minimal GA and converted from dry to wet AMD after a single Izervay treatment
|
|

Cotton Wool Spots following cardio-pulmonary bypass27 viewsThe patient had emergency thoracotomy about 3 weeks ago he had an aortic dissection with a root aneurysm. It had dissected down to the iliacs. The patient had a thoracotomy and aortic valve replacement and large aortic graft.
|
|

Cotton Wool Spots following cardio-pulmonary bypass27 viewsThe patient had emergency thoracotomy about 3 weeks ago he had an aortic dissection with a root aneurysm. It had dissected down to the iliacs. The patient had a thoracotomy and aortic valve replacement and large aortic graft.
|
|

Cotton Wool Spots following cardio-pulmonary bypass27 viewsThe patient had emergency thoracotomy about 3 weeks ago he had an aortic dissection with a root aneurysm. It had dissected down to the iliacs. The patient had a thoracotomy and aortic valve replacement and large aortic graft.
|
|

Cotton Wool Spots following cardio-pulmonary bypass27 viewsThe patient had emergency thoracotomy about 3 weeks ago he had an aortic dissection with a root aneurysm. It had dissected down to the iliacs. The patient had a thoracotomy and aortic valve replacement and large aortic graft.
|
|

Mild Cone Dystrophy - CRX Mutation27 views65 year old female with minimal symptoms and a mild cone dystrophy.
|
|

Mild Cone Dystrophy - CRX Mutation27 views65 year old female with minimal symptoms and a mild cone dystrophy.
|
|

Recurrent toxoplasmosis with elevated IOP26 views48 year old man with 4 episodes over 40 years of vision loss from toxoplasmosis. His IOP was 44 on presentation.
|
|

Peripapillary CNVM No Treatment26 views85 year old with peripapillary CNVM watched for many years.
|
|

Peripapillary CNVM No Treatment26 views85 year old with peripapillary CNVM watched for many years.
|
|

Peripapillary CNVM No Treatment26 views85 year old with peripapillary CNVM watched for many years.
|
|

Peripapillary CNVM No Treatment26 views85 year old with peripapillary CNVM watched for many years.
|
|

Optic Disc Drusen in a child (non Calcified)26 viewsFluorescein angiography shows no leakage
|
|

Optic Disc Drusen in a child (non Calcified)26 viewsFluorescein angiography shows no leakage
|
|

Optic Disc Drusen in a child (non Calcified)26 viewsFluorescein angiography shows no leakage
|
|

Conversion to Wet AMD after Izervay26 views83 year old man whose left eye had minimal GA and converted from dry to wet AMD after a single Izervay treatment
|
|

Cotton Wool Spots following cardio-pulmonary bypass26 viewsThe patient had emergency thoracotomy about 3 weeks ago he had an aortic dissection with a root aneurysm. It had dissected down to the iliacs. The patient had a thoracotomy and aortic valve replacement and large aortic graft.
|
|

Cotton Wool Spots following cardio-pulmonary bypass26 viewsThe patient had emergency thoracotomy about 3 weeks ago he had an aortic dissection with a root aneurysm. It had dissected down to the iliacs. The patient had a thoracotomy and aortic valve replacement and large aortic graft.
|
|

Cotton Wool Spots following cardio-pulmonary bypass26 viewsThe patient had emergency thoracotomy about 3 weeks ago he had an aortic dissection with a root aneurysm. It had dissected down to the iliacs. The patient had a thoracotomy and aortic valve replacement and large aortic graft.
|
|

Cotton Wool Spots following cardio-pulmonary bypass26 viewsThe patient had emergency thoracotomy about 3 weeks ago he had an aortic dissection with a root aneurysm. It had dissected down to the iliacs. The patient had a thoracotomy and aortic valve replacement and large aortic graft.
|
|

Mild Cone Dystrophy - CRX Mutation26 views65 year old female with minimal symptoms and a mild cone dystrophy.
|
|

Mild Cone Dystrophy - CRX Mutation26 views65 year old female with minimal symptoms and a mild cone dystrophy.
|
|

27 year old with migraine - normal imaging25 views
|
|

Peripapillary CNVM No Treatment25 views85 year old with peripapillary CNVM watched for many years.
|
|

Optic Disc Drusen in a child (non Calcified)25 viewsFluorescein angiography shows no leakage
|
|

Optic Disc Drusen in a child (non Calcified)25 viewsFluorescein angiography shows no leakage
|
|

Conversion to Wet AMD after Izervay25 views83 year old man whose left eye had minimal GA and converted from dry to wet AMD after a single Izervay treatment
|
|

Conversion to Wet AMD after Izervay25 views83 year old man whose left eye had minimal GA and converted from dry to wet AMD after a single Izervay treatment
|
|

Conversion to Wet AMD after Izervay25 views83 year old man whose left eye had minimal GA and converted from dry to wet AMD after a single Izervay treatment
|
|

Mild Cone Dystrophy - CRX Mutation25 views65 year old female with minimal symptoms and a mild cone dystrophy.
|
|

Mild Cone Dystrophy - CRX Mutation25 views65 year old female with minimal symptoms and a mild cone dystrophy.
|
|

Mild Cone Dystrophy - CRX Mutation25 views65 year old female with minimal symptoms and a mild cone dystrophy.
|
|

Peripapillary CNVM No Treatment24 views85 year old with peripapillary CNVM watched for many years.
|
|

Optic Disc Drusen in a child (non Calcified)24 viewsFluorescein angiography shows no leakage
|
|

Optic Disc Drusen in a child (non Calcified)24 viewsFluorescein angiography shows no leakage
|
|

Conversion to Wet AMD after Izervay24 views83 year old man whose left eye had minimal GA and converted from dry to wet AMD after a single Izervay treatment
|
|

Conversion to Wet AMD after Izervay24 views83 year old man whose left eye had minimal GA and converted from dry to wet AMD after a single Izervay treatment
|
|

Conversion to Wet AMD after Izervay24 views83 year old man whose left eye had minimal GA and converted from dry to wet AMD after a single Izervay treatment
|
|

Cotton Wool Spots following cardio-pulmonary bypass24 viewsThe patient had emergency thoracotomy about 3 weeks ago he had an aortic dissection with a root aneurysm. It had dissected down to the iliacs. The patient had a thoracotomy and aortic valve replacement and large aortic graft.
|
|

Mild Cone Dystrophy - CRX Mutation24 views65 year old female with minimal symptoms and a mild cone dystrophy.
|
|

Optic Disc Drusen in a child (non Calcified)23 viewsFluorescein angiography shows no leakage
|
|

Cotton Wool Spots following cardio-pulmonary bypass23 viewsThe patient had emergency thoracotomy about 3 weeks ago he had an aortic dissection with a root aneurysm. It had dissected down to the iliacs. The patient had a thoracotomy and aortic valve replacement and large aortic graft.
|
|

Cotton Wool Spots following cardio-pulmonary bypass23 viewsThe patient had emergency thoracotomy about 3 weeks ago he had an aortic dissection with a root aneurysm. It had dissected down to the iliacs. The patient had a thoracotomy and aortic valve replacement and large aortic graft.
|
|

Mild Cone Dystrophy - CRX Mutation23 views65 year old female with minimal symptoms and a mild cone dystrophy.
|
|

Mild Cone Dystrophy - CRX Mutation23 views65 year old female with minimal symptoms and a mild cone dystrophy.
|
|

Mild Cone Dystrophy - CRX Mutation23 views65 year old female with minimal symptoms and a mild cone dystrophy.
|
|

Peripapillary CNVM No Treatment22 views85 year old with peripapillary CNVM watched for many years.
|
|

Peripapillary CNVM No Treatment22 views85 year old with peripapillary CNVM watched for many years.
|
|

Mild Cone Dystrophy - CRX Mutation22 views65 year old female with minimal symptoms and a mild cone dystrophy.
|
|

Peripapillary CNVM No Treatment21 views85 year old with peripapillary CNVM watched for many years.
|
|

Optic Disc Drusen in a child (non Calcified)21 viewsFluorescein angiography shows no leakage
|
|

Mild Cone Dystrophy - CRX Mutation21 views65 year old female with minimal symptoms and a mild cone dystrophy.
|
|
| 17965 files on 180 page(s) |
 |
 |
 |
 |
 |
 |
 |
 |
 |
179 |
|