|
|

West Nile Virus Multifocal Choroiditis with later CNVM89 views77 year old female with vision loss in the left eye treated with Anti-VEGF
|
|

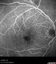
NPDR and Severe macular ischemia sudden vision loss89 views60 year old female with sudden vision loss OD 1 week ago. VA 20/63, 20/200. OCT-A and FA shows severe macular ischemia OU
|
|

Serpiginous choroiditis in the right eye88 views68 year old female with spots in vision in the right eye for 2 months. She has a history of MS. The vision is 20/32 in both eyes. She was treated with high dose steroids and transitioned to methotrexate and the right eye quieted down.
|
|

Laser pointer maculopathy88 views11 year old male When school started the patient noticed that he was having trouble reading and seeing out of both eyes. There are no retinal diseases in the family.
VA OD: sc20/25
VA OS: sc20/40
TP: OD:19 OS:18
The FOBSERD ZK-9318 laser pointer is a long range green beam high power flashlight. It has an average power of 60-90 mw.
You can buy the ZK-9318 laser pointer on Amazon
I also found this:
The FOBSERD ZK-9318 laser pointer is a class III laser with a 532nm wavelength and can be seen up to 1 mile away. It has a maximum power output of 5mW and creates a low-power visible laser beam.
One review on amazon says this:
Powerful
By Savvy Logic in the United States on March 17, 2023
I measured the wattage at about 150 MW on an optical Power Meter
|
|

Paracentral acute middle maculopathy - isolated88 views83 year old man New spot in the vision yesterday left eye.
Medical Hx: Pure Hypercholesterolemia
Systemic Meds: Crestor.
VA OD: Dcc20/20
VA OS: Dcc20/20
IOP: TP: OD:19 OS:10
|
|

Paracentral acute middle maculopathy - isolated88 views83 year old man New spot in the vision yesterday left eye.
Medical Hx: Pure Hypercholesterolemia
Systemic Meds: Crestor.
VA OD: Dcc20/20
VA OS: Dcc20/20
IOP: TP: OD:19 OS:10
|
|

Retinal Arterial Macroaneurysm with pre-retinal hemorrhage88 views72 year old female who takes Xarelto had sudden vision loss while moving heavy furniture. VA was 20/200. The lesion has preretinal blood but later rebled with subretinal blood, was lasered and the final vision was not very good but the patient was lost to follow-up at 3 months
|
|

Retinal Arterial Macroaneurysm with pre-retinal hemorrhage88 views72 year old female who takes Xarelto had sudden vision loss while moving heavy furniture. VA was 20/200. The lesion has preretinal blood but later rebled with subretinal blood, was lasered and the final vision was not very good but the patient was lost to follow-up at 3 months
|
|

Central Retinal Vein Occlusion with cilioretinal artery occlusion88 views63 year old female who lost vision in the left eye 2 days ago. She was in the emergency room and had a lot of tests done which were all reportedly normal. The right eye is OK.
VA OD: Dcc20/25 NccJ2
VA OS: Dcc20/200-1 PHNI Ncc20/400-1
IOP: TP: OD:11 OS:12
|
|

Wet AMD - Type 1 CNVM - RAP lesion88 views92 year old man with vision loss and very high PED. Because of worry about a PED tear, patient was treated with avastin, then lucentis, then eyelea, then vabysmo (progressively stronger meds)
|
|

Stargardt - Mother with Stargadts and father with RP88 viewsHer mom is genetically visually impaired with Stargardts. Her father has RP. The mother was genetically tested in Boston about 23 years ago. That was when the gene was first being isolated. (The mother has seven brothers and sisters and four have stargardts and they are legally blind. Also one cousin has it.)
VA OD: 20/160 OS: 20/160
She tested positive for ABCA4
|
|

32 year old with peripheral CHRPE88 views
|
|

Pseudophakic CME chronic88 views74 year old man presented 14 weeks after cataract surgery with severe CME on topical therapy. Multiple attempts to taper drops failed. Also, the patient had a steroid responsive glaucoma. He ended up on BID PF, Ketorolac and Dorz/Timolol
|
|

Myopic CNVM Left Eye88 views80 year old female. VA dropped to 20/125 but improved back up to 20/50 with Vabysmo
|
|

Myopic CNVM Left Eye88 views80 year old female. VA dropped to 20/125 but improved back up to 20/50 with Vabysmo
|
|

Choroidal Metastatic Breast Cancer with Exudative Detachment88 views58 year old female presented with 20/200 vision. Had 10 sessions of radiation and tumor shrank. The exudative detachment took almost a year to resolve. The vision improved to 20/40.
|
|

Wet AMD - Occult CNVM and Geographic atrophy88 views77 year old female with mild vision loss - 20/32 - responded to Avastin
|
|

Wet AMD - Occult CNVM and Geographic atrophy88 views77 year old female with mild vision loss - 20/32 - responded to Avastin
|
|

Ruptured Retinal Arterial Macroaneurysm - Submacular hemorrhage and BRAO88 views81 year old female with vision loss for a few days. Coumadin was high with INR at 3.1 VA 6/200
|
|

Prethreshold PDR right eye - mild NVD88 views
|
|

Roth Spot and Endocarditis88 views70 year old female - flu like symptoms with roth spot who was diagnosed by echo with endocarditis
|
|

Laser pointer maculopathy87 views11 year old male When school started the patient noticed that he was having trouble reading and seeing out of both eyes. There are no retinal diseases in the family.
VA OD: sc20/25
VA OS: sc20/40
TP: OD:19 OS:18
The FOBSERD ZK-9318 laser pointer is a long range green beam high power flashlight. It has an average power of 60-90 mw.
You can buy the ZK-9318 laser pointer on Amazon
I also found this:
The FOBSERD ZK-9318 laser pointer is a class III laser with a 532nm wavelength and can be seen up to 1 mile away. It has a maximum power output of 5mW and creates a low-power visible laser beam.
One review on amazon says this:
Powerful
By Savvy Logic in the United States on March 17, 2023
I measured the wattage at about 150 MW on an optical Power Meter
|
|

Paracentral acute middle maculopathy - isolated87 views83 year old man New spot in the vision yesterday left eye.
Medical Hx: Pure Hypercholesterolemia
Systemic Meds: Crestor.
VA OD: Dcc20/20
VA OS: Dcc20/20
IOP: TP: OD:19 OS:10
|
|

Achromatopsia87 views28 year old female Good vision since birth started wearing glasses at 2, denies trauma. She does have congenital nystagmus.
VA OD: Dcc20/200-2 PH20/200 NccJ7
VA OS: Dcc20/160 PHNI NccJ7
IOP: TP: OD:15 OS:12
|
|

Achromatopsia87 views28 year old female Good vision since birth started wearing glasses at 2, denies trauma. She does have congenital nystagmus.
VA OD: Dcc20/200-2 PH20/200 NccJ7
VA OS: Dcc20/160 PHNI NccJ7
IOP: TP: OD:15 OS:12
|
|

Achromatopsia87 views28 year old female Good vision since birth started wearing glasses at 2, denies trauma. She does have congenital nystagmus.
VA OD: Dcc20/200-2 PH20/200 NccJ7
VA OS: Dcc20/160 PHNI NccJ7
IOP: TP: OD:15 OS:12
|
|

Retinal Arterial Macroaneurysm with pre-retinal hemorrhage87 views72 year old female who takes Xarelto had sudden vision loss while moving heavy furniture. VA was 20/200. The lesion has preretinal blood but later rebled with subretinal blood, was lasered and the final vision was not very good but the patient was lost to follow-up at 3 months
|
|

Retinal Arterial Macroaneurysm with pre-retinal hemorrhage87 views72 year old female who takes Xarelto had sudden vision loss while moving heavy furniture. VA was 20/200. The lesion has preretinal blood but later rebled with subretinal blood, was lasered and the final vision was not very good but the patient was lost to follow-up at 3 months
|
|

Retinal Arterial Macroaneurysm with pre-retinal hemorrhage87 views72 year old female who takes Xarelto had sudden vision loss while moving heavy furniture. VA was 20/200. The lesion has preretinal blood but later rebled with subretinal blood, was lasered and the final vision was not very good but the patient was lost to follow-up at 3 months
|
|

Fresh BRAO in patient with wet AMD87 views91 year old female She noticed last night a shadow over the left eye. When she closes her right eye she cannot see the bottom of the vision in the left eye. This is new.
VA OD: sc20/32-1
VA OS: sc20/32-2
|
|

Central Retinal Vein Occlusion with cilioretinal artery occlusion87 views63 year old female who lost vision in the left eye 2 days ago. She was in the emergency room and had a lot of tests done which were all reportedly normal. The right eye is OK.
VA OD: Dcc20/25 NccJ2
VA OS: Dcc20/200-1 PHNI Ncc20/400-1
IOP: TP: OD:11 OS:12
|
|

Central Retinal Vein Occlusion with cilioretinal artery occlusion87 views63 year old female who lost vision in the left eye 2 days ago. She was in the emergency room and had a lot of tests done which were all reportedly normal. The right eye is OK.
VA OD: Dcc20/25 NccJ2
VA OS: Dcc20/200-1 PHNI Ncc20/400-1
IOP: TP: OD:11 OS:12
|
|

Choroidal Melanocystosis87 views65 year old female with normal vision.
|
|

BRVO with good vision87 views87 year old man with good vision (diabetes without retinopathy). VA 20/25 OU. Vision never worsened from BRVO OS.
|
|

Normal IR 87 views
|
|

Normal MAP OCT87 views
|
|

Wet AMD - Type 1 CNVM - RAP lesion87 views92 year old man with vision loss and very high PED. Because of worry about a PED tear, patient was treated with avastin, then lucentis, then eyelea, then vabysmo (progressively stronger meds)
|
|

Pseudophakic CME chronic87 views74 year old man presented 14 weeks after cataract surgery with severe CME on topical therapy. Multiple attempts to taper drops failed. Also, the patient had a steroid responsive glaucoma. He ended up on BID PF, Ketorolac and Dorz/Timolol
|
|

Myopic CNVM Left Eye87 views80 year old female. VA dropped to 20/125 but improved back up to 20/50 with Vabysmo
|
|

Choroidal Metastatic Breast Cancer with Exudative Detachment87 views58 year old female presented with 20/200 vision. Had 10 sessions of radiation and tumor shrank. The exudative detachment took almost a year to resolve. The vision improved to 20/40.
|
|

Wet AMD - Occult CNVM and Geographic atrophy87 views77 year old female with mild vision loss - 20/32 - responded to Avastin
|
|

Ruptured Retinal Arterial Macroaneurysm - Submacular hemorrhage and BRAO87 views81 year old female with vision loss for a few days. Coumadin was high with INR at 3.1 VA 6/200
|
|

Ruptured Retinal Arterial Macroaneurysm - Submacular hemorrhage and BRAO87 views81 year old female with vision loss for a few days. Coumadin was high with INR at 3.1 VA 6/200
|
|

West Nile Virus Multifocal Choroiditis with later CNVM87 views77 year old female with vision loss in the left eye treated with Anti-VEGF
|
|

West Nile Virus Multifocal Choroiditis with later CNVM87 views77 year old female with vision loss in the left eye treated with Anti-VEGF
|
|

West Nile Virus Multifocal Choroiditis with later CNVM87 views77 year old female with vision loss in the left eye treated with Anti-VEGF
|
|

West Nile Virus Multifocal Choroiditis with later CNVM87 views77 year old female with vision loss in the left eye treated with Anti-VEGF
|
|

Laser pointer maculopathy86 views11 year old male When school started the patient noticed that he was having trouble reading and seeing out of both eyes. There are no retinal diseases in the family.
VA OD: sc20/25
VA OS: sc20/40
TP: OD:19 OS:18
The FOBSERD ZK-9318 laser pointer is a long range green beam high power flashlight. It has an average power of 60-90 mw.
You can buy the ZK-9318 laser pointer on Amazon
I also found this:
The FOBSERD ZK-9318 laser pointer is a class III laser with a 532nm wavelength and can be seen up to 1 mile away. It has a maximum power output of 5mW and creates a low-power visible laser beam.
One review on amazon says this:
Powerful
By Savvy Logic in the United States on March 17, 2023
I measured the wattage at about 150 MW on an optical Power Meter
|
|

Paracentral acute middle maculopathy - isolated86 views83 year old man New spot in the vision yesterday left eye.
Medical Hx: Pure Hypercholesterolemia
Systemic Meds: Crestor.
VA OD: Dcc20/20
VA OS: Dcc20/20
IOP: TP: OD:19 OS:10
|
|

Paracentral acute middle maculopathy - isolated86 views83 year old man New spot in the vision yesterday left eye.
Medical Hx: Pure Hypercholesterolemia
Systemic Meds: Crestor.
VA OD: Dcc20/20
VA OS: Dcc20/20
IOP: TP: OD:19 OS:10
|
|

Achromatopsia86 views28 year old female Good vision since birth started wearing glasses at 2, denies trauma. She does have congenital nystagmus.
VA OD: Dcc20/200-2 PH20/200 NccJ7
VA OS: Dcc20/160 PHNI NccJ7
IOP: TP: OD:15 OS:12
|
|

Posterior Pigment Dispersion Syndrome86 views81 year old man with cataract surgery 30 years ago and normal vision who had bilateral vitrectomy for dense floaters and has pigment on his IOL surface and all over the retina (but not on the cornea) VA 20/25 OU
|
|

Posterior Pigment Dispersion Syndrome86 views81 year old man with cataract surgery 30 years ago and normal vision who had bilateral vitrectomy for dense floaters and has pigment on his IOL surface and all over the retina (but not on the cornea) VA 20/25 OU
|
|

Retinal Arterial Macroaneurysm with pre-retinal hemorrhage86 views72 year old female who takes Xarelto had sudden vision loss while moving heavy furniture. VA was 20/200. The lesion has preretinal blood but later rebled with subretinal blood, was lasered and the final vision was not very good but the patient was lost to follow-up at 3 months
|
|

wet AMD with classic extrafoveal macular neovascularization in the good eye86 views89 year old man with longstanding vision loss in the left eye presented with one month of mild vision loss in the right eye. Vision was 20/32. This eye responded to vabysmo therapy.
|
|

wet AMD with classic extrafoveal macular neovascularization in the good eye86 views89 year old man with longstanding vision loss in the left eye presented with one month of mild vision loss in the right eye. Vision was 20/32. This eye responded to vabysmo therapy.
|
|

wet AMD with classic extrafoveal macular neovascularization in the good eye86 views89 year old man with longstanding vision loss in the left eye presented with one month of mild vision loss in the right eye. Vision was 20/32. This eye responded to vabysmo therapy.
|
|

PEHCR - Peripheral Exudative Hemorrhagic Chorioretinopathy86 views
|
|

Central Retinal Vein Occlusion with cilioretinal artery occlusion86 views63 year old female who lost vision in the left eye 2 days ago. She was in the emergency room and had a lot of tests done which were all reportedly normal. The right eye is OK.
VA OD: Dcc20/25 NccJ2
VA OS: Dcc20/200-1 PHNI Ncc20/400-1
IOP: TP: OD:11 OS:12
|
|

Choroidal Melanocystosis86 views65 year old female with normal vision.
|
|

Wet AMD - Type 1 CNVM - RAP lesion86 views92 year old man with vision loss and very high PED. Because of worry about a PED tear, patient was treated with avastin, then lucentis, then eyelea, then vabysmo (progressively stronger meds)
|
|

Wet AMD - Type 1 CNVM - RAP lesion86 views92 year old man with vision loss and very high PED. Because of worry about a PED tear, patient was treated with avastin, then lucentis, then eyelea, then vabysmo (progressively stronger meds)
|
|

32 year old female with normal vision and CHRPE86 views
|
|

Commotio - Bungee cord injury 2 days ago86 views
|
|

Myopic CNVM Left Eye86 views80 year old female. VA dropped to 20/125 but improved back up to 20/50 with Vabysmo
|
|

Myopic CNVM Left Eye86 views80 year old female. VA dropped to 20/125 but improved back up to 20/50 with Vabysmo
|
|

Wet AMD - Occult CNVM and Geographic atrophy86 views77 year old female with mild vision loss - 20/32 - responded to Avastin
|
|

Ruptured Retinal Arterial Macroaneurysm - Submacular hemorrhage and BRAO86 views81 year old female with vision loss for a few days. Coumadin was high with INR at 3.1 VA 6/200
|
|

Ruptured Retinal Arterial Macroaneurysm - Submacular hemorrhage and BRAO86 views81 year old female with vision loss for a few days. Coumadin was high with INR at 3.1 VA 6/200
|
|

Prethreshold PDR right eye - mild NVD86 views
|
|

West Nile Virus Multifocal Choroiditis with later CNVM86 views77 year old female with vision loss in the left eye treated with Anti-VEGF
|
|

Laser pointer maculopathy85 views11 year old male When school started the patient noticed that he was having trouble reading and seeing out of both eyes. There are no retinal diseases in the family.
VA OD: sc20/25
VA OS: sc20/40
TP: OD:19 OS:18
The FOBSERD ZK-9318 laser pointer is a long range green beam high power flashlight. It has an average power of 60-90 mw.
You can buy the ZK-9318 laser pointer on Amazon
I also found this:
The FOBSERD ZK-9318 laser pointer is a class III laser with a 532nm wavelength and can be seen up to 1 mile away. It has a maximum power output of 5mW and creates a low-power visible laser beam.
One review on amazon says this:
Powerful
By Savvy Logic in the United States on March 17, 2023
I measured the wattage at about 150 MW on an optical Power Meter
|
|

Paracentral acute middle maculopathy - isolated85 views83 year old man New spot in the vision yesterday left eye.
Medical Hx: Pure Hypercholesterolemia
Systemic Meds: Crestor.
VA OD: Dcc20/20
VA OS: Dcc20/20
IOP: TP: OD:19 OS:10
|
|

Paracentral acute middle maculopathy - isolated85 views83 year old man New spot in the vision yesterday left eye.
Medical Hx: Pure Hypercholesterolemia
Systemic Meds: Crestor.
VA OD: Dcc20/20
VA OS: Dcc20/20
IOP: TP: OD:19 OS:10
|
|

Achromatopsia85 views28 year old female Good vision since birth started wearing glasses at 2, denies trauma. She does have congenital nystagmus.
VA OD: Dcc20/200-2 PH20/200 NccJ7
VA OS: Dcc20/160 PHNI NccJ7
IOP: TP: OD:15 OS:12
|
|

Achromatopsia85 views28 year old female Good vision since birth started wearing glasses at 2, denies trauma. She does have congenital nystagmus.
VA OD: Dcc20/200-2 PH20/200 NccJ7
VA OS: Dcc20/160 PHNI NccJ7
IOP: TP: OD:15 OS:12
|
|

Chronic Myelogenous Leukemia and Diabetic Macular Edema85 views71 year old female with 3 months of vision loss and not feeling well. She has been bruising on her legs. Her vision was 20/100 in each eye with macular edema. She was treated with Avastin and her CBC was checked. She had a WBC of 267 thousand and was diagnosed with CML.
|
|

Chronic Myelogenous Leukemia and Diabetic Macular Edema85 views71 year old female with 3 months of vision loss and not feeling well. She has been bruising on her legs. Her vision was 20/100 in each eye with macular edema. She was treated with Avastin and her CBC was checked. She had a WBC of 267 thousand and was diagnosed with CML.
|
|

Retinal Arterial Macroaneurysm with pre-retinal hemorrhage85 views72 year old female who takes Xarelto had sudden vision loss while moving heavy furniture. VA was 20/200. The lesion has preretinal blood but later rebled with subretinal blood, was lasered and the final vision was not very good but the patient was lost to follow-up at 3 months
|
|

Fresh BRAO in patient with wet AMD85 views91 year old female She noticed last night a shadow over the left eye. When she closes her right eye she cannot see the bottom of the vision in the left eye. This is new.
VA OD: sc20/32-1
VA OS: sc20/32-2
|
|

Wet AMD - Type 1 CNVM - RAP lesion85 views92 year old man with vision loss and very high PED. Because of worry about a PED tear, patient was treated with avastin, then lucentis, then eyelea, then vabysmo (progressively stronger meds)
|
|

Macular Telangetasia MacTel - Nonproliferative85 views60 year old non-diabetic female with gradual vision loss for 20 years. VA 20/80 OD, 20/63 OS
|
|

Pseudophakic CME chronic85 views74 year old man presented 14 weeks after cataract surgery with severe CME on topical therapy. Multiple attempts to taper drops failed. Also, the patient had a steroid responsive glaucoma. He ended up on BID PF, Ketorolac and Dorz/Timolol
|
|

Myopic CNVM Left Eye85 views80 year old female. VA dropped to 20/125 but improved back up to 20/50 with Vabysmo
|
|

Choroidal Metastatic Breast Cancer with Exudative Detachment85 views58 year old female presented with 20/200 vision. Had 10 sessions of radiation and tumor shrank. The exudative detachment took almost a year to resolve. The vision improved to 20/40.
|
|

Wet AMD - Occult CNVM and Geographic atrophy85 views77 year old female with mild vision loss - 20/32 - responded to Avastin
|
|

Wet AMD - Occult CNVM and Geographic atrophy85 views77 year old female with mild vision loss - 20/32 - responded to Avastin
|
|

Wet AMD - Occult CNVM and Geographic atrophy85 views77 year old female with mild vision loss - 20/32 - responded to Avastin
|
|

Ruptured Retinal Arterial Macroaneurysm - Submacular hemorrhage and BRAO85 views81 year old female with vision loss for a few days. Coumadin was high with INR at 3.1 VA 6/200
|
|

Ruptured Retinal Arterial Macroaneurysm - Submacular hemorrhage and BRAO85 views81 year old female with vision loss for a few days. Coumadin was high with INR at 3.1 VA 6/200
|
|

West Nile Virus Multifocal Choroiditis with later CNVM85 views77 year old female with vision loss in the left eye treated with Anti-VEGF
|
|

Birdshot Chorioretinitis - Chronic Untreated with Drusen Like Material in Macula85 views72 year old female with vision changes for years just now diagnosed with Birdshot.
|
|

Macular fold - resolved with time85 views
|
|

NPDR and Severe macular ischemia sudden vision loss85 views60 year old female with sudden vision loss OD 1 week ago. VA 20/63, 20/200. OCT-A and FA shows severe macular ischemia OU
|
|

NPDR and Severe macular ischemia sudden vision loss85 views60 year old female with sudden vision loss OD 1 week ago. VA 20/63, 20/200. OCT-A and FA shows severe macular ischemia OU
|
|

Serpiginous choroiditis in the right eye84 views68 year old female with spots in vision in the right eye for 2 months. She has a history of MS. The vision is 20/32 in both eyes. She was treated with high dose steroids and transitioned to methotrexate and the right eye quieted down.
|
|

Paracentral acute middle maculopathy - isolated84 views83 year old man New spot in the vision yesterday left eye.
Medical Hx: Pure Hypercholesterolemia
Systemic Meds: Crestor.
VA OD: Dcc20/20
VA OS: Dcc20/20
IOP: TP: OD:19 OS:10
|
|

Achromatopsia84 views28 year old female Good vision since birth started wearing glasses at 2, denies trauma. She does have congenital nystagmus.
VA OD: Dcc20/200-2 PH20/200 NccJ7
VA OS: Dcc20/160 PHNI NccJ7
IOP: TP: OD:15 OS:12
|
|

Chronic Myelogenous Leukemia and Diabetic Macular Edema84 views71 year old female with 3 months of vision loss and not feeling well. She has been bruising on her legs. Her vision was 20/100 in each eye with macular edema. She was treated with Avastin and her CBC was checked. She had a WBC of 267 thousand and was diagnosed with CML.
|
|

Choroidal Melanocystosis84 views65 year old female with normal vision.
|
|
| 17965 files on 180 page(s) |
 |
 |
 |
 |
 |
172 |  |
 |
 |
 |
|