Image search results - "occult maculopathy"
|

Occult Maculopathy - Thin Fovea on OCT and Normal Color VA, Photos, FA VA 20/80 OU1083 views45-year-old man his mother and his maternal grandmother each had vision loss at a relatively young age. Retina OD
|
|

Occult Maculopathy - Thin Fovea on OCT and Normal Color VA, Photos, FA VA 20/80 OU768 views45-year-old man his mother and his maternal grandmother each had vision loss at a relatively young age. Macula OD
|
|

Occult Maculopathy - Thin Fovea on OCT and Normal Color VA, Photos, FA VA 20/80 OU881 views45-year-old man his mother and his maternal grandmother each had vision loss at a relatively young age. Retina OS normal
|
|

Occult Maculopathy - Thin Fovea on OCT and Normal Color VA, Photos, FA VA 20/80 OU761 views45-year-old man his mother and his maternal grandmother each had vision loss at a relatively young age. Macula OS looks normal
|
|

Occult Maculopathy - Thin Fovea on OCT and Normal Color VA, Photos, FA VA 20/80 OU753 views45-year-old man his mother and his maternal grandmother each had vision loss at a relatively young age. Red Free Photo
|
|

Occult Maculopathy - Thin Fovea on OCT and Normal Color VA, Photos, FA VA 20/80 OU661 views45-year-old man his mother and his maternal grandmother each had vision loss at a relatively young age. Red Free Photo - Normal
|
|

Occult Maculopathy - Thin Fovea on OCT and Normal Color VA, Photos, FA VA 20/80 OU1033 views45-year-old man his mother and his maternal grandmother each had vision loss at a relatively young age. OCT MAP shows foveal thinning.
|
|

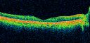
Occult Maculopathy - Thin Fovea on OCT and Normal Color VA, Photos, FA VA 20/80 OU829 views45-year-old man his mother and his maternal grandmother each had vision loss at a relatively young age. Line scan shows foveal atrophy.
|
|

Occult Maculopathy - Thin Fovea on OCT and Normal Color VA, Photos, FA VA 20/80 OU1237 views45-year-old man OCT scan shows foveal thinning
|
|

Occult Maculopathy - Thin Fovea on OCT and Normal Color VA, Photos, FA VA 20/80 OU925 viewsOCT Scan Right Eye shows foveal thinning. OD is 20/80, PH 20/70; OS is 20/80, PH 20/70. His color vision is normal with 13 out of 14 correct in each eye. There is no afferent pupillary defect.
FLUORESCEIN ANGIOGRAPHY: The FA is entirely normal.
|
|

Occult Maculopathy - Thin Fovea on OCT and Normal Color VA, Photos, FA VA 20/80 OU752 views45-year-old man Normal FA
|
|

Occult Maculopathy - Thin Fovea on OCT and Normal Color VA, Photos, FA VA 20/80 OU709 views45-year-old man The FA is entirely normal.
|
|

Occult Maculopathy - Thin Fovea on OCT and Normal Color VA, Photos, FA VA 20/80 OU662 views45-year-old man The FA is entirely normal.
|
|

Occult Maculopathy - Thin Fovea on OCT and Normal Color VA, Photos, FA VA 20/80 OU640 views45-year-old man Normal FA
|
|

Occult Maculopathy - Thin Fovea on OCT and Normal Color VA, Photos, FA VA 20/80 OU672 views45-year-old man Normal FA
|
|

Occult Maculopathy - Thin Fovea on OCT and Normal Color VA, Photos, FA VA 20/80 OU739 views45-year-old man Normal FA
|
|

Occult Maculopathy - Thin Fovea on OCT and Normal Color VA, Photos, FA VA 20/80 OU909 views45-year-old man Normal FA
|
|

Occult Maculopathy - Thin Fovea on OCT and Normal Color VA, Photos, FA VA 20/80 OU763 views45-year-old man his mother and his maternal grandmother each had vision loss at a relatively young age. Normal FA.
|
|
|
|
|
|