|
|

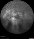
Macular fold - resolved with timevaatamisi: 69apr 14, 2025
|
|

Coats Plus Syndrome - Cerebroretinal microangiopathy with calcifications and cysts (CRMCC)vaatamisi: 8638 year old female CTC1 positive with Coats Plus Syndrome. This case was published https://pmc.ncbi.nlm.nih.gov/articles/PMC10649444/apr 14, 2025
|
|

Coats Plus Syndrome - Cerebroretinal microangiopathy with calcifications and cysts (CRMCC)vaatamisi: 7338 year old female CTC1 positive with Coats Plus Syndrome. This case was published https://pmc.ncbi.nlm.nih.gov/articles/PMC10649444/apr 14, 2025
|
|

Coats Plus Syndrome - Cerebroretinal microangiopathy with calcifications and cysts (CRMCC)vaatamisi: 8438 year old female CTC1 positive with Coats Plus Syndrome. This case was published https://pmc.ncbi.nlm.nih.gov/articles/PMC10649444/apr 14, 2025
|
|

Coats Plus Syndrome - Cerebroretinal microangiopathy with calcifications and cysts (CRMCC)vaatamisi: 7538 year old female CTC1 positive with Coats Plus Syndrome. This case was published https://pmc.ncbi.nlm.nih.gov/articles/PMC10649444/apr 14, 2025
|
|

Coats Plus Syndrome - Cerebroretinal microangiopathy with calcifications and cysts (CRMCC)vaatamisi: 7138 year old female CTC1 positive with Coats Plus Syndrome. This case was published https://pmc.ncbi.nlm.nih.gov/articles/PMC10649444/apr 14, 2025
|
|

Coats Plus Syndrome - Cerebroretinal microangiopathy with calcifications and cysts (CRMCC)vaatamisi: 7338 year old female CTC1 positive with Coats Plus Syndrome. This case was published https://pmc.ncbi.nlm.nih.gov/articles/PMC10649444/apr 14, 2025
|
|

Coats Plus Syndrome - Cerebroretinal microangiopathy with calcifications and cysts (CRMCC)vaatamisi: 8238 year old female CTC1 positive with Coats Plus Syndrome. This case was published https://pmc.ncbi.nlm.nih.gov/articles/PMC10649444/apr 14, 2025
|
|

Coats Plus Syndrome - Cerebroretinal microangiopathy with calcifications and cysts (CRMCC)vaatamisi: 8838 year old female CTC1 positive with Coats Plus Syndrome. This case was published https://pmc.ncbi.nlm.nih.gov/articles/PMC10649444/apr 14, 2025
|
|

Coats Plus Syndrome - Cerebroretinal microangiopathy with calcifications and cysts (CRMCC)vaatamisi: 7538 year old female CTC1 positive with Coats Plus Syndrome. This case was published https://pmc.ncbi.nlm.nih.gov/articles/PMC10649444/apr 14, 2025
|
|

Coats Plus Syndrome - Cerebroretinal microangiopathy with calcifications and cysts (CRMCC)vaatamisi: 8538 year old female CTC1 positive with Coats Plus Syndrome. This case was published https://pmc.ncbi.nlm.nih.gov/articles/PMC10649444/apr 14, 2025
|
|

Coats Plus Syndrome - Cerebroretinal microangiopathy with calcifications and cysts (CRMCC)vaatamisi: 6038 year old female CTC1 positive with Coats Plus Syndrome. This case was published https://pmc.ncbi.nlm.nih.gov/articles/PMC10649444/apr 14, 2025
|
|

Coats Plus Syndrome - Cerebroretinal microangiopathy with calcifications and cysts (CRMCC)vaatamisi: 7238 year old female CTC1 positive with Coats Plus Syndrome. This case was published https://pmc.ncbi.nlm.nih.gov/articles/PMC10649444/apr 14, 2025
|
|

Coats Plus Syndrome - Cerebroretinal microangiopathy with calcifications and cysts (CRMCC)vaatamisi: 7938 year old female CTC1 positive with Coats Plus Syndrome. This case was published https://pmc.ncbi.nlm.nih.gov/articles/PMC10649444/apr 14, 2025
|
|

Coats Plus Syndrome - Cerebroretinal microangiopathy with calcifications and cysts (CRMCC)vaatamisi: 6938 year old female CTC1 positive with Coats Plus Syndrome. This case was published https://pmc.ncbi.nlm.nih.gov/articles/PMC10649444/apr 14, 2025
|
|

Coats Plus Syndrome - Cerebroretinal microangiopathy with calcifications and cysts (CRMCC)vaatamisi: 7838 year old female CTC1 positive with Coats Plus Syndrome. This case was published https://pmc.ncbi.nlm.nih.gov/articles/PMC10649444/apr 14, 2025
|
|

Coats Plus Syndrome - Cerebroretinal microangiopathy with calcifications and cysts (CRMCC)vaatamisi: 6538 year old female CTC1 positive with Coats Plus Syndrome. This case was published https://pmc.ncbi.nlm.nih.gov/articles/PMC10649444/apr 14, 2025
|
|

Coats Plus Syndrome - Cerebroretinal microangiopathy with calcifications and cysts (CRMCC)vaatamisi: 6638 year old female CTC1 positive with Coats Plus Syndrome. This case was published https://pmc.ncbi.nlm.nih.gov/articles/PMC10649444/apr 14, 2025
|
|

Coats Plus Syndrome - Cerebroretinal microangiopathy with calcifications and cysts (CRMCC)vaatamisi: 7438 year old female CTC1 positive with Coats Plus Syndrome. This case was published https://pmc.ncbi.nlm.nih.gov/articles/PMC10649444/apr 14, 2025
|
|

Coats Plus Syndrome - Cerebroretinal microangiopathy with calcifications and cysts (CRMCC)vaatamisi: 6738 year old female CTC1 positive with Coats Plus Syndrome. This case was published https://pmc.ncbi.nlm.nih.gov/articles/PMC10649444/apr 14, 2025
|
|

Coats Plus Syndrome - Cerebroretinal microangiopathy with calcifications and cysts (CRMCC)vaatamisi: 7638 year old female CTC1 positive with Coats Plus Syndrome. This case was published https://pmc.ncbi.nlm.nih.gov/articles/PMC10649444/apr 14, 2025
|
|

Coats Plus Syndrome - Cerebroretinal microangiopathy with calcifications and cysts (CRMCC)vaatamisi: 6838 year old female CTC1 positive with Coats Plus Syndrome. This case was published https://pmc.ncbi.nlm.nih.gov/articles/PMC10649444/apr 14, 2025
|
|

Coats Plus Syndrome - Cerebroretinal microangiopathy with calcifications and cysts (CRMCC)vaatamisi: 6638 year old female CTC1 positive with Coats Plus Syndrome. This case was published https://pmc.ncbi.nlm.nih.gov/articles/PMC10649444/apr 14, 2025
|
|

Coats Plus Syndrome - Cerebroretinal microangiopathy with calcifications and cysts (CRMCC)vaatamisi: 7038 year old female CTC1 positive with Coats Plus Syndrome. This case was published https://pmc.ncbi.nlm.nih.gov/articles/PMC10649444/apr 14, 2025
|
|

Coats Plus Syndrome - Cerebroretinal microangiopathy with calcifications and cysts (CRMCC)vaatamisi: 6938 year old female CTC1 positive with Coats Plus Syndrome. This case was published https://pmc.ncbi.nlm.nih.gov/articles/PMC10649444/apr 14, 2025
|
|

Coats Plus Syndrome - Cerebroretinal microangiopathy with calcifications and cysts (CRMCC)vaatamisi: 8538 year old female CTC1 positive with Coats Plus Syndrome. This case was published https://pmc.ncbi.nlm.nih.gov/articles/PMC10649444/apr 14, 2025
|
|

Optic Disc Drusen - Calcifiedvaatamisi: 166veebr 23, 2025
|
|

Optic Disc Drusen - Calcifiedvaatamisi: 158veebr 23, 2025
|
|

Optic Disc Drusen - Calcifiedvaatamisi: 158veebr 23, 2025
|
|

Optic Disc Drusen - Calcifiedvaatamisi: 76veebr 23, 2025
|
|

Optic Disc Drusen - Calcifiedvaatamisi: 95veebr 23, 2025
|
|

Optic Disc Drusen - Calcifiedvaatamisi: 92veebr 23, 2025
|
|

Optic Disc Drusen - Calcifiedvaatamisi: 87veebr 23, 2025
|
|

Optic Disc Drusen - Calcifiedvaatamisi: 91veebr 23, 2025
|
|

Optic Disc Drusen - Calcifiedvaatamisi: 86veebr 23, 2025
|
|

Reticular pseudodrusenvaatamisi: 108veebr 23, 2025
|
|

Reticular pseudodrusenvaatamisi: 124veebr 23, 2025
|
|

Reticular pseudodrusenvaatamisi: 114veebr 23, 2025
|
|

Reticular pseudodrusenvaatamisi: 98veebr 23, 2025
|
|

Reticular pseudodrusenvaatamisi: 106veebr 23, 2025
|
|

Reticular pseudodrusenvaatamisi: 100veebr 23, 2025
|
|

Reticular pseudodrusenvaatamisi: 115veebr 23, 2025
|
|

Reticular pseudodrusenvaatamisi: 114veebr 23, 2025
|
|

Reticular pseudodrusenvaatamisi: 106veebr 23, 2025
|
|

Reticular pseudodrusenvaatamisi: 112veebr 23, 2025
|
|

Reticular pseudodrusenvaatamisi: 103veebr 23, 2025
|
|

Reticular pseudodrusenvaatamisi: 106veebr 23, 2025
|
|

Reticular pseudodrusenvaatamisi: 102veebr 23, 2025
|
|

Reticular pseudodrusenvaatamisi: 113veebr 23, 2025
|
|

Reticular pseudodrusenvaatamisi: 108veebr 23, 2025
|
|

Reticular pseudodrusenvaatamisi: 119veebr 23, 2025
|
|

Reticular pseudodrusenvaatamisi: 109veebr 23, 2025
|
|

Reticular pseudodrusenvaatamisi: 101veebr 23, 2025
|
|

Reticular pseudodrusenvaatamisi: 100veebr 23, 2025
|
|

Reticular pseudodrusenvaatamisi: 97veebr 23, 2025
|
|

Reticular pseudodrusenvaatamisi: 99veebr 23, 2025
|
|

AZOOR - Inactivevaatamisi: 98Sudden vision loss in the left eye 3 years ago. Labs for syphilis, sarcoid and TB all negative. VA 20/32 OD, 20/80 OSveebr 23, 2025
|
|

AZOOR - Inactivevaatamisi: 96Sudden vision loss in the left eye 3 years ago. Labs for syphilis, sarcoid and TB all negative. VA 20/32 OD, 20/80 OSveebr 23, 2025
|
|

AZOOR - Inactivevaatamisi: 92Sudden vision loss in the left eye 3 years ago. Labs for syphilis, sarcoid and TB all negative. VA 20/32 OD, 20/80 OSveebr 23, 2025
|
|

AZOOR - Inactivevaatamisi: 90Sudden vision loss in the left eye 3 years ago. Labs for syphilis, sarcoid and TB all negative. VA 20/32 OD, 20/80 OSveebr 23, 2025
|
|

AZOOR - Inactivevaatamisi: 86Sudden vision loss in the left eye 3 years ago. Labs for syphilis, sarcoid and TB all negative. VA 20/32 OD, 20/80 OSveebr 23, 2025
|
|

AZOOR - Inactivevaatamisi: 91Sudden vision loss in the left eye 3 years ago. Labs for syphilis, sarcoid and TB all negative. VA 20/32 OD, 20/80 OSveebr 23, 2025
|
|

AZOOR - Inactivevaatamisi: 88Sudden vision loss in the left eye 3 years ago. Labs for syphilis, sarcoid and TB all negative. VA 20/32 OD, 20/80 OSveebr 23, 2025
|
|

AZOOR - Inactivevaatamisi: 99Sudden vision loss in the left eye 3 years ago. Labs for syphilis, sarcoid and TB all negative. VA 20/32 OD, 20/80 OSveebr 23, 2025
|
|

AZOOR - Inactivevaatamisi: 96Sudden vision loss in the left eye 3 years ago. Labs for syphilis, sarcoid and TB all negative. VA 20/32 OD, 20/80 OSveebr 23, 2025
|
|

AZOOR - Inactivevaatamisi: 80Sudden vision loss in the left eye 3 years ago. Labs for syphilis, sarcoid and TB all negative. VA 20/32 OD, 20/80 OSveebr 23, 2025
|
|

AZOOR - Inactivevaatamisi: 83Sudden vision loss in the left eye 3 years ago. Labs for syphilis, sarcoid and TB all negative. VA 20/32 OD, 20/80 OSveebr 23, 2025
|
|

AZOOR - Inactivevaatamisi: 89Sudden vision loss in the left eye 3 years ago. Labs for syphilis, sarcoid and TB all negative. VA 20/32 OD, 20/80 OSveebr 23, 2025
|
|

AZOOR - Inactivevaatamisi: 90Sudden vision loss in the left eye 3 years ago. Labs for syphilis, sarcoid and TB all negative. VA 20/32 OD, 20/80 OSveebr 23, 2025
|
|

AZOOR - Inactivevaatamisi: 88Sudden vision loss in the left eye 3 years ago. Labs for syphilis, sarcoid and TB all negative. VA 20/32 OD, 20/80 OSveebr 23, 2025
|
|

AZOOR - Inactivevaatamisi: 91Sudden vision loss in the left eye 3 years ago. Labs for syphilis, sarcoid and TB all negative. VA 20/32 OD, 20/80 OSveebr 23, 2025
|
|

AZOOR - Inactivevaatamisi: 83Sudden vision loss in the left eye 3 years ago. Labs for syphilis, sarcoid and TB all negative. VA 20/32 OD, 20/80 OSveebr 23, 2025
|
|

AZOOR - Inactivevaatamisi: 85Sudden vision loss in the left eye 3 years ago. Labs for syphilis, sarcoid and TB all negative. VA 20/32 OD, 20/80 OSveebr 23, 2025
|
|

AZOOR - Inactivevaatamisi: 86Sudden vision loss in the left eye 3 years ago. Labs for syphilis, sarcoid and TB all negative. VA 20/32 OD, 20/80 OSveebr 23, 2025
|
|

AZOOR - Inactivevaatamisi: 84Sudden vision loss in the left eye 3 years ago. Labs for syphilis, sarcoid and TB all negative. VA 20/32 OD, 20/80 OSveebr 23, 2025
|
|

AZOOR - Inactivevaatamisi: 107Sudden vision loss in the left eye 3 years ago. Labs for syphilis, sarcoid and TB all negative. VA 20/32 OD, 20/80 OSveebr 23, 2025
|
|

Idiopathic Polypoidal Choroidal Vasculopathyvaatamisi: 11083 year old man with wet AMD for 12 years resistant to Anti-VEGF therapy but responsive to PDTveebr 12, 2025
|
|

Idiopathic Polypoidal Choroidal Vasculopathyvaatamisi: 11183 year old man with wet AMD for 12 years resistant to Anti-VEGF therapy but responsive to PDTveebr 12, 2025
|
|

Idiopathic Polypoidal Choroidal Vasculopathyvaatamisi: 10783 year old man with wet AMD for 12 years resistant to Anti-VEGF therapy but responsive to PDTveebr 12, 2025
|
|

Idiopathic Polypoidal Choroidal Vasculopathyvaatamisi: 10283 year old man with wet AMD for 12 years resistant to Anti-VEGF therapy but responsive to PDTveebr 12, 2025
|
|

Idiopathic Polypoidal Choroidal Vasculopathyvaatamisi: 9283 year old man with wet AMD for 12 years resistant to Anti-VEGF therapy but responsive to PDTveebr 12, 2025
|
|

Idiopathic Polypoidal Choroidal Vasculopathyvaatamisi: 10283 year old man with wet AMD for 12 years resistant to Anti-VEGF therapy but responsive to PDTveebr 12, 2025
|
|

Idiopathic Polypoidal Choroidal Vasculopathyvaatamisi: 10783 year old man with wet AMD for 12 years resistant to Anti-VEGF therapy but responsive to PDTveebr 12, 2025
|
|

Idiopathic Polypoidal Choroidal Vasculopathyvaatamisi: 9983 year old man with wet AMD for 12 years resistant to Anti-VEGF therapy but responsive to PDTveebr 12, 2025
|
|

Idiopathic Polypoidal Choroidal Vasculopathyvaatamisi: 9583 year old man with wet AMD for 12 years resistant to Anti-VEGF therapy but responsive to PDTveebr 12, 2025
|
|

Idiopathic Polypoidal Choroidal Vasculopathyvaatamisi: 10983 year old man with wet AMD for 12 years resistant to Anti-VEGF therapy but responsive to PDTveebr 12, 2025
|
|

Idiopathic Polypoidal Choroidal Vasculopathyvaatamisi: 9883 year old man with wet AMD for 12 years resistant to Anti-VEGF therapy but responsive to PDTveebr 12, 2025
|
|

Idiopathic Polypoidal Choroidal Vasculopathyvaatamisi: 10183 year old man with wet AMD for 12 years resistant to Anti-VEGF therapy but responsive to PDTveebr 12, 2025
|
|

Idiopathic Polypoidal Choroidal Vasculopathyvaatamisi: 7483 year old man with wet AMD for 12 years resistant to Anti-VEGF therapy but responsive to PDTveebr 12, 2025
|
|

Idiopathic Polypoidal Choroidal Vasculopathyvaatamisi: 7083 year old man with wet AMD for 12 years resistant to Anti-VEGF therapy but responsive to PDTveebr 12, 2025
|
|

Idiopathic Polypoidal Choroidal Vasculopathyvaatamisi: 7183 year old man with wet AMD for 12 years resistant to Anti-VEGF therapy but responsive to PDTveebr 12, 2025
|
|

Idiopathic Polypoidal Choroidal Vasculopathyvaatamisi: 7283 year old man with wet AMD for 12 years resistant to Anti-VEGF therapy but responsive to PDTveebr 12, 2025
|
|

Idiopathic Polypoidal Choroidal Vasculopathyvaatamisi: 7183 year old man with wet AMD for 12 years resistant to Anti-VEGF therapy but responsive to PDTveebr 12, 2025
|
|

Idiopathic Polypoidal Choroidal Vasculopathyvaatamisi: 6183 year old man with wet AMD for 12 years resistant to Anti-VEGF therapy but responsive to PDTveebr 12, 2025
|
|

Idiopathic Polypoidal Choroidal Vasculopathyvaatamisi: 7283 year old man with wet AMD for 12 years resistant to Anti-VEGF therapy but responsive to PDTveebr 12, 2025
|
|

Birdshot Chorioretinitis - Chronic Untreated with Drusen Like Material in Maculavaatamisi: 10572 year old female with vision changes for years just now diagnosed with Birdshot.jaan 26, 2025
|
|

Birdshot Chorioretinitis - Chronic Untreated with Drusen Like Material in Maculavaatamisi: 10672 year old female with vision changes for years just now diagnosed with Birdshot.jaan 26, 2025
|
|

Birdshot Chorioretinitis - Chronic Untreated with Drusen Like Material in Maculavaatamisi: 10072 year old female with vision changes for years just now diagnosed with Birdshot.jaan 26, 2025
|
|

Birdshot Chorioretinitis - Chronic Untreated with Drusen Like Material in Maculavaatamisi: 6072 year old female with vision changes for years just now diagnosed with Birdshot.jaan 26, 2025
|
|

Birdshot Chorioretinitis - Chronic Untreated with Drusen Like Material in Maculavaatamisi: 5772 year old female with vision changes for years just now diagnosed with Birdshot.jaan 26, 2025
|
|
|
|