Retina Gallery ~ Full Sized Retina Images

Library of Free, Non-Copyrighted Retina Images and Videos

Choose your language:
Twig Branch Retinal Vein Occlusion - Recurrent Macular Edema with extended interval Lucentis Therapy after first 6 monthly Injections
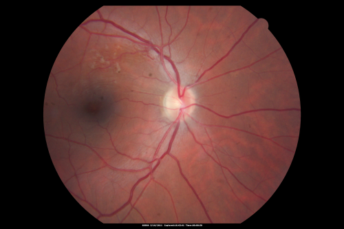
39-year-old man has a macular branch retinal vein occlusion with macular edema.  He had an excellent response to Lucentis for his first 6 treatments.  He was last here 6 weeks ago and his vision seems OK to him.  OD 20/40.

Twig Branch Retinal Vein Occlusion - Recurrent Macular Edema with extended interval Lucentis Therapy after first 6 monthly Injections

39-year-old man has a macular branch retinal vein occlusion with macular edema. He had an excellent response to Lucentis for his first 6 treatments. He was last here 6 weeks ago and his vision seems OK to him. OD 20/40.

thha_05.jpg 362_003.JPG choroidalfolds_mika_092937_06.jpg isde_09131204.png amelanoticnevus1yearapartfu_28229.jpg