Retina Gallery ~ Full Sized Retina Images

Library of Free, Non-Copyrighted Retina Images and Videos

Choose your language:



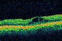
39-year-old man has a macular branch retinal vein occlusion with macular edema. He had an excellent response to Lucentis treatments between October and March. I tapered his visits a little and he feels his vision is stable since he was here last March 21st. VISUAL ACUITY: OD 20/40. IOP: 17. The lens is clear. EXTENDED OPHTHALMOSCOPY: OD: Vertical C/D ratio is 0.2. There is a macular branch retinal vein occlusion with edema. OCT SCAN: The OCT scan shows an average central foveal thickness of 252 microns with a volume of 8.7 mm3. Photos confirm clinical findings. FLUORESCEIN ANGIOGRAPHY: Fluorescein angiography shows a twig macular branch retinal vein occlusion with edema and leakage from the retinal vessels in the late frames and some non perfusion. IMPRESSION: 1. MACULAR BRANCH RETINAL VEIN OCCLUSION – RIGHT EYE 2. MACULAR EDEMA – RIGHT EYE 3. PREVIOUS EXCELLENT RESPONSE TO LUCENTIS DISCUSSION: I explained to the patient with extended treatment interval, unfortunately the macular edema has recurred.

twibbrvo_edtu01.png
Twig Branch Retinal Vein Occlusion - Recurrent Macular Edema with extended interval Lucentis Therapy after first 6 monthly Injections1346 views39-year-old man has a macular branch retinal vein occlusion with macular edema. He had an excellent response to Lucentis for his first 6 treatments. He was last here 6 weeks ago and his vision seems OK to him. OD 20/40. 00000
(0 votes)
twibbrvo_edtu02.png
Twig Branch Retinal Vein Occlusion - Recurrent Macular Edema with extended interval Lucentis Therapy after first 6 monthly Injections945 views39-year-old man has a macular branch retinal vein occlusion with macular edema. He had an excellent response to Lucentis for his first 6 treatments. He was last here 6 weeks ago and his vision seems OK to him. OD 20/40. 00000
(0 votes)
twibbrvo_edtu04.png
Twig Branch Retinal Vein Occlusion - Recurrent Macular Edema with extended interval Lucentis Therapy after first 6 monthly Injections904 views39-year-old man has a macular branch retinal vein occlusion with macular edema. He had an excellent response to Lucentis for his first 6 treatments. He was last here 6 weeks ago and his vision seems OK to him. OD 20/40. 00000
(0 votes)
twibbrvo_edtu05.jpg
Twig Branch Retinal Vein Occlusion - Recurrent Macular Edema with extended interval Lucentis Therapy after first 6 monthly Injections699 views39-year-old man has a macular branch retinal vein occlusion with macular edema. He had an excellent response to Lucentis for his first 6 treatments. He was last here 6 weeks ago and his vision seems OK to him. OD 20/40. 00000
(0 votes)
twibbrvo_edtu06.jpg
Twig Branch Retinal Vein Occlusion - Recurrent Macular Edema with extended interval Lucentis Therapy after first 6 monthly Injections611 views39-year-old man has a macular branch retinal vein occlusion with macular edema. He had an excellent response to Lucentis for his first 6 treatments. He was last here 6 weeks ago and his vision seems OK to him. OD 20/40. 00000
(0 votes)
twibbrvo_edtu07.png
Twig Branch Retinal Vein Occlusion - Recurrent Macular Edema with extended interval Lucentis Therapy after first 6 monthly Injections737 views39-year-old man has a macular branch retinal vein occlusion with macular edema. He had an excellent response to Lucentis for his first 6 treatments. He was last here 6 weeks ago and his vision seems OK to him. OD 20/40. 00000
(0 votes)
twibbrvo_edtu08.png
Twig Branch Retinal Vein Occlusion - Recurrent Macular Edema with extended interval Lucentis Therapy after first 6 monthly Injections639 views39-year-old man has a macular branch retinal vein occlusion with macular edema. He had an excellent response to Lucentis for his first 6 treatments. He was last here 6 weeks ago and his vision seems OK to him. OD 20/40. 00000
(0 votes)
twibbrvo_edtu09.png
Twig Branch Retinal Vein Occlusion - Recurrent Macular Edema with extended interval Lucentis Therapy after first 6 monthly Injections550 views39-year-old man has a macular branch retinal vein occlusion with macular edema. He had an excellent response to Lucentis for his first 6 treatments. He was last here 6 weeks ago and his vision seems OK to him. OD 20/40. 00000
(0 votes)
twibbrvo_edtu10.png
Twig Branch Retinal Vein Occlusion - Recurrent Macular Edema with extended interval Lucentis Therapy after first 6 monthly Injections696 views39-year-old man has a macular branch retinal vein occlusion with macular edema. He had an excellent response to Lucentis for his first 6 treatments. He was last here 6 weeks ago and his vision seems OK to him. OD 20/40. 00000
(0 votes)
twibbrvo_edtu11.png
Twig Branch Retinal Vein Occlusion - Recurrent Macular Edema with extended interval Lucentis Therapy after first 6 monthly Injections598 views39-year-old man has a macular branch retinal vein occlusion with macular edema. He had an excellent response to Lucentis for his first 6 treatments. He was last here 6 weeks ago and his vision seems OK to him. OD 20/40. 00000
(0 votes)
twibbrvo_edtu12.png
Twig Branch Retinal Vein Occlusion - Recurrent Macular Edema with extended interval Lucentis Therapy after first 6 monthly Injections691 views39-year-old man has a macular branch retinal vein occlusion with macular edema. He had an excellent response to Lucentis for his first 6 treatments. He was last here 6 weeks ago and his vision seems OK to him. OD 20/40. 00000
(0 votes)
twibbrvo_edtu13.png
Twig Branch Retinal Vein Occlusion - Recurrent Macular Edema with extended interval Lucentis Therapy after first 6 monthly Injections692 views39-year-old man has a macular branch retinal vein occlusion with macular edema. He had an excellent response to Lucentis for his first 6 treatments. He was last here 6 weeks ago and his vision seems OK to him. OD 20/40. 00000
(0 votes)
12 files on 1 page(s)

39-year-old man has a macular branch retinal vein occlusion with macular edema. He had an excellent response to Lucentis treatments between October and March. I tapered his visits a little and he feels his vision is stable since he was here last March 21st. VISUAL ACUITY: OD 20/40. IOP: 17. The lens is clear. EXTENDED OPHTHALMOSCOPY: OD: Vertical C/D ratio is 0.2. There is a macular branch retinal vein occlusion with edema. OCT SCAN: The OCT scan shows an average central foveal thickness of 252 microns with a volume of 8.7 mm3. Photos confirm clinical findings. FLUORESCEIN ANGIOGRAPHY: Fluorescein angiography shows a twig macular branch retinal vein occlusion with edema and leakage from the retinal vessels in the late frames and some non perfusion. IMPRESSION: 1. MACULAR BRANCH RETINAL VEIN OCCLUSION – RIGHT EYE 2. MACULAR EDEMA – RIGHT EYE 3. PREVIOUS EXCELLENT RESPONSE TO LUCENTIS DISCUSSION: I explained to the patient with extended treatment interval, unfortunately the macular edema has recurred.