Retina Gallery ~ Full Sized Retina Images
Library of Free, Non-Copyrighted Retina Images and Videos
Home
Contact
About Us
Register
Login
Album list
Last uploads
Last comments
Most viewed
Top rated
My Favorites
By date
Search
FAQ
Choose your language:
FILE 17707/17726
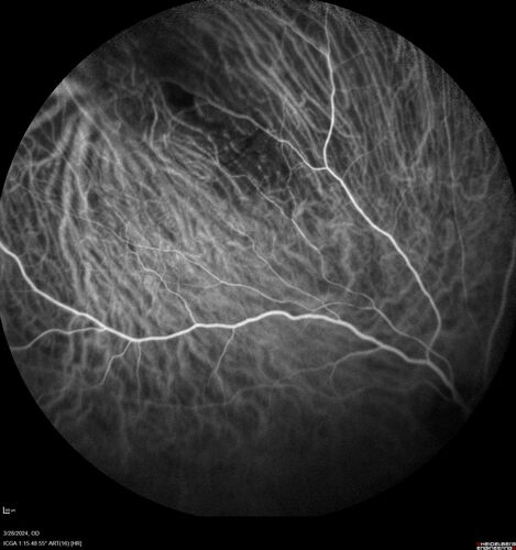
Serous Macular Detachment from Small Choroidal Melanoma
72 year old female misdiagnosed as CSR who had small choroidal melanoms.
File information
Filename:
melanoma_104519_032824_26.jpg
Album name:
scohen125
/
Serous Macular Detachment from Small Choroidal Melanoma
Filesize:
292 KiB
Date added:
Nov 23, 2025
Dimensions:
1536 x 1636 pixels
Displayed:
15 times
URL:
https://retinagallery.com/displayimage.php?pid=18778
Favorites:
Add to Favorites