Retina Gallery ~ Full Sized Retina Images

Library of Free, Non-Copyrighted Retina Images and Videos

Elige idioma:
Proliferative Diabetic Retinopathy and vitreous hemorrhage left eye
44 year old man with type II diabetes for 14 years and no eye examinations in the last 5 years.  VA 20/40 right eye and 20/60 left eye.  Vision loss has been for about a week in the left eye.

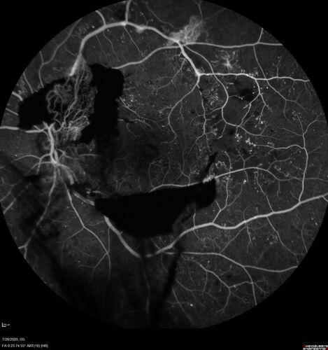
Proliferative Diabetic Retinopathy and vitreous hemorrhage left eye

44 year old man with type II diabetes for 14 years and no eye examinations in the last 5 years. VA 20/40 right eye and 20/60 left eye. Vision loss has been for about a week in the left eye.

PDR-VA1_adadk_072820_21.jpg PDR-VA1_adadk_072820_15.jpg PDR-VA1_adadk_072820_28.jpg PDR-VA1_adadk_072820_23.jpg PDR-VA1_adadk_072820_30.jpg