Retina Gallery ~ Full Sized Retina Images
Library of Free, Non-Copyrighted Retina Images and Videos
Startseite
Kontakt
About Us
Registrieren
Anmelden
Albenliste
Neueste Uploads
Neueste Kommentare
Am meisten angesehen
Am besten bewertet
Meine Favoriten
Nach Datum
Suche
FAQ
Wähle Sprache:
Datei 202/719
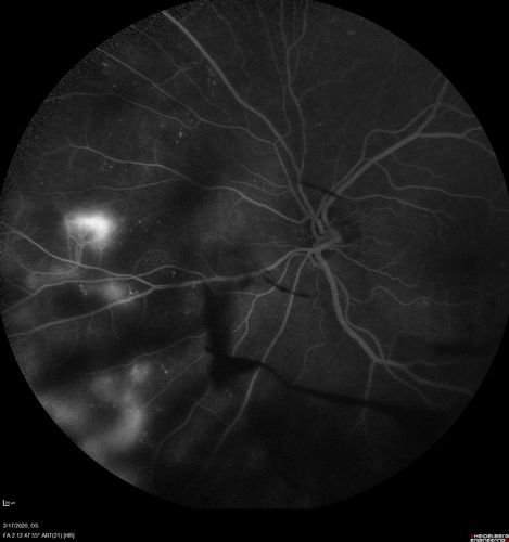
PDR and Vitreous Hemorrhage - High Risk Left Eye - Low Risk Right Eye
50 year old man with type I diabetes mellitus for 26 years. New Vitreous Hemorrhage in the left eye. Both eyes have NVE. Both also have foveal hypoplasia
Datei-Information
Dateiname:
pdr_fovealhypoplasia_joaus_021720_22.jpg
Name des Albums:
scohen125
/
Vitreous Hemorrhage and Proliferative Diabetic Retinopathy - Low risk right eye - High Risk Left Eye - Also Fovea Plana
Dateigröße:
1201 KB
Hinzugefügt am:
07. März 2020
Abmessungen:
1536 x 1636 Pixel
Angezeigt:
395 mal
URL:
https://retinagallery.com/displayimage.php?pid=13546
Favoriten:
zu Favoriten hinzufügen