Retina Gallery ~ Full Sized Retina Images

Library of Free, Non-Copyrighted Retina Images and Videos

Choose your language:



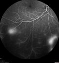
50 year old man: The patient noticed a few days ago, when putting on Contact Lenses for work which were slightly different from his usual strength. He therefore had some trouble at work with the new contact lenses. Then he had some haze in his vision. In the morning he went to see his mother in Venice and there was a new big black line in the left eye when he was getting up from lying down (this was yesterday). Then he noticed a lot of floaters in his vision that looked like blood. This has been fluctuating. You saw him this morning and asked him to come here. VA OD: Dcc20/20-2 NscJ1+ The patient has type I diabetes diagnosed at age 24 and he is now 50 years old VA OS: Dcc20/25+2 NscJ1+ IOP: TP: OD:17 OS:19

pdr_fovealhypoplasia_joaus_021720_03.jpg
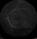
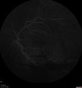
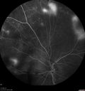
PDR and Vitreous Hemorrhage - High Risk Left Eye - Low Risk Right Eye412 views50 year old man with type I diabetes mellitus for 26 years. New Vitreous Hemorrhage in the left eye. Both eyes have NVE. Both also have foveal hypoplasia00000
(0 votes)
pdr_fovealhypoplasia_joaus_021720_04.jpg
PDR and Vitreous Hemorrhage - High Risk Left Eye - Low Risk Right Eye368 views50 year old man with type I diabetes mellitus for 26 years. New Vitreous Hemorrhage in the left eye. Both eyes have NVE. Both also have foveal hypoplasia00000
(0 votes)
pdr_fovealhypoplasia_joaus_021720_05.jpg
PDR and Vitreous Hemorrhage - High Risk Left Eye - Low Risk Right Eye373 views50 year old man with type I diabetes mellitus for 26 years. New Vitreous Hemorrhage in the left eye. Both eyes have NVE. Both also have foveal hypoplasia00000
(0 votes)
pdr_fovealhypoplasia_joaus_021720_06.jpg
PDR and Vitreous Hemorrhage - High Risk Left Eye - Low Risk Right Eye351 views50 year old man with type I diabetes mellitus for 26 years. New Vitreous Hemorrhage in the left eye. Both eyes have NVE. Both also have foveal hypoplasia00000
(0 votes)
pdr_fovealhypoplasia_joaus_021720_07.JPG
PDR and Vitreous Hemorrhage - High Risk Left Eye - Low Risk Right Eye331 views50 year old man with type I diabetes mellitus for 26 years. New Vitreous Hemorrhage in the left eye. Both eyes have NVE. Both also have foveal hypoplasia00000
(0 votes)
pdr_fovealhypoplasia_joaus_021720_08.jpg
PDR and Vitreous Hemorrhage - High Risk Left Eye - Low Risk Right Eye351 views50 year old man with type I diabetes mellitus for 26 years. New Vitreous Hemorrhage in the left eye. Both eyes have NVE. Both also have foveal hypoplasia00000
(0 votes)
pdr_fovealhypoplasia_joaus_021720_09.jpg
PDR and Vitreous Hemorrhage - High Risk Left Eye - Low Risk Right Eye353 views50 year old man with type I diabetes mellitus for 26 years. New Vitreous Hemorrhage in the left eye. Both eyes have NVE. Both also have foveal hypoplasia00000
(0 votes)
pdr_fovealhypoplasia_joaus_021720_10.jpg
PDR and Vitreous Hemorrhage - High Risk Left Eye - Low Risk Right Eye312 views50 year old man with type I diabetes mellitus for 26 years. New Vitreous Hemorrhage in the left eye. Both eyes have NVE. Both also have foveal hypoplasia00000
(0 votes)
pdr_fovealhypoplasia_joaus_021720_11.jpg
PDR and Vitreous Hemorrhage - High Risk Left Eye - Low Risk Right Eye413 views50 year old man with type I diabetes mellitus for 26 years. New Vitreous Hemorrhage in the left eye. Both eyes have NVE. Both also have foveal hypoplasia00000
(0 votes)
pdr_fovealhypoplasia_joaus_021720_12.jpg
PDR and Vitreous Hemorrhage - High Risk Left Eye - Low Risk Right Eye329 views50 year old man with type I diabetes mellitus for 26 years. New Vitreous Hemorrhage in the left eye. Both eyes have NVE. Both also have foveal hypoplasia00000
(0 votes)
pdr_fovealhypoplasia_joaus_021720_13.jpg
PDR and Vitreous Hemorrhage - High Risk Left Eye - Low Risk Right Eye343 views50 year old man with type I diabetes mellitus for 26 years. New Vitreous Hemorrhage in the left eye. Both eyes have NVE. Both also have foveal hypoplasia00000
(0 votes)
pdr_fovealhypoplasia_joaus_021720_14.jpg
PDR and Vitreous Hemorrhage - High Risk Left Eye - Low Risk Right Eye340 views50 year old man with type I diabetes mellitus for 26 years. New Vitreous Hemorrhage in the left eye. Both eyes have NVE. Both also have foveal hypoplasia00000
(0 votes)
pdr_fovealhypoplasia_joaus_021720_15.jpg
PDR and Vitreous Hemorrhage - High Risk Left Eye - Low Risk Right Eye325 views50 year old man with type I diabetes mellitus for 26 years. New Vitreous Hemorrhage in the left eye. Both eyes have NVE. Both also have foveal hypoplasia00000
(0 votes)
pdr_fovealhypoplasia_joaus_021720_16.jpg
PDR and Vitreous Hemorrhage - High Risk Left Eye - Low Risk Right Eye402 views50 year old man with type I diabetes mellitus for 26 years. New Vitreous Hemorrhage in the left eye. Both eyes have NVE. Both also have foveal hypoplasia00000
(0 votes)
pdr_fovealhypoplasia_joaus_021720_17.jpg
PDR and Vitreous Hemorrhage - High Risk Left Eye - Low Risk Right Eye335 views50 year old man with type I diabetes mellitus for 26 years. New Vitreous Hemorrhage in the left eye. Both eyes have NVE. Both also have foveal hypoplasia00000
(0 votes)
pdr_fovealhypoplasia_joaus_021720_18.jpg
PDR and Vitreous Hemorrhage - High Risk Left Eye - Low Risk Right Eye351 views50 year old man with type I diabetes mellitus for 26 years. New Vitreous Hemorrhage in the left eye. Both eyes have NVE. Both also have foveal hypoplasia00000
(0 votes)
pdr_fovealhypoplasia_joaus_021720_19.jpg
PDR and Vitreous Hemorrhage - High Risk Left Eye - Low Risk Right Eye338 views50 year old man with type I diabetes mellitus for 26 years. New Vitreous Hemorrhage in the left eye. Both eyes have NVE. Both also have foveal hypoplasia00000
(0 votes)
pdr_fovealhypoplasia_joaus_021720_20.jpg
PDR and Vitreous Hemorrhage - High Risk Left Eye - Low Risk Right Eye398 views50 year old man with type I diabetes mellitus for 26 years. New Vitreous Hemorrhage in the left eye. Both eyes have NVE. Both also have foveal hypoplasia00000
(0 votes)
pdr_fovealhypoplasia_joaus_021720_01.png
PDR and Vitreous Hemorrhage - High Risk Left Eye - Low Risk Right Eye397 views50 year old man with type I diabetes mellitus for 26 years. New Vitreous Hemorrhage in the left eye. Both eyes have NVE. Both also have foveal hypoplasia00000
(0 votes)
pdr_fovealhypoplasia_joaus_021720_21.jpg
PDR and Vitreous Hemorrhage - High Risk Left Eye - Low Risk Right Eye360 views50 year old man with type I diabetes mellitus for 26 years. New Vitreous Hemorrhage in the left eye. Both eyes have NVE. Both also have foveal hypoplasia00000
(0 votes)
pdr_fovealhypoplasia_joaus_021720_23.jpg
PDR and Vitreous Hemorrhage - High Risk Left Eye - Low Risk Right Eye372 views50 year old man with type I diabetes mellitus for 26 years. New Vitreous Hemorrhage in the left eye. Both eyes have NVE. Both also have foveal hypoplasia00000
(0 votes)
pdr_fovealhypoplasia_joaus_021720_22.jpg
PDR and Vitreous Hemorrhage - High Risk Left Eye - Low Risk Right Eye395 views50 year old man with type I diabetes mellitus for 26 years. New Vitreous Hemorrhage in the left eye. Both eyes have NVE. Both also have foveal hypoplasia00000
(0 votes)
pdr_fovealhypoplasia_joaus_021720_24.jpg
PDR and Vitreous Hemorrhage - High Risk Left Eye - Low Risk Right Eye460 views50 year old man with type I diabetes mellitus for 26 years. New Vitreous Hemorrhage in the left eye. Both eyes have NVE. Both also have foveal hypoplasia00000
(0 votes)
pdr_fovealhypoplasia_joaus_021720_25.jpg
PDR and Vitreous Hemorrhage - High Risk Left Eye - Low Risk Right Eye347 views50 year old man with type I diabetes mellitus for 26 years. New Vitreous Hemorrhage in the left eye. Both eyes have NVE. Both also have foveal hypoplasia00000
(0 votes)
pdr_fovealhypoplasia_joaus_021720_02.png
PDR and Vitreous Hemorrhage - High Risk Left Eye - Low Risk Right Eye577 views50 year old man with type I diabetes mellitus for 26 years. New Vitreous Hemorrhage in the left eye. Both eyes have NVE. Both also have foveal hypoplasia00000
(0 votes)
pdr_fovealhypoplasia_joaus_021720_26.jpg
PDR and Vitreous Hemorrhage - High Risk Left Eye - Low Risk Right Eye340 views50 year old man with type I diabetes mellitus for 26 years. New Vitreous Hemorrhage in the left eye. Both eyes have NVE. Both also have foveal hypoplasia00000
(0 votes)
pdr_fovealhypoplasia_joaus_021720_27.jpg
PDR and Vitreous Hemorrhage - High Risk Left Eye - Low Risk Right Eye342 views50 year old man with type I diabetes mellitus for 26 years. New Vitreous Hemorrhage in the left eye. Both eyes have NVE. Both also have foveal hypoplasia00000
(0 votes)
pdr_fovealhypoplasia_joaus_021720_29.jpg
PDR and Vitreous Hemorrhage - High Risk Left Eye - Low Risk Right Eye347 views50 year old man with type I diabetes mellitus for 26 years. New Vitreous Hemorrhage in the left eye. Both eyes have NVE. Both also have foveal hypoplasia00000
(0 votes)
pdr_fovealhypoplasia_joaus_021720_28.jpg
PDR and Vitreous Hemorrhage - High Risk Left Eye - Low Risk Right Eye369 views50 year old man with type I diabetes mellitus for 26 years. New Vitreous Hemorrhage in the left eye. Both eyes have NVE. Both also have foveal hypoplasia00000
(0 votes)
     
29 files on 1 page(s)

50 year old man: The patient noticed a few days ago, when putting on Contact Lenses for work which were slightly different from his usual strength. He therefore had some trouble at work with the new contact lenses. Then he had some haze in his vision. In the morning he went to see his mother in Venice and there was a new big black line in the left eye when he was getting up from lying down (this was yesterday). Then he noticed a lot of floaters in his vision that looked like blood. This has been fluctuating. You saw him this morning and asked him to come here. VA OD: Dcc20/20-2 NscJ1+ The patient has type I diabetes diagnosed at age 24 and he is now 50 years old VA OS: Dcc20/25+2 NscJ1+ IOP: TP: OD:17 OS:19