Retina Gallery ~ Full Sized Retina Images
Library of Free, Non-Copyrighted Retina Images and Videos
Home
Contact
About Us
Register
Login
Album list
Last uploads
Last comments
Most viewed
Top rated
My Favorites
By date
Search
FAQ
Choose your language:
FILE 118/1395
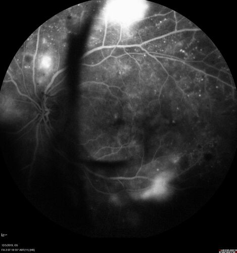
Proliferative diabetic retinopathy with vitreous hemorrhage
53 year old man with foggy vision in the left eye for one day. VA 20/25 OD, 20/40 OS. Diabetes for 10 years. Type II
File information
Filename:
pdr_wasch_120519_17.jpg
Album name:
scohen125
/
PDR with vitreous hemorrhage
Filesize:
1266 KiB
Date added:
Sep 16, 2023
Dimensions:
1536 x 1636 pixels
Displayed:
159 times
URL:
https://retinagallery.com/displayimage.php?pid=17348
Favorites:
Add to Favorites