Retina Gallery ~ Full Sized Retina Images
Library of Free, Non-Copyrighted Retina Images and Videos
Startseite
Kontakt
About Us
Registrieren
Anmelden
Albenliste
Neueste Uploads
Neueste Kommentare
Am meisten angesehen
Am besten bewertet
Meine Favoriten
Nach Datum
Suche
FAQ
Wähle Sprache:
Datei 112/844
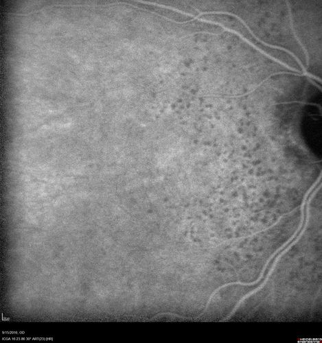
Perifoveal Microaneurysm - Not Diabetic (also reticular pseudodrusen)
87 year old female with fluctuating macular edema in the right eye from a perifoveal MA. (no treatment). VA 20/40 OU
Datei-Information
Dateiname:
perifoveal-ma-geamb_091516_25.jpg
Name des Albums:
scohen125
/
Perfoveal Microaneurysm - Not Diabetic - Hypertensive Retinopathy
Dateigröße:
2072 KB
Hinzugefügt am:
02. April 2020
Abmessungen:
1536 x 1636 Pixel
Angezeigt:
365 mal
URL:
https://retinagallery.com/displayimage.php?pid=13771
Favoriten:
zu Favoriten hinzufügen