Retina Gallery ~ Full Sized Retina Images

Library of Free, Non-Copyrighted Retina Images and Videos

Choose your language:



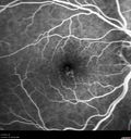
perifoveal-ma-geamb_091516_03.jpg
Perifoveal Microaneurysm - Not Diabetic (also reticular pseudodrusen)380 views87 year old female with fluctuating macular edema in the right eye from a perifoveal MA. (no treatment). VA 20/40 OU00000
(0 votes)
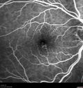
perifoveal-ma-geamb_091516_04.jpg
Perifoveal Microaneurysm - Not Diabetic (also reticular pseudodrusen)347 views87 year old female with fluctuating macular edema in the right eye from a perifoveal MA. (no treatment). VA 20/40 OU00000
(0 votes)
perifoveal-ma-geamb_091516_05.jpg
Perifoveal Microaneurysm - Not Diabetic (also reticular pseudodrusen)365 views87 year old female with fluctuating macular edema in the right eye from a perifoveal MA. (no treatment). VA 20/40 OU00000
(0 votes)
perifoveal-ma-geamb_091516_06.jpg
Perifoveal Microaneurysm - Not Diabetic (also reticular pseudodrusen)353 views87 year old female with fluctuating macular edema in the right eye from a perifoveal MA. (no treatment). VA 20/40 OU00000
(0 votes)
perifoveal-ma-geamb_091516_07.jpg
Perifoveal Microaneurysm - Not Diabetic (also reticular pseudodrusen)315 views87 year old female with fluctuating macular edema in the right eye from a perifoveal MA. (no treatment). VA 20/40 OU00000
(0 votes)
perifoveal-ma-geamb_091516_02.png
Perifoveal Microaneurysm - Not Diabetic (also reticular pseudodrusen)340 views87 year old female with fluctuating macular edema in the right eye from a perifoveal MA. (no treatment). VA 20/40 OU00000
(0 votes)
perifoveal-ma-geamb_091516_08.JPG
Perifoveal Microaneurysm - Not Diabetic (also reticular pseudodrusen)382 views87 year old female with fluctuating macular edema in the right eye from a perifoveal MA. (no treatment). VA 20/40 OU00000
(0 votes)
perifoveal-ma-geamb_091516_09.jpg
Perifoveal Microaneurysm - Not Diabetic (also reticular pseudodrusen)323 views87 year old female with fluctuating macular edema in the right eye from a perifoveal MA. (no treatment). VA 20/40 OU00000
(0 votes)
perifoveal-ma-geamb_091516_10.jpg
Perifoveal Microaneurysm - Not Diabetic (also reticular pseudodrusen)324 views87 year old female with fluctuating macular edema in the right eye from a perifoveal MA. (no treatment). VA 20/40 OU00000
(0 votes)
perifoveal-ma-geamb_091516_11.jpg
Perifoveal Microaneurysm - Not Diabetic (also reticular pseudodrusen)360 views87 year old female with fluctuating macular edema in the right eye from a perifoveal MA. (no treatment). VA 20/40 OU00000
(0 votes)
perifoveal-ma-geamb_091516_12.jpg
Perifoveal Microaneurysm - Not Diabetic (also reticular pseudodrusen)347 views87 year old female with fluctuating macular edema in the right eye from a perifoveal MA. (no treatment). VA 20/40 OU00000
(0 votes)
perifoveal-ma-geamb_091516_13.jpg
Perifoveal Microaneurysm - Not Diabetic (also reticular pseudodrusen)382 views87 year old female with fluctuating macular edema in the right eye from a perifoveal MA. (no treatment). VA 20/40 OU00000
(0 votes)
perifoveal-ma-geamb_091516_14.jpg
Perifoveal Microaneurysm - Not Diabetic (also reticular pseudodrusen)409 views87 year old female with fluctuating macular edema in the right eye from a perifoveal MA. (no treatment). VA 20/40 OU00000
(0 votes)
perifoveal-ma-geamb_091516_15.jpg
Perifoveal Microaneurysm - Not Diabetic (also reticular pseudodrusen)359 views87 year old female with fluctuating macular edema in the right eye from a perifoveal MA. (no treatment). VA 20/40 OU00000
(0 votes)
perifoveal-ma-geamb_091516_16.jpg
Perifoveal Microaneurysm - Not Diabetic (also reticular pseudodrusen)382 views87 year old female with fluctuating macular edema in the right eye from a perifoveal MA. (no treatment). VA 20/40 OU00000
(0 votes)
perifoveal-ma-geamb_091516_17.jpg
Perifoveal Microaneurysm - Not Diabetic (also reticular pseudodrusen)360 views87 year old female with fluctuating macular edema in the right eye from a perifoveal MA. (no treatment). VA 20/40 OU00000
(0 votes)
perifoveal-ma-geamb_091516_18.jpg
Perifoveal Microaneurysm - Not Diabetic (also reticular pseudodrusen)360 views87 year old female with fluctuating macular edema in the right eye from a perifoveal MA. (no treatment). VA 20/40 OU00000
(0 votes)
perifoveal-ma-geamb_091516_19.jpg
Perifoveal Microaneurysm - Not Diabetic (also reticular pseudodrusen)325 views87 year old female with fluctuating macular edema in the right eye from a perifoveal MA. (no treatment). VA 20/40 OU00000
(0 votes)
perifoveal-ma-geamb_091516_20.jpg
Perifoveal Microaneurysm - Not Diabetic (also reticular pseudodrusen)356 views87 year old female with fluctuating macular edema in the right eye from a perifoveal MA. (no treatment). VA 20/40 OU00000
(0 votes)
perifoveal-ma-geamb_091516_21.jpg
Perifoveal Microaneurysm - Not Diabetic (also reticular pseudodrusen)335 views87 year old female with fluctuating macular edema in the right eye from a perifoveal MA. (no treatment). VA 20/40 OU00000
(0 votes)
perifoveal-ma-geamb_091516_22.jpg
Perifoveal Microaneurysm - Not Diabetic (also reticular pseudodrusen)372 views87 year old female with fluctuating macular edema in the right eye from a perifoveal MA. (no treatment). VA 20/40 OU00000
(0 votes)
perifoveal-ma-geamb_091516_23.jpg
Perifoveal Microaneurysm - Not Diabetic (also reticular pseudodrusen)347 views87 year old female with fluctuating macular edema in the right eye from a perifoveal MA. (no treatment). VA 20/40 OU00000
(0 votes)
perifoveal-ma-geamb_091516_24.jpg
Perifoveal Microaneurysm - Not Diabetic (also reticular pseudodrusen)347 views87 year old female with fluctuating macular edema in the right eye from a perifoveal MA. (no treatment). VA 20/40 OU00000
(0 votes)
perifoveal-ma-geamb_091516_25.jpg
Perifoveal Microaneurysm - Not Diabetic (also reticular pseudodrusen)362 views87 year old female with fluctuating macular edema in the right eye from a perifoveal MA. (no treatment). VA 20/40 OU00000
(0 votes)
perifoveal-ma-geamb_091516_26.jpg
Perifoveal Microaneurysm - Not Diabetic (also reticular pseudodrusen)372 views87 year old female with fluctuating macular edema in the right eye from a perifoveal MA. (no treatment). VA 20/40 OU00000
(0 votes)
perifoveal-ma-geamb_091516_27.jpg
Perifoveal Microaneurysm - Not Diabetic (also reticular pseudodrusen)355 views87 year old female with fluctuating macular edema in the right eye from a perifoveal MA. (no treatment). VA 20/40 OU00000
(0 votes)
perifoveal-ma-geamb_mutipledates-maps_29.JPG
Perifoveal Microaneurysm - Not Diabetic (also reticular pseudodrusen)357 views87 year old female with fluctuating macular edema in the right eye from a perifoveal MA. (no treatment). VA 20/40 OU00000
(0 votes)
perifoveal-ma-geamb_mutipledates-maps_30.JPG
Perifoveal Microaneurysm - Not Diabetic (also reticular pseudodrusen)354 views87 year old female with fluctuating macular edema in the right eye from a perifoveal MA. (no treatment). VA 20/40 OU00000
(0 votes)
perifoveal-ma-geamb_091516_28.jpg
Perifoveal Microaneurysm - Not Diabetic (also reticular pseudodrusen)355 views87 year old female with fluctuating macular edema in the right eye from a perifoveal MA. (no treatment). VA 20/40 OU00000
(0 votes)
perifoveal-ma-geamb_091516_01.png
Perifoveal Microaneurysm - Not Diabetic (also reticular pseudodrusen)357 views87 year old female with fluctuating macular edema in the right eye from a perifoveal MA. (no treatment). VA 20/40 OU00000
(0 votes)
   
30 files on 1 page(s)