Retina Gallery ~ Full Sized Retina Images

Library of Free, Non-Copyrighted Retina Images and Videos

Choose your language:
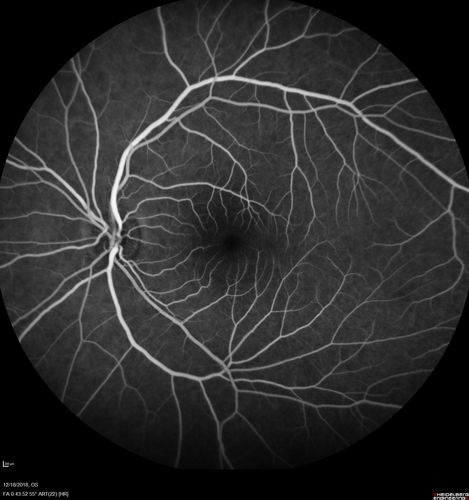
White Retinal Artiole Left eye - Inferotemporal
31 year old female with migraines and headaches for the last 12-13 years.  Sometimes she gets the visual symptoms with the migraine.  When she gets the migraines the pain is on the left side of her head.  She gets the problem a few times a month, sometimes more.  They usually last 5-6  hours. She has not had a permanent vision change.  When she gets a vision change there are spotty dots of blue neon lights in her vision.  With her glasses her two eyes are about the same.  VA 20/16 in Each Eye

White Retinal Artiole Left eye - Inferotemporal

31 year old female with migraines and headaches for the last 12-13 years. Sometimes she gets the visual symptoms with the migraine. When she gets the migraines the pain is on the left side of her head. She gets the problem a few times a month, sometimes more. They usually last 5-6 hours. She has not had a permanent vision change. When she gets a vision change there are spotty dots of blue neon lights in her vision. With her glasses her two eyes are about the same. VA 20/16 in Each Eye

White-vessel-kamo_121818_35.jpg White-vessel-kamo_121818_33.jpg White-vessel-kamo_121818_34.jpg White-vessel-kamo_121818_32.jpg White-vessel-kamo_121818_31.jpg