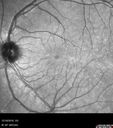
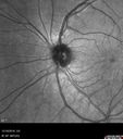
White Retinal Arteriole - Migraine
|
|
31 year old female EXTENDED HPI: She gets migraines and headaches for the last 12-13 years. Sometimes she gets the visual symptoms with the migraine. When she gets the migraines the pain is on the left side of her head. She gets the problem a few times a month, sometimes more. They usually last 5-6 hours. She has not had a permanent vision change. When she gets a vision change there are spotty dots of blue neon lights in her vision. With her glasses her two eyes are about the same. She has a herniated disk but no specific joint pain. No rashes. She has had a few colds this fall.
VA OD: Dcc20/16
VA OS: Dcc20/16
|

White Retinal Artiole Left eye - Inferotemporal430 views31 year old female with migraines and headaches for the last 12-13 years. Sometimes she gets the visual symptoms with the migraine. When she gets the migraines the pain is on the left side of her head. She gets the problem a few times a month, sometimes more. They usually last 5-6 hours. She has not had a permanent vision change. When she gets a vision change there are spotty dots of blue neon lights in her vision. With her glasses her two eyes are about the same. VA 20/16 in Each Eye     (0 votes)
|
|

White Retinal Artiole Left eye - Inferotemporal433 views31 year old female with migraines and headaches for the last 12-13 years. Sometimes she gets the visual symptoms with the migraine. When she gets the migraines the pain is on the left side of her head. She gets the problem a few times a month, sometimes more. They usually last 5-6 hours. She has not had a permanent vision change. When she gets a vision change there are spotty dots of blue neon lights in her vision. With her glasses her two eyes are about the same. VA 20/16 in Each Eye     (0 votes)
|
|

White Retinal Artiole Left eye - Inferotemporal371 views31 year old female with migraines and headaches for the last 12-13 years. Sometimes she gets the visual symptoms with the migraine. When she gets the migraines the pain is on the left side of her head. She gets the problem a few times a month, sometimes more. They usually last 5-6 hours. She has not had a permanent vision change. When she gets a vision change there are spotty dots of blue neon lights in her vision. With her glasses her two eyes are about the same. VA 20/16 in Each Eye     (0 votes)
|
|

White Retinal Artiole Left eye - Inferotemporal391 views31 year old female with migraines and headaches for the last 12-13 years. Sometimes she gets the visual symptoms with the migraine. When she gets the migraines the pain is on the left side of her head. She gets the problem a few times a month, sometimes more. They usually last 5-6 hours. She has not had a permanent vision change. When she gets a vision change there are spotty dots of blue neon lights in her vision. With her glasses her two eyes are about the same. VA 20/16 in Each Eye     (0 votes)
|
|

White Retinal Artiole Left eye - Inferotemporal363 views31 year old female with migraines and headaches for the last 12-13 years. Sometimes she gets the visual symptoms with the migraine. When she gets the migraines the pain is on the left side of her head. She gets the problem a few times a month, sometimes more. They usually last 5-6 hours. She has not had a permanent vision change. When she gets a vision change there are spotty dots of blue neon lights in her vision. With her glasses her two eyes are about the same. VA 20/16 in Each Eye     (0 votes)
|
|

White Retinal Artiole Left eye - Inferotemporal389 views31 year old female with migraines and headaches for the last 12-13 years. Sometimes she gets the visual symptoms with the migraine. When she gets the migraines the pain is on the left side of her head. She gets the problem a few times a month, sometimes more. They usually last 5-6 hours. She has not had a permanent vision change. When she gets a vision change there are spotty dots of blue neon lights in her vision. With her glasses her two eyes are about the same. VA 20/16 in Each Eye     (0 votes)
|
|

White Retinal Artiole Left eye - Inferotemporal360 views31 year old female with migraines and headaches for the last 12-13 years. Sometimes she gets the visual symptoms with the migraine. When she gets the migraines the pain is on the left side of her head. She gets the problem a few times a month, sometimes more. They usually last 5-6 hours. She has not had a permanent vision change. When she gets a vision change there are spotty dots of blue neon lights in her vision. With her glasses her two eyes are about the same. VA 20/16 in Each Eye     (0 votes)
|
|

White Retinal Artiole Left eye - Inferotemporal408 views31 year old female with migraines and headaches for the last 12-13 years. Sometimes she gets the visual symptoms with the migraine. When she gets the migraines the pain is on the left side of her head. She gets the problem a few times a month, sometimes more. They usually last 5-6 hours. She has not had a permanent vision change. When she gets a vision change there are spotty dots of blue neon lights in her vision. With her glasses her two eyes are about the same. VA 20/16 in Each Eye     (0 votes)
|
|

White Retinal Artiole Left eye - Inferotemporal410 views31 year old female with migraines and headaches for the last 12-13 years. Sometimes she gets the visual symptoms with the migraine. When she gets the migraines the pain is on the left side of her head. She gets the problem a few times a month, sometimes more. They usually last 5-6 hours. She has not had a permanent vision change. When she gets a vision change there are spotty dots of blue neon lights in her vision. With her glasses her two eyes are about the same. VA 20/16 in Each Eye     (0 votes)
|
|

White Retinal Artiole Left eye - Inferotemporal364 views31 year old female with migraines and headaches for the last 12-13 years. Sometimes she gets the visual symptoms with the migraine. When she gets the migraines the pain is on the left side of her head. She gets the problem a few times a month, sometimes more. They usually last 5-6 hours. She has not had a permanent vision change. When she gets a vision change there are spotty dots of blue neon lights in her vision. With her glasses her two eyes are about the same. VA 20/16 in Each Eye     (0 votes)
|
|

White Retinal Artiole Left eye - Inferotemporal347 views31 year old female with migraines and headaches for the last 12-13 years. Sometimes she gets the visual symptoms with the migraine. When she gets the migraines the pain is on the left side of her head. She gets the problem a few times a month, sometimes more. They usually last 5-6 hours. She has not had a permanent vision change. When she gets a vision change there are spotty dots of blue neon lights in her vision. With her glasses her two eyes are about the same. VA 20/16 in Each Eye     (0 votes)
|
|

White Retinal Artiole Left eye - Inferotemporal342 views31 year old female with migraines and headaches for the last 12-13 years. Sometimes she gets the visual symptoms with the migraine. When she gets the migraines the pain is on the left side of her head. She gets the problem a few times a month, sometimes more. They usually last 5-6 hours. She has not had a permanent vision change. When she gets a vision change there are spotty dots of blue neon lights in her vision. With her glasses her two eyes are about the same. VA 20/16 in Each Eye     (0 votes)
|
|

White Retinal Artiole Left eye - Inferotemporal383 views31 year old female with migraines and headaches for the last 12-13 years. Sometimes she gets the visual symptoms with the migraine. When she gets the migraines the pain is on the left side of her head. She gets the problem a few times a month, sometimes more. They usually last 5-6 hours. She has not had a permanent vision change. When she gets a vision change there are spotty dots of blue neon lights in her vision. With her glasses her two eyes are about the same. VA 20/16 in Each Eye     (0 votes)
|
|

White Retinal Artiole Left eye - Inferotemporal411 views31 year old female with migraines and headaches for the last 12-13 years. Sometimes she gets the visual symptoms with the migraine. When she gets the migraines the pain is on the left side of her head. She gets the problem a few times a month, sometimes more. They usually last 5-6 hours. She has not had a permanent vision change. When she gets a vision change there are spotty dots of blue neon lights in her vision. With her glasses her two eyes are about the same. VA 20/16 in Each Eye     (0 votes)
|
|

White Retinal Artiole Left eye - Inferotemporal363 views31 year old female with migraines and headaches for the last 12-13 years. Sometimes she gets the visual symptoms with the migraine. When she gets the migraines the pain is on the left side of her head. She gets the problem a few times a month, sometimes more. They usually last 5-6 hours. She has not had a permanent vision change. When she gets a vision change there are spotty dots of blue neon lights in her vision. With her glasses her two eyes are about the same. VA 20/16 in Each Eye     (0 votes)
|
|

White Retinal Artiole Left eye - Inferotemporal430 views31 year old female with migraines and headaches for the last 12-13 years. Sometimes she gets the visual symptoms with the migraine. When she gets the migraines the pain is on the left side of her head. She gets the problem a few times a month, sometimes more. They usually last 5-6 hours. She has not had a permanent vision change. When she gets a vision change there are spotty dots of blue neon lights in her vision. With her glasses her two eyes are about the same. VA 20/16 in Each Eye     (0 votes)
|
|

White Retinal Artiole Left eye - Inferotemporal370 views31 year old female with migraines and headaches for the last 12-13 years. Sometimes she gets the visual symptoms with the migraine. When she gets the migraines the pain is on the left side of her head. She gets the problem a few times a month, sometimes more. They usually last 5-6 hours. She has not had a permanent vision change. When she gets a vision change there are spotty dots of blue neon lights in her vision. With her glasses her two eyes are about the same. VA 20/16 in Each Eye     (0 votes)
|
|

White Retinal Artiole Left eye - Inferotemporal403 views31 year old female with migraines and headaches for the last 12-13 years. Sometimes she gets the visual symptoms with the migraine. When she gets the migraines the pain is on the left side of her head. She gets the problem a few times a month, sometimes more. They usually last 5-6 hours. She has not had a permanent vision change. When she gets a vision change there are spotty dots of blue neon lights in her vision. With her glasses her two eyes are about the same. VA 20/16 in Each Eye     (0 votes)
|
|

White Retinal Artiole Left eye - Inferotemporal360 views31 year old female with migraines and headaches for the last 12-13 years. Sometimes she gets the visual symptoms with the migraine. When she gets the migraines the pain is on the left side of her head. She gets the problem a few times a month, sometimes more. They usually last 5-6 hours. She has not had a permanent vision change. When she gets a vision change there are spotty dots of blue neon lights in her vision. With her glasses her two eyes are about the same. VA 20/16 in Each Eye     (0 votes)
|
|

White Retinal Artiole Left eye - Inferotemporal391 views31 year old female with migraines and headaches for the last 12-13 years. Sometimes she gets the visual symptoms with the migraine. When she gets the migraines the pain is on the left side of her head. She gets the problem a few times a month, sometimes more. They usually last 5-6 hours. She has not had a permanent vision change. When she gets a vision change there are spotty dots of blue neon lights in her vision. With her glasses her two eyes are about the same. VA 20/16 in Each Eye     (0 votes)
|
|

White Retinal Artiole Left eye - Inferotemporal445 views31 year old female with migraines and headaches for the last 12-13 years. Sometimes she gets the visual symptoms with the migraine. When she gets the migraines the pain is on the left side of her head. She gets the problem a few times a month, sometimes more. They usually last 5-6 hours. She has not had a permanent vision change. When she gets a vision change there are spotty dots of blue neon lights in her vision. With her glasses her two eyes are about the same. VA 20/16 in Each Eye     (0 votes)
|
|

White Retinal Artiole Left eye - Inferotemporal424 views31 year old female with migraines and headaches for the last 12-13 years. Sometimes she gets the visual symptoms with the migraine. When she gets the migraines the pain is on the left side of her head. She gets the problem a few times a month, sometimes more. They usually last 5-6 hours. She has not had a permanent vision change. When she gets a vision change there are spotty dots of blue neon lights in her vision. With her glasses her two eyes are about the same. VA 20/16 in Each Eye     (0 votes)
|
|

White Retinal Artiole Left eye - Inferotemporal381 views31 year old female with migraines and headaches for the last 12-13 years. Sometimes she gets the visual symptoms with the migraine. When she gets the migraines the pain is on the left side of her head. She gets the problem a few times a month, sometimes more. They usually last 5-6 hours. She has not had a permanent vision change. When she gets a vision change there are spotty dots of blue neon lights in her vision. With her glasses her two eyes are about the same. VA 20/16 in Each Eye     (0 votes)
|
|

White Retinal Artiole Left eye - Inferotemporal389 views31 year old female with migraines and headaches for the last 12-13 years. Sometimes she gets the visual symptoms with the migraine. When she gets the migraines the pain is on the left side of her head. She gets the problem a few times a month, sometimes more. They usually last 5-6 hours. She has not had a permanent vision change. When she gets a vision change there are spotty dots of blue neon lights in her vision. With her glasses her two eyes are about the same. VA 20/16 in Each Eye     (0 votes)
|
|

White Retinal Artiole Left eye - Inferotemporal366 views31 year old female with migraines and headaches for the last 12-13 years. Sometimes she gets the visual symptoms with the migraine. When she gets the migraines the pain is on the left side of her head. She gets the problem a few times a month, sometimes more. They usually last 5-6 hours. She has not had a permanent vision change. When she gets a vision change there are spotty dots of blue neon lights in her vision. With her glasses her two eyes are about the same. VA 20/16 in Each Eye     (0 votes)
|
|

White Retinal Artiole Left eye - Inferotemporal447 views31 year old female with migraines and headaches for the last 12-13 years. Sometimes she gets the visual symptoms with the migraine. When she gets the migraines the pain is on the left side of her head. She gets the problem a few times a month, sometimes more. They usually last 5-6 hours. She has not had a permanent vision change. When she gets a vision change there are spotty dots of blue neon lights in her vision. With her glasses her two eyes are about the same. VA 20/16 in Each Eye     (0 votes)
|
|

White Retinal Artiole Left eye - Inferotemporal403 views31 year old female with migraines and headaches for the last 12-13 years. Sometimes she gets the visual symptoms with the migraine. When she gets the migraines the pain is on the left side of her head. She gets the problem a few times a month, sometimes more. They usually last 5-6 hours. She has not had a permanent vision change. When she gets a vision change there are spotty dots of blue neon lights in her vision. With her glasses her two eyes are about the same. VA 20/16 in Each Eye     (0 votes)
|
|

White Retinal Artiole Left eye - Inferotemporal368 views31 year old female with migraines and headaches for the last 12-13 years. Sometimes she gets the visual symptoms with the migraine. When she gets the migraines the pain is on the left side of her head. She gets the problem a few times a month, sometimes more. They usually last 5-6 hours. She has not had a permanent vision change. When she gets a vision change there are spotty dots of blue neon lights in her vision. With her glasses her two eyes are about the same. VA 20/16 in Each Eye     (0 votes)
|
|

White Retinal Artiole Left eye - Inferotemporal377 views31 year old female with migraines and headaches for the last 12-13 years. Sometimes she gets the visual symptoms with the migraine. When she gets the migraines the pain is on the left side of her head. She gets the problem a few times a month, sometimes more. They usually last 5-6 hours. She has not had a permanent vision change. When she gets a vision change there are spotty dots of blue neon lights in her vision. With her glasses her two eyes are about the same. VA 20/16 in Each Eye     (0 votes)
|
|

White Retinal Artiole Left eye - Inferotemporal413 views31 year old female with migraines and headaches for the last 12-13 years. Sometimes she gets the visual symptoms with the migraine. When she gets the migraines the pain is on the left side of her head. She gets the problem a few times a month, sometimes more. They usually last 5-6 hours. She has not had a permanent vision change. When she gets a vision change there are spotty dots of blue neon lights in her vision. With her glasses her two eyes are about the same. VA 20/16 in Each Eye     (0 votes)
|
|

White Retinal Artiole Left eye - Inferotemporal420 views31 year old female with migraines and headaches for the last 12-13 years. Sometimes she gets the visual symptoms with the migraine. When she gets the migraines the pain is on the left side of her head. She gets the problem a few times a month, sometimes more. They usually last 5-6 hours. She has not had a permanent vision change. When she gets a vision change there are spotty dots of blue neon lights in her vision. With her glasses her two eyes are about the same. VA 20/16 in Each Eye     (0 votes)
|
|

White Retinal Artiole Left eye - Inferotemporal420 views31 year old female with migraines and headaches for the last 12-13 years. Sometimes she gets the visual symptoms with the migraine. When she gets the migraines the pain is on the left side of her head. She gets the problem a few times a month, sometimes more. They usually last 5-6 hours. She has not had a permanent vision change. When she gets a vision change there are spotty dots of blue neon lights in her vision. With her glasses her two eyes are about the same. VA 20/16 in Each Eye     (0 votes)
|
|

White Retinal Artiole Left eye - Inferotemporal393 views31 year old female with migraines and headaches for the last 12-13 years. Sometimes she gets the visual symptoms with the migraine. When she gets the migraines the pain is on the left side of her head. She gets the problem a few times a month, sometimes more. They usually last 5-6 hours. She has not had a permanent vision change. When she gets a vision change there are spotty dots of blue neon lights in her vision. With her glasses her two eyes are about the same. VA 20/16 in Each Eye     (0 votes)
|
|

White Retinal Artiole Left eye - Inferotemporal411 views31 year old female with migraines and headaches for the last 12-13 years. Sometimes she gets the visual symptoms with the migraine. When she gets the migraines the pain is on the left side of her head. She gets the problem a few times a month, sometimes more. They usually last 5-6 hours. She has not had a permanent vision change. When she gets a vision change there are spotty dots of blue neon lights in her vision. With her glasses her two eyes are about the same. VA 20/16 in Each Eye     (0 votes)
|
|

White Retinal Artiole Left eye - Inferotemporal366 views31 year old female with migraines and headaches for the last 12-13 years. Sometimes she gets the visual symptoms with the migraine. When she gets the migraines the pain is on the left side of her head. She gets the problem a few times a month, sometimes more. They usually last 5-6 hours. She has not had a permanent vision change. When she gets a vision change there are spotty dots of blue neon lights in her vision. With her glasses her two eyes are about the same. VA 20/16 in Each Eye     (0 votes)
|
|

White Retinal Artiole Left eye - Inferotemporal409 views31 year old female with migraines and headaches for the last 12-13 years. Sometimes she gets the visual symptoms with the migraine. When she gets the migraines the pain is on the left side of her head. She gets the problem a few times a month, sometimes more. They usually last 5-6 hours. She has not had a permanent vision change. When she gets a vision change there are spotty dots of blue neon lights in her vision. With her glasses her two eyes are about the same. VA 20/16 in Each Eye     (0 votes)
|
|

White Retinal Artiole Left eye - Inferotemporal381 views31 year old female with migraines and headaches for the last 12-13 years. Sometimes she gets the visual symptoms with the migraine. When she gets the migraines the pain is on the left side of her head. She gets the problem a few times a month, sometimes more. They usually last 5-6 hours. She has not had a permanent vision change. When she gets a vision change there are spotty dots of blue neon lights in her vision. With her glasses her two eyes are about the same. VA 20/16 in Each Eye     (0 votes)
|
|
|
|
|
|
|
31 year old female EXTENDED HPI: She gets migraines and headaches for the last 12-13 years. Sometimes she gets the visual symptoms with the migraine. When she gets the migraines the pain is on the left side of her head. She gets the problem a few times a month, sometimes more. They usually last 5-6 hours. She has not had a permanent vision change. When she gets a vision change there are spotty dots of blue neon lights in her vision. With her glasses her two eyes are about the same. She has a herniated disk but no specific joint pain. No rashes. She has had a few colds this fall.
VA OD: Dcc20/16
VA OS: Dcc20/16