Retina Gallery ~ Full Sized Retina Images

Library of Free, Non-Copyrighted Retina Images and Videos

Choose your language:
Retinal Arterial Macroaneurysm with pre-retinal hemorrhage
72 year old female who takes Xarelto had sudden vision loss while moving heavy furniture.  VA was 20/200.  The lesion has preretinal blood but later rebled with subretinal blood, was lasered and the final vision was not very good but the patient was lost to follow-up at 3 months

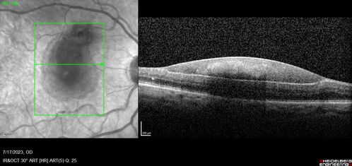
Retinal Arterial Macroaneurysm with pre-retinal hemorrhage

72 year old female who takes Xarelto had sudden vision loss while moving heavy furniture. VA was 20/200. The lesion has preretinal blood but later rebled with subretinal blood, was lasered and the final vision was not very good but the patient was lost to follow-up at 3 months

macroaneurysm_116252_27.jpg macroaneurysm_116252_23.jpg macroaneurysm_116252_19.jpg macroaneurysm_116252_15.jpg macroaneurysm_116252_10.jpg