Retina Gallery ~ Full Sized Retina Images

Library of Free, Non-Copyrighted Retina Images and Videos

Choisissez votre langue:
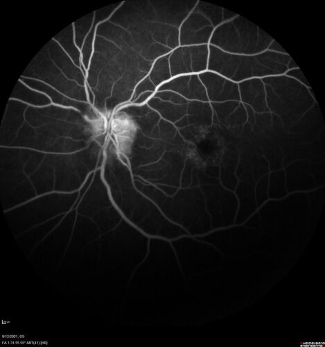
Neuroretinitis left eye - recovered with no therapy - possible B pertussis
57 year old female The patient has had blurred vision in the left eye and there is a haze across the top of the vision.  This started about 2 weeks ago.  The right eye is OK.  She has sleep apnea and uses the machine.  The left eye is becoming more and more painful for the last two weeks.  The pain is like a stabbing in the eye that comes and goes.  She also has some pain on eye movement.  The patient has been going to Moffit for possible reconstructive surgery for the lymphedema.
PMHx – Sleep apnea, Breast Cancer, Adult lymphedema, 
Meds: Gabapentin 
VA OD: Dcc20/25-1
VA OS: Dcc20/100-2
AC quiet OU.  1 + NS cataract OU
IOP: TP: OD:15 OS:17

Neuroretinitis left eye - recovered with no therapy - possible B pertussis

57 year old female The patient has had blurred vision in the left eye and there is a haze across the top of the vision.  This started about 2 weeks ago.  The right eye is OK.  She has sleep apnea and uses the machine.  The left eye is becoming more and more painful for the last two weeks.  The pain is like a stabbing in the eye that comes and goes.  She also has some pain on eye movement.  The patient has been going to Moffit for possible reconstructive surgery for the lymphedema.
PMHx – Sleep apnea, Breast Cancer, Adult lymphedema,
Meds: Gabapentin 
VA OD: Dcc20/25-1
VA OS: Dcc20/100-2
AC quiet OU. 1 + NS cataract OU
IOP: TP: OD:15 OS:17

Neuroretinitis_gwcal_081221_16.jpg Neuroretinitis_gwcal_081221_15.jpg Neuroretinitis_gwcal_081221_14.jpg Neuroretinitis_gwcal_081221_13.jpg Neuroretinitis_gwcal_081221_12.jpg