Neuroretinitis possible B pertussis
|
|
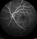
57 year old female The patient has had blurred vision in the left eye and there is a haze across the top of the vision. This started about 2 weeks ago. The right eye is OK. She has sleep apnea and uses the machine. The left eye is becoming more and more painful for the last two weeks. The pain is like a stabbing in the eye that comes and goes. She also has some pain on eye movement. The patient has been going to Moffit for possible reconstructive surgery for the lymphedema.
PMHx – Sleep apnea, Breast Cancer, Adult lymphedema,
Meds: GabapentinÂ
VA OD: Dcc20/25-1
VA OS: Dcc20/100-2
AC quiet OU. 1 + NS cataract OU
IOP: TP: OD:15 OS:17
Negative labs except weakly positive B. pertussis IgG
FTA-ABS
CBC
Quantiferon TB Gold
CXR PA and Lateral
Lysozyme
ACE
Lyme Titers
Vitamin D
Toxoplasmosis IgG and IgM
Bartonella henselae IgG and IgM
Bartonella pertussis IgG slightly elevated 1.31 (nl <0.95), IgM negative
CMP
UA
|

Neuroretinitis left eye - recovered with no therapy - possible B pertussis284 views57 year old female The patient has had blurred vision in the left eye and there is a haze across the top of the vision. This started about 2 weeks ago. The right eye is OK. She has sleep apnea and uses the machine. The left eye is becoming more and more painful for the last two weeks. The pain is like a stabbing in the eye that comes and goes. She also has some pain on eye movement. The patient has been going to Moffit for possible reconstructive surgery for the lymphedema.
PMHx – Sleep apnea, Breast Cancer, Adult lymphedema,
Meds: GabapentinÂ
VA OD: Dcc20/25-1
VA OS: Dcc20/100-2
AC quiet OU. 1 + NS cataract OU
IOP: TP: OD:15 OS:17     (0 votes)
|
|

Neuroretinitis left eye - recovered with no therapy - possible B pertussis262 views57 year old female The patient has had blurred vision in the left eye and there is a haze across the top of the vision. This started about 2 weeks ago. The right eye is OK. She has sleep apnea and uses the machine. The left eye is becoming more and more painful for the last two weeks. The pain is like a stabbing in the eye that comes and goes. She also has some pain on eye movement. The patient has been going to Moffit for possible reconstructive surgery for the lymphedema.
PMHx – Sleep apnea, Breast Cancer, Adult lymphedema,
Meds: GabapentinÂ
VA OD: Dcc20/25-1
VA OS: Dcc20/100-2
AC quiet OU. 1 + NS cataract OU
IOP: TP: OD:15 OS:17     (0 votes)
|
|

Neuroretinitis left eye - recovered with no therapy - possible B pertussis277 views57 year old female The patient has had blurred vision in the left eye and there is a haze across the top of the vision. This started about 2 weeks ago. The right eye is OK. She has sleep apnea and uses the machine. The left eye is becoming more and more painful for the last two weeks. The pain is like a stabbing in the eye that comes and goes. She also has some pain on eye movement. The patient has been going to Moffit for possible reconstructive surgery for the lymphedema.
PMHx – Sleep apnea, Breast Cancer, Adult lymphedema,
Meds: GabapentinÂ
VA OD: Dcc20/25-1
VA OS: Dcc20/100-2
AC quiet OU. 1 + NS cataract OU
IOP: TP: OD:15 OS:17     (0 votes)
|
|

Neuroretinitis left eye - recovered with no therapy - possible B pertussis271 views57 year old female The patient has had blurred vision in the left eye and there is a haze across the top of the vision. This started about 2 weeks ago. The right eye is OK. She has sleep apnea and uses the machine. The left eye is becoming more and more painful for the last two weeks. The pain is like a stabbing in the eye that comes and goes. She also has some pain on eye movement. The patient has been going to Moffit for possible reconstructive surgery for the lymphedema.
PMHx – Sleep apnea, Breast Cancer, Adult lymphedema,
Meds: GabapentinÂ
VA OD: Dcc20/25-1
VA OS: Dcc20/100-2
AC quiet OU. 1 + NS cataract OU
IOP: TP: OD:15 OS:17     (0 votes)
|
|

Neuroretinitis left eye - recovered with no therapy - possible B pertussis293 views57 year old female The patient has had blurred vision in the left eye and there is a haze across the top of the vision. This started about 2 weeks ago. The right eye is OK. She has sleep apnea and uses the machine. The left eye is becoming more and more painful for the last two weeks. The pain is like a stabbing in the eye that comes and goes. She also has some pain on eye movement. The patient has been going to Moffit for possible reconstructive surgery for the lymphedema.
PMHx – Sleep apnea, Breast Cancer, Adult lymphedema,
Meds: GabapentinÂ
VA OD: Dcc20/25-1
VA OS: Dcc20/100-2
AC quiet OU. 1 + NS cataract OU
IOP: TP: OD:15 OS:17     (0 votes)
|
|

Neuroretinitis left eye - recovered with no therapy - possible B pertussis283 views57 year old female The patient has had blurred vision in the left eye and there is a haze across the top of the vision. This started about 2 weeks ago. The right eye is OK. She has sleep apnea and uses the machine. The left eye is becoming more and more painful for the last two weeks. The pain is like a stabbing in the eye that comes and goes. She also has some pain on eye movement. The patient has been going to Moffit for possible reconstructive surgery for the lymphedema.
PMHx – Sleep apnea, Breast Cancer, Adult lymphedema,
Meds: GabapentinÂ
VA OD: Dcc20/25-1
VA OS: Dcc20/100-2
AC quiet OU. 1 + NS cataract OU
IOP: TP: OD:15 OS:17     (0 votes)
|
|

Neuroretinitis left eye - recovered with no therapy - possible B pertussis275 views57 year old female The patient has had blurred vision in the left eye and there is a haze across the top of the vision. This started about 2 weeks ago. The right eye is OK. She has sleep apnea and uses the machine. The left eye is becoming more and more painful for the last two weeks. The pain is like a stabbing in the eye that comes and goes. She also has some pain on eye movement. The patient has been going to Moffit for possible reconstructive surgery for the lymphedema.
PMHx – Sleep apnea, Breast Cancer, Adult lymphedema,
Meds: GabapentinÂ
VA OD: Dcc20/25-1
VA OS: Dcc20/100-2
AC quiet OU. 1 + NS cataract OU
IOP: TP: OD:15 OS:17     (0 votes)
|
|

Neuroretinitis left eye - recovered with no therapy - possible B pertussis288 views57 year old female The patient has had blurred vision in the left eye and there is a haze across the top of the vision. This started about 2 weeks ago. The right eye is OK. She has sleep apnea and uses the machine. The left eye is becoming more and more painful for the last two weeks. The pain is like a stabbing in the eye that comes and goes. She also has some pain on eye movement. The patient has been going to Moffit for possible reconstructive surgery for the lymphedema.
PMHx – Sleep apnea, Breast Cancer, Adult lymphedema,
Meds: GabapentinÂ
VA OD: Dcc20/25-1
VA OS: Dcc20/100-2
AC quiet OU. 1 + NS cataract OU
IOP: TP: OD:15 OS:17     (0 votes)
|
|

Neuroretinitis left eye - recovered with no therapy - possible B pertussis277 views57 year old female The patient has had blurred vision in the left eye and there is a haze across the top of the vision. This started about 2 weeks ago. The right eye is OK. She has sleep apnea and uses the machine. The left eye is becoming more and more painful for the last two weeks. The pain is like a stabbing in the eye that comes and goes. She also has some pain on eye movement. The patient has been going to Moffit for possible reconstructive surgery for the lymphedema.
PMHx – Sleep apnea, Breast Cancer, Adult lymphedema,
Meds: GabapentinÂ
VA OD: Dcc20/25-1
VA OS: Dcc20/100-2
AC quiet OU. 1 + NS cataract OU
IOP: TP: OD:15 OS:17     (0 votes)
|
|

Neuroretinitis left eye - recovered with no therapy - possible B pertussis280 views57 year old female The patient has had blurred vision in the left eye and there is a haze across the top of the vision. This started about 2 weeks ago. The right eye is OK. She has sleep apnea and uses the machine. The left eye is becoming more and more painful for the last two weeks. The pain is like a stabbing in the eye that comes and goes. She also has some pain on eye movement. The patient has been going to Moffit for possible reconstructive surgery for the lymphedema.
PMHx – Sleep apnea, Breast Cancer, Adult lymphedema,
Meds: GabapentinÂ
VA OD: Dcc20/25-1
VA OS: Dcc20/100-2
AC quiet OU. 1 + NS cataract OU
IOP: TP: OD:15 OS:17     (0 votes)
|
|

Neuroretinitis left eye - recovered with no therapy - possible B pertussis279 views57 year old female The patient has had blurred vision in the left eye and there is a haze across the top of the vision. This started about 2 weeks ago. The right eye is OK. She has sleep apnea and uses the machine. The left eye is becoming more and more painful for the last two weeks. The pain is like a stabbing in the eye that comes and goes. She also has some pain on eye movement. The patient has been going to Moffit for possible reconstructive surgery for the lymphedema.
PMHx – Sleep apnea, Breast Cancer, Adult lymphedema,
Meds: GabapentinÂ
VA OD: Dcc20/25-1
VA OS: Dcc20/100-2
AC quiet OU. 1 + NS cataract OU
IOP: TP: OD:15 OS:17     (0 votes)
|
|

Neuroretinitis left eye - recovered with no therapy - possible B pertussis284 views57 year old female The patient has had blurred vision in the left eye and there is a haze across the top of the vision. This started about 2 weeks ago. The right eye is OK. She has sleep apnea and uses the machine. The left eye is becoming more and more painful for the last two weeks. The pain is like a stabbing in the eye that comes and goes. She also has some pain on eye movement. The patient has been going to Moffit for possible reconstructive surgery for the lymphedema.
PMHx – Sleep apnea, Breast Cancer, Adult lymphedema,
Meds: GabapentinÂ
VA OD: Dcc20/25-1
VA OS: Dcc20/100-2
AC quiet OU. 1 + NS cataract OU
IOP: TP: OD:15 OS:17     (0 votes)
|
|

Neuroretinitis left eye - recovered with no therapy - possible B pertussis298 views57 year old female The patient has had blurred vision in the left eye and there is a haze across the top of the vision. This started about 2 weeks ago. The right eye is OK. She has sleep apnea and uses the machine. The left eye is becoming more and more painful for the last two weeks. The pain is like a stabbing in the eye that comes and goes. She also has some pain on eye movement. The patient has been going to Moffit for possible reconstructive surgery for the lymphedema.
PMHx – Sleep apnea, Breast Cancer, Adult lymphedema,
Meds: GabapentinÂ
VA OD: Dcc20/25-1
VA OS: Dcc20/100-2
AC quiet OU. 1 + NS cataract OU
IOP: TP: OD:15 OS:17     (0 votes)
|
|

Neuroretinitis left eye - recovered with no therapy - possible B pertussis289 views57 year old female The patient has had blurred vision in the left eye and there is a haze across the top of the vision. This started about 2 weeks ago. The right eye is OK. She has sleep apnea and uses the machine. The left eye is becoming more and more painful for the last two weeks. The pain is like a stabbing in the eye that comes and goes. She also has some pain on eye movement. The patient has been going to Moffit for possible reconstructive surgery for the lymphedema.
PMHx – Sleep apnea, Breast Cancer, Adult lymphedema,
Meds: GabapentinÂ
VA OD: Dcc20/25-1
VA OS: Dcc20/100-2
AC quiet OU. 1 + NS cataract OU
IOP: TP: OD:15 OS:17     (0 votes)
|
|

Neuroretinitis left eye - recovered with no therapy - possible B pertussis299 views57 year old female The patient has had blurred vision in the left eye and there is a haze across the top of the vision. This started about 2 weeks ago. The right eye is OK. She has sleep apnea and uses the machine. The left eye is becoming more and more painful for the last two weeks. The pain is like a stabbing in the eye that comes and goes. She also has some pain on eye movement. The patient has been going to Moffit for possible reconstructive surgery for the lymphedema.
PMHx – Sleep apnea, Breast Cancer, Adult lymphedema,
Meds: GabapentinÂ
VA OD: Dcc20/25-1
VA OS: Dcc20/100-2
AC quiet OU. 1 + NS cataract OU
IOP: TP: OD:15 OS:17     (0 votes)
|
|

Neuroretinitis left eye - recovered with no therapy - possible B pertussis290 views57 year old female The patient has had blurred vision in the left eye and there is a haze across the top of the vision. This started about 2 weeks ago. The right eye is OK. She has sleep apnea and uses the machine. The left eye is becoming more and more painful for the last two weeks. The pain is like a stabbing in the eye that comes and goes. She also has some pain on eye movement. The patient has been going to Moffit for possible reconstructive surgery for the lymphedema.
PMHx – Sleep apnea, Breast Cancer, Adult lymphedema,
Meds: GabapentinÂ
VA OD: Dcc20/25-1
VA OS: Dcc20/100-2
AC quiet OU. 1 + NS cataract OU
IOP: TP: OD:15 OS:17     (0 votes)
|
|

Neuroretinitis left eye - recovered with no therapy - possible B pertussis315 views57 year old female The patient has had blurred vision in the left eye and there is a haze across the top of the vision. This started about 2 weeks ago. The right eye is OK. She has sleep apnea and uses the machine. The left eye is becoming more and more painful for the last two weeks. The pain is like a stabbing in the eye that comes and goes. She also has some pain on eye movement. The patient has been going to Moffit for possible reconstructive surgery for the lymphedema.
PMHx – Sleep apnea, Breast Cancer, Adult lymphedema,
Meds: GabapentinÂ
VA OD: Dcc20/25-1
VA OS: Dcc20/100-2
AC quiet OU. 1 + NS cataract OU
IOP: TP: OD:15 OS:17     (0 votes)
|
|

Neuroretinitis left eye - recovered with no therapy - possible B pertussis283 views57 year old female The patient has had blurred vision in the left eye and there is a haze across the top of the vision. This started about 2 weeks ago. The right eye is OK. She has sleep apnea and uses the machine. The left eye is becoming more and more painful for the last two weeks. The pain is like a stabbing in the eye that comes and goes. She also has some pain on eye movement. The patient has been going to Moffit for possible reconstructive surgery for the lymphedema.
PMHx – Sleep apnea, Breast Cancer, Adult lymphedema,
Meds: GabapentinÂ
VA OD: Dcc20/25-1
VA OS: Dcc20/100-2
AC quiet OU. 1 + NS cataract OU
IOP: TP: OD:15 OS:17     (0 votes)
|
|

Neuroretinitis left eye - recovered with no therapy - possible B pertussis291 views57 year old female The patient has had blurred vision in the left eye and there is a haze across the top of the vision. This started about 2 weeks ago. The right eye is OK. She has sleep apnea and uses the machine. The left eye is becoming more and more painful for the last two weeks. The pain is like a stabbing in the eye that comes and goes. She also has some pain on eye movement. The patient has been going to Moffit for possible reconstructive surgery for the lymphedema.
PMHx – Sleep apnea, Breast Cancer, Adult lymphedema,
Meds: GabapentinÂ
VA OD: Dcc20/25-1
VA OS: Dcc20/100-2
AC quiet OU. 1 + NS cataract OU
IOP: TP: OD:15 OS:17     (0 votes)
|
|

Neuroretinitis left eye - recovered with no therapy - possible B pertussis270 views57 year old female The patient has had blurred vision in the left eye and there is a haze across the top of the vision. This started about 2 weeks ago. The right eye is OK. She has sleep apnea and uses the machine. The left eye is becoming more and more painful for the last two weeks. The pain is like a stabbing in the eye that comes and goes. She also has some pain on eye movement. The patient has been going to Moffit for possible reconstructive surgery for the lymphedema.
PMHx – Sleep apnea, Breast Cancer, Adult lymphedema,
Meds: GabapentinÂ
VA OD: Dcc20/25-1
VA OS: Dcc20/100-2
AC quiet OU. 1 + NS cataract OU
IOP: TP: OD:15 OS:17     (0 votes)
|
|
|
|
57 year old female The patient has had blurred vision in the left eye and there is a haze across the top of the vision. This started about 2 weeks ago. The right eye is OK. She has sleep apnea and uses the machine. The left eye is becoming more and more painful for the last two weeks. The pain is like a stabbing in the eye that comes and goes. She also has some pain on eye movement. The patient has been going to Moffit for possible reconstructive surgery for the lymphedema.
PMHx – Sleep apnea, Breast Cancer, Adult lymphedema,
Meds: GabapentinÂ
VA OD: Dcc20/25-1
VA OS: Dcc20/100-2
AC quiet OU. 1 + NS cataract OU
IOP: TP: OD:15 OS:17
Negative labs except weakly positive B. pertussis IgG
FTA-ABS
CBC
Quantiferon TB Gold
CXR PA and Lateral
Lysozyme
ACE
Lyme Titers
Vitamin D
Toxoplasmosis IgG and IgM
Bartonella henselae IgG and IgM
Bartonella pertussis IgG slightly elevated 1.31 (nl <0.95), IgM negative
CMP
UA