Retina Gallery ~ Full Sized Retina Images

Library of Free, Non-Copyrighted Retina Images and Videos

Choose your language:
Multifocal Choroiditis - Pneumocystis - aspergillis - cryptococcus
31 year old male with anaplastic astrocytoma on chemotherapy with mild vision loss in the right eye.  LP did not reveal organism.  He was placed on a trial of anti-fungal medications and lost to follow-up

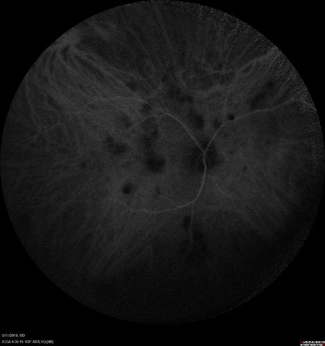
Multifocal Choroiditis - Pneumocystis - aspergillis - cryptococcus

31 year old male with anaplastic astrocytoma on chemotherapy with mild vision loss in the right eye. LP did not reveal organism. He was placed on a trial of anti-fungal medications and lost to follow-up

mfc-astrocytoma-ryco_051118_34.jpg mfc-astrocytoma-ryco_051118_33.jpg mfc-astrocytoma-ryco_051118_32.jpg mfc-astrocytoma-ryco_051118_31.jpg mfc-astrocytoma-ryco_051118_30.jpg