Retina Gallery ~ Full Sized Retina Images

Library of Free, Non-Copyrighted Retina Images and Videos

Choose your language:



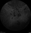
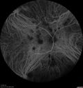
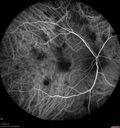
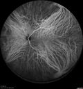
31 year old man with vision loss in the right eye more than the left eye. He has an anaplastic astrocytoma diagnosed 10/2017 the first one was 10/2014. These are different locations. They are treating them with Chemotherapy and Avastin. It might be that one might have spread from the other. He was clean for 3 years. He is on Avastin and Temozolomide but his blood counts have been good. December 2017 he had a herpes superficial infection in the right eye which responded to treatment. The last neurosurgery was October 2017. Going to Duke June 5 and seeing a neuroophthalmologist there. VA OD: Dcc20/40 PH20/25 NccJ5 VA OS: Dcc20/16 PH20/10 NccJ1+ His fundus is presumably nocardia, pneumocystis, aspergillis or cryptococcus. His LP was negative and he was tried on a course of antifungals. He was then lost to followup

mfc-astrocytoma-ryco_051118_03.png
Multifocal Choroiditis - Pneumocystis - aspergillis - cryptococcus671 views31 year old male with anaplastic astrocytoma on chemotherapy with mild vision loss in the right eye. LP did not reveal organism. He was placed on a trial of anti-fungal medications and lost to follow-up00000
(0 votes)
mfc-astrocytoma-ryco_051118_02.png
Multifocal Choroiditis - Pneumocystis - aspergillis - cryptococcus730 views31 year old male with anaplastic astrocytoma on chemotherapy with mild vision loss in the right eye. LP did not reveal organism. He was placed on a trial of anti-fungal medications and lost to follow-up00000
(0 votes)
mfc-astrocytoma-ryco_051118_01.png
Multifocal Choroiditis - Pneumocystis - aspergillis - cryptococcus606 views31 year old male with anaplastic astrocytoma on chemotherapy with mild vision loss in the right eye. LP did not reveal organism. He was placed on a trial of anti-fungal medications and lost to follow-up00000
(0 votes)
mfc-astrocytoma-ryco_051118_04.png
Multifocal Choroiditis - Pneumocystis - aspergillis - cryptococcus632 views31 year old male with anaplastic astrocytoma on chemotherapy with mild vision loss in the right eye. LP did not reveal organism. He was placed on a trial of anti-fungal medications and lost to follow-up00000
(0 votes)
mfc-astrocytoma-ryco_051118_06.png
Multifocal Choroiditis - Pneumocystis - aspergillis - cryptococcus501 views31 year old male with anaplastic astrocytoma on chemotherapy with mild vision loss in the right eye. LP did not reveal organism. He was placed on a trial of anti-fungal medications and lost to follow-up00000
(0 votes)
mfc-astrocytoma-ryco_051118_05.png
Multifocal Choroiditis - Pneumocystis - aspergillis - cryptococcus514 views31 year old male with anaplastic astrocytoma on chemotherapy with mild vision loss in the right eye. LP did not reveal organism. He was placed on a trial of anti-fungal medications and lost to follow-up00000
(0 votes)
mfc-astrocytoma-ryco_051118_07.png
Multifocal Choroiditis - Pneumocystis - aspergillis - cryptococcus419 views31 year old male with anaplastic astrocytoma on chemotherapy with mild vision loss in the right eye. LP did not reveal organism. He was placed on a trial of anti-fungal medications and lost to follow-up00000
(0 votes)
mfc-astrocytoma-ryco_051118_08.png
Multifocal Choroiditis - Pneumocystis - aspergillis - cryptococcus440 views31 year old male with anaplastic astrocytoma on chemotherapy with mild vision loss in the right eye. LP did not reveal organism. He was placed on a trial of anti-fungal medications and lost to follow-up00000
(0 votes)
mfc-astrocytoma-ryco_051118_09.png
Multifocal Choroiditis - Pneumocystis - aspergillis - cryptococcus464 views31 year old male with anaplastic astrocytoma on chemotherapy with mild vision loss in the right eye. LP did not reveal organism. He was placed on a trial of anti-fungal medications and lost to follow-up00000
(0 votes)
mfc-astrocytoma-ryco_051118_10.png
Multifocal Choroiditis - Pneumocystis - aspergillis - cryptococcus422 views31 year old male with anaplastic astrocytoma on chemotherapy with mild vision loss in the right eye. LP did not reveal organism. He was placed on a trial of anti-fungal medications and lost to follow-up00000
(0 votes)
mfc-astrocytoma-ryco_051118_11.png
Multifocal Choroiditis - Pneumocystis - aspergillis - cryptococcus436 views31 year old male with anaplastic astrocytoma on chemotherapy with mild vision loss in the right eye. LP did not reveal organism. He was placed on a trial of anti-fungal medications and lost to follow-up00000
(0 votes)
mfc-astrocytoma-ryco_051118_12.jpg
Multifocal Choroiditis - Pneumocystis - aspergillis - cryptococcus409 views31 year old male with anaplastic astrocytoma on chemotherapy with mild vision loss in the right eye. LP did not reveal organism. He was placed on a trial of anti-fungal medications and lost to follow-up00000
(0 votes)
mfc-astrocytoma-ryco_051118_13.jpg
Multifocal Choroiditis - Pneumocystis - aspergillis - cryptococcus448 views31 year old male with anaplastic astrocytoma on chemotherapy with mild vision loss in the right eye. LP did not reveal organism. He was placed on a trial of anti-fungal medications and lost to follow-up00000
(0 votes)
mfc-astrocytoma-ryco_051118_14.jpg
Multifocal Choroiditis - Pneumocystis - aspergillis - cryptococcus376 views31 year old male with anaplastic astrocytoma on chemotherapy with mild vision loss in the right eye. LP did not reveal organism. He was placed on a trial of anti-fungal medications and lost to follow-up00000
(0 votes)
mfc-astrocytoma-ryco_051118_15.jpg
Multifocal Choroiditis - Pneumocystis - aspergillis - cryptococcus387 views31 year old male with anaplastic astrocytoma on chemotherapy with mild vision loss in the right eye. LP did not reveal organism. He was placed on a trial of anti-fungal medications and lost to follow-up00000
(0 votes)
mfc-astrocytoma-ryco_051118_16.jpg
Multifocal Choroiditis - Pneumocystis - aspergillis - cryptococcus378 views31 year old male with anaplastic astrocytoma on chemotherapy with mild vision loss in the right eye. LP did not reveal organism. He was placed on a trial of anti-fungal medications and lost to follow-up00000
(0 votes)
mfc-astrocytoma-ryco_051118_18.jpg
Multifocal Choroiditis - Pneumocystis - aspergillis - cryptococcus383 views31 year old male with anaplastic astrocytoma on chemotherapy with mild vision loss in the right eye. LP did not reveal organism. He was placed on a trial of anti-fungal medications and lost to follow-up00000
(0 votes)
mfc-astrocytoma-ryco_051118_19.jpg
Multifocal Choroiditis - Pneumocystis - aspergillis - cryptococcus436 views31 year old male with anaplastic astrocytoma on chemotherapy with mild vision loss in the right eye. LP did not reveal organism. He was placed on a trial of anti-fungal medications and lost to follow-up00000
(0 votes)
mfc-astrocytoma-ryco_051118_17.jpg
Multifocal Choroiditis - Pneumocystis - aspergillis - cryptococcus404 views31 year old male with anaplastic astrocytoma on chemotherapy with mild vision loss in the right eye. LP did not reveal organism. He was placed on a trial of anti-fungal medications and lost to follow-up00000
(0 votes)
mfc-astrocytoma-ryco_051118_21.JPG
Multifocal Choroiditis - Pneumocystis - aspergillis - cryptococcus386 views31 year old male with anaplastic astrocytoma on chemotherapy with mild vision loss in the right eye. LP did not reveal organism. He was placed on a trial of anti-fungal medications and lost to follow-up00000
(0 votes)
mfc-astrocytoma-ryco_051118_23.jpg
Multifocal Choroiditis - Pneumocystis - aspergillis - cryptococcus410 views31 year old male with anaplastic astrocytoma on chemotherapy with mild vision loss in the right eye. LP did not reveal organism. He was placed on a trial of anti-fungal medications and lost to follow-up00000
(0 votes)
mfc-astrocytoma-ryco_051118_22.jpg
Multifocal Choroiditis - Pneumocystis - aspergillis - cryptococcus392 views31 year old male with anaplastic astrocytoma on chemotherapy with mild vision loss in the right eye. LP did not reveal organism. He was placed on a trial of anti-fungal medications and lost to follow-up00000
(0 votes)
mfc-astrocytoma-ryco_051118_24.jpg
Multifocal Choroiditis - Pneumocystis - aspergillis - cryptococcus444 views31 year old male with anaplastic astrocytoma on chemotherapy with mild vision loss in the right eye. LP did not reveal organism. He was placed on a trial of anti-fungal medications and lost to follow-up00000
(0 votes)
mfc-astrocytoma-ryco_051118_25.jpg
Multifocal Choroiditis - Pneumocystis - aspergillis - cryptococcus361 views31 year old male with anaplastic astrocytoma on chemotherapy with mild vision loss in the right eye. LP did not reveal organism. He was placed on a trial of anti-fungal medications and lost to follow-up00000
(0 votes)
mfc-astrocytoma-ryco_051118_26.jpg
Multifocal Choroiditis - Pneumocystis - aspergillis - cryptococcus427 views31 year old male with anaplastic astrocytoma on chemotherapy with mild vision loss in the right eye. LP did not reveal organism. He was placed on a trial of anti-fungal medications and lost to follow-up00000
(0 votes)
mfc-astrocytoma-ryco_051118_27.jpg
Multifocal Choroiditis - Pneumocystis - aspergillis - cryptococcus413 views31 year old male with anaplastic astrocytoma on chemotherapy with mild vision loss in the right eye. LP did not reveal organism. He was placed on a trial of anti-fungal medications and lost to follow-up00000
(0 votes)
mfc-astrocytoma-ryco_051118_28.jpg
Multifocal Choroiditis - Pneumocystis - aspergillis - cryptococcus393 views31 year old male with anaplastic astrocytoma on chemotherapy with mild vision loss in the right eye. LP did not reveal organism. He was placed on a trial of anti-fungal medications and lost to follow-up00000
(0 votes)
mfc-astrocytoma-ryco_051118_29.jpg
Multifocal Choroiditis - Pneumocystis - aspergillis - cryptococcus402 views31 year old male with anaplastic astrocytoma on chemotherapy with mild vision loss in the right eye. LP did not reveal organism. He was placed on a trial of anti-fungal medications and lost to follow-up00000
(0 votes)
mfc-astrocytoma-ryco_051118_30.jpg
Multifocal Choroiditis - Pneumocystis - aspergillis - cryptococcus408 views31 year old male with anaplastic astrocytoma on chemotherapy with mild vision loss in the right eye. LP did not reveal organism. He was placed on a trial of anti-fungal medications and lost to follow-up00000
(0 votes)
mfc-astrocytoma-ryco_051118_31.jpg
Multifocal Choroiditis - Pneumocystis - aspergillis - cryptococcus446 views31 year old male with anaplastic astrocytoma on chemotherapy with mild vision loss in the right eye. LP did not reveal organism. He was placed on a trial of anti-fungal medications and lost to follow-up00000
(0 votes)
mfc-astrocytoma-ryco_051118_32.jpg
Multifocal Choroiditis - Pneumocystis - aspergillis - cryptococcus451 views31 year old male with anaplastic astrocytoma on chemotherapy with mild vision loss in the right eye. LP did not reveal organism. He was placed on a trial of anti-fungal medications and lost to follow-up00000
(0 votes)
mfc-astrocytoma-ryco_051118_33.jpg
Multifocal Choroiditis - Pneumocystis - aspergillis - cryptococcus408 views31 year old male with anaplastic astrocytoma on chemotherapy with mild vision loss in the right eye. LP did not reveal organism. He was placed on a trial of anti-fungal medications and lost to follow-up00000
(0 votes)
mfc-astrocytoma-ryco_051118_34.jpg
Multifocal Choroiditis - Pneumocystis - aspergillis - cryptococcus376 views31 year old male with anaplastic astrocytoma on chemotherapy with mild vision loss in the right eye. LP did not reveal organism. He was placed on a trial of anti-fungal medications and lost to follow-up00000
(0 votes)
mfc-astrocytoma-ryco_051118_35.jpg
Multifocal Choroiditis - Pneumocystis - aspergillis - cryptococcus403 views31 year old male with anaplastic astrocytoma on chemotherapy with mild vision loss in the right eye. LP did not reveal organism. He was placed on a trial of anti-fungal medications and lost to follow-up00000
(0 votes)
mfc-astrocytoma-ryco_051118_37.jpg
Multifocal Choroiditis - Pneumocystis - aspergillis - cryptococcus379 views31 year old male with anaplastic astrocytoma on chemotherapy with mild vision loss in the right eye. LP did not reveal organism. He was placed on a trial of anti-fungal medications and lost to follow-up00000
(0 votes)
mfc-astrocytoma-ryco_051118_36.jpg
Multifocal Choroiditis - Pneumocystis - aspergillis - cryptococcus422 views31 year old male with anaplastic astrocytoma on chemotherapy with mild vision loss in the right eye. LP did not reveal organism. He was placed on a trial of anti-fungal medications and lost to follow-up00000
(0 votes)
36 files on 1 page(s)

31 year old man with vision loss in the right eye more than the left eye. He has an anaplastic astrocytoma diagnosed 10/2017 the first one was 10/2014. These are different locations. They are treating them with Chemotherapy and Avastin. It might be that one might have spread from the other. He was clean for 3 years. He is on Avastin and Temozolomide but his blood counts have been good. December 2017 he had a herpes superficial infection in the right eye which responded to treatment. The last neurosurgery was October 2017. Going to Duke June 5 and seeing a neuroophthalmologist there. VA OD: Dcc20/40 PH20/25 NccJ5 VA OS: Dcc20/16 PH20/10 NccJ1+ His fundus is presumably nocardia, pneumocystis, aspergillis or cryptococcus. His LP was negative and he was tried on a course of antifungals. He was then lost to followup