Retina Gallery ~ Full Sized Retina Images
Library of Free, Non-Copyrighted Retina Images and Videos
Home
Contact
About Us
Register
Login
Album list
Last uploads
Last comments
Most viewed
Top rated
My Favorites
By date
Search
FAQ
Choose your language:
FILE 21/43
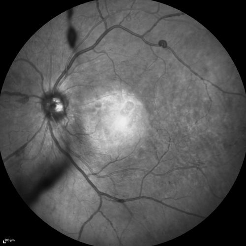
Proliferative Diabetic Retinopathy - Moderate - mild NVD with NVE
IR reflectance
File information
Filename:
pdr_erfr_1013_21.jpg
Album name:
scohen125
/
Proliferative Diabetic Retinopathy - Non-perfusion and NVD and NVE
Filesize:
228 KiB
Date added:
Dec 06, 2013
Dimensions:
768 x 768 pixels
Displayed:
482 times
URL:
https://retinagallery.com/displayimage.php?pid=7178
Favorites:
Add to Favorites