Proliferative Diabetic Retinopathy - Non-perfusion and NVD and NVE
|
|
30 y.o man Type I with Red spot then line of yellow like dry blood" os, Started last weekend after nausea from stomach
bug. New floater in the left eye started 4 days ago. VA OD: cc20/20 NccJ1+ OS: cc20/160-1 PH20/100-2 NccJ4. Extensive PDR in both eyes.
|

Proliferative Diabetic Retinopathy - Moderate - mild NVD with NVE 1398 viewsVenous beading, vascular loops and NVE are visible on photos     (0 votes)
|
|

Proliferative Diabetic Retinopathy - Moderate - mild NVD with NVE 800 viewsVenous beading, vascular loops and NVE are visible on photos     (0 votes)
|
|

Proliferative Diabetic Retinopathy - Moderate - mild NVD with NVE 875 viewsVenous beading, vascular loops and NVE are visible on photos     (0 votes)
|
|

Proliferative Diabetic Retinopathy - Moderate - mild NVD with NVE 1119 viewsVenous beading, vascular loops and NVE are visible on photos     (0 votes)
|
|

Proliferative Diabetic Retinopathy - Moderate - mild NVD with NVE 882 viewsVenous beading, vascular loops and NVE are visible on photos     (0 votes)
|
|

Proliferative Diabetic Retinopathy - Moderate - mild NVD with NVE 811 viewsVenous beading, vascular loops and NVE are visible on photos     (0 votes)
|
|

Proliferative Diabetic Retinopathy - Moderate - mild NVD with NVE 692 viewsVenous beading, vascular loops and NVE are visible on photos     (0 votes)
|
|

Proliferative Diabetic Retinopathy - Moderate - mild NVD with NVE 930 viewsVenous beading, vascular loops and NVE are visible on photos     (0 votes)
|
|

Proliferative Diabetic Retinopathy - Moderate - mild NVD with NVE 888 viewsVenous beading, vascular loops and NVE are visible on photos     (0 votes)
|
|

Proliferative Diabetic Retinopathy - Moderate - mild NVD with NVE 920 viewsVenous beading, vascular loops and NVE are visible on photos     (0 votes)
|
|

Proliferative Diabetic Retinopathy - Moderate - mild NVD with NVE 661 viewsVenous beading, vascular loops and NVE are visible on photos     (0 votes)
|
|

Proliferative Diabetic Retinopathy - Moderate - mild NVD with NVE 654 viewsVenous beading, vascular loops and NVE are visible on photos     (0 votes)
|
|

Proliferative Diabetic Retinopathy - Moderate - mild NVD with NVE 474 viewsVenous beading, vascular loops and NVE are visible on photos     (0 votes)
|
|

Proliferative Diabetic Retinopathy - Moderate - mild NVD with NVE 446 viewsSD OCT shows no significant macular edema     (0 votes)
|
|

Proliferative Diabetic Retinopathy - Moderate - mild NVD with NVE 474 viewsSD OCT shows no significant macular edema     (0 votes)
|
|

Proliferative Diabetic Retinopathy - Moderate - mild NVD with NVE 424 viewsSD OCT shows no significant macular edema     (0 votes)
|
|

Proliferative Diabetic Retinopathy - Moderate - mild NVD with NVE 400 viewsSD OCT shows no significant macular edema     (0 votes)
|
|

Proliferative Diabetic Retinopathy - Moderate - mild NVD with NVE 412 viewsIR reflectance     (0 votes)
|
|

Proliferative Diabetic Retinopathy - Moderate - mild NVD with NVE 405 viewsIR reflectance     (0 votes)
|
|

Proliferative Diabetic Retinopathy - Moderate - mild NVD with NVE 481 viewsIR reflectance     (0 votes)
|
|

Proliferative Diabetic Retinopathy - Moderate - mild NVD with NVE 482 viewsIR reflectance     (0 votes)
|
|

Proliferative Diabetic Retinopathy - Moderate - mild NVD with NVE 563 viewsFAF     (0 votes)
|
|

Proliferative Diabetic Retinopathy - Moderate - mild NVD with NVE 471 viewsFAF     (0 votes)
|
|

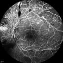
Proliferative Diabetic Retinopathy - Moderate - mild NVD with NVE 549 viewsFA shows leakage from neovascularization and dark areas in periphery from non-perfusion     (0 votes)
|
|

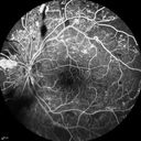
Proliferative Diabetic Retinopathy - Moderate - mild NVD with NVE 512 viewsFA shows leakage from neovascularization and dark areas in periphery from non-perfusion     (0 votes)
|
|

Proliferative Diabetic Retinopathy - Moderate - mild NVD with NVE 405 viewsFA shows leakage from neovascularization and dark areas in periphery from non-perfusion     (0 votes)
|
|

Proliferative Diabetic Retinopathy - Moderate - mild NVD with NVE 483 viewsFA shows leakage from neovascularization and dark areas in periphery from non-perfusion     (0 votes)
|
|

Proliferative Diabetic Retinopathy - Moderate - mild NVD with NVE 428 viewsFA shows leakage from neovascularization and dark areas in periphery from non-perfusion     (0 votes)
|
|

Proliferative Diabetic Retinopathy - Moderate - mild NVD with NVE 484 viewsFA shows leakage from neovascularization and dark areas in periphery from non-perfusion     (0 votes)
|
|

Proliferative Diabetic Retinopathy - Moderate - mild NVD with NVE 494 viewsFA shows leakage from neovascularization and dark areas in periphery from non-perfusion     (0 votes)
|
|

Proliferative Diabetic Retinopathy - Moderate - mild NVD with NVE 910 viewsFA shows leakage from neovascularization and dark areas in periphery from non-perfusion     (0 votes)
|
|

Proliferative Diabetic Retinopathy - Moderate - mild NVD with NVE 477 viewsFA shows leakage from neovascularization and dark areas in periphery from non-perfusion     (0 votes)
|
|

Proliferative Diabetic Retinopathy - Moderate - mild NVD with NVE 434 viewsFA shows leakage from neovascularization and dark areas in periphery from non-perfusion     (0 votes)
|
|

Proliferative Diabetic Retinopathy - Moderate - mild NVD with NVE 508 viewsFA shows leakage from neovascularization and dark areas in periphery from non-perfusion     (0 votes)
|
|

Proliferative Diabetic Retinopathy - Moderate - mild NVD with NVE 444 viewsFA shows leakage from neovascularization and dark areas in periphery from non-perfusion     (0 votes)
|
|

Proliferative Diabetic Retinopathy - Moderate - mild NVD with NVE 487 viewsFA shows leakage from neovascularization and dark areas in periphery from non-perfusion     (0 votes)
|
|

Proliferative Diabetic Retinopathy - Moderate - mild NVD with NVE 841 viewsFA shows leakage from neovascularization and dark areas in periphery from non-perfusion     (0 votes)
|
|

Proliferative Diabetic Retinopathy - Moderate - mild NVD with NVE 497 viewsFA shows leakage from neovascularization and dark areas in periphery from non-perfusion     (0 votes)
|
|

Proliferative Diabetic Retinopathy - Moderate - mild NVD with NVE 535 viewsFA shows leakage from neovascularization and dark areas in periphery from non-perfusion     (0 votes)
|
|

Proliferative Diabetic Retinopathy - Moderate - mild NVD with NVE 699 viewsFA shows leakage from neovascularization and dark areas in periphery from non-perfusion     (0 votes)
|
|

Proliferative Diabetic Retinopathy - Moderate - mild NVD with NVE 526 viewsFA shows leakage from neovascularization and dark areas in periphery from non-perfusion     (0 votes)
|
|

Proliferative Diabetic Retinopathy - Moderate - mild NVD with NVE 464 viewsFA shows leakage from neovascularization and dark areas in periphery from non-perfusion     (0 votes)
|
|

Proliferative Diabetic Retinopathy - Moderate - mild NVD with NVE 602 viewsFA shows leakage from neovascularization and dark areas in periphery from non-perfusion     (0 votes)
|
|
|
|
|
30 y.o man Type I with Red spot then line of yellow like dry blood" os, Started last weekend after nausea from stomach
bug. New floater in the left eye started 4 days ago. VA OD: cc20/20 NccJ1+ OS: cc20/160-1 PH20/100-2 NccJ4. Extensive PDR in both eyes.