Retina Gallery ~ Full Sized Retina Images

Library of Free, Non-Copyrighted Retina Images and Videos

Choose your language:
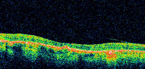
Macular and Peripheral Retinal Scarring from Diabetic Laser Done 25 years previously
72-year-old man had macular and peripheral laser done in the past(1980's)(25 years ago).  His vision, although limited, seems about stable to him.  He is diabetic for 30 years. OD is 20/160, OS  is 20/160.

Macular and Peripheral Retinal Scarring from Diabetic Laser Done 25 years previously

72-year-old man had macular and peripheral laser done in the past(1980's)(25 years ago). His vision, although limited, seems about stable to him. He is diabetic for 30 years. OD is 20/160, OS is 20/160.

amddrgeographicatropylaser10~0.jpg amddrgeographicatropylaser11~0.jpg amddrgeographicatropylaser12~0.jpg amddrgeographicatropylaser13~0.jpg amddrgeographicatropylaser14~0.jpg