Laser Scars - Diffuse Macular Atrophy
|
|
72-year-old man had macular and peripheral laser done in the past(1980's)(25 years ago). I have been seeing him for years now and I have not done any treatment. He takes Alphagan for his glaucoma. He was last here two years ago and he noticed his vision, although limited, seems about stable to him. He is diabetic for 30 years.
VISUAL ACUITY: Vision OD is 20/160, OS is 20/160. IOP: OD 15, OS 14. Posterior chamber intraocular lens is in good position in both eyes.
EXTENDED OPHTHALMOSCOPY:
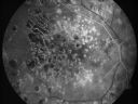
OD: Vertical C/D ratio is 0.5. There is extensive macular and peripheral scarring.
OS: Vertical C/D ratio is 0.5. There is extensive macular and peripheral scarring.
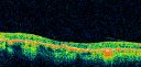
OCT SCAN: The OCT scan shows retinal atrophy.
PHOTOGRAPHS: Photos confirm clinical findings.
FLUORESCEIN ANGIOGRAPHY: FA shows predominantly hypofluorescence corresponding to the laser spots and geographic atrophy. There is no staining or leakage in either eye nor is there any sign of any diabetic retinopathy.
IMPRESSION: 1. QUIESCENT DIABETIC RETINOPATHY
2. MACULAR AND PERIPHERAL LASER – BOTH EYES
3. GEOGRAPHIC ATROPHY – LEFT EYE
DISCUSSION: I explained to the patient the macular scarring all looks about stable to me. I asked him to continue his Alphagan drops. He is seeing you every two months. I told him I think it is reasonable for him to return in two years.
|

Macular and Peripheral Retinal Scarring from Diabetic Laser Done 25 years previously845 views72-year-old man had macular and peripheral laser done in the past(1980's)(25 years ago). His vision, although limited, seems about stable to him. He is diabetic for 30 years. OD is 20/160, OS is 20/160.     (0 votes)
|
|

Macular and Peripheral Retinal Scarring from Diabetic Laser Done 25 years previously612 views72-year-old man had macular and peripheral laser done in the past(1980's)(25 years ago). His vision, although limited, seems about stable to him. He is diabetic for 30 years. OD is 20/160, OS is 20/160.     (0 votes)
|
|

Macular and Peripheral Retinal Scarring from Diabetic Laser Done 25 years previously798 views72-year-old man had macular and peripheral laser done in the past(1980's)(25 years ago). His vision, although limited, seems about stable to him. He is diabetic for 30 years. OD is 20/160, OS is 20/160.     (0 votes)
|
|

Macular and Peripheral Retinal Scarring from Diabetic Laser Done 25 years previously534 views72-year-old man had macular and peripheral laser done in the past(1980's)(25 years ago). His vision, although limited, seems about stable to him. He is diabetic for 30 years. OD is 20/160, OS is 20/160.     (0 votes)
|
|

Macular and Peripheral Retinal Scarring from Diabetic Laser Done 25 years previously510 views72-year-old man had macular and peripheral laser done in the past(1980's)(25 years ago). His vision, although limited, seems about stable to him. He is diabetic for 30 years. OD is 20/160, OS is 20/160.     (0 votes)
|
|

Macular and Peripheral Retinal Scarring from Diabetic Laser Done 25 years previously420 views72-year-old man had macular and peripheral laser done in the past(1980's)(25 years ago). His vision, although limited, seems about stable to him. He is diabetic for 30 years. OD is 20/160, OS is 20/160.     (0 votes)
|
|

Macular and Peripheral Retinal Scarring from Diabetic Laser Done 25 years previously421 views72-year-old man had macular and peripheral laser done in the past(1980's)(25 years ago). His vision, although limited, seems about stable to him. He is diabetic for 30 years. OD is 20/160, OS is 20/160.     (0 votes)
|
|

Macular and Peripheral Retinal Scarring from Diabetic Laser Done 25 years previously469 views72-year-old man had macular and peripheral laser done in the past(1980's)(25 years ago). His vision, although limited, seems about stable to him. He is diabetic for 30 years. OD is 20/160, OS is 20/160.     (0 votes)
|
|

Macular and Peripheral Retinal Scarring from Diabetic Laser Done 25 years previously474 views72-year-old man had macular and peripheral laser done in the past(1980's)(25 years ago). His vision, although limited, seems about stable to him. He is diabetic for 30 years. OD is 20/160, OS is 20/160.     (0 votes)
|
|

Macular and Peripheral Retinal Scarring from Diabetic Laser Done 25 years previously487 views72-year-old man had macular and peripheral laser done in the past(1980's)(25 years ago). His vision, although limited, seems about stable to him. He is diabetic for 30 years. OD is 20/160, OS is 20/160.     (0 votes)
|
|

Macular and Peripheral Retinal Scarring from Diabetic Laser Done 25 years previously466 views72-year-old man had macular and peripheral laser done in the past(1980's)(25 years ago). His vision, although limited, seems about stable to him. He is diabetic for 30 years. OD is 20/160, OS is 20/160.     (0 votes)
|
|

Macular and Peripheral Retinal Scarring from Diabetic Laser Done 25 years previously477 views72-year-old man had macular and peripheral laser done in the past(1980's)(25 years ago). His vision, although limited, seems about stable to him. He is diabetic for 30 years. OD is 20/160, OS is 20/160.     (0 votes)
|
|

Macular and Peripheral Retinal Scarring from Diabetic Laser Done 25 years previously527 views72-year-old man had macular and peripheral laser done in the past(1980's)(25 years ago). His vision, although limited, seems about stable to him. He is diabetic for 30 years. OD is 20/160, OS is 20/160.     (0 votes)
|
|

Macular and Peripheral Retinal Scarring from Diabetic Laser Done 25 years previously523 views72-year-old man had macular and peripheral laser done in the past(1980's)(25 years ago). His vision, although limited, seems about stable to him. He is diabetic for 30 years. OD is 20/160, OS is 20/160.     (0 votes)
|
|

Macular and Peripheral Retinal Scarring from Diabetic Laser Done 25 years previously528 views72-year-old man had macular and peripheral laser done in the past(1980's)(25 years ago). His vision, although limited, seems about stable to him. He is diabetic for 30 years. OD is 20/160, OS is 20/160.     (0 votes)
|
|
|
|
|
72-year-old man had macular and peripheral laser done in the past(1980's)(25 years ago). I have been seeing him for years now and I have not done any treatment. He takes Alphagan for his glaucoma. He was last here two years ago and he noticed his vision, although limited, seems about stable to him. He is diabetic for 30 years.
VISUAL ACUITY: Vision OD is 20/160, OS is 20/160. IOP: OD 15, OS 14. Posterior chamber intraocular lens is in good position in both eyes.
EXTENDED OPHTHALMOSCOPY:
OD: Vertical C/D ratio is 0.5. There is extensive macular and peripheral scarring.
OS: Vertical C/D ratio is 0.5. There is extensive macular and peripheral scarring.
OCT SCAN: The OCT scan shows retinal atrophy.
PHOTOGRAPHS: Photos confirm clinical findings.
FLUORESCEIN ANGIOGRAPHY: FA shows predominantly hypofluorescence corresponding to the laser spots and geographic atrophy. There is no staining or leakage in either eye nor is there any sign of any diabetic retinopathy.
IMPRESSION: 1. QUIESCENT DIABETIC RETINOPATHY
2. MACULAR AND PERIPHERAL LASER – BOTH EYES
3. GEOGRAPHIC ATROPHY – LEFT EYE
DISCUSSION: I explained to the patient the macular scarring all looks about stable to me. I asked him to continue his Alphagan drops. He is seeing you every two months. I told him I think it is reasonable for him to return in two years.