Retina Gallery ~ Full Sized Retina Images
Library of Free, Non-Copyrighted Retina Images and Videos
Home
Contact
About Us
Register
Login
Album list
Last uploads
Last comments
Most viewed
Top rated
My Favorites
By date
Search
FAQ
Choose your language:
FILE 9/23
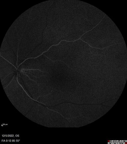
Macular schisis with no leakage on FA - Presumed Nerve pit maculopathy
73-year old female. Had treatment trial with Eylea with no benefit (4 months). Vision is 20/32 in left eye and has remained there (with a dense cataract).
File information
Filename:
nerve-pit_112919_121721_10.jpg
Album name:
scohen125
/
Macular Schisis - Presumed Optic Nerve Pit Maculopathy
Filesize:
84 KiB
Date added:
Feb 10, 2024
Dimensions:
768 x 868 pixels
Displayed:
142 times
URL:
https://retinagallery.com/displayimage.php?pid=17567
Favorites:
Add to Favorites