Retina Gallery ~ Full Sized Retina Images

Library of Free, Non-Copyrighted Retina Images and Videos

Choose your language:



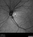
73-year old female - She had no visual complaints. She did notice a gradual decline in vision in the left eye. She also had cataracts. She was seeing the optometrist for glasses so no scans were done. She was told there might have been a decline from the cataracts. This started about 3-4 years ago. She was first noted to have swelling in the left eye one year ago. There was a possibility of something else so the patient had 3-4 Eylea injections October - December of 2021. Since then, she has not had any treatment (this was one year ago). She has been watching the left eye for change. If the vision were to get worse, then further treatment, like vitrectomy, could be considered. She lost hearing in the right eye ear and has been on oral prednisone for that. Medical Hx: Ear Steroid Injections x 5. Pure Hypercholesterolemia, Unspecified. Ocular Migraines. GERD. Gall Stones. Tinitis. Surgical Hx: Hysterectomy. Knee Surgery. Systemic Meds: Valacyclovir 1 Gram BID. ATORVASTATIN. CLONAZEPAM. ESTRADIOL. Imitrex. Methocarbamol. Omega 3. OMEPRAZOLE. Topiramate. VA 20/25 OD, 20/32 OS IOP 23,23 3+ Nuclear sclerotic cataract With 3 years follow-up the vision and the macula are stable.

nerve-pit_112919_121721_03.jpg
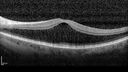
Macular schisis with no leakage on FA - Presumed Nerve pit maculopathy99 views73-year old female. Had treatment trial with Eylea with no benefit (4 months). Vision is 20/32 in left eye and has remained there (with a dense cataract).00000
(0 votes)
nerve-pit_112919_121721_04.jpg
Macular schisis with no leakage on FA - Presumed Nerve pit maculopathy112 views73-year old female. Had treatment trial with Eylea with no benefit (4 months). Vision is 20/32 in left eye and has remained there (with a dense cataract).00000
(0 votes)
nerve-pit_112919_121721_05.jpg
Macular schisis with no leakage on FA - Presumed Nerve pit maculopathy130 views73-year old female. Had treatment trial with Eylea with no benefit (4 months). Vision is 20/32 in left eye and has remained there (with a dense cataract).00000
(0 votes)
nerve-pit_112919_121721_06.jpg
Macular schisis with no leakage on FA - Presumed Nerve pit maculopathy118 views73-year old female. Had treatment trial with Eylea with no benefit (4 months). Vision is 20/32 in left eye and has remained there (with a dense cataract).00000
(0 votes)
nerve-pit_112919_121721_07.jpg
Macular schisis with no leakage on FA - Presumed Nerve pit maculopathy121 views73-year old female. Had treatment trial with Eylea with no benefit (4 months). Vision is 20/32 in left eye and has remained there (with a dense cataract).00000
(0 votes)
nerve-pit_112919_121721_02.JPG
Macular schisis with no leakage on FA - Presumed Nerve pit maculopathy129 views73-year old female. Had treatment trial with Eylea with no benefit (4 months). Vision is 20/32 in left eye and has remained there (with a dense cataract).00000
(0 votes)
nerve-pit_112919_121721_08.jpg
Macular schisis with no leakage on FA - Presumed Nerve pit maculopathy117 views73-year old female. Had treatment trial with Eylea with no benefit (4 months). Vision is 20/32 in left eye and has remained there (with a dense cataract).00000
(0 votes)
nerve-pit_112919_121721_09.jpg
Macular schisis with no leakage on FA - Presumed Nerve pit maculopathy118 views73-year old female. Had treatment trial with Eylea with no benefit (4 months). Vision is 20/32 in left eye and has remained there (with a dense cataract).00000
(0 votes)
nerve-pit_112919_121721_10.jpg
Macular schisis with no leakage on FA - Presumed Nerve pit maculopathy142 views73-year old female. Had treatment trial with Eylea with no benefit (4 months). Vision is 20/32 in left eye and has remained there (with a dense cataract).00000
(0 votes)
nerve-pit_112919_121721_11.jpg
Macular schisis with no leakage on FA - Presumed Nerve pit maculopathy111 views73-year old female. Had treatment trial with Eylea with no benefit (4 months). Vision is 20/32 in left eye and has remained there (with a dense cataract).00000
(0 votes)
nerve-pit_112919_121721_01.JPG
Macular schisis with no leakage on FA - Presumed Nerve pit maculopathy110 views73-year old female. Had treatment trial with Eylea with no benefit (4 months). Vision is 20/32 in left eye and has remained there (with a dense cataract).00000
(0 votes)
nerve-pit_112919_121721_12.jpg
Macular schisis with no leakage on FA - Presumed Nerve pit maculopathy109 views73-year old female. Had treatment trial with Eylea with no benefit (4 months). Vision is 20/32 in left eye and has remained there (with a dense cataract).00000
(0 votes)
nerve-pit_112919_121721_13.jpg
Macular schisis with no leakage on FA - Presumed Nerve pit maculopathy109 views73-year old female. Had treatment trial with Eylea with no benefit (4 months). Vision is 20/32 in left eye and has remained there (with a dense cataract).00000
(0 votes)
nerve-pit_112919_121721_14.jpg
Macular schisis with no leakage on FA - Presumed Nerve pit maculopathy99 views73-year old female. Had treatment trial with Eylea with no benefit (4 months). Vision is 20/32 in left eye and has remained there (with a dense cataract).00000
(0 votes)
nerve-pit_112919_121721_15.jpg
Macular schisis with no leakage on FA - Presumed Nerve pit maculopathy111 views73-year old female. Had treatment trial with Eylea with no benefit (4 months). Vision is 20/32 in left eye and has remained there (with a dense cataract).00000
(0 votes)
nerve-pit_112919_121721_16.jpg
Macular schisis with no leakage on FA - Presumed Nerve pit maculopathy109 views73-year old female. Had treatment trial with Eylea with no benefit (4 months). Vision is 20/32 in left eye and has remained there (with a dense cataract).00000
(0 votes)
nerve-pit_112919_121721_17.jpg
Macular schisis with no leakage on FA - Presumed Nerve pit maculopathy131 views73-year old female. Had treatment trial with Eylea with no benefit (4 months). Vision is 20/32 in left eye and has remained there (with a dense cataract).00000
(0 votes)
nerve-pit_112919_121721_18.jpg
Macular schisis with no leakage on FA - Presumed Nerve pit maculopathy119 views73-year old female. Had treatment trial with Eylea with no benefit (4 months). Vision is 20/32 in left eye and has remained there (with a dense cataract).00000
(0 votes)
nerve-pit_112919_121721_19.jpg
Macular schisis with no leakage on FA - Presumed Nerve pit maculopathy111 views73-year old female. Had treatment trial with Eylea with no benefit (4 months). Vision is 20/32 in left eye and has remained there (with a dense cataract).00000
(0 votes)
nerve-pit_112919_121721_20.jpg
Macular schisis with no leakage on FA - Presumed Nerve pit maculopathy118 views73-year old female. Had treatment trial with Eylea with no benefit (4 months). Vision is 20/32 in left eye and has remained there (with a dense cataract).00000
(0 votes)
nerve-pit_112919_121721_21.jpg
Macular schisis with no leakage on FA - Presumed Nerve pit maculopathy122 views73-year old female. Had treatment trial with Eylea with no benefit (4 months). Vision is 20/32 in left eye and has remained there (with a dense cataract).00000
(0 votes)
nervepitschisis_28129.JPG
Macular schisis with no leakage on FA - Presumed Nerve pit maculopathy - NO THERAPY - BETTER207 views73-year old female. Had treatment trial with Eylea with no benefit (4 months). Vision is 20/32 in left eye and has remained there (with a dense cataract).00000
(0 votes)
nervepitschisis_28229.JPG
Macular schisis with no leakage on FA - Presumed Nerve pit maculopathy - NO THERAPY - BETTER195 views73-year old female. Had treatment trial with Eylea with no benefit (4 months). Vision is 20/32 in left eye and has remained there (with a dense cataract).00000
(0 votes)
 
23 files on 1 page(s)

73-year old female - She had no visual complaints. She did notice a gradual decline in vision in the left eye. She also had cataracts. She was seeing the optometrist for glasses so no scans were done. She was told there might have been a decline from the cataracts. This started about 3-4 years ago. She was first noted to have swelling in the left eye one year ago. There was a possibility of something else so the patient had 3-4 Eylea injections October - December of 2021. Since then, she has not had any treatment (this was one year ago). She has been watching the left eye for change. If the vision were to get worse, then further treatment, like vitrectomy, could be considered. She lost hearing in the right eye ear and has been on oral prednisone for that. Medical Hx: Ear Steroid Injections x 5. Pure Hypercholesterolemia, Unspecified. Ocular Migraines. GERD. Gall Stones. Tinitis. Surgical Hx: Hysterectomy. Knee Surgery. Systemic Meds: Valacyclovir 1 Gram BID. ATORVASTATIN. CLONAZEPAM. ESTRADIOL. Imitrex. Methocarbamol. Omega 3. OMEPRAZOLE. Topiramate. VA 20/25 OD, 20/32 OS IOP 23,23 3+ Nuclear sclerotic cataract With 3 years follow-up the vision and the macula are stable.