Retina Gallery ~ Full Sized Retina Images

Library of Free, Non-Copyrighted Retina Images and Videos

Choisissez votre langue:
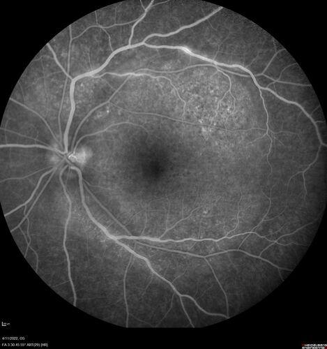
Acute Syphilitic Posterior Placoid Chorioretinitis
40 year old man About 10 days ago the patient woke up with a dark circle in the middle of the left eye that blocks his vision.  He thought it might be from fatigue.  The month of March was very stressful.  After a few days the spot in the left eye got darker and he could not drive at night.  During the last week while not going to work and sleeping more his vision is better but not normal.  He has never had vision loss in the past.  
PMHx: Benign,  Meds: Multivitamin
VA OD: sc20/16 NscJ1+VA OS: sc20/32+2 NscJ4
IOP: TP: OD:12 OS:12

Acute Syphilitic Posterior Placoid Chorioretinitis

40 year old man About 10 days ago the patient woke up with a dark circle in the middle of the left eye that blocks his vision.  He thought it might be from fatigue.  The month of March was very stressful.  After a few days the spot in the left eye got darker and he could not drive at night.  During the last week while not going to work and sleeping more his vision is better but not normal.  He has never had vision loss in the past.  
PMHx: Benign, Meds: Multivitamin
VA OD: sc20/16 NscJ1+VA OS: sc20/32+2 NscJ4
IOP: TP: OD:12 OS:12

syphilis1_mialc_04122022_20.jpg syphilis1_mialc_04122022_21.jpg syphilis1_mialc_04122022_23.jpg syphilis1_mialc_04122022_24.jpg syphilis1_mialc_04122022_25.jpg