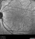
Acute Syphilitic Posterior Placoid Chorioretinitis
|
|
40 year old man About 10 days ago the patient woke up with a dark circle in the middle of the left eye that blocks his vision. He thought it might be from fatigue. The month of March was very stressful. After a few days the spot in the left eye got darker and he could not drive at night. During the last week while not going to work and sleeping more his vision is better but not normal. He has never had vision loss in the past. Â
PMHx: Benign, Meds: Multivitamin
VA OD: sc20/16 NscJ1+VA OS: sc20/32+2 NscJ4
IOP: TP: OD:12 OS:12
|

Acute Syphilitic Posterior Placoid Chorioretinitis267 views40 year old man About 10 days ago the patient woke up with a dark circle in the middle of the left eye that blocks his vision. He thought it might be from fatigue. The month of March was very stressful. After a few days the spot in the left eye got darker and he could not drive at night. During the last week while not going to work and sleeping more his vision is better but not normal. He has never had vision loss in the past. Â
PMHx: Benign, Meds: Multivitamin
VA OD: sc20/16 NscJ1+VA OS: sc20/32+2 NscJ4
IOP: TP: OD:12 OS:12     (0 votes)
|
|

Acute Syphilitic Posterior Placoid Chorioretinitis253 views40 year old man About 10 days ago the patient woke up with a dark circle in the middle of the left eye that blocks his vision. He thought it might be from fatigue. The month of March was very stressful. After a few days the spot in the left eye got darker and he could not drive at night. During the last week while not going to work and sleeping more his vision is better but not normal. He has never had vision loss in the past. Â
PMHx: Benign, Meds: Multivitamin
VA OD: sc20/16 NscJ1+VA OS: sc20/32+2 NscJ4
IOP: TP: OD:12 OS:12     (0 votes)
|
|

Acute Syphilitic Posterior Placoid Chorioretinitis268 views40 year old man About 10 days ago the patient woke up with a dark circle in the middle of the left eye that blocks his vision. He thought it might be from fatigue. The month of March was very stressful. After a few days the spot in the left eye got darker and he could not drive at night. During the last week while not going to work and sleeping more his vision is better but not normal. He has never had vision loss in the past. Â
PMHx: Benign, Meds: Multivitamin
VA OD: sc20/16 NscJ1+VA OS: sc20/32+2 NscJ4
IOP: TP: OD:12 OS:12     (0 votes)
|
|

Acute Syphilitic Posterior Placoid Chorioretinitis239 views40 year old man About 10 days ago the patient woke up with a dark circle in the middle of the left eye that blocks his vision. He thought it might be from fatigue. The month of March was very stressful. After a few days the spot in the left eye got darker and he could not drive at night. During the last week while not going to work and sleeping more his vision is better but not normal. He has never had vision loss in the past. Â
PMHx: Benign, Meds: Multivitamin
VA OD: sc20/16 NscJ1+VA OS: sc20/32+2 NscJ4
IOP: TP: OD:12 OS:12     (0 votes)
|
|

Acute Syphilitic Posterior Placoid Chorioretinitis260 views40 year old man About 10 days ago the patient woke up with a dark circle in the middle of the left eye that blocks his vision. He thought it might be from fatigue. The month of March was very stressful. After a few days the spot in the left eye got darker and he could not drive at night. During the last week while not going to work and sleeping more his vision is better but not normal. He has never had vision loss in the past. Â
PMHx: Benign, Meds: Multivitamin
VA OD: sc20/16 NscJ1+VA OS: sc20/32+2 NscJ4
IOP: TP: OD:12 OS:12     (0 votes)
|
|

Acute Syphilitic Posterior Placoid Chorioretinitis286 views40 year old man About 10 days ago the patient woke up with a dark circle in the middle of the left eye that blocks his vision. He thought it might be from fatigue. The month of March was very stressful. After a few days the spot in the left eye got darker and he could not drive at night. During the last week while not going to work and sleeping more his vision is better but not normal. He has never had vision loss in the past. Â
PMHx: Benign, Meds: Multivitamin
VA OD: sc20/16 NscJ1+VA OS: sc20/32+2 NscJ4
IOP: TP: OD:12 OS:12     (0 votes)
|
|

Acute Syphilitic Posterior Placoid Chorioretinitis251 views40 year old man About 10 days ago the patient woke up with a dark circle in the middle of the left eye that blocks his vision. He thought it might be from fatigue. The month of March was very stressful. After a few days the spot in the left eye got darker and he could not drive at night. During the last week while not going to work and sleeping more his vision is better but not normal. He has never had vision loss in the past. Â
PMHx: Benign, Meds: Multivitamin
VA OD: sc20/16 NscJ1+VA OS: sc20/32+2 NscJ4
IOP: TP: OD:12 OS:12     (0 votes)
|
|

Acute Syphilitic Posterior Placoid Chorioretinitis262 views40 year old man About 10 days ago the patient woke up with a dark circle in the middle of the left eye that blocks his vision. He thought it might be from fatigue. The month of March was very stressful. After a few days the spot in the left eye got darker and he could not drive at night. During the last week while not going to work and sleeping more his vision is better but not normal. He has never had vision loss in the past. Â
PMHx: Benign, Meds: Multivitamin
VA OD: sc20/16 NscJ1+VA OS: sc20/32+2 NscJ4
IOP: TP: OD:12 OS:12     (0 votes)
|
|

Acute Syphilitic Posterior Placoid Chorioretinitis277 views40 year old man About 10 days ago the patient woke up with a dark circle in the middle of the left eye that blocks his vision. He thought it might be from fatigue. The month of March was very stressful. After a few days the spot in the left eye got darker and he could not drive at night. During the last week while not going to work and sleeping more his vision is better but not normal. He has never had vision loss in the past. Â
PMHx: Benign, Meds: Multivitamin
VA OD: sc20/16 NscJ1+VA OS: sc20/32+2 NscJ4
IOP: TP: OD:12 OS:12     (0 votes)
|
|

Acute Syphilitic Posterior Placoid Chorioretinitis338 views40 year old man About 10 days ago the patient woke up with a dark circle in the middle of the left eye that blocks his vision. He thought it might be from fatigue. The month of March was very stressful. After a few days the spot in the left eye got darker and he could not drive at night. During the last week while not going to work and sleeping more his vision is better but not normal. He has never had vision loss in the past. Â
PMHx: Benign, Meds: Multivitamin
VA OD: sc20/16 NscJ1+VA OS: sc20/32+2 NscJ4
IOP: TP: OD:12 OS:12     (0 votes)
|
|

Acute Syphilitic Posterior Placoid Chorioretinitis254 views40 year old man About 10 days ago the patient woke up with a dark circle in the middle of the left eye that blocks his vision. He thought it might be from fatigue. The month of March was very stressful. After a few days the spot in the left eye got darker and he could not drive at night. During the last week while not going to work and sleeping more his vision is better but not normal. He has never had vision loss in the past. Â
PMHx: Benign, Meds: Multivitamin
VA OD: sc20/16 NscJ1+VA OS: sc20/32+2 NscJ4
IOP: TP: OD:12 OS:12     (0 votes)
|
|

Acute Syphilitic Posterior Placoid Chorioretinitis247 views40 year old man About 10 days ago the patient woke up with a dark circle in the middle of the left eye that blocks his vision. He thought it might be from fatigue. The month of March was very stressful. After a few days the spot in the left eye got darker and he could not drive at night. During the last week while not going to work and sleeping more his vision is better but not normal. He has never had vision loss in the past. Â
PMHx: Benign, Meds: Multivitamin
VA OD: sc20/16 NscJ1+VA OS: sc20/32+2 NscJ4
IOP: TP: OD:12 OS:12     (0 votes)
|
|

Acute Syphilitic Posterior Placoid Chorioretinitis244 views40 year old man About 10 days ago the patient woke up with a dark circle in the middle of the left eye that blocks his vision. He thought it might be from fatigue. The month of March was very stressful. After a few days the spot in the left eye got darker and he could not drive at night. During the last week while not going to work and sleeping more his vision is better but not normal. He has never had vision loss in the past. Â
PMHx: Benign, Meds: Multivitamin
VA OD: sc20/16 NscJ1+VA OS: sc20/32+2 NscJ4
IOP: TP: OD:12 OS:12     (0 votes)
|
|

Acute Syphilitic Posterior Placoid Chorioretinitis266 views40 year old man About 10 days ago the patient woke up with a dark circle in the middle of the left eye that blocks his vision. He thought it might be from fatigue. The month of March was very stressful. After a few days the spot in the left eye got darker and he could not drive at night. During the last week while not going to work and sleeping more his vision is better but not normal. He has never had vision loss in the past. Â
PMHx: Benign, Meds: Multivitamin
VA OD: sc20/16 NscJ1+VA OS: sc20/32+2 NscJ4
IOP: TP: OD:12 OS:12     (0 votes)
|
|

Acute Syphilitic Posterior Placoid Chorioretinitis241 views40 year old man About 10 days ago the patient woke up with a dark circle in the middle of the left eye that blocks his vision. He thought it might be from fatigue. The month of March was very stressful. After a few days the spot in the left eye got darker and he could not drive at night. During the last week while not going to work and sleeping more his vision is better but not normal. He has never had vision loss in the past. Â
PMHx: Benign, Meds: Multivitamin
VA OD: sc20/16 NscJ1+VA OS: sc20/32+2 NscJ4
IOP: TP: OD:12 OS:12     (0 votes)
|
|

Acute Syphilitic Posterior Placoid Chorioretinitis245 views40 year old man About 10 days ago the patient woke up with a dark circle in the middle of the left eye that blocks his vision. He thought it might be from fatigue. The month of March was very stressful. After a few days the spot in the left eye got darker and he could not drive at night. During the last week while not going to work and sleeping more his vision is better but not normal. He has never had vision loss in the past. Â
PMHx: Benign, Meds: Multivitamin
VA OD: sc20/16 NscJ1+VA OS: sc20/32+2 NscJ4
IOP: TP: OD:12 OS:12     (0 votes)
|
|

Acute Syphilitic Posterior Placoid Chorioretinitis266 views40 year old man About 10 days ago the patient woke up with a dark circle in the middle of the left eye that blocks his vision. He thought it might be from fatigue. The month of March was very stressful. After a few days the spot in the left eye got darker and he could not drive at night. During the last week while not going to work and sleeping more his vision is better but not normal. He has never had vision loss in the past. Â
PMHx: Benign, Meds: Multivitamin
VA OD: sc20/16 NscJ1+VA OS: sc20/32+2 NscJ4
IOP: TP: OD:12 OS:12     (0 votes)
|
|

Acute Syphilitic Posterior Placoid Chorioretinitis301 views40 year old man About 10 days ago the patient woke up with a dark circle in the middle of the left eye that blocks his vision. He thought it might be from fatigue. The month of March was very stressful. After a few days the spot in the left eye got darker and he could not drive at night. During the last week while not going to work and sleeping more his vision is better but not normal. He has never had vision loss in the past. Â
PMHx: Benign, Meds: Multivitamin
VA OD: sc20/16 NscJ1+VA OS: sc20/32+2 NscJ4
IOP: TP: OD:12 OS:12     (0 votes)
|
|

Acute Syphilitic Posterior Placoid Chorioretinitis260 views40 year old man About 10 days ago the patient woke up with a dark circle in the middle of the left eye that blocks his vision. He thought it might be from fatigue. The month of March was very stressful. After a few days the spot in the left eye got darker and he could not drive at night. During the last week while not going to work and sleeping more his vision is better but not normal. He has never had vision loss in the past. Â
PMHx: Benign, Meds: Multivitamin
VA OD: sc20/16 NscJ1+VA OS: sc20/32+2 NscJ4
IOP: TP: OD:12 OS:12     (0 votes)
|
|

Acute Syphilitic Posterior Placoid Chorioretinitis245 views40 year old man About 10 days ago the patient woke up with a dark circle in the middle of the left eye that blocks his vision. He thought it might be from fatigue. The month of March was very stressful. After a few days the spot in the left eye got darker and he could not drive at night. During the last week while not going to work and sleeping more his vision is better but not normal. He has never had vision loss in the past. Â
PMHx: Benign, Meds: Multivitamin
VA OD: sc20/16 NscJ1+VA OS: sc20/32+2 NscJ4
IOP: TP: OD:12 OS:12     (0 votes)
|
|

Acute Syphilitic Posterior Placoid Chorioretinitis249 views40 year old man About 10 days ago the patient woke up with a dark circle in the middle of the left eye that blocks his vision. He thought it might be from fatigue. The month of March was very stressful. After a few days the spot in the left eye got darker and he could not drive at night. During the last week while not going to work and sleeping more his vision is better but not normal. He has never had vision loss in the past. Â
PMHx: Benign, Meds: Multivitamin
VA OD: sc20/16 NscJ1+VA OS: sc20/32+2 NscJ4
IOP: TP: OD:12 OS:12     (0 votes)
|
|

Acute Syphilitic Posterior Placoid Chorioretinitis267 views40 year old man About 10 days ago the patient woke up with a dark circle in the middle of the left eye that blocks his vision. He thought it might be from fatigue. The month of March was very stressful. After a few days the spot in the left eye got darker and he could not drive at night. During the last week while not going to work and sleeping more his vision is better but not normal. He has never had vision loss in the past. Â
PMHx: Benign, Meds: Multivitamin
VA OD: sc20/16 NscJ1+VA OS: sc20/32+2 NscJ4
IOP: TP: OD:12 OS:12     (0 votes)
|
|

Acute Syphilitic Posterior Placoid Chorioretinitis282 views40 year old man About 10 days ago the patient woke up with a dark circle in the middle of the left eye that blocks his vision. He thought it might be from fatigue. The month of March was very stressful. After a few days the spot in the left eye got darker and he could not drive at night. During the last week while not going to work and sleeping more his vision is better but not normal. He has never had vision loss in the past. Â
PMHx: Benign, Meds: Multivitamin
VA OD: sc20/16 NscJ1+VA OS: sc20/32+2 NscJ4
IOP: TP: OD:12 OS:12     (0 votes)
|
|

Acute Syphilitic Posterior Placoid Chorioretinitis263 views40 year old man About 10 days ago the patient woke up with a dark circle in the middle of the left eye that blocks his vision. He thought it might be from fatigue. The month of March was very stressful. After a few days the spot in the left eye got darker and he could not drive at night. During the last week while not going to work and sleeping more his vision is better but not normal. He has never had vision loss in the past. Â
PMHx: Benign, Meds: Multivitamin
VA OD: sc20/16 NscJ1+VA OS: sc20/32+2 NscJ4
IOP: TP: OD:12 OS:12     (0 votes)
|
|

Acute Syphilitic Posterior Placoid Chorioretinitis243 views40 year old man About 10 days ago the patient woke up with a dark circle in the middle of the left eye that blocks his vision. He thought it might be from fatigue. The month of March was very stressful. After a few days the spot in the left eye got darker and he could not drive at night. During the last week while not going to work and sleeping more his vision is better but not normal. He has never had vision loss in the past. Â
PMHx: Benign, Meds: Multivitamin
VA OD: sc20/16 NscJ1+VA OS: sc20/32+2 NscJ4
IOP: TP: OD:12 OS:12     (0 votes)
|
|

Acute Syphilitic Posterior Placoid Chorioretinitis255 views40 year old man About 10 days ago the patient woke up with a dark circle in the middle of the left eye that blocks his vision. He thought it might be from fatigue. The month of March was very stressful. After a few days the spot in the left eye got darker and he could not drive at night. During the last week while not going to work and sleeping more his vision is better but not normal. He has never had vision loss in the past. Â
PMHx: Benign, Meds: Multivitamin
VA OD: sc20/16 NscJ1+VA OS: sc20/32+2 NscJ4
IOP: TP: OD:12 OS:12     (0 votes)
|
|

Acute Syphilitic Posterior Placoid Chorioretinitis256 views40 year old man About 10 days ago the patient woke up with a dark circle in the middle of the left eye that blocks his vision. He thought it might be from fatigue. The month of March was very stressful. After a few days the spot in the left eye got darker and he could not drive at night. During the last week while not going to work and sleeping more his vision is better but not normal. He has never had vision loss in the past. Â
PMHx: Benign, Meds: Multivitamin
VA OD: sc20/16 NscJ1+VA OS: sc20/32+2 NscJ4
IOP: TP: OD:12 OS:12     (0 votes)
|
|

Acute Syphilitic Posterior Placoid Chorioretinitis266 views40 year old man About 10 days ago the patient woke up with a dark circle in the middle of the left eye that blocks his vision. He thought it might be from fatigue. The month of March was very stressful. After a few days the spot in the left eye got darker and he could not drive at night. During the last week while not going to work and sleeping more his vision is better but not normal. He has never had vision loss in the past. Â
PMHx: Benign, Meds: Multivitamin
VA OD: sc20/16 NscJ1+VA OS: sc20/32+2 NscJ4
IOP: TP: OD:12 OS:12     (0 votes)
|
|

Acute Syphilitic Posterior Placoid Chorioretinitis249 views40 year old man About 10 days ago the patient woke up with a dark circle in the middle of the left eye that blocks his vision. He thought it might be from fatigue. The month of March was very stressful. After a few days the spot in the left eye got darker and he could not drive at night. During the last week while not going to work and sleeping more his vision is better but not normal. He has never had vision loss in the past. Â
PMHx: Benign, Meds: Multivitamin
VA OD: sc20/16 NscJ1+VA OS: sc20/32+2 NscJ4
IOP: TP: OD:12 OS:12     (0 votes)
|
|

Acute Syphilitic Posterior Placoid Chorioretinitis371 views40 year old man About 10 days ago the patient woke up with a dark circle in the middle of the left eye that blocks his vision. He thought it might be from fatigue. The month of March was very stressful. After a few days the spot in the left eye got darker and he could not drive at night. During the last week while not going to work and sleeping more his vision is better but not normal. He has never had vision loss in the past. Â
PMHx: Benign, Meds: Multivitamin
VA OD: sc20/16 NscJ1+VA OS: sc20/32+2 NscJ4
IOP: TP: OD:12 OS:12     (0 votes)
|
|

Acute Syphilitic Posterior Placoid Chorioretinitis356 views40 year old man About 10 days ago the patient woke up with a dark circle in the middle of the left eye that blocks his vision. He thought it might be from fatigue. The month of March was very stressful. After a few days the spot in the left eye got darker and he could not drive at night. During the last week while not going to work and sleeping more his vision is better but not normal. He has never had vision loss in the past. Â
PMHx: Benign, Meds: Multivitamin
VA OD: sc20/16 NscJ1+VA OS: sc20/32+2 NscJ4
IOP: TP: OD:12 OS:12     (0 votes)
|
|

Acute Syphilitic Posterior Placoid Chorioretinitis358 views40 year old man About 10 days ago the patient woke up with a dark circle in the middle of the left eye that blocks his vision. He thought it might be from fatigue. The month of March was very stressful. After a few days the spot in the left eye got darker and he could not drive at night. During the last week while not going to work and sleeping more his vision is better but not normal. He has never had vision loss in the past. Â
PMHx: Benign, Meds: Multivitamin
VA OD: sc20/16 NscJ1+VA OS: sc20/32+2 NscJ4
IOP: TP: OD:12 OS:12     (0 votes)
|
|
|
|
40 year old man About 10 days ago the patient woke up with a dark circle in the middle of the left eye that blocks his vision. He thought it might be from fatigue. The month of March was very stressful. After a few days the spot in the left eye got darker and he could not drive at night. During the last week while not going to work and sleeping more his vision is better but not normal. He has never had vision loss in the past. Â
PMHx: Benign, Meds: Multivitamin
VA OD: sc20/16 NscJ1+VA OS: sc20/32+2 NscJ4
IOP: TP: OD:12 OS:12