Retina Gallery ~ Full Sized Retina Images

Library of Free, Non-Copyrighted Retina Images and Videos

Choose your language:
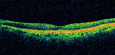
Wet AMD - Subfoveal CNVM - Excellent Response to Avastin
76-year-old woman two to three months of vision loss OD

Vision started at 20/200 and with Avastin improved to 20/25.  She has required monthly injections and as of October 2010 has been treated about 16 times.  Her left eye remains good at 20/20. 

The OCT from post-treatment as well as pretreatment images are in this album.

Wet AMD - Subfoveal CNVM - Excellent Response to Avastin

76-year-old woman two to three months of vision loss OD

Vision started at 20/200 and with Avastin improved to 20/25. She has required monthly injections and as of October 2010 has been treated about 16 times. Her left eye remains good at 20/20.

The OCT from post-treatment as well as pretreatment images are in this album.

wetamd_63356.jpg wetamd_63356_28229.jpg wetamd_63356_28129.jpg wetamd_63356_28329.jpg wetamd_63356_281029.png