Retina Gallery ~ Full Sized Retina Images

Library of Free, Non-Copyrighted Retina Images and Videos

Choose your language:



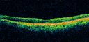
76-year-old woman who I saw in the office on May 7, 2009. She noticed when she was at Ruth Eckerd Hall watching a show, about two to three months ago when she covered her left eye she had a brown spot in the vision in the right eye. She saw you for the first time recently and you suggested that she come in here for urgent evaluation because of the vision loss in the right eye. She did have cataract surgery in the right eye in 2008. The left eye was 2002. She started on the eye vitamins per your instructions. VISUAL ACUITY: OD 20/200, OS 20/20. IOP: OD 12, OS 11. SLIT EXAMINATION: The posterior chamber intraocular lens is in good position in both eyes with clear capsules. EXTENDED OPHTHALMOSCOPY: OD: Vertical C/D ratio is 0.2. There is a posterior vitreous separation. There is a low lying pigment epithelial detachment under the fovea with 1+ subretinal fluid. OS: Vertical C/D ratio is 0.2. There is a posterior vitreous separation and 2+ macular drusen. OCT SCAN: The OCT scan of the right eye shows a serous macular detachment overlying a lobule pigment epithelial detachment. The left eye shows macular drusen with a near normal foveal contour. Photos confirm clinical findings. FLUORESCEIN ANGIOGRAPHY: Fluorescein angiography shows a predominately occult subfoveal choroidal neovascular membrane in the right eye, less than four disc areas in size. The left eye has staining and drusen. IMPRESSION: 1. AGE-RELATED MACULAR DEGENERATION – BOTH EYES 2. SUBFOVEAL CHOROIDAL NEOVASCULAR MEMBRANE - RIGHT EYE 3. PIGMENT EPITHELIAL DETACHMENT – RIGHT EYE 4. SEROUS MACULAR DETACHMENT – RIGHT EYE DISCUSSION: I explained to the patient the vision in the right eye is compromised by the wet age-related macular degeneration. At this moment the best treatment for that is intravitreal injections. I suggest that we start with Avastin and see how the eye does and then we can always adjust the treatment if needed. I asked her to continue taking the eye vitamins for the left eye. I gave her instructions on healthy dietary recommendations. She will follow the Amsler grid at home. She will return in one month for evaluation and probable retreatment. She will return sooner should she notice any problems and see you back regularly. Patient was treated with monthly Avastin and vision improved within 6 months to 20/25 and remains good with monthly treatments.

wetamd_63356_28529.png
Wet AMD - Subfoveal CNVM - Excellent Response to Avastin543 views76-year-old woman two to three months of vision loss OD

Vision started at 20/200 and with Avastin improved to 20/25. She has required monthly injections and as of October 2010 has been treated about 16 times. Her left eye remains good at 20/20.

The OCT from post-treatment as well as pretreatment images are in this album.
00000
(0 votes)
wetamd_63356_28829.png
Wet AMD - Subfoveal CNVM - Excellent Response to Avastin541 views76-year-old woman two to three months of vision loss OD

Vision started at 20/200 and with Avastin improved to 20/25. She has required monthly injections and as of October 2010 has been treated about 16 times. Her left eye remains good at 20/20.

The OCT from post-treatment as well as pretreatment images are in this album.
00000
(0 votes)
wetamd_63356.jpg
Wet AMD - Subfoveal CNVM - Excellent Response to Avastin557 views76-year-old woman two to three months of vision loss OD

Vision started at 20/200 and with Avastin improved to 20/25. She has required monthly injections and as of October 2010 has been treated about 16 times. Her left eye remains good at 20/20.

The OCT from post-treatment as well as pretreatment images are in this album.
00000
(0 votes)
wetamd_63356_28229.jpg
Wet AMD - Subfoveal CNVM - Excellent Response to Avastin564 views76-year-old woman two to three months of vision loss OD

Vision started at 20/200 and with Avastin improved to 20/25. She has required monthly injections and as of October 2010 has been treated about 16 times. Her left eye remains good at 20/20.

The OCT from post-treatment as well as pretreatment images are in this album.
00000
(0 votes)
wetamd_63356_28129.jpg
Wet AMD - Subfoveal CNVM - Excellent Response to Avastin555 views76-year-old woman two to three months of vision loss OD

Vision started at 20/200 and with Avastin improved to 20/25. She has required monthly injections and as of October 2010 has been treated about 16 times. Her left eye remains good at 20/20.

The OCT from post-treatment as well as pretreatment images are in this album.
00000
(0 votes)
wetamd_63356_28329.jpg
Wet AMD - Subfoveal CNVM - Excellent Response to Avastin512 views76-year-old woman two to three months of vision loss OD

Vision started at 20/200 and with Avastin improved to 20/25. She has required monthly injections and as of October 2010 has been treated about 16 times. Her left eye remains good at 20/20.

The OCT from post-treatment as well as pretreatment images are in this album.
00000
(0 votes)
wetamd_63356_281029.png
Wet AMD - Subfoveal CNVM - Excellent Response to Avastin463 views76-year-old woman two to three months of vision loss OD

Vision started at 20/200 and with Avastin improved to 20/25. She has required monthly injections and as of October 2010 has been treated about 16 times. Her left eye remains good at 20/20.

The OCT from post-treatment as well as pretreatment images are in this album.
00000
(0 votes)
wetamd_63356_281129.png
Wet AMD - Subfoveal CNVM - Excellent Response to Avastin456 views76-year-old woman two to three months of vision loss OD

Vision started at 20/200 and with Avastin improved to 20/25. She has required monthly injections and as of October 2010 has been treated about 16 times. Her left eye remains good at 20/20.

The OCT from post-treatment as well as pretreatment images are in this album.
00000
(0 votes)
wetamd_63356_281229.png
Wet AMD - Subfoveal CNVM - Excellent Response to Avastin428 views76-year-old woman two to three months of vision loss OD

Vision started at 20/200 and with Avastin improved to 20/25. She has required monthly injections and as of October 2010 has been treated about 16 times. Her left eye remains good at 20/20.

The OCT from post-treatment as well as pretreatment images are in this album.
00000
(0 votes)
wetamd_63356_281329.png
Wet AMD - Subfoveal CNVM - Excellent Response to Avastin494 views76-year-old woman two to three months of vision loss OD

Vision started at 20/200 and with Avastin improved to 20/25. She has required monthly injections and as of October 2010 has been treated about 16 times. Her left eye remains good at 20/20.

The OCT from post-treatment as well as pretreatment images are in this album.
00000
(0 votes)
wetamd_63356_281829.png
Wet AMD - Subfoveal CNVM - Excellent Response to Avastin541 views76-year-old woman two to three months of vision loss OD

Vision started at 20/200 and with Avastin improved to 20/25. She has required monthly injections and as of October 2010 has been treated about 16 times. Her left eye remains good at 20/20.

The OCT from post-treatment as well as pretreatment images are in this album.
00000
(0 votes)
post_6_months_of_monthly_avastin.jpg
Wet AMD - Subfoveal CNVM - Excellent Response to Avastin530 views76-year-old woman two to three months of vision loss OD

Vision started at 20/200 and with Avastin improved to 20/25. She has required monthly injections and as of October 2010 has been treated about 16 times. Her left eye remains good at 20/20.

The OCT from post-treatment as well as pretreatment images are in this album.
00000
(0 votes)
post_6_months_of_monthly_avastin_28129.jpg
Wet AMD - Subfoveal CNVM - Excellent Response to Avastin618 views76-year-old woman two to three months of vision loss OD

Vision started at 20/200 and with Avastin improved to 20/25. She has required monthly injections and as of October 2010 has been treated about 16 times. Her left eye remains good at 20/20.

The OCT from post-treatment as well as pretreatment images are in this album.
00000
(0 votes)
     
13 files on 1 page(s)

76-year-old woman who I saw in the office on May 7, 2009. She noticed when she was at Ruth Eckerd Hall watching a show, about two to three months ago when she covered her left eye she had a brown spot in the vision in the right eye. She saw you for the first time recently and you suggested that she come in here for urgent evaluation because of the vision loss in the right eye. She did have cataract surgery in the right eye in 2008. The left eye was 2002. She started on the eye vitamins per your instructions. VISUAL ACUITY: OD 20/200, OS 20/20. IOP: OD 12, OS 11. SLIT EXAMINATION: The posterior chamber intraocular lens is in good position in both eyes with clear capsules. EXTENDED OPHTHALMOSCOPY: OD: Vertical C/D ratio is 0.2. There is a posterior vitreous separation. There is a low lying pigment epithelial detachment under the fovea with 1+ subretinal fluid. OS: Vertical C/D ratio is 0.2. There is a posterior vitreous separation and 2+ macular drusen. OCT SCAN: The OCT scan of the right eye shows a serous macular detachment overlying a lobule pigment epithelial detachment. The left eye shows macular drusen with a near normal foveal contour. Photos confirm clinical findings. FLUORESCEIN ANGIOGRAPHY: Fluorescein angiography shows a predominately occult subfoveal choroidal neovascular membrane in the right eye, less than four disc areas in size. The left eye has staining and drusen. IMPRESSION: 1. AGE-RELATED MACULAR DEGENERATION – BOTH EYES 2. SUBFOVEAL CHOROIDAL NEOVASCULAR MEMBRANE - RIGHT EYE 3. PIGMENT EPITHELIAL DETACHMENT – RIGHT EYE 4. SEROUS MACULAR DETACHMENT – RIGHT EYE DISCUSSION: I explained to the patient the vision in the right eye is compromised by the wet age-related macular degeneration. At this moment the best treatment for that is intravitreal injections. I suggest that we start with Avastin and see how the eye does and then we can always adjust the treatment if needed. I asked her to continue taking the eye vitamins for the left eye. I gave her instructions on healthy dietary recommendations. She will follow the Amsler grid at home. She will return in one month for evaluation and probable retreatment. She will return sooner should she notice any problems and see you back regularly. Patient was treated with monthly Avastin and vision improved within 6 months to 20/25 and remains good with monthly treatments.