Retina Gallery ~ Full Sized Retina Images

Library of Free, Non-Copyrighted Retina Images and Videos

Choose your language:
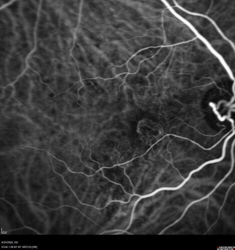
Wet age-related macular degeneration - Classic Juxtafoveal Choroidal Neovascular Membrane
80 year old female with mild vision loss.  20/40 OD, 20/25 OS.  Avastin controlled disease.  VA improved to 20/25 after 2 injections.  At 1 year she is getting every 2 months treatment

Wet age-related macular degeneration - Classic Juxtafoveal Choroidal Neovascular Membrane

80 year old female with mild vision loss. 20/40 OD, 20/25 OS. Avastin controlled disease. VA improved to 20/25 after 2 injections. At 1 year she is getting every 2 months treatment

wetAMD-Classic_becos_082420__19.jpg wetAMD-Classic_becos_082420__20.jpg wetAMD-Classic_becos_082420__21.jpg wetAMD-Classic_becos_082420__22.jpg wetAMD-Classic_becos_082420__24.jpg