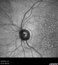
wet AMD - Classic CNVM mild vision loss
|
|
80 year old female She did not notice a problem but then when she saw you her vision in the right eye was hazy. The left eye was being watched because of eyelid herpes. The right eye has always been the weaker eye. She has not noticed a vision change in the right eye.
Shingles post-herpetic neuralgia over left eye for 2 years
VA OD: Dcc20/40+1 NccJ3
VA OS: Dcc20/25-2 NccJ1-1
IOP: TP: OD:17 OS:21
Anterior segment unremarkable (PCIOLs)
Vision improved to 20/25 after two Avastin shots and at 1 year she is getting treatment every 2 months
|

Wet age-related macular degeneration - Classic Juxtafoveal Choroidal Neovascular Membranevu 290 fois80 year old female with mild vision loss. 20/40 OD, 20/25 OS. Avastin controlled disease. VA improved to 20/25 after 2 injections. At 1 year she is getting every 2 months treatment     (0 votes)
|
|

Wet age-related macular degeneration - Classic Juxtafoveal Choroidal Neovascular Membranevu 264 fois80 year old female with mild vision loss. 20/40 OD, 20/25 OS. Avastin controlled disease. VA improved to 20/25 after 2 injections. At 1 year she is getting every 2 months treatment     (0 votes)
|
|

Wet age-related macular degeneration - Classic Juxtafoveal Choroidal Neovascular Membranevu 257 fois80 year old female with mild vision loss. 20/40 OD, 20/25 OS. Avastin controlled disease. VA improved to 20/25 after 2 injections. At 1 year she is getting every 2 months treatment     (0 votes)
|
|

Wet age-related macular degeneration - Classic Juxtafoveal Choroidal Neovascular Membranevu 279 fois80 year old female with mild vision loss. 20/40 OD, 20/25 OS. Avastin controlled disease. VA improved to 20/25 after 2 injections. At 1 year she is getting every 2 months treatment     (0 votes)
|
|

Wet age-related macular degeneration - Classic Juxtafoveal Choroidal Neovascular Membranevu 269 fois80 year old female with mild vision loss. 20/40 OD, 20/25 OS. Avastin controlled disease. VA improved to 20/25 after 2 injections. At 1 year she is getting every 2 months treatment     (0 votes)
|
|

Wet age-related macular degeneration - Classic Juxtafoveal Choroidal Neovascular Membranevu 255 fois80 year old female with mild vision loss. 20/40 OD, 20/25 OS. Avastin controlled disease. VA improved to 20/25 after 2 injections. At 1 year she is getting every 2 months treatment     (0 votes)
|
|

Wet age-related macular degeneration - Classic Juxtafoveal Choroidal Neovascular Membranevu 285 fois80 year old female with mild vision loss. 20/40 OD, 20/25 OS. Avastin controlled disease. VA improved to 20/25 after 2 injections. At 1 year she is getting every 2 months treatment     (0 votes)
|
|

Wet age-related macular degeneration - Classic Juxtafoveal Choroidal Neovascular Membranevu 262 fois80 year old female with mild vision loss. 20/40 OD, 20/25 OS. Avastin controlled disease. VA improved to 20/25 after 2 injections. At 1 year she is getting every 2 months treatment     (0 votes)
|
|

Wet age-related macular degeneration - Classic Juxtafoveal Choroidal Neovascular Membranevu 261 fois80 year old female with mild vision loss. 20/40 OD, 20/25 OS. Avastin controlled disease. VA improved to 20/25 after 2 injections. At 1 year she is getting every 2 months treatment     (0 votes)
|
|

Wet age-related macular degeneration - Classic Juxtafoveal Choroidal Neovascular Membranevu 264 fois80 year old female with mild vision loss. 20/40 OD, 20/25 OS. Avastin controlled disease. VA improved to 20/25 after 2 injections. At 1 year she is getting every 2 months treatment     (0 votes)
|
|

Wet age-related macular degeneration - Classic Juxtafoveal Choroidal Neovascular Membranevu 255 fois80 year old female with mild vision loss. 20/40 OD, 20/25 OS. Avastin controlled disease. VA improved to 20/25 after 2 injections. At 1 year she is getting every 2 months treatment     (0 votes)
|
|

Wet age-related macular degeneration - Classic Juxtafoveal Choroidal Neovascular Membranevu 271 fois80 year old female with mild vision loss. 20/40 OD, 20/25 OS. Avastin controlled disease. VA improved to 20/25 after 2 injections. At 1 year she is getting every 2 months treatment     (0 votes)
|
|

Wet age-related macular degeneration - Classic Juxtafoveal Choroidal Neovascular Membranevu 258 fois80 year old female with mild vision loss. 20/40 OD, 20/25 OS. Avastin controlled disease. VA improved to 20/25 after 2 injections. At 1 year she is getting every 2 months treatment     (0 votes)
|
|

Wet age-related macular degeneration - Classic Juxtafoveal Choroidal Neovascular Membranevu 258 fois80 year old female with mild vision loss. 20/40 OD, 20/25 OS. Avastin controlled disease. VA improved to 20/25 after 2 injections. At 1 year she is getting every 2 months treatment     (0 votes)
|
|

Wet age-related macular degeneration - Classic Juxtafoveal Choroidal Neovascular Membranevu 253 fois80 year old female with mild vision loss. 20/40 OD, 20/25 OS. Avastin controlled disease. VA improved to 20/25 after 2 injections. At 1 year she is getting every 2 months treatment     (0 votes)
|
|

Wet age-related macular degeneration - Classic Juxtafoveal Choroidal Neovascular Membranevu 286 fois80 year old female with mild vision loss. 20/40 OD, 20/25 OS. Avastin controlled disease. VA improved to 20/25 after 2 injections. At 1 year she is getting every 2 months treatment     (0 votes)
|
|

Wet age-related macular degeneration - Classic Juxtafoveal Choroidal Neovascular Membranevu 295 fois80 year old female with mild vision loss. 20/40 OD, 20/25 OS. Avastin controlled disease. VA improved to 20/25 after 2 injections. At 1 year she is getting every 2 months treatment     (0 votes)
|
|

Wet age-related macular degeneration - Classic Juxtafoveal Choroidal Neovascular Membranevu 279 fois80 year old female with mild vision loss. 20/40 OD, 20/25 OS. Avastin controlled disease. VA improved to 20/25 after 2 injections. At 1 year she is getting every 2 months treatment     (0 votes)
|
|

Wet age-related macular degeneration - Classic Juxtafoveal Choroidal Neovascular Membranevu 274 fois80 year old female with mild vision loss. 20/40 OD, 20/25 OS. Avastin controlled disease. VA improved to 20/25 after 2 injections. At 1 year she is getting every 2 months treatment     (0 votes)
|
|

Wet age-related macular degeneration - Classic Juxtafoveal Choroidal Neovascular Membranevu 263 fois80 year old female with mild vision loss. 20/40 OD, 20/25 OS. Avastin controlled disease. VA improved to 20/25 after 2 injections. At 1 year she is getting every 2 months treatment     (0 votes)
|
|

Wet age-related macular degeneration - Classic Juxtafoveal Choroidal Neovascular Membranevu 294 fois80 year old female with mild vision loss. 20/40 OD, 20/25 OS. Avastin controlled disease. VA improved to 20/25 after 2 injections. At 1 year she is getting every 2 months treatment     (0 votes)
|
|

Wet age-related macular degeneration - Classic Juxtafoveal Choroidal Neovascular Membranevu 245 fois80 year old female with mild vision loss. 20/40 OD, 20/25 OS. Avastin controlled disease. VA improved to 20/25 after 2 injections. At 1 year she is getting every 2 months treatment     (0 votes)
|
|

Wet age-related macular degeneration - Classic Juxtafoveal Choroidal Neovascular Membranevu 230 fois80 year old female with mild vision loss. 20/40 OD, 20/25 OS. Avastin controlled disease. VA improved to 20/25 after 2 injections. At 1 year she is getting every 2 months treatment     (0 votes)
|
|

Wet age-related macular degeneration - Classic Juxtafoveal Choroidal Neovascular Membranevu 276 fois80 year old female with mild vision loss. 20/40 OD, 20/25 OS. Avastin controlled disease. VA improved to 20/25 after 2 injections. At 1 year she is getting every 2 months treatment     (0 votes)
|
|

Wet age-related macular degeneration - Classic Juxtafoveal Choroidal Neovascular Membranevu 248 fois80 year old female with mild vision loss. 20/40 OD, 20/25 OS. Avastin controlled disease. VA improved to 20/25 after 2 injections. At 1 year she is getting every 2 months treatment     (0 votes)
|
|
|
|
|
|
|
80 year old female She did not notice a problem but then when she saw you her vision in the right eye was hazy. The left eye was being watched because of eyelid herpes. The right eye has always been the weaker eye. She has not noticed a vision change in the right eye.
Shingles post-herpetic neuralgia over left eye for 2 years
VA OD: Dcc20/40+1 NccJ3
VA OS: Dcc20/25-2 NccJ1-1
IOP: TP: OD:17 OS:21
Anterior segment unremarkable (PCIOLs)
Vision improved to 20/25 after two Avastin shots and at 1 year she is getting treatment every 2 months