Retina Gallery ~ Full Sized Retina Images

Library of Free, Non-Copyrighted Retina Images and Videos

Choose your language:
Melanosis Oculi and Choroidal Melanoma
88 year old female with 2.5 mm elevated choroidal melanoma and melanosis oculi.  She also has geographic atrophy from AMD.  The right eye is the better eye with 20/40 vision.  After observation with growth, brachytherapy was done.

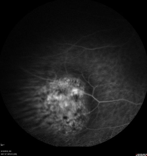
Melanosis Oculi and Choroidal Melanoma

88 year old female with 2.5 mm elevated choroidal melanoma and melanosis oculi. She also has geographic atrophy from AMD. The right eye is the better eye with 20/40 vision. After observation with growth, brachytherapy was done.

Melanoma_malOculai-mamor_pretreatment_12.jpg Melanoma_malOculai-mamor_pretreatment_15.jpg Melanoma_malOculai-mamor_pretreatment_14.jpg Melanoma_malOculai-mamor_pretreatment_13.jpg Melanoma_malOculai-mamor_pretreatment_17.jpg