Melanosis Oculi (Nevus of Ota) and Choroidal Melanoma
|
|
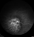
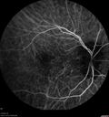
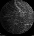
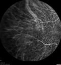
88 year old female with melanosis oculi and 2.5 mm elevated choroidal melanoma. She also has AMD with geographic atrophy. The right eye is the better eye. The left eye had a macular hemorrhage from wet AMD and breakthrough vitreous hemorrhage.
|

Melanosis Oculi and Choroidal Melanomavaatamisi: 60388 year old female with 2.5 mm elevated choroidal melanoma and melanosis oculi. She also has geographic atrophy from AMD. The right eye is the better eye with 20/40 vision. After observation with growth, brachytherapy was done.     (0 hinnangut)
|
|

Melanosis Oculi and Choroidal Melanomavaatamisi: 77288 year old female with 2.5 mm elevated choroidal melanoma and melanosis oculi. She also has geographic atrophy from AMD. The right eye is the better eye with 20/40 vision. After observation with growth, brachytherapy was done.     (0 hinnangut)
|
|

Melanosis Oculi and Choroidal Melanomavaatamisi: 55988 year old female with 2.5 mm elevated choroidal melanoma and melanosis oculi. She also has geographic atrophy from AMD. The right eye is the better eye with 20/40 vision. After observation with growth, brachytherapy was done.     (0 hinnangut)
|
|

Melanosis Oculi and Choroidal Melanomavaatamisi: 50488 year old female with 2.5 mm elevated choroidal melanoma and melanosis oculi. She also has geographic atrophy from AMD. The right eye is the better eye with 20/40 vision. After observation with growth, brachytherapy was done.     (0 hinnangut)
|
|

Melanosis Oculi and Choroidal Melanomavaatamisi: 43888 year old female with 2.5 mm elevated choroidal melanoma and melanosis oculi. She also has geographic atrophy from AMD. The right eye is the better eye with 20/40 vision. After observation with growth, brachytherapy was done.     (0 hinnangut)
|
|

Melanosis Oculi and Choroidal Melanomavaatamisi: 44488 year old female with 2.5 mm elevated choroidal melanoma and melanosis oculi. She also has geographic atrophy from AMD. The right eye is the better eye with 20/40 vision. After observation with growth, brachytherapy was done.     (0 hinnangut)
|
|

Melanosis Oculi and Choroidal Melanomavaatamisi: 54188 year old female with 2.5 mm elevated choroidal melanoma and melanosis oculi. She also has geographic atrophy from AMD. The right eye is the better eye with 20/40 vision. After observation with growth, brachytherapy was done.     (0 hinnangut)
|
|

Melanosis Oculi and Choroidal Melanomavaatamisi: 43788 year old female with 2.5 mm elevated choroidal melanoma and melanosis oculi. She also has geographic atrophy from AMD. The right eye is the better eye with 20/40 vision. After observation with growth, brachytherapy was done.     (0 hinnangut)
|
|

Melanosis Oculi and Choroidal Melanomavaatamisi: 53188 year old female with 2.5 mm elevated choroidal melanoma and melanosis oculi. She also has geographic atrophy from AMD. The right eye is the better eye with 20/40 vision. After observation with growth, brachytherapy was done.     (0 hinnangut)
|
|

Melanosis Oculi and Choroidal Melanomavaatamisi: 37488 year old female with 2.5 mm elevated choroidal melanoma and melanosis oculi. She also has geographic atrophy from AMD. The right eye is the better eye with 20/40 vision. After observation with growth, brachytherapy was done.     (0 hinnangut)
|
|

Melanosis Oculi and Choroidal Melanomavaatamisi: 38888 year old female with 2.5 mm elevated choroidal melanoma and melanosis oculi. She also has geographic atrophy from AMD. The right eye is the better eye with 20/40 vision. After observation with growth, brachytherapy was done.     (0 hinnangut)
|
|

Melanosis Oculi and Choroidal Melanomavaatamisi: 40688 year old female with 2.5 mm elevated choroidal melanoma and melanosis oculi. She also has geographic atrophy from AMD. The right eye is the better eye with 20/40 vision. After observation with growth, brachytherapy was done.     (0 hinnangut)
|
|

Melanosis Oculi and Choroidal Melanomavaatamisi: 40688 year old female with 2.5 mm elevated choroidal melanoma and melanosis oculi. She also has geographic atrophy from AMD. The right eye is the better eye with 20/40 vision. After observation with growth, brachytherapy was done.     (0 hinnangut)
|
|

Melanosis Oculi and Choroidal Melanomavaatamisi: 40288 year old female with 2.5 mm elevated choroidal melanoma and melanosis oculi. She also has geographic atrophy from AMD. The right eye is the better eye with 20/40 vision. After observation with growth, brachytherapy was done.     (0 hinnangut)
|
|

Melanosis Oculi and Choroidal Melanomavaatamisi: 36188 year old female with 2.5 mm elevated choroidal melanoma and melanosis oculi. She also has geographic atrophy from AMD. The right eye is the better eye with 20/40 vision. After observation with growth, brachytherapy was done.     (0 hinnangut)
|
|

Melanosis Oculi and Choroidal Melanomavaatamisi: 41188 year old female with 2.5 mm elevated choroidal melanoma and melanosis oculi. She also has geographic atrophy from AMD. The right eye is the better eye with 20/40 vision. After observation with growth, brachytherapy was done.     (0 hinnangut)
|
|

Melanosis Oculi and Choroidal Melanomavaatamisi: 44188 year old female with 2.5 mm elevated choroidal melanoma and melanosis oculi. She also has geographic atrophy from AMD. The right eye is the better eye with 20/40 vision. After observation with growth, brachytherapy was done.     (0 hinnangut)
|
|

Melanosis Oculi and Choroidal Melanomavaatamisi: 39288 year old female with 2.5 mm elevated choroidal melanoma and melanosis oculi. She also has geographic atrophy from AMD. The right eye is the better eye with 20/40 vision. After observation with growth, brachytherapy was done.     (0 hinnangut)
|
|

Melanosis Oculi and Choroidal Melanomavaatamisi: 44788 year old female with 2.5 mm elevated choroidal melanoma and melanosis oculi. She also has geographic atrophy from AMD. The right eye is the better eye with 20/40 vision. After observation with growth, brachytherapy was done.     (0 hinnangut)
|
|

Melanosis Oculi and Choroidal Melanomavaatamisi: 38988 year old female with 2.5 mm elevated choroidal melanoma and melanosis oculi. She also has geographic atrophy from AMD. The right eye is the better eye with 20/40 vision. After observation with growth, brachytherapy was done.     (0 hinnangut)
|
|

Melanosis Oculi and Choroidal Melanomavaatamisi: 43988 year old female with 2.5 mm elevated choroidal melanoma and melanosis oculi. She also has geographic atrophy from AMD. The right eye is the better eye with 20/40 vision. After observation with growth, brachytherapy was done.     (0 hinnangut)
|
|
|
|
|
|
|
88 year old female with melanosis oculi and 2.5 mm elevated choroidal melanoma. She also has AMD with geographic atrophy. The right eye is the better eye. The left eye had a macular hemorrhage from wet AMD and breakthrough vitreous hemorrhage.