Retina Gallery ~ Full Sized Retina Images
Library of Free, Non-Copyrighted Retina Images and Videos
Home
Contact
About Us
Register
Login
Album list
Last uploads
Last comments
Most viewed
Top rated
My Favorites
By date
Search
FAQ
Choose your language:
FILE 32/44
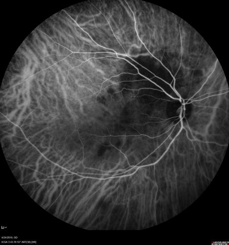
Lung Cancer Metastasis to Right Eye
63 year old female with vision loss for 6 weeks. She had been scheduled for cataract surgery and then a tumor was found. She was ultimately diagnosed with lung cancer. Vision is 20/100
File information
Filename:
tumor_jetop_042419_32.jpg
Album name:
scohen125
/
Non Small Cell Lung Cancer - Metastasis to Choroid
Filesize:
1204 KiB
Date added:
Jun 01, 2019
Dimensions:
1536 x 1636 pixels
Displayed:
349 times
URL:
https://retinagallery.com/displayimage.php?pid=12703
Favorites:
Add to Favorites