Retina Gallery ~ Full Sized Retina Images

Library of Free, Non-Copyrighted Retina Images and Videos

Choose your language:



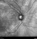
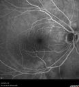
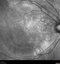
63 year old female She noticed a new thumbprint on her right eye with decreased vision March 10, 2019.  She waited a few days.  She was an eye institute where they said it was a cataract and scheduled for surgery.  She asked why if the cataracts are the same there was trouble with the one eye. He agreed and sent her to his retina specialist who noticed a problem and suggested a referral out. She has no health problems otherwise but has not been to a doctor lately.   VA OD: Dcc20/125 PHNI Ncc20/400 VA OS: Dcc20/50 PH20/32 NccJ5 IOP: TP: OD:23 OS:22 Time:15:56

tumor_jetop_042419_02.JPG
Lung Cancer Metastasis to Right Eye372 views63 year old female with vision loss for 6 weeks. She had been scheduled for cataract surgery and then a tumor was found. She was ultimately diagnosed with lung cancer. Vision is 20/10000000
(0 votes)
tumor_jetop_042419_01.JPG
Lung Cancer Metastasis to Right Eye417 views63 year old female with vision loss for 6 weeks. She had been scheduled for cataract surgery and then a tumor was found. She was ultimately diagnosed with lung cancer. Vision is 20/10000000
(0 votes)
tumor_jetop_042419_03.JPG
Lung Cancer Metastasis to Right Eye358 views63 year old female with vision loss for 6 weeks. She had been scheduled for cataract surgery and then a tumor was found. She was ultimately diagnosed with lung cancer. Vision is 20/10000000
(0 votes)
tumor_jetop_042419_04.JPG
Lung Cancer Metastasis to Right Eye446 views63 year old female with vision loss for 6 weeks. She had been scheduled for cataract surgery and then a tumor was found. She was ultimately diagnosed with lung cancer. Vision is 20/10000000
(0 votes)
tumor_jetop_042419_06.JPG
Lung Cancer Metastasis to Right Eye396 views63 year old female with vision loss for 6 weeks. She had been scheduled for cataract surgery and then a tumor was found. She was ultimately diagnosed with lung cancer. Vision is 20/10000000
(0 votes)
tumor_jetop_042419_05.JPG
Lung Cancer Metastasis to Right Eye389 views63 year old female with vision loss for 6 weeks. She had been scheduled for cataract surgery and then a tumor was found. She was ultimately diagnosed with lung cancer. Vision is 20/10000000
(0 votes)
tumor_jetop_042419_07.JPG
Lung Cancer Metastasis to Right Eye462 views63 year old female with vision loss for 6 weeks. She had been scheduled for cataract surgery and then a tumor was found. She was ultimately diagnosed with lung cancer. Vision is 20/10000000
(0 votes)
tumor_jetop_042419_08.jpg
Lung Cancer Metastasis to Right Eye535 views63 year old female with vision loss for 6 weeks. She had been scheduled for cataract surgery and then a tumor was found. She was ultimately diagnosed with lung cancer. Vision is 20/10000000
(0 votes)
tumor_jetop_042419_09.jpg
Lung Cancer Metastasis to Right Eye385 views63 year old female with vision loss for 6 weeks. She had been scheduled for cataract surgery and then a tumor was found. She was ultimately diagnosed with lung cancer. Vision is 20/10000000
(0 votes)
tumor_jetop_042419_10.jpg
Lung Cancer Metastasis to Right Eye414 views63 year old female with vision loss for 6 weeks. She had been scheduled for cataract surgery and then a tumor was found. She was ultimately diagnosed with lung cancer. Vision is 20/10000000
(0 votes)
tumor_jetop_042419_12.jpg
Lung Cancer Metastasis to Right Eye421 views63 year old female with vision loss for 6 weeks. She had been scheduled for cataract surgery and then a tumor was found. She was ultimately diagnosed with lung cancer. Vision is 20/10000000
(0 votes)
tumor_jetop_042419_11.jpg
Lung Cancer Metastasis to Right Eye379 views63 year old female with vision loss for 6 weeks. She had been scheduled for cataract surgery and then a tumor was found. She was ultimately diagnosed with lung cancer. Vision is 20/10000000
(0 votes)
tumor_jetop_042419_13.jpg
Lung Cancer Metastasis to Right Eye355 views63 year old female with vision loss for 6 weeks. She had been scheduled for cataract surgery and then a tumor was found. She was ultimately diagnosed with lung cancer. Vision is 20/10000000
(0 votes)
tumor_jetop_042419_14.jpg
Lung Cancer Metastasis to Right Eye401 views63 year old female with vision loss for 6 weeks. She had been scheduled for cataract surgery and then a tumor was found. She was ultimately diagnosed with lung cancer. Vision is 20/10000000
(0 votes)
tumor_jetop_042419_15.jpg
Lung Cancer Metastasis to Right Eye407 views63 year old female with vision loss for 6 weeks. She had been scheduled for cataract surgery and then a tumor was found. She was ultimately diagnosed with lung cancer. Vision is 20/10000000
(0 votes)
tumor_jetop_042419_16.jpg
Lung Cancer Metastasis to Right Eye362 views63 year old female with vision loss for 6 weeks. She had been scheduled for cataract surgery and then a tumor was found. She was ultimately diagnosed with lung cancer. Vision is 20/10000000
(0 votes)
tumor_jetop_042419_17.jpg
Lung Cancer Metastasis to Right Eye385 views63 year old female with vision loss for 6 weeks. She had been scheduled for cataract surgery and then a tumor was found. She was ultimately diagnosed with lung cancer. Vision is 20/10000000
(0 votes)
tumor_jetop_042419_18.jpg
Lung Cancer Metastasis to Right Eye366 views63 year old female with vision loss for 6 weeks. She had been scheduled for cataract surgery and then a tumor was found. She was ultimately diagnosed with lung cancer. Vision is 20/10000000
(0 votes)
tumor_jetop_042419_19.jpg
Lung Cancer Metastasis to Right Eye405 views63 year old female with vision loss for 6 weeks. She had been scheduled for cataract surgery and then a tumor was found. She was ultimately diagnosed with lung cancer. Vision is 20/10000000
(0 votes)
tumor_jetop_042419_20.jpg
Lung Cancer Metastasis to Right Eye359 views63 year old female with vision loss for 6 weeks. She had been scheduled for cataract surgery and then a tumor was found. She was ultimately diagnosed with lung cancer. Vision is 20/10000000
(0 votes)
tumor_jetop_042419_21.jpg
Lung Cancer Metastasis to Right Eye371 views63 year old female with vision loss for 6 weeks. She had been scheduled for cataract surgery and then a tumor was found. She was ultimately diagnosed with lung cancer. Vision is 20/10000000
(0 votes)
tumor_jetop_042419_22.jpg
Lung Cancer Metastasis to Right Eye443 views63 year old female with vision loss for 6 weeks. She had been scheduled for cataract surgery and then a tumor was found. She was ultimately diagnosed with lung cancer. Vision is 20/10000000
(0 votes)
tumor_jetop_042419_23.jpg
Lung Cancer Metastasis to Right Eye359 views63 year old female with vision loss for 6 weeks. She had been scheduled for cataract surgery and then a tumor was found. She was ultimately diagnosed with lung cancer. Vision is 20/10000000
(0 votes)
tumor_jetop_042419_24.jpg
Lung Cancer Metastasis to Right Eye399 views63 year old female with vision loss for 6 weeks. She had been scheduled for cataract surgery and then a tumor was found. She was ultimately diagnosed with lung cancer. Vision is 20/10000000
(0 votes)
tumor_jetop_042419_25.jpg
Lung Cancer Metastasis to Right Eye387 views63 year old female with vision loss for 6 weeks. She had been scheduled for cataract surgery and then a tumor was found. She was ultimately diagnosed with lung cancer. Vision is 20/10000000
(0 votes)
tumor_jetop_042419_26.jpg
Lung Cancer Metastasis to Right Eye356 views63 year old female with vision loss for 6 weeks. She had been scheduled for cataract surgery and then a tumor was found. She was ultimately diagnosed with lung cancer. Vision is 20/10000000
(0 votes)
tumor_jetop_042419_27.jpg
Lung Cancer Metastasis to Right Eye369 views63 year old female with vision loss for 6 weeks. She had been scheduled for cataract surgery and then a tumor was found. She was ultimately diagnosed with lung cancer. Vision is 20/10000000
(0 votes)
tumor_jetop_042419_29.jpg
Lung Cancer Metastasis to Right Eye389 views63 year old female with vision loss for 6 weeks. She had been scheduled for cataract surgery and then a tumor was found. She was ultimately diagnosed with lung cancer. Vision is 20/10000000
(0 votes)
tumor_jetop_042419_28.jpg
Lung Cancer Metastasis to Right Eye389 views63 year old female with vision loss for 6 weeks. She had been scheduled for cataract surgery and then a tumor was found. She was ultimately diagnosed with lung cancer. Vision is 20/10000000
(0 votes)
tumor_jetop_042419_30.jpg
Lung Cancer Metastasis to Right Eye431 views63 year old female with vision loss for 6 weeks. She had been scheduled for cataract surgery and then a tumor was found. She was ultimately diagnosed with lung cancer. Vision is 20/10000000
(0 votes)
tumor_jetop_042419_31.jpg
Lung Cancer Metastasis to Right Eye440 views63 year old female with vision loss for 6 weeks. She had been scheduled for cataract surgery and then a tumor was found. She was ultimately diagnosed with lung cancer. Vision is 20/10000000
(0 votes)
tumor_jetop_042419_32.jpg
Lung Cancer Metastasis to Right Eye349 views63 year old female with vision loss for 6 weeks. She had been scheduled for cataract surgery and then a tumor was found. She was ultimately diagnosed with lung cancer. Vision is 20/10000000
(0 votes)
tumor_jetop_042419_33.jpg
Lung Cancer Metastasis to Right Eye411 views63 year old female with vision loss for 6 weeks. She had been scheduled for cataract surgery and then a tumor was found. She was ultimately diagnosed with lung cancer. Vision is 20/10000000
(0 votes)
tumor_jetop_042419_34.jpg
Lung Cancer Metastasis to Right Eye369 views63 year old female with vision loss for 6 weeks. She had been scheduled for cataract surgery and then a tumor was found. She was ultimately diagnosed with lung cancer. Vision is 20/10000000
(0 votes)
tumor_jetop_042419_35.jpg
Lung Cancer Metastasis to Right Eye378 views63 year old female with vision loss for 6 weeks. She had been scheduled for cataract surgery and then a tumor was found. She was ultimately diagnosed with lung cancer. Vision is 20/10000000
(0 votes)
tumor_jetop_042419_37.jpg
Lung Cancer Metastasis to Right Eye383 views63 year old female with vision loss for 6 weeks. She had been scheduled for cataract surgery and then a tumor was found. She was ultimately diagnosed with lung cancer. Vision is 20/10000000
(0 votes)
tumor_jetop_042419_36.jpg
Lung Cancer Metastasis to Right Eye363 views63 year old female with vision loss for 6 weeks. She had been scheduled for cataract surgery and then a tumor was found. She was ultimately diagnosed with lung cancer. Vision is 20/10000000
(0 votes)
tumor_jetop_042419_38.jpg
Lung Cancer Metastasis to Right Eye419 views63 year old female with vision loss for 6 weeks. She had been scheduled for cataract surgery and then a tumor was found. She was ultimately diagnosed with lung cancer. Vision is 20/10000000
(0 votes)
tumor_jetop_042419_39.png
Lung Cancer Metastasis to Right Eye366 views63 year old female with vision loss for 6 weeks. She had been scheduled for cataract surgery and then a tumor was found. She was ultimately diagnosed with lung cancer. Vision is 20/10000000
(0 votes)
tumor_jetop_042419_40.png
Lung Cancer Metastasis to Right Eye347 views63 year old female with vision loss for 6 weeks. She had been scheduled for cataract surgery and then a tumor was found. She was ultimately diagnosed with lung cancer. Vision is 20/10000000
(0 votes)
tumor_jetop_042419_41.png
Lung Cancer Metastasis to Right Eye395 views63 year old female with vision loss for 6 weeks. She had been scheduled for cataract surgery and then a tumor was found. She was ultimately diagnosed with lung cancer. Vision is 20/10000000
(0 votes)
tumor_jetop_042419_43.png
Lung Cancer Metastasis to Right Eye399 views63 year old female with vision loss for 6 weeks. She had been scheduled for cataract surgery and then a tumor was found. She was ultimately diagnosed with lung cancer. Vision is 20/10000000
(0 votes)
lung-jetop-082019.png
Metastatic Non Small Cell Lung Cancer to Choroid - Before External radiation535 views00000
(0 votes)
lung-jetop-092019.png
Metastatic Non Small Cell Lung Cancer to Choroid - After External radiation603 views00000
(0 votes)
44 files on 1 page(s)

63 year old female She noticed a new thumbprint on her right eye with decreased vision March 10, 2019.  She waited a few days.  She was an eye institute where they said it was a cataract and scheduled for surgery.  She asked why if the cataracts are the same there was trouble with the one eye. He agreed and sent her to his retina specialist who noticed a problem and suggested a referral out. She has no health problems otherwise but has not been to a doctor lately.   VA OD: Dcc20/125 PHNI Ncc20/400 VA OS: Dcc20/50 PH20/32 NccJ5 IOP: TP: OD:23 OS:22 Time:15:56