Retina Gallery ~ Full Sized Retina Images
Library of Free, Non-Copyrighted Retina Images and Videos
Accueil
Contact
About Us
Inscription
Connexion
Albums
Derniers ajouts
Derniers commentaires
Les plus populaires
Les mieux notées
Mes favoris
Par date
Rechercher
FAQ
Choisissez votre langue:
Photo 27/44
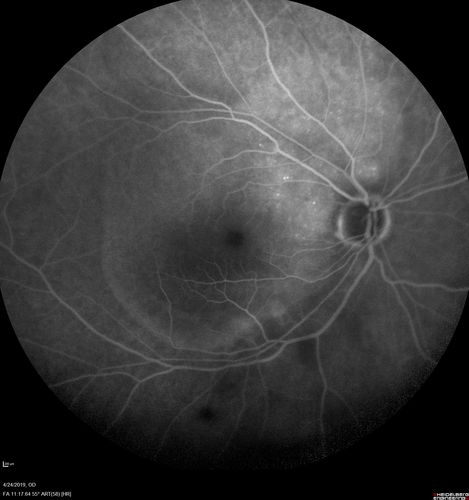
Lung Cancer Metastasis to Right Eye
63 year old female with vision loss for 6 weeks. She had been scheduled for cataract surgery and then a tumor was found. She was ultimately diagnosed with lung cancer. Vision is 20/100
Informations sur l'image
Nom du fichier:
tumor_jetop_042419_27.jpg
Nom de l'album:
scohen125
/
Non Small Cell Lung Cancer - Metastasis to Choroid
Taille du fichier:
1230 Ko
Date d'ajout:
01 Juin 2019
Dimensions:
1536 x 1636 pixels
Affichées:
369 fois
URL:
https://retinagallery.com/displayimage.php?pid=12698
Favoris:
Ajouter aux favoris