Retina Gallery ~ Full Sized Retina Images

Library of Free, Non-Copyrighted Retina Images and Videos

Choisissez votre langue:
Multifocal Choroiditis - Pneumocystis - aspergillis - cryptococcus
31 year old male with anaplastic astrocytoma on chemotherapy with mild vision loss in the right eye.  LP did not reveal organism.  He was placed on a trial of anti-fungal medications and lost to follow-up

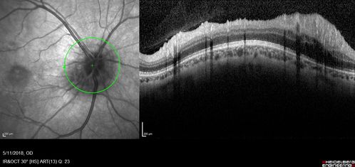
Multifocal Choroiditis - Pneumocystis - aspergillis - cryptococcus

31 year old male with anaplastic astrocytoma on chemotherapy with mild vision loss in the right eye. LP did not reveal organism. He was placed on a trial of anti-fungal medications and lost to follow-up

mfc-astrocytoma-ryco_051118_15.jpg mfc-astrocytoma-ryco_051118_16.jpg mfc-astrocytoma-ryco_051118_18.jpg mfc-astrocytoma-ryco_051118_19.jpg mfc-astrocytoma-ryco_051118_17.jpg