Retina Gallery ~ Full Sized Retina Images
Library of Free, Non-Copyrighted Retina Images and Videos
Startseite
Kontakt
About Us
Registrieren
Anmelden
Albenliste
Neueste Uploads
Neueste Kommentare
Am meisten angesehen
Am besten bewertet
Meine Favoriten
Nach Datum
Suche
FAQ
Wähle Sprache:
Datei 22/58
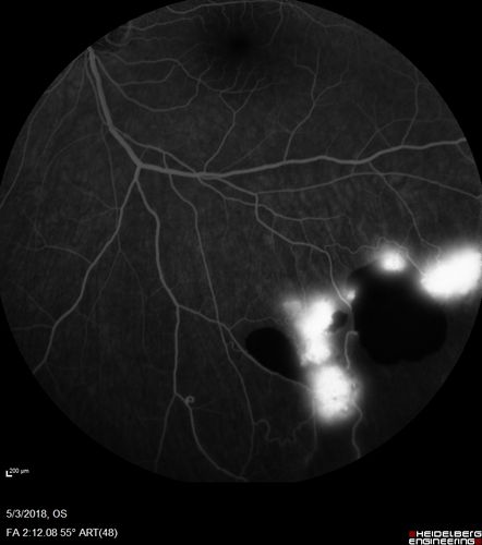
Coats' Disease -51 year old asymptomatic male
20/20 vision - had laser to non-perfusion because of proliferation.
Datei-Information
Dateiname:
coats_trsu_050318_22.jpg
Name des Albums:
scohen125
/
Coats' Disease 51 yo Male - Asymptomatic
Dateigröße:
214 KB
Hinzugefügt am:
27. Juli 2018
Abmessungen:
768 x 868 Pixel
Angezeigt:
457 mal
URL:
https://retinagallery.com/displayimage.php?pid=11073
Favoriten:
zu Favoriten hinzufügen