Retina Gallery ~ Full Sized Retina Images

Library of Free, Non-Copyrighted Retina Images and Videos

Choose your language:



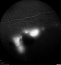
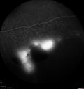
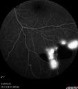
51 year old male with a broken vein in the left eye. His vision is pretty good. He has not noticed any vision change. You asked him to come here for further evaluation in the left eye. VA OD: sc20/63 PH20/25-2 NccJ1 VA OS: sc20/20 Patient had scatter laser to non-perfused retina and never had a vitreous hemorrhage (yet)

coats_trsu_050318_02.JPG
Coats' Disease -51 year old asymptomatic male450 views20/20 vision - had laser to non-perfusion because of proliferation.00000
(0 votes)
coats_trsu_050318_01.JPG
Coats' Disease -51 year old asymptomatic male391 views20/20 vision - had laser to non-perfusion because of proliferation.00000
(0 votes)
coats_trsu_050318_03.JPG
Coats' Disease -51 year old asymptomatic male404 views20/20 vision - had laser to non-perfusion because of proliferation.00000
(0 votes)
coats_trsu_050318_04.JPG
Coats' Disease -51 year old asymptomatic male425 views20/20 vision - had laser to non-perfusion because of proliferation.00000
(0 votes)
coats_trsu_050318_05.JPG
Coats' Disease -51 year old asymptomatic male414 views20/20 vision - had laser to non-perfusion because of proliferation.00000
(0 votes)
coats_trsu_050318_06.JPG
Coats' Disease -51 year old asymptomatic male413 views20/20 vision - had laser to non-perfusion because of proliferation.00000
(0 votes)
coats_trsu_050318_08.jpg
Coats' Disease -51 year old asymptomatic male390 views20/20 vision - had laser to non-perfusion because of proliferation.00000
(0 votes)
coats_trsu_050318_09.jpg
Coats' Disease -51 year old asymptomatic male402 views20/20 vision - had laser to non-perfusion because of proliferation.00000
(0 votes)
coats_trsu_050318_07.JPG
Coats' Disease -51 year old asymptomatic male457 views20/20 vision - had laser to non-perfusion because of proliferation.00000
(0 votes)
coats_trsu_050318_10.jpg
Coats' Disease -51 year old asymptomatic male404 views20/20 vision - had laser to non-perfusion because of proliferation.00000
(0 votes)
coats_trsu_050318_11.jpg
Coats' Disease -51 year old asymptomatic male551 views20/20 vision - had laser to non-perfusion because of proliferation.00000
(0 votes)
coats_trsu_050318_12.jpg
Coats' Disease -51 year old asymptomatic male512 views20/20 vision - had laser to non-perfusion because of proliferation.00000
(0 votes)
coats_trsu_050318_13.jpg
Coats' Disease -51 year old asymptomatic male416 views20/20 vision - had laser to non-perfusion because of proliferation.00000
(0 votes)
coats_trsu_050318_14.jpg
Coats' Disease -51 year old asymptomatic male411 views20/20 vision - had laser to non-perfusion because of proliferation.00000
(0 votes)
coats_trsu_050318_15.jpg
Coats' Disease -51 year old asymptomatic male508 views20/20 vision - had laser to non-perfusion because of proliferation.00000
(0 votes)
coats_trsu_050318_16.jpg
Coats' Disease -51 year old asymptomatic male424 views20/20 vision - had laser to non-perfusion because of proliferation.00000
(0 votes)
coats_trsu_050318_17.jpg
Coats' Disease -51 year old asymptomatic male447 views20/20 vision - had laser to non-perfusion because of proliferation.00000
(0 votes)
coats_trsu_050318_18.jpg
Coats' Disease -51 year old asymptomatic male409 views20/20 vision - had laser to non-perfusion because of proliferation.00000
(0 votes)
coats_trsu_050318_19.jpg
Coats' Disease -51 year old asymptomatic male409 views20/20 vision - had laser to non-perfusion because of proliferation.00000
(0 votes)
coats_trsu_050318_20.jpg
Coats' Disease -51 year old asymptomatic male412 views20/20 vision - had laser to non-perfusion because of proliferation.00000
(0 votes)
coats_trsu_050318_21.jpg
Coats' Disease -51 year old asymptomatic male409 views20/20 vision - had laser to non-perfusion because of proliferation.00000
(0 votes)
coats_trsu_050318_22.jpg
Coats' Disease -51 year old asymptomatic male457 views20/20 vision - had laser to non-perfusion because of proliferation.00000
(0 votes)
coats_trsu_050318_23.jpg
Coats' Disease -51 year old asymptomatic male372 views20/20 vision - had laser to non-perfusion because of proliferation.00000
(0 votes)
coats_trsu_050318_25.jpg
Coats' Disease -51 year old asymptomatic male395 views20/20 vision - had laser to non-perfusion because of proliferation.00000
(0 votes)
coats_trsu_050318_24.jpg
Coats' Disease -51 year old asymptomatic male367 views20/20 vision - had laser to non-perfusion because of proliferation.00000
(0 votes)
coats_trsu_050318_27.jpg
Coats' Disease -51 year old asymptomatic male397 views20/20 vision - had laser to non-perfusion because of proliferation.00000
(0 votes)
coats_trsu_050318_26.jpg
Coats' Disease -51 year old asymptomatic male450 views20/20 vision - had laser to non-perfusion because of proliferation.00000
(0 votes)
coats_trsu_050318_28.jpg
Coats' Disease -51 year old asymptomatic male379 views20/20 vision - had laser to non-perfusion because of proliferation.00000
(0 votes)
coats_trsu_050318_29.jpg
Coats' Disease -51 year old asymptomatic male423 views20/20 vision - had laser to non-perfusion because of proliferation.00000
(0 votes)
coats_trsu_050318_30.jpg
Coats' Disease -51 year old asymptomatic male387 views20/20 vision - had laser to non-perfusion because of proliferation.00000
(0 votes)
coats_trsu_050318_31.jpg
Coats' Disease -51 year old asymptomatic male354 views20/20 vision - had laser to non-perfusion because of proliferation.00000
(0 votes)
coats_trsu_050318_33.jpg
Coats' Disease -51 year old asymptomatic male448 views20/20 vision - had laser to non-perfusion because of proliferation.00000
(0 votes)
coats_trsu_050318_32.jpg
Coats' Disease -51 year old asymptomatic male382 views20/20 vision - had laser to non-perfusion because of proliferation.00000
(0 votes)
coats_trsu_050318_34.jpg
Coats' Disease -51 year old asymptomatic male418 views20/20 vision - had laser to non-perfusion because of proliferation.00000
(0 votes)
coats_trsu_050318_35.jpg
Coats' Disease -51 year old asymptomatic male415 views20/20 vision - had laser to non-perfusion because of proliferation.00000
(0 votes)
coats_trsu_050318_36.jpg
Coats' Disease -51 year old asymptomatic male391 views20/20 vision - had laser to non-perfusion because of proliferation.00000
(0 votes)
coats_trsu_050318_37.jpg
Coats' Disease -51 year old asymptomatic male426 views20/20 vision - had laser to non-perfusion because of proliferation.00000
(0 votes)
coats_trsu_050318_38.jpg
Coats' Disease -51 year old asymptomatic male391 views20/20 vision - had laser to non-perfusion because of proliferation.00000
(0 votes)
coats_trsu_050318_39.jpg
Coats' Disease -51 year old asymptomatic male408 views20/20 vision - had laser to non-perfusion because of proliferation.00000
(0 votes)
coats_trsu_050318_40.jpg
Coats' Disease -51 year old asymptomatic male394 views20/20 vision - had laser to non-perfusion because of proliferation.00000
(0 votes)
coats_trsu_050318_41.jpg
Coats' Disease -51 year old asymptomatic male413 views20/20 vision - had laser to non-perfusion because of proliferation.00000
(0 votes)
coats_trsu_050318_42.jpg
Coats' Disease -51 year old asymptomatic male398 views20/20 vision - had laser to non-perfusion because of proliferation.00000
(0 votes)
coats_trsu_050318_42~0.jpg
Coats' Disease -51 year old asymptomatic male380 views20/20 vision - had laser to non-perfusion because of proliferation.00000
(0 votes)
coats_trsu_050318_43.jpg
Coats' Disease -51 year old asymptomatic male416 views20/20 vision - had laser to non-perfusion because of proliferation.00000
(0 votes)
coats_trsu_050318_44.jpg
Coats' Disease -51 year old asymptomatic male387 views20/20 vision - had laser to non-perfusion because of proliferation.00000
(0 votes)
coats_trsu_050318_45.jpg
Coats' Disease -51 year old asymptomatic male342 views20/20 vision - had laser to non-perfusion because of proliferation.00000
(0 votes)
coats_trsu_050318_46.jpg
Coats' Disease -51 year old asymptomatic male388 views20/20 vision - had laser to non-perfusion because of proliferation.00000
(0 votes)
coats_trsu_050318_47.jpg
Coats' Disease -51 year old asymptomatic male398 views20/20 vision - had laser to non-perfusion because of proliferation.00000
(0 votes)
coats_trsu_050318_48.jpg
Coats' Disease -51 year old asymptomatic male398 views20/20 vision - had laser to non-perfusion because of proliferation.00000
(0 votes)
coats_trsu_050318_49.jpg
Coats' Disease -51 year old asymptomatic male421 views20/20 vision - had laser to non-perfusion because of proliferation.00000
(0 votes)
coats_trsu_050318_50.jpg
Coats' Disease -51 year old asymptomatic male412 views20/20 vision - had laser to non-perfusion because of proliferation.00000
(0 votes)
coats_trsu_050318_51.jpg
Coats' Disease -51 year old asymptomatic male358 views20/20 vision - had laser to non-perfusion because of proliferation.00000
(0 votes)
coats_trsu_050318_52.jpg
Coats' Disease -51 year old asymptomatic male385 views20/20 vision - had laser to non-perfusion because of proliferation.00000
(0 votes)
coats_trsu_050318_53.jpg
Coats' Disease -51 year old asymptomatic male377 views20/20 vision - had laser to non-perfusion because of proliferation.00000
(0 votes)
coats_trsu_050318_54.jpg
Coats' Disease -51 year old asymptomatic male446 views20/20 vision - had laser to non-perfusion because of proliferation.00000
(0 votes)
coats_trsu_050318_55.jpg
Coats' Disease -51 year old asymptomatic male436 views20/20 vision - had laser to non-perfusion because of proliferation.00000
(0 votes)
coats_trsu_050318_56.jpg
Coats' Disease -51 year old asymptomatic male422 views20/20 vision - had laser to non-perfusion because of proliferation.00000
(0 votes)
coats_trsu_050318_57.jpg
Coats' Disease -51 year old asymptomatic male386 views20/20 vision - had laser to non-perfusion because of proliferation.00000
(0 votes)
   
58 files on 1 page(s)

51 year old male with a broken vein in the left eye. His vision is pretty good. He has not noticed any vision change. You asked him to come here for further evaluation in the left eye. VA OD: sc20/63 PH20/25-2 NccJ1 VA OS: sc20/20 Patient had scatter laser to non-perfused retina and never had a vitreous hemorrhage (yet)