Retina Gallery ~ Full Sized Retina Images

Library of Free, Non-Copyrighted Retina Images and Videos

Choose your language:
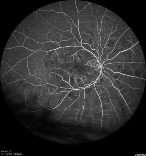
Hairy Cell Leukemia - Retinal Hemorrhage and twig Branch Vein Occlusion
79 year old man He has had hairy cell leukemia since 2002.  He is in remission.  His last blood tests were 9/2018.  He just moved down here and needs a new leukemia doctor.  His vision is fine. 
VA OD: Dcc20/25
VA OS: Dcc20/25
IOP: TP: OD:12 OS:12

Hairy Cell Leukemia - Retinal Hemorrhage and twig Branch Vein Occlusion

79 year old man He has had hairy cell leukemia since 2002. He is in remission. His last blood tests were 9/2018. He just moved down here and needs a new leukemia doctor. His vision is fine.
VA OD: Dcc20/25
VA OS: Dcc20/25
IOP: TP: OD:12 OS:12

hairycell_frno_100115_21.jpg hairycell_frno_100115_22.jpg hairycell_frno_100115_23.jpg hairycell_frno_100115_24.jpg hairycell_frno_100115_25.jpg