Retina Gallery ~ Full Sized Retina Images

Library of Free, Non-Copyrighted Retina Images and Videos

Choose your language:



61 year old man - he had chemotherapy for his hairy cell leukemia in the middle of August. He started having trouble with light sensitivity after his diagnosis and he started seeing spots. Right now he feels like he is looking through a grid. He has a friend who is a pediatric hematologist up north. There was some concern that he might have retinal hemorrhages associated with the Leukemia. His white count was over 100,000. Now his white is low. His platelets are back to normal. His red count is also low. •VA OD: sc20/32 PHNI •VA OS: sc20/25-2 The images show extensive non-perfusion. The right eye developed proliferation and required PRP about 3 months after these photos were taken.

hairycell_frno_100115_01.png
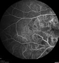
Hairy Cell Leukemia - Retinal Hemorrhage and twig Branch Vein Occlusion764 views79 year old man He has had hairy cell leukemia since 2002. He is in remission. His last blood tests were 9/2018. He just moved down here and needs a new leukemia doctor. His vision is fine.
VA OD: Dcc20/25
VA OS: Dcc20/25
IOP: TP: OD:12 OS:12
00000
(0 votes)
hairycell_frno_100115_02.png
Hairy Cell Leukemia - Retinal Hemorrhage and twig Branch Vein Occlusion729 views79 year old man He has had hairy cell leukemia since 2002. He is in remission. His last blood tests were 9/2018. He just moved down here and needs a new leukemia doctor. His vision is fine.
VA OD: Dcc20/25
VA OS: Dcc20/25
IOP: TP: OD:12 OS:12
00000
(0 votes)
hairycell_frno_100115_03.png
Hairy Cell Leukemia - Retinal Hemorrhage and twig Branch Vein Occlusion554 views79 year old man He has had hairy cell leukemia since 2002. He is in remission. His last blood tests were 9/2018. He just moved down here and needs a new leukemia doctor. His vision is fine.
VA OD: Dcc20/25
VA OS: Dcc20/25
IOP: TP: OD:12 OS:12
00000
(0 votes)
hairycell_frno_100115_04.png
Hairy Cell Leukemia - Retinal Hemorrhage and twig Branch Vein Occlusion438 views79 year old man He has had hairy cell leukemia since 2002. He is in remission. His last blood tests were 9/2018. He just moved down here and needs a new leukemia doctor. His vision is fine.
VA OD: Dcc20/25
VA OS: Dcc20/25
IOP: TP: OD:12 OS:12
00000
(0 votes)
hairycell_frno_100115_05.png
Hairy Cell Leukemia - Retinal Hemorrhage and twig Branch Vein Occlusion835 views79 year old man He has had hairy cell leukemia since 2002. He is in remission. His last blood tests were 9/2018. He just moved down here and needs a new leukemia doctor. His vision is fine.
VA OD: Dcc20/25
VA OS: Dcc20/25
IOP: TP: OD:12 OS:12
00000
(0 votes)
hairycell_frno_100115_06.png
Hairy Cell Leukemia - Retinal Hemorrhage and twig Branch Vein Occlusion608 views79 year old man He has had hairy cell leukemia since 2002. He is in remission. His last blood tests were 9/2018. He just moved down here and needs a new leukemia doctor. His vision is fine.
VA OD: Dcc20/25
VA OS: Dcc20/25
IOP: TP: OD:12 OS:12
00000
(0 votes)
hairycell_frno_100115_07.png
Hairy Cell Leukemia - Retinal Hemorrhage and twig Branch Vein Occlusion450 views79 year old man He has had hairy cell leukemia since 2002. He is in remission. His last blood tests were 9/2018. He just moved down here and needs a new leukemia doctor. His vision is fine.
VA OD: Dcc20/25
VA OS: Dcc20/25
IOP: TP: OD:12 OS:12
00000
(0 votes)
hairycell_frno_100115_08.png
Hairy Cell Leukemia - Retinal Hemorrhage and twig Branch Vein Occlusion544 views79 year old man He has had hairy cell leukemia since 2002. He is in remission. His last blood tests were 9/2018. He just moved down here and needs a new leukemia doctor. His vision is fine.
VA OD: Dcc20/25
VA OS: Dcc20/25
IOP: TP: OD:12 OS:12
00000
(0 votes)
hairycell_frno_100115_09.png
Hairy Cell Leukemia - Retinal Hemorrhage and twig Branch Vein Occlusion484 views79 year old man He has had hairy cell leukemia since 2002. He is in remission. His last blood tests were 9/2018. He just moved down here and needs a new leukemia doctor. His vision is fine.
VA OD: Dcc20/25
VA OS: Dcc20/25
IOP: TP: OD:12 OS:12
00000
(0 votes)
hairycell_frno_100115_10.png
Hairy Cell Leukemia - Retinal Hemorrhage and twig Branch Vein Occlusion567 views79 year old man He has had hairy cell leukemia since 2002. He is in remission. His last blood tests were 9/2018. He just moved down here and needs a new leukemia doctor. His vision is fine.
VA OD: Dcc20/25
VA OS: Dcc20/25
IOP: TP: OD:12 OS:12
00000
(0 votes)
hairycell_frno_100115_11.jpg
Hairy Cell Leukemia - Retinal Hemorrhage and twig Branch Vein Occlusion523 views79 year old man He has had hairy cell leukemia since 2002. He is in remission. His last blood tests were 9/2018. He just moved down here and needs a new leukemia doctor. His vision is fine.
VA OD: Dcc20/25
VA OS: Dcc20/25
IOP: TP: OD:12 OS:12
00000
(0 votes)
hairycell_frno_100115_12.jpg
Hairy Cell Leukemia - Retinal Hemorrhage and twig Branch Vein Occlusion459 views79 year old man He has had hairy cell leukemia since 2002. He is in remission. His last blood tests were 9/2018. He just moved down here and needs a new leukemia doctor. His vision is fine.
VA OD: Dcc20/25
VA OS: Dcc20/25
IOP: TP: OD:12 OS:12
00000
(0 votes)
hairycell_frno_100115_13.jpg
Hairy Cell Leukemia - Retinal Hemorrhage and twig Branch Vein Occlusion462 views79 year old man He has had hairy cell leukemia since 2002. He is in remission. His last blood tests were 9/2018. He just moved down here and needs a new leukemia doctor. His vision is fine.
VA OD: Dcc20/25
VA OS: Dcc20/25
IOP: TP: OD:12 OS:12
00000
(0 votes)
hairycell_frno_100115_14.jpg
Hairy Cell Leukemia - Retinal Hemorrhage and twig Branch Vein Occlusion476 views79 year old man He has had hairy cell leukemia since 2002. He is in remission. His last blood tests were 9/2018. He just moved down here and needs a new leukemia doctor. His vision is fine.
VA OD: Dcc20/25
VA OS: Dcc20/25
IOP: TP: OD:12 OS:12
00000
(0 votes)
hairycell_frno_100115_15.jpg
Hairy Cell Leukemia - Retinal Hemorrhage and twig Branch Vein Occlusion461 views79 year old man He has had hairy cell leukemia since 2002. He is in remission. His last blood tests were 9/2018. He just moved down here and needs a new leukemia doctor. His vision is fine.
VA OD: Dcc20/25
VA OS: Dcc20/25
IOP: TP: OD:12 OS:12
00000
(0 votes)
hairycell_frno_100115_16.jpg
Hairy Cell Leukemia - Retinal Hemorrhage and twig Branch Vein Occlusion487 views79 year old man He has had hairy cell leukemia since 2002. He is in remission. His last blood tests were 9/2018. He just moved down here and needs a new leukemia doctor. His vision is fine.
VA OD: Dcc20/25
VA OS: Dcc20/25
IOP: TP: OD:12 OS:12
00000
(0 votes)
hairycell_frno_100115_17.jpg
Hairy Cell Leukemia - Retinal Hemorrhage and twig Branch Vein Occlusion492 views79 year old man He has had hairy cell leukemia since 2002. He is in remission. His last blood tests were 9/2018. He just moved down here and needs a new leukemia doctor. His vision is fine.
VA OD: Dcc20/25
VA OS: Dcc20/25
IOP: TP: OD:12 OS:12
00000
(0 votes)
hairycell_frno_100115_18.jpg
Hairy Cell Leukemia - Retinal Hemorrhage and twig Branch Vein Occlusion562 views79 year old man He has had hairy cell leukemia since 2002. He is in remission. His last blood tests were 9/2018. He just moved down here and needs a new leukemia doctor. His vision is fine.
VA OD: Dcc20/25
VA OS: Dcc20/25
IOP: TP: OD:12 OS:12
00000
(0 votes)
hairycell_frno_100115_19.jpg
Hairy Cell Leukemia - Retinal Hemorrhage and twig Branch Vein Occlusion458 views79 year old man He has had hairy cell leukemia since 2002. He is in remission. His last blood tests were 9/2018. He just moved down here and needs a new leukemia doctor. His vision is fine.
VA OD: Dcc20/25
VA OS: Dcc20/25
IOP: TP: OD:12 OS:12
00000
(0 votes)
hairycell_frno_100115_20.jpg
Hairy Cell Leukemia - Retinal Hemorrhage and twig Branch Vein Occlusion369 views79 year old man He has had hairy cell leukemia since 2002. He is in remission. His last blood tests were 9/2018. He just moved down here and needs a new leukemia doctor. His vision is fine.
VA OD: Dcc20/25
VA OS: Dcc20/25
IOP: TP: OD:12 OS:12
00000
(0 votes)
hairycell_frno_100115_21.jpg
Hairy Cell Leukemia - Retinal Hemorrhage and twig Branch Vein Occlusion409 views79 year old man He has had hairy cell leukemia since 2002. He is in remission. His last blood tests were 9/2018. He just moved down here and needs a new leukemia doctor. His vision is fine.
VA OD: Dcc20/25
VA OS: Dcc20/25
IOP: TP: OD:12 OS:12
00000
(0 votes)
hairycell_frno_100115_22.jpg
Hairy Cell Leukemia - Retinal Hemorrhage and twig Branch Vein Occlusion408 views79 year old man He has had hairy cell leukemia since 2002. He is in remission. His last blood tests were 9/2018. He just moved down here and needs a new leukemia doctor. His vision is fine.
VA OD: Dcc20/25
VA OS: Dcc20/25
IOP: TP: OD:12 OS:12
00000
(0 votes)
hairycell_frno_100115_23.jpg
Hairy Cell Leukemia - Retinal Hemorrhage and twig Branch Vein Occlusion439 views79 year old man He has had hairy cell leukemia since 2002. He is in remission. His last blood tests were 9/2018. He just moved down here and needs a new leukemia doctor. His vision is fine.
VA OD: Dcc20/25
VA OS: Dcc20/25
IOP: TP: OD:12 OS:12
00000
(0 votes)
hairycell_frno_100115_24.jpg
Hairy Cell Leukemia - Retinal Hemorrhage and twig Branch Vein Occlusion482 views79 year old man He has had hairy cell leukemia since 2002. He is in remission. His last blood tests were 9/2018. He just moved down here and needs a new leukemia doctor. His vision is fine.
VA OD: Dcc20/25
VA OS: Dcc20/25
IOP: TP: OD:12 OS:12
00000
(0 votes)
hairycell_frno_100115_25.jpg
Hairy Cell Leukemia - Retinal Hemorrhage and twig Branch Vein Occlusion454 views79 year old man He has had hairy cell leukemia since 2002. He is in remission. His last blood tests were 9/2018. He just moved down here and needs a new leukemia doctor. His vision is fine.
VA OD: Dcc20/25
VA OS: Dcc20/25
IOP: TP: OD:12 OS:12
00000
(0 votes)
hairycell_frno_100115_26.jpg
Hairy Cell Leukemia - Retinal Hemorrhage and twig Branch Vein Occlusion404 views79 year old man He has had hairy cell leukemia since 2002. He is in remission. His last blood tests were 9/2018. He just moved down here and needs a new leukemia doctor. His vision is fine.
VA OD: Dcc20/25
VA OS: Dcc20/25
IOP: TP: OD:12 OS:12
00000
(0 votes)
hairycell_frno_100115_27.jpg
Hairy Cell Leukemia - Retinal Hemorrhage and twig Branch Vein Occlusion420 views79 year old man He has had hairy cell leukemia since 2002. He is in remission. His last blood tests were 9/2018. He just moved down here and needs a new leukemia doctor. His vision is fine.
VA OD: Dcc20/25
VA OS: Dcc20/25
IOP: TP: OD:12 OS:12
00000
(0 votes)
hairycell_frno_100115_28.jpg
Hairy Cell Leukemia - Retinal Hemorrhage and twig Branch Vein Occlusion395 views79 year old man He has had hairy cell leukemia since 2002. He is in remission. His last blood tests were 9/2018. He just moved down here and needs a new leukemia doctor. His vision is fine.
VA OD: Dcc20/25
VA OS: Dcc20/25
IOP: TP: OD:12 OS:12
00000
(0 votes)
hairycell_frno_100115_29.jpg
Hairy Cell Leukemia - Retinal Hemorrhage and twig Branch Vein Occlusion365 views79 year old man He has had hairy cell leukemia since 2002. He is in remission. His last blood tests were 9/2018. He just moved down here and needs a new leukemia doctor. His vision is fine.
VA OD: Dcc20/25
VA OS: Dcc20/25
IOP: TP: OD:12 OS:12
00000
(0 votes)
hairycell_frno_100115_30.jpg
Hairy Cell Leukemia - Retinal Hemorrhage and twig Branch Vein Occlusion445 views79 year old man He has had hairy cell leukemia since 2002. He is in remission. His last blood tests were 9/2018. He just moved down here and needs a new leukemia doctor. His vision is fine.
VA OD: Dcc20/25
VA OS: Dcc20/25
IOP: TP: OD:12 OS:12
00000
(0 votes)
hairycell_frno_100115_31.jpg
Hairy Cell Leukemia - Retinal Hemorrhage and twig Branch Vein Occlusion398 views79 year old man He has had hairy cell leukemia since 2002. He is in remission. His last blood tests were 9/2018. He just moved down here and needs a new leukemia doctor. His vision is fine.
VA OD: Dcc20/25
VA OS: Dcc20/25
IOP: TP: OD:12 OS:12
00000
(0 votes)
hairycell_frno_100115_32.jpg
Hairy Cell Leukemia - Retinal Hemorrhage and twig Branch Vein Occlusion440 views79 year old man He has had hairy cell leukemia since 2002. He is in remission. His last blood tests were 9/2018. He just moved down here and needs a new leukemia doctor. His vision is fine.
VA OD: Dcc20/25
VA OS: Dcc20/25
IOP: TP: OD:12 OS:12
00000
(0 votes)
hairycell_frno_100115_33.jpg
Hairy Cell Leukemia - Retinal Hemorrhage and twig Branch Vein Occlusion535 views79 year old man He has had hairy cell leukemia since 2002. He is in remission. His last blood tests were 9/2018. He just moved down here and needs a new leukemia doctor. His vision is fine.
VA OD: Dcc20/25
VA OS: Dcc20/25
IOP: TP: OD:12 OS:12
00000
(0 votes)
hairycell_frno_100115_34.jpg
Hairy Cell Leukemia - Retinal Hemorrhage and twig Branch Vein Occlusion441 views79 year old man He has had hairy cell leukemia since 2002. He is in remission. His last blood tests were 9/2018. He just moved down here and needs a new leukemia doctor. His vision is fine.
VA OD: Dcc20/25
VA OS: Dcc20/25
IOP: TP: OD:12 OS:12
00000
(0 votes)
hairycell_frno_100115_35.jpg
Hairy Cell Leukemia - Retinal Hemorrhage and twig Branch Vein Occlusion426 views79 year old man He has had hairy cell leukemia since 2002. He is in remission. His last blood tests were 9/2018. He just moved down here and needs a new leukemia doctor. His vision is fine.
VA OD: Dcc20/25
VA OS: Dcc20/25
IOP: TP: OD:12 OS:12
00000
(0 votes)
hairycell_frno_100115_36.jpg
Hairy Cell Leukemia - Retinal Hemorrhage and twig Branch Vein Occlusion402 views79 year old man He has had hairy cell leukemia since 2002. He is in remission. His last blood tests were 9/2018. He just moved down here and needs a new leukemia doctor. His vision is fine.
VA OD: Dcc20/25
VA OS: Dcc20/25
IOP: TP: OD:12 OS:12
00000
(0 votes)
hairycell_frno_100115_37.jpg
Hairy Cell Leukemia - Retinal Hemorrhage and twig Branch Vein Occlusion444 views79 year old man He has had hairy cell leukemia since 2002. He is in remission. His last blood tests were 9/2018. He just moved down here and needs a new leukemia doctor. His vision is fine.
VA OD: Dcc20/25
VA OS: Dcc20/25
IOP: TP: OD:12 OS:12
00000
(0 votes)
hairycell_frno_100115_38.jpg
Hairy Cell Leukemia - Retinal Hemorrhage and twig Branch Vein Occlusion420 views79 year old man He has had hairy cell leukemia since 2002. He is in remission. His last blood tests were 9/2018. He just moved down here and needs a new leukemia doctor. His vision is fine.
VA OD: Dcc20/25
VA OS: Dcc20/25
IOP: TP: OD:12 OS:12
00000
(0 votes)
hairycell_frno_100115_39.jpg
Hairy Cell Leukemia - Retinal Hemorrhage and twig Branch Vein Occlusion382 views79 year old man He has had hairy cell leukemia since 2002. He is in remission. His last blood tests were 9/2018. He just moved down here and needs a new leukemia doctor. His vision is fine.
VA OD: Dcc20/25
VA OS: Dcc20/25
IOP: TP: OD:12 OS:12
00000
(0 votes)
hairycell_frno_100115_40.jpg
Hairy Cell Leukemia - Retinal Hemorrhage and twig Branch Vein Occlusion404 views79 year old man He has had hairy cell leukemia since 2002. He is in remission. His last blood tests were 9/2018. He just moved down here and needs a new leukemia doctor. His vision is fine.
VA OD: Dcc20/25
VA OS: Dcc20/25
IOP: TP: OD:12 OS:12
00000
(0 votes)
hairycell_frno_100115_41.jpg
Hairy Cell Leukemia - Retinal Hemorrhage and twig Branch Vein Occlusion499 views79 year old man He has had hairy cell leukemia since 2002. He is in remission. His last blood tests were 9/2018. He just moved down here and needs a new leukemia doctor. His vision is fine.
VA OD: Dcc20/25
VA OS: Dcc20/25
IOP: TP: OD:12 OS:12
00000
(0 votes)
     
41 files on 1 page(s)

61 year old man - he had chemotherapy for his hairy cell leukemia in the middle of August. He started having trouble with light sensitivity after his diagnosis and he started seeing spots. Right now he feels like he is looking through a grid. He has a friend who is a pediatric hematologist up north. There was some concern that he might have retinal hemorrhages associated with the Leukemia. His white count was over 100,000. Now his white is low. His platelets are back to normal. His red count is also low. •VA OD: sc20/32 PHNI •VA OS: sc20/25-2 The images show extensive non-perfusion. The right eye developed proliferation and required PRP about 3 months after these photos were taken.