Most viewed - Macroaneurysm
|

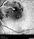
Macroaneurysm - Resolved without treatment416 views87 year old female with vision loss OD. Initial FA showed no leakage so no treatment was done and the fluid absorbed over 4 months. Initial VA 20/100, Final VA 20/80
|
|

Macroaneurysm - Macular Hemorrhage - Branch Retinal Aterial Occlusion415 views62 year old African American female with chronic hypertension and vision loss for 2 weeks. VA is 20/400
|
|

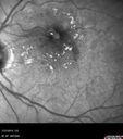
Self Sealed Retinal Arteriol Macroaneurysm414 viewsFA on presentation showed minimal to no active leakage. Also, there is a small cuff of blood around the MA which is favorable for closure
|
|

Macroaneurysm - Macular Hemorrhage - Branch Retinal Aterial Occlusion414 views62 year old African American female with chronic hypertension and vision loss for 2 weeks. VA is 20/400
|
|

Self Sealed Retinal Arteriol Macroaneurysm413 viewsFA on presentation showed minimal to no active leakage. Also, there is a small cuff of blood around the MA which is favorable for closure
|
|

Macroaneurysm - Resolved without treatment402 views87 year old female with vision loss OD. Initial FA showed no leakage so no treatment was done and the fluid absorbed over 4 months. Initial VA 20/100, Final VA 20/80
|
|

Macroaneurysm - Macular Hemorrhage - Branch Retinal Aterial Occlusion402 views62 year old African American female with chronic hypertension and vision loss for 2 weeks. VA is 20/400
|
|

Macroaneurysm - Resolved without treatment400 views87 year old female with vision loss OD. Initial FA showed no leakage so no treatment was done and the fluid absorbed over 4 months. Initial VA 20/100, Final VA 20/80
|
|

Macroaneurysm - Macular Hemorrhage - Branch Retinal Aterial Occlusion397 views62 year old African American female with chronic hypertension and vision loss for 2 weeks. VA is 20/400
|
|

Macroaneurysm - Macular Hemorrhage - Branch Retinal Aterial Occlusion397 views62 year old African American female with chronic hypertension and vision loss for 2 weeks. VA is 20/400
|
|

Macroaneurysm - Macular Hemorrhage - Branch Retinal Aterial Occlusion396 views62 year old African American female with chronic hypertension and vision loss for 2 weeks. VA is 20/400
|
|

Macroaneurysm - Macular Hemorrhage - Branch Retinal Aterial Occlusion392 views62 year old African American female with chronic hypertension and vision loss for 2 weeks. VA is 20/400
|
|

Macroaneurysm - Resolved without treatment391 views87 year old female with vision loss OD. Initial FA showed no leakage so no treatment was done and the fluid absorbed over 4 months. Initial VA 20/100, Final VA 20/80
|
|

Macroaneurysm - Resolved without treatment390 views87 year old female with vision loss OD. Initial FA showed no leakage so no treatment was done and the fluid absorbed over 4 months. Initial VA 20/100, Final VA 20/80
|
|

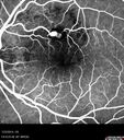
Retinal Arterial Macroaneursym390 views69 year old female with vision loss for a few months in the right eye. Images show a macroaneurysm in the right eye. The lesion had bled and FA showed no leakage. No treatment was done. VA improved from 20/40 - 20/32
|
|

Macroaneurysm - Resolved without treatment387 views87 year old female with vision loss OD. Initial FA showed no leakage so no treatment was done and the fluid absorbed over 4 months. Initial VA 20/100, Final VA 20/80
|
|

Macroaneurysm - Macular Hemorrhage - Branch Retinal Aterial Occlusion385 views62 year old African American female with chronic hypertension and vision loss for 2 weeks. VA is 20/400
|
|

Macroaneurysm - Macular Hemorrhage - Branch Retinal Aterial Occlusion385 views62 year old African American female with chronic hypertension and vision loss for 2 weeks. VA is 20/400
|
|

Retinal Arterial Macroaneursym385 views69 year old female with vision loss for a few months in the right eye. Images show a macroaneurysm in the right eye. The lesion had bled and FA showed no leakage. No treatment was done. VA improved from 20/40 - 20/32
|
|

Macroaneurysm - Resolved without treatment380 views87 year old female with vision loss OD. Initial FA showed no leakage so no treatment was done and the fluid absorbed over 4 months. Initial VA 20/100, Final VA 20/80
|
|

Macroaneurysm - Resolved without treatment380 views87 year old female with vision loss OD. Initial FA showed no leakage so no treatment was done and the fluid absorbed over 4 months. Initial VA 20/100, Final VA 20/80
|
|

Macroaneurysm - Resolved without treatment380 views87 year old female with vision loss OD. Initial FA showed no leakage so no treatment was done and the fluid absorbed over 4 months. Initial VA 20/100, Final VA 20/80
|
|

Macroaneurysm - Macular Hemorrhage - Branch Retinal Aterial Occlusion379 views62 year old African American female with chronic hypertension and vision loss for 2 weeks. VA is 20/400
|
|

Macroaneurysm - Macular Hemorrhage - Branch Retinal Aterial Occlusion379 views62 year old African American female with chronic hypertension and vision loss for 2 weeks. VA is 20/400
|
|

Macroaneurysm - Macular Hemorrhage - Branch Retinal Aterial Occlusion378 views62 year old African American female with chronic hypertension and vision loss for 2 weeks. VA is 20/400
|
|

Macroaneurysm - Macular Hemorrhage - Branch Retinal Aterial Occlusion376 views62 year old African American female with chronic hypertension and vision loss for 2 weeks. VA is 20/400
|
|

Macroaneurysm - Resolved without treatment374 views87 year old female with vision loss OD. Initial FA showed no leakage so no treatment was done and the fluid absorbed over 4 months. Initial VA 20/100, Final VA 20/80
|
|

Macroaneurysm - Macular Hemorrhage - Branch Retinal Aterial Occlusion374 views62 year old African American female with chronic hypertension and vision loss for 2 weeks. VA is 20/400
|
|

Macroaneurysm - Macular Hemorrhage - Branch Retinal Aterial Occlusion373 views62 year old African American female with chronic hypertension and vision loss for 2 weeks. VA is 20/400
|
|

Retinal Arterial Macroaneursym373 views69 year old female with vision loss for a few months in the right eye. Images show a macroaneurysm in the right eye. The lesion had bled and FA showed no leakage. No treatment was done. VA improved from 20/40 - 20/32
|
|

Retinal Arterial Macroaneurysm - Boat Shaped Hemorrhage372 views93 year old woman getting every 2 months Lucentis injection for wet AMD developed a ruptured MA. No treatment was done and the vision improved
|
|

Macroaneurysm - Resolved without treatment371 views87 year old female with vision loss OD. Initial FA showed no leakage so no treatment was done and the fluid absorbed over 4 months. Initial VA 20/100, Final VA 20/80
|
|

Macroaneurysm - Macular Hemorrhage - Branch Retinal Aterial Occlusion371 views62 year old African American female with chronic hypertension and vision loss for 2 weeks. VA is 20/400
|
|

Macroaneurysm - Resolved without treatment369 views87 year old female with vision loss OD. Initial FA showed no leakage so no treatment was done and the fluid absorbed over 4 months. Initial VA 20/100, Final VA 20/80
|
|

Macroaneurysm - Macular Hemorrhage - Branch Retinal Aterial Occlusion369 views62 year old African American female with chronic hypertension and vision loss for 2 weeks. VA is 20/400
|
|

Retinal Arterial Macroaneurysm - Boat Shaped Hemorrhage369 views93 year old woman getting every 2 months Lucentis injection for wet AMD developed a ruptured MA. No treatment was done and the vision improved
|
|

Macroaneurysm - Macular Hemorrhage - Branch Retinal Aterial Occlusion368 views62 year old African American female with chronic hypertension and vision loss for 2 weeks. VA is 20/400
|
|

Macroaneurysm - Resolved without treatment367 views87 year old female with vision loss OD. Initial FA showed no leakage so no treatment was done and the fluid absorbed over 4 months. Initial VA 20/100, Final VA 20/80
|
|

Macroaneurysm - Resolved without treatment367 views87 year old female with vision loss OD. Initial FA showed no leakage so no treatment was done and the fluid absorbed over 4 months. Initial VA 20/100, Final VA 20/80
|
|

Macroaneurysm - Macular Hemorrhage - Branch Retinal Aterial Occlusion364 views62 year old African American female with chronic hypertension and vision loss for 2 weeks. VA is 20/400
|
|

Macroaneurysm - Resolved without treatment362 views87 year old female with vision loss OD. Initial FA showed no leakage so no treatment was done and the fluid absorbed over 4 months. Initial VA 20/100, Final VA 20/80
|
|

Macroaneurysm - Resolved without treatment361 views87 year old female with vision loss OD. Initial FA showed no leakage so no treatment was done and the fluid absorbed over 4 months. Initial VA 20/100, Final VA 20/80
|
|

Macroaneurysm - Resolved without treatment358 views87 year old female with vision loss OD. Initial FA showed no leakage so no treatment was done and the fluid absorbed over 4 months. Initial VA 20/100, Final VA 20/80
|
|

Macroaneurysm - Resolved without treatment357 views87 year old female with vision loss OD. Initial FA showed no leakage so no treatment was done and the fluid absorbed over 4 months. Initial VA 20/100, Final VA 20/80
|
|

Macroaneurysm - Resolved without treatment355 views87 year old female with vision loss OD. Initial FA showed no leakage so no treatment was done and the fluid absorbed over 4 months. Initial VA 20/100, Final VA 20/80
|
|

Macroaneurysm - Resolved without treatment355 views87 year old female with vision loss OD. Initial FA showed no leakage so no treatment was done and the fluid absorbed over 4 months. Initial VA 20/100, Final VA 20/80
|
|

Macroaneurysm - Resolved without treatment353 views87 year old female with vision loss OD. Initial FA showed no leakage so no treatment was done and the fluid absorbed over 4 months. Initial VA 20/100, Final VA 20/80
|
|

Macroaneurysm - Resolved without treatment353 views87 year old female with vision loss OD. Initial FA showed no leakage so no treatment was done and the fluid absorbed over 4 months. Initial VA 20/100, Final VA 20/80
|
|

Macroaneurysm - Macular Hemorrhage - Branch Retinal Aterial Occlusion353 views62 year old African American female with chronic hypertension and vision loss for 2 weeks. VA is 20/400
|
|

Macroaneurysm - Macular Hemorrhage - Branch Retinal Aterial Occlusion351 views62 year old African American female with chronic hypertension and vision loss for 2 weeks. VA is 20/400
|
|

Macroaneurysm - Resolved without treatment349 views87 year old female with vision loss OD. Initial FA showed no leakage so no treatment was done and the fluid absorbed over 4 months. Initial VA 20/100, Final VA 20/80
|
|

Macroaneurysm - Macular Hemorrhage - Branch Retinal Aterial Occlusion346 views62 year old African American female with chronic hypertension and vision loss for 2 weeks. VA is 20/400
|
|

Macroaneurysm - Macular Hemorrhage - Branch Retinal Aterial Occlusion336 views62 year old African American female with chronic hypertension and vision loss for 2 weeks. VA is 20/400
|
|

Retinal Arterial Macroaneurysm - Boat Shaped Hemorrhage321 views93 year old woman getting every 2 months Lucentis injection for wet AMD developed a ruptured MA. No treatment was done and the vision improved
|
|

Retinal Arterial Macroaneurysm - Boat Shaped Hemorrhage307 views93 year old woman getting every 2 months Lucentis injection for wet AMD developed a ruptured MA. No treatment was done and the vision improved
|
|

Retinal Arterial Macroaneurysm treated with Laser296 views89 year old female with peripapillary CNVM treated with Lucentis. Vision was 20/25 OS 3 weeks ago. She noticed vision loss OS. Vision had dropped to 20/60. She had a fresh MA and was treated with laser.
|
|

Retinal Arterial Macroaneurysm treated with Laser288 views89 year old female with peripapillary CNVM treated with Lucentis. Vision was 20/25 OS 3 weeks ago. She noticed vision loss OS. Vision had dropped to 20/60. She had a fresh MA and was treated with laser.
|
|

Retinal Arterial Macroaneurysm treated with Laser286 views89 year old female with peripapillary CNVM treated with Lucentis. Vision was 20/25 OS 3 weeks ago. She noticed vision loss OS. Vision had dropped to 20/60. She had a fresh MA and was treated with laser.
|
|

Retinal Arterial Macroaneurysm treated with Laser286 views89 year old female with peripapillary CNVM treated with Lucentis. Vision was 20/25 OS 3 weeks ago. She noticed vision loss OS. Vision had dropped to 20/60. She had a fresh MA and was treated with laser.
|
|

Retinal Arterial Macroaneurysm treated with Laser286 views89 year old female with peripapillary CNVM treated with Lucentis. Vision was 20/25 OS 3 weeks ago. She noticed vision loss OS. Vision had dropped to 20/60. She had a fresh MA and was treated with laser.
|
|

Retinal Arterial Macroaneurysm treated with Laser284 views89 year old female with peripapillary CNVM treated with Lucentis. Vision was 20/25 OS 3 weeks ago. She noticed vision loss OS. Vision had dropped to 20/60. She had a fresh MA and was treated with laser.
|
|

Retinal Arterial Macroaneurysm treated with Laser284 views89 year old female with peripapillary CNVM treated with Lucentis. Vision was 20/25 OS 3 weeks ago. She noticed vision loss OS. Vision had dropped to 20/60. She had a fresh MA and was treated with laser.
|
|

Retinal Arterial Macroaneurysm treated with Laser281 views89 year old female with peripapillary CNVM treated with Lucentis. Vision was 20/25 OS 3 weeks ago. She noticed vision loss OS. Vision had dropped to 20/60. She had a fresh MA and was treated with laser.
|
|

Retinal Arterial Macroaneurysm treated with Laser281 views89 year old female with peripapillary CNVM treated with Lucentis. Vision was 20/25 OS 3 weeks ago. She noticed vision loss OS. Vision had dropped to 20/60. She had a fresh MA and was treated with laser.
|
|

Retinal Arterial Macroaneurysm treated with Laser279 views89 year old female with peripapillary CNVM treated with Lucentis. Vision was 20/25 OS 3 weeks ago. She noticed vision loss OS. Vision had dropped to 20/60. She had a fresh MA and was treated with laser.
|
|

Retinal Arterial Macroaneurysm treated with Laser277 views89 year old female with peripapillary CNVM treated with Lucentis. Vision was 20/25 OS 3 weeks ago. She noticed vision loss OS. Vision had dropped to 20/60. She had a fresh MA and was treated with laser.
|
|

Retinal Arterial Macroaneurysm treated with Laser276 views89 year old female with peripapillary CNVM treated with Lucentis. Vision was 20/25 OS 3 weeks ago. She noticed vision loss OS. Vision had dropped to 20/60. She had a fresh MA and was treated with laser.
|
|

Retinal Arterial Macroaneurysm treated with Laser274 views89 year old female with peripapillary CNVM treated with Lucentis. Vision was 20/25 OS 3 weeks ago. She noticed vision loss OS. Vision had dropped to 20/60. She had a fresh MA and was treated with laser.
|
|

Retinal Arterial Macroaneurysm treated with Laser271 views89 year old female with peripapillary CNVM treated with Lucentis. Vision was 20/25 OS 3 weeks ago. She noticed vision loss OS. Vision had dropped to 20/60. She had a fresh MA and was treated with laser.
|
|

Retinal Arterial Macroaneurysm treated with Laser271 views89 year old female with peripapillary CNVM treated with Lucentis. Vision was 20/25 OS 3 weeks ago. She noticed vision loss OS. Vision had dropped to 20/60. She had a fresh MA and was treated with laser.
|
|

Retinal Arterial Macroaneurysm treated with Laser269 views89 year old female with peripapillary CNVM treated with Lucentis. Vision was 20/25 OS 3 weeks ago. She noticed vision loss OS. Vision had dropped to 20/60. She had a fresh MA and was treated with laser.
|
|

Retinal Arterial Macroaneurysm treated with Laser269 views89 year old female with peripapillary CNVM treated with Lucentis. Vision was 20/25 OS 3 weeks ago. She noticed vision loss OS. Vision had dropped to 20/60. She had a fresh MA and was treated with laser.
|
|

Retinal Arterial Macroaneurysm treated with Laser266 views89 year old female with peripapillary CNVM treated with Lucentis. Vision was 20/25 OS 3 weeks ago. She noticed vision loss OS. Vision had dropped to 20/60. She had a fresh MA and was treated with laser.
|
|

Retinal Arterial Macroaneurysm treated with Laser266 views89 year old female with peripapillary CNVM treated with Lucentis. Vision was 20/25 OS 3 weeks ago. She noticed vision loss OS. Vision had dropped to 20/60. She had a fresh MA and was treated with laser.
|
|

Retinal Arterial Macroaneurysm treated with Laser265 views89 year old female with peripapillary CNVM treated with Lucentis. Vision was 20/25 OS 3 weeks ago. She noticed vision loss OS. Vision had dropped to 20/60. She had a fresh MA and was treated with laser.
|
|

Retinal Arterial Macroaneurysm treated with Laser265 views89 year old female with peripapillary CNVM treated with Lucentis. Vision was 20/25 OS 3 weeks ago. She noticed vision loss OS. Vision had dropped to 20/60. She had a fresh MA and was treated with laser.
|
|

Retinal Arterial Macroaneurysm treated with Laser264 views89 year old female with peripapillary CNVM treated with Lucentis. Vision was 20/25 OS 3 weeks ago. She noticed vision loss OS. Vision had dropped to 20/60. She had a fresh MA and was treated with laser.
|
|

Retinal Arterial Macroaneurysm treated with Laser264 views89 year old female with peripapillary CNVM treated with Lucentis. Vision was 20/25 OS 3 weeks ago. She noticed vision loss OS. Vision had dropped to 20/60. She had a fresh MA and was treated with laser.
|
|

Retinal Arterial Macroaneursym263 views69 year old female with vision loss for a few months in the right eye. Images show a macroaneurysm in the right eye. The lesion had bled and FA showed no leakage. No treatment was done. VA improved from 20/40 - 20/32
|
|

Retinal Arterial Macroaneurysm treated with Laser262 views89 year old female with peripapillary CNVM treated with Lucentis. Vision was 20/25 OS 3 weeks ago. She noticed vision loss OS. Vision had dropped to 20/60. She had a fresh MA and was treated with laser.
|
|

Retinal Arterial Macroaneurysm treated with Laser262 views89 year old female with peripapillary CNVM treated with Lucentis. Vision was 20/25 OS 3 weeks ago. She noticed vision loss OS. Vision had dropped to 20/60. She had a fresh MA and was treated with laser.
|
|

Retinal Arterial Macroaneurysm treated with Laser260 views89 year old female with peripapillary CNVM treated with Lucentis. Vision was 20/25 OS 3 weeks ago. She noticed vision loss OS. Vision had dropped to 20/60. She had a fresh MA and was treated with laser.
|
|

Retinal Arterial Macroaneurysm treated with Laser260 views89 year old female with peripapillary CNVM treated with Lucentis. Vision was 20/25 OS 3 weeks ago. She noticed vision loss OS. Vision had dropped to 20/60. She had a fresh MA and was treated with laser.
|
|

Retinal Arterial Macroaneurysm treated with Laser258 views89 year old female with peripapillary CNVM treated with Lucentis. Vision was 20/25 OS 3 weeks ago. She noticed vision loss OS. Vision had dropped to 20/60. She had a fresh MA and was treated with laser.
|
|

Retinal Arterial Macroaneursym257 views69 year old female with vision loss for a few months in the right eye. Images show a macroaneurysm in the right eye. The lesion had bled and FA showed no leakage. No treatment was done. VA improved from 20/40 - 20/32
|
|

Retinal Arterial Macroaneurysm treated with Laser255 views89 year old female with peripapillary CNVM treated with Lucentis. Vision was 20/25 OS 3 weeks ago. She noticed vision loss OS. Vision had dropped to 20/60. She had a fresh MA and was treated with laser.
|
|

Retinal Arterial Macroaneurysm treated with Laser254 views89 year old female with peripapillary CNVM treated with Lucentis. Vision was 20/25 OS 3 weeks ago. She noticed vision loss OS. Vision had dropped to 20/60. She had a fresh MA and was treated with laser.
|
|

Retinal Arterial Macroaneurysm treated with Laser252 views89 year old female with peripapillary CNVM treated with Lucentis. Vision was 20/25 OS 3 weeks ago. She noticed vision loss OS. Vision had dropped to 20/60. She had a fresh MA and was treated with laser.
|
|

Retinal Arterial Macroaneurysm treated with Laser252 views89 year old female with peripapillary CNVM treated with Lucentis. Vision was 20/25 OS 3 weeks ago. She noticed vision loss OS. Vision had dropped to 20/60. She had a fresh MA and was treated with laser.
|
|

Retinal Arterial Macroaneurysm treated with Laser252 views89 year old female with peripapillary CNVM treated with Lucentis. Vision was 20/25 OS 3 weeks ago. She noticed vision loss OS. Vision had dropped to 20/60. She had a fresh MA and was treated with laser.
|
|

Retinal Arterial Macroaneurysm treated with Laser249 views89 year old female with peripapillary CNVM treated with Lucentis. Vision was 20/25 OS 3 weeks ago. She noticed vision loss OS. Vision had dropped to 20/60. She had a fresh MA and was treated with laser.
|
|

Retinal Arterial Macroaneursym246 views69 year old female with vision loss for a few months in the right eye. Images show a macroaneurysm in the right eye. The lesion had bled and FA showed no leakage. No treatment was done. VA improved from 20/40 - 20/32
|
|

Retinal Arterial Macroaneurysm treated with Laser245 views89 year old female with peripapillary CNVM treated with Lucentis. Vision was 20/25 OS 3 weeks ago. She noticed vision loss OS. Vision had dropped to 20/60. She had a fresh MA and was treated with laser.
|
|

Retinal Arterial Macroaneursym237 views69 year old female with vision loss for a few months in the right eye. Images show a macroaneurysm in the right eye. The lesion had bled and FA showed no leakage. No treatment was done. VA improved from 20/40 - 20/32
|
|

Retinal Arterial Macroaneursym237 views69 year old female with vision loss for a few months in the right eye. Images show a macroaneurysm in the right eye. The lesion had bled and FA showed no leakage. No treatment was done. VA improved from 20/40 - 20/32
|
|

Retinal Arterial Macroaneursym236 views69 year old female with vision loss for a few months in the right eye. Images show a macroaneurysm in the right eye. The lesion had bled and FA showed no leakage. No treatment was done. VA improved from 20/40 - 20/32
|
|

Retinal Arterial Macroaneursym230 views69 year old female with vision loss for a few months in the right eye. Images show a macroaneurysm in the right eye. The lesion had bled and FA showed no leakage. No treatment was done. VA improved from 20/40 - 20/32
|
|

Retinal Arterial Macroaneursym229 views69 year old female with vision loss for a few months in the right eye. Images show a macroaneurysm in the right eye. The lesion had bled and FA showed no leakage. No treatment was done. VA improved from 20/40 - 20/32
|
|

Retinal Arterial Macroaneursym227 views69 year old female with vision loss for a few months in the right eye. Images show a macroaneurysm in the right eye. The lesion had bled and FA showed no leakage. No treatment was done. VA improved from 20/40 - 20/32
|
|

Retinal Arterial Macroaneursym225 views69 year old female with vision loss for a few months in the right eye. Images show a macroaneurysm in the right eye. The lesion had bled and FA showed no leakage. No treatment was done. VA improved from 20/40 - 20/32
|
|
|
|