Last additions - Tumors of the Retina and Retinal Pigment Epithelium
|

Ocular Lymphoma - Initially presented like auto-immune retinopathy280 views43 year old man: initial presentation - The vision in the left eye is blurry and opaque for about 2 weeks. In the central of the vision, when he covers the right eye, in the center of the left eye there is a film with a light in the middle. This has never happened before. He has not been sick for the last few months. A few weeks ago he saw waves on the floor when looking down but that has gone away. Since the vision loss started the vision has not changed much. The central vision is not getting better. Â
PMHx – Borderline HTN
VA OD: Dcc20/20
VA OS: Dcc20/40-1 IOP: TP: OD:15 OS:19
1+ NS
No uveitis
Labs normal. One positive antiretinal antibody - Arrestin
VA improved over 2 months to normal. Then the patient had 2 more episodes of self-limited vision loss (no treatment). Then 2 years later he presented with a diagnosis of CNS lymphoma and later developed subretinal deposits (last images)Oct 25, 2021
|
|

Ocular Lymphoma - Initially presented like auto-immune retinopathy292 views43 year old man: initial presentation - The vision in the left eye is blurry and opaque for about 2 weeks. In the central of the vision, when he covers the right eye, in the center of the left eye there is a film with a light in the middle. This has never happened before. He has not been sick for the last few months. A few weeks ago he saw waves on the floor when looking down but that has gone away. Since the vision loss started the vision has not changed much. The central vision is not getting better. Â
PMHx – Borderline HTN
VA OD: Dcc20/20
VA OS: Dcc20/40-1 IOP: TP: OD:15 OS:19
1+ NS
No uveitis
Labs normal. One positive antiretinal antibody - Arrestin
VA improved over 2 months to normal. Then the patient had 2 more episodes of self-limited vision loss (no treatment). Then 2 years later he presented with a diagnosis of CNS lymphoma and later developed subretinal deposits (last images)Oct 25, 2021
|
|

Ocular Lymphoma - Initially presented like auto-immune retinopathy299 views43 year old man: initial presentation - The vision in the left eye is blurry and opaque for about 2 weeks. In the central of the vision, when he covers the right eye, in the center of the left eye there is a film with a light in the middle. This has never happened before. He has not been sick for the last few months. A few weeks ago he saw waves on the floor when looking down but that has gone away. Since the vision loss started the vision has not changed much. The central vision is not getting better. Â
PMHx – Borderline HTN
VA OD: Dcc20/20
VA OS: Dcc20/40-1 IOP: TP: OD:15 OS:19
1+ NS
No uveitis
Labs normal. One positive antiretinal antibody - Arrestin
VA improved over 2 months to normal. Then the patient had 2 more episodes of self-limited vision loss (no treatment). Then 2 years later he presented with a diagnosis of CNS lymphoma and later developed subretinal deposits (last images)Oct 25, 2021
|
|

Ocular Lymphoma - Initially presented like auto-immune retinopathy297 views43 year old man: initial presentation - The vision in the left eye is blurry and opaque for about 2 weeks. In the central of the vision, when he covers the right eye, in the center of the left eye there is a film with a light in the middle. This has never happened before. He has not been sick for the last few months. A few weeks ago he saw waves on the floor when looking down but that has gone away. Since the vision loss started the vision has not changed much. The central vision is not getting better. Â
PMHx – Borderline HTN
VA OD: Dcc20/20
VA OS: Dcc20/40-1 IOP: TP: OD:15 OS:19
1+ NS
No uveitis
Labs normal. One positive antiretinal antibody - Arrestin
VA improved over 2 months to normal. Then the patient had 2 more episodes of self-limited vision loss (no treatment). Then 2 years later he presented with a diagnosis of CNS lymphoma and later developed subretinal deposits (last images)Oct 25, 2021
|
|

Ocular Lymphoma - Initially presented like auto-immune retinopathy287 views43 year old man: initial presentation - The vision in the left eye is blurry and opaque for about 2 weeks. In the central of the vision, when he covers the right eye, in the center of the left eye there is a film with a light in the middle. This has never happened before. He has not been sick for the last few months. A few weeks ago he saw waves on the floor when looking down but that has gone away. Since the vision loss started the vision has not changed much. The central vision is not getting better. Â
PMHx – Borderline HTN
VA OD: Dcc20/20
VA OS: Dcc20/40-1 IOP: TP: OD:15 OS:19
1+ NS
No uveitis
Labs normal. One positive antiretinal antibody - Arrestin
VA improved over 2 months to normal. Then the patient had 2 more episodes of self-limited vision loss (no treatment). Then 2 years later he presented with a diagnosis of CNS lymphoma and later developed subretinal deposits (last images)Oct 25, 2021
|
|

Ocular Lymphoma - Initially presented like auto-immune retinopathy290 views43 year old man: initial presentation - The vision in the left eye is blurry and opaque for about 2 weeks. In the central of the vision, when he covers the right eye, in the center of the left eye there is a film with a light in the middle. This has never happened before. He has not been sick for the last few months. A few weeks ago he saw waves on the floor when looking down but that has gone away. Since the vision loss started the vision has not changed much. The central vision is not getting better. Â
PMHx – Borderline HTN
VA OD: Dcc20/20
VA OS: Dcc20/40-1 IOP: TP: OD:15 OS:19
1+ NS
No uveitis
Labs normal. One positive antiretinal antibody - Arrestin
VA improved over 2 months to normal. Then the patient had 2 more episodes of self-limited vision loss (no treatment). Then 2 years later he presented with a diagnosis of CNS lymphoma and later developed subretinal deposits (last images)Oct 25, 2021
|
|

Ocular Lymphoma - Initially presented like auto-immune retinopathy275 views43 year old man: initial presentation - The vision in the left eye is blurry and opaque for about 2 weeks. In the central of the vision, when he covers the right eye, in the center of the left eye there is a film with a light in the middle. This has never happened before. He has not been sick for the last few months. A few weeks ago he saw waves on the floor when looking down but that has gone away. Since the vision loss started the vision has not changed much. The central vision is not getting better. Â
PMHx – Borderline HTN
VA OD: Dcc20/20
VA OS: Dcc20/40-1 IOP: TP: OD:15 OS:19
1+ NS
No uveitis
Labs normal. One positive antiretinal antibody - Arrestin
VA improved over 2 months to normal. Then the patient had 2 more episodes of self-limited vision loss (no treatment). Then 2 years later he presented with a diagnosis of CNS lymphoma and later developed subretinal deposits (last images)Oct 25, 2021
|
|

Ocular Lymphoma - Initially presented like auto-immune retinopathy274 views43 year old man: initial presentation - The vision in the left eye is blurry and opaque for about 2 weeks. In the central of the vision, when he covers the right eye, in the center of the left eye there is a film with a light in the middle. This has never happened before. He has not been sick for the last few months. A few weeks ago he saw waves on the floor when looking down but that has gone away. Since the vision loss started the vision has not changed much. The central vision is not getting better. Â
PMHx – Borderline HTN
VA OD: Dcc20/20
VA OS: Dcc20/40-1 IOP: TP: OD:15 OS:19
1+ NS
No uveitis
Labs normal. One positive antiretinal antibody - Arrestin
VA improved over 2 months to normal. Then the patient had 2 more episodes of self-limited vision loss (no treatment). Then 2 years later he presented with a diagnosis of CNS lymphoma and later developed subretinal deposits (last images)Oct 25, 2021
|
|

Ocular Lymphoma - Initially presented like auto-immune retinopathy302 views43 year old man: initial presentation - The vision in the left eye is blurry and opaque for about 2 weeks. In the central of the vision, when he covers the right eye, in the center of the left eye there is a film with a light in the middle. This has never happened before. He has not been sick for the last few months. A few weeks ago he saw waves on the floor when looking down but that has gone away. Since the vision loss started the vision has not changed much. The central vision is not getting better. Â
PMHx – Borderline HTN
VA OD: Dcc20/20
VA OS: Dcc20/40-1 IOP: TP: OD:15 OS:19
1+ NS
No uveitis
Labs normal. One positive antiretinal antibody - Arrestin
VA improved over 2 months to normal. Then the patient had 2 more episodes of self-limited vision loss (no treatment). Then 2 years later he presented with a diagnosis of CNS lymphoma and later developed subretinal deposits (last images)Oct 25, 2021
|
|

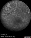
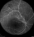
Retinal Angioma288 views53 year old female with no-symptoms and no significant medical history (or family history)Sep 12, 2021
|
|

Retinal Angioma276 views53 year old female with no-symptoms and no significant medical history (or family history)Sep 12, 2021
|
|

Retinal Angioma276 views53 year old female with no-symptoms and no significant medical history (or family history)Sep 12, 2021
|
|

Retinal Angioma268 views53 year old female with no-symptoms and no significant medical history (or family history)Sep 12, 2021
|
|

Retinal Angioma270 views53 year old female with no-symptoms and no significant medical history (or family history)Sep 12, 2021
|
|

Retinal Angioma276 views53 year old female with no-symptoms and no significant medical history (or family history)Sep 12, 2021
|
|

Retinal Angioma300 views53 year old female with no-symptoms and no significant medical history (or family history)Sep 12, 2021
|
|

Retinal Angioma300 views53 year old female with no-symptoms and no significant medical history (or family history)Sep 12, 2021
|
|

Retinal Angioma273 views53 year old female with no-symptoms and no significant medical history (or family history)Sep 12, 2021
|
|

Retinal Angioma261 views53 year old female with no-symptoms and no significant medical history (or family history)Sep 12, 2021
|
|

Retinal Angioma270 views53 year old female with no-symptoms and no significant medical history (or family history)Sep 12, 2021
|
|

Retinal Angioma255 views53 year old female with no-symptoms and no significant medical history (or family history)Sep 12, 2021
|
|

Retinal Angioma250 views53 year old female with no-symptoms and no significant medical history (or family history)Sep 12, 2021
|
|

Retinal Angioma279 views53 year old female with no-symptoms and no significant medical history (or family history)Sep 12, 2021
|
|

Retinal Angioma248 views53 year old female with no-symptoms and no significant medical history (or family history)Sep 12, 2021
|
|

Retinal Angioma282 views53 year old female with no-symptoms and no significant medical history (or family history)Sep 12, 2021
|
|

Retinal Angioma284 views53 year old female with no-symptoms and no significant medical history (or family history)Sep 12, 2021
|
|

Retinal Angioma279 views53 year old female with no-symptoms and no significant medical history (or family history)Sep 12, 2021
|
|

Retinal Angioma275 views53 year old female with no-symptoms and no significant medical history (or family history)Sep 12, 2021
|
|

Vasoproliferative Tumor 7 Years after Retinal Detachment Repair519 views65 year old female presents 7 years following retinal detachment repair with peripheral white mass with hemorrhage.Mar 07, 2020
|
|

Vasoproliferative Tumor 7 Years after Retinal Detachment Repair474 views65 year old female presents 7 years following retinal detachment repair with peripheral white mass with hemorrhage.Mar 07, 2020
|
|

Vasoproliferative Tumor 7 Years after Retinal Detachment Repair451 views65 year old female presents 7 years following retinal detachment repair with peripheral white mass with hemorrhage.Mar 07, 2020
|
|

Retinal Capillary Hemangioma - Endophytic and Exophytic496 views46 year old female with normal vision - her father died of pancreatic cancerFeb 08, 2018
|
|

Retinal Capillary Hemangioma - Endophytic and Exophytic542 views46 year old female with normal vision - her father died of pancreatic cancerFeb 08, 2018
|
|

Retinal Capillary Hemangioma - Endophytic and Exophytic501 views46 year old female with normal vision - her father died of pancreatic cancerFeb 08, 2018
|
|

Retinal Capillary Hemangiomas - Endophytic and Exophytic - Animated GIF of FA fill568 viewsThe endophytic tumor has a feeder vesselFeb 08, 2018
|
|

Retinal Capillary Hemangioma - Endophytic and Exophytic394 views46 year old female with normal vision - her father died of pancreatic cancerFeb 08, 2018
|
|

Retinal Capillary Hemangioma - Endophytic and Exophytic413 views46 year old female with normal vision - her father died of pancreatic cancerFeb 08, 2018
|
|

Retinal Capillary Hemangioma - Endophytic and Exophytic499 views46 year old female with normal vision - her father died of pancreatic cancerFeb 08, 2018
|
|

Retinal Capillary Hemangioma - Endophytic and Exophytic546 views46 year old female with normal vision - her father died of pancreatic cancerFeb 08, 2018
|
|

Retinal Capillary Hemangioma - Endophytic and Exophytic525 views46 year old female with normal vision - her father died of pancreatic cancerFeb 08, 2018
|
|

Retinal Capillary Hemangioma - Endophytic and Exophytic464 views46 year old female with normal vision - her father died of pancreatic cancerFeb 08, 2018
|
|

Retinal Capillary Hemangioma - Endophytic and Exophytic503 views46 year old female with normal vision - her father died of pancreatic cancerFeb 08, 2018
|
|

Retinal Capillary Hemangioma - Endophytic and Exophytic625 views46 year old female with normal vision - her father died of pancreatic cancerFeb 08, 2018
|
|

Retinal Capillary Hemangioma - Endophytic and Exophytic608 views46 year old female with normal vision - her father died of pancreatic cancerFeb 08, 2018
|
|

Retinal Capillary Hemangioma - Endophytic and Exophytic525 views46 year old female with normal vision - her father died of pancreatic cancerFeb 08, 2018
|
|

Retinal Capillary Hemangioma - Endophytic and Exophytic456 views46 year old female with normal vision - her father died of pancreatic cancerFeb 08, 2018
|
|

Retinal Capillary Hemangioma - Endophytic and Exophytic496 views46 year old female with normal vision - her father died of pancreatic cancerFeb 08, 2018
|
|

Retinal Capillary Hemangioma - Endophytic and Exophytic455 views46 year old female with normal vision - her father died of pancreatic cancerFeb 08, 2018
|
|

Retinal Capillary Hemangioma - Endophytic and Exophytic471 views46 year old female with normal vision - her father died of pancreatic cancerFeb 08, 2018
|
|

Retinal Capillary Hemangioma - Endophytic and Exophytic480 views46 year old female with normal vision - her father died of pancreatic cancerFeb 08, 2018
|
|

Ocular Lymphoma - non-Hodgkins - B-Cell447 viewsMultifocal sub-RPE lesions in the left eye of a patient with history of Non-hodgkins B-cell Lymphoma last active 2 years agoMar 09, 2017
|
|

Ocular Lymphoma - non-Hodgkins - B-Cell480 viewsMultifocal sub-RPE lesions in the left eye of a patient with history of Non-hodgkins B-cell Lymphoma last active 2 years agoMar 09, 2017
|
|

Ocular Lymphoma - non-Hodgkins - B-Cell384 viewsMultifocal sub-RPE lesions in the left eye of a patient with history of Non-hodgkins B-cell Lymphoma last active 2 years agoMar 09, 2017
|
|

Ocular Lymphoma - non-Hodgkins - B-Cell488 viewsMultifocal sub-RPE lesions in the left eye of a patient with history of Non-hodgkins B-cell Lymphoma last active 2 years agoMar 09, 2017
|
|

Ocular Lymphoma - non-Hodgkins - B-Cell467 viewsMultifocal sub-RPE lesions in the left eye of a patient with history of Non-hodgkins B-cell Lymphoma last active 2 years agoMar 09, 2017
|
|

Ocular Lymphoma - non-Hodgkins - B-Cell533 viewsMultifocal sub-RPE lesions in the left eye of a patient with history of Non-hodgkins B-cell Lymphoma last active 2 years agoMar 09, 2017
|
|

Ocular Lymphoma - non-Hodgkins - B-Cell536 viewsMultifocal sub-RPE lesions in the left eye of a patient with history of Non-hodgkins B-cell Lymphoma last active 2 years agoMar 09, 2017
|
|

Ocular Lymphoma - non-Hodgkins - B-Cell385 viewsMultifocal sub-RPE lesions in the left eye of a patient with history of Non-hodgkins B-cell Lymphoma last active 2 years agoMar 09, 2017
|
|

Ocular Lymphoma - non-Hodgkins - B-Cell538 viewsMultifocal sub-RPE lesions in the left eye of a patient with history of Non-hodgkins B-cell Lymphoma last active 2 years agoMar 09, 2017
|
|

Ocular Lymphoma - non-Hodgkins - B-Cell431 viewsMultifocal sub-RPE lesions in the left eye of a patient with history of Non-hodgkins B-cell Lymphoma last active 2 years agoMar 09, 2017
|
|

Ocular Lymphoma - non-Hodgkins - B-Cell479 viewsMultifocal sub-RPE lesions in the left eye of a patient with history of Non-hodgkins B-cell Lymphoma last active 2 years agoMar 09, 2017
|
|

Ocular Lymphoma - non-Hodgkins - B-Cell453 viewsMultifocal sub-RPE lesions in the left eye of a patient with history of Non-hodgkins B-cell Lymphoma last active 2 years agoMar 09, 2017
|
|

Ocular Lymphoma - non-Hodgkins - B-Cell - Right eye has equatorial drusen374 viewsMultifocal sub-RPE lesions in the left eye of a patient with history of Non-hodgkins B-cell Lymphoma last active 2 years agoMar 09, 2017
|
|

Ocular Lymphoma - non-Hodgkins - B-Cell - Right eye has equatorial drusen401 viewsMultifocal sub-RPE lesions in the left eye of a patient with history of Non-hodgkins B-cell Lymphoma last active 2 years agoMar 09, 2017
|
|

Ocular Lymphoma - non-Hodgkins - B-Cell - Right eye has equatorial drusen487 viewsMultifocal sub-RPE lesions in the left eye of a patient with history of Non-hodgkins B-cell Lymphoma last active 2 years agoMar 09, 2017
|
|

Ocular Lymphoma - non-Hodgkins - B-Cell - OCT shows multifocal sub-RPE masses 437 viewsMultifocal sub-RPE lesions in the left eye of a patient with history of Non-hodgkins B-cell Lymphoma last active 2 years agoMar 09, 2017
|
|

Ocular Lymphoma - non-Hodgkins - B-Cell - OCT shows multifocal sub-RPE masses 508 viewsMultifocal sub-RPE lesions in the left eye of a patient with history of Non-hodgkins B-cell Lymphoma last active 2 years agoMar 09, 2017
|
|

Ocular Lymphoma - non-Hodgkins - B-Cell - Right eye has equatorial drusen400 viewsMultifocal sub-RPE lesions in the left eye of a patient with history of Non-hodgkins B-cell Lymphoma last active 2 years agoMar 09, 2017
|
|

Ocular Lymphoma - non-Hodgkins - B-Cell - Right eye has equatorial drusen514 viewsMultifocal sub-RPE lesions in the left eye of a patient with history of Non-hodgkins B-cell Lymphoma last active 2 years agoMar 09, 2017
|
|

Ocular Lymphoma - non-Hodgkins - B-Cell476 viewsMultifocal sub-RPE lesions in the left eye of a patient with history of Non-hodgkins B-cell Lymphoma last active 2 years agoMar 09, 2017
|
|

Ocular Lymphoma - non-Hodgkins - B-Cell439 viewsMultifocal sub-RPE lesions in the left eye of a patient with history of Non-hodgkins B-cell Lymphoma last active 2 years agoMar 09, 2017
|
|

Ocular Lymphoma - non-Hodgkins - B-Cell496 viewsMultifocal sub-RPE lesions in the left eye of a patient with history of Non-hodgkins B-cell Lymphoma last active 2 years agoMar 09, 2017
|
|

Ocular Lymphoma - non-Hodgkins - B-Cell436 viewsMultifocal sub-RPE lesions in the left eye of a patient with history of Non-hodgkins B-cell Lymphoma last active 2 years agoMar 09, 2017
|
|

Ocular Lymphoma - non-Hodgkins - B-Cell478 viewsMultifocal sub-RPE lesions in the left eye of a patient with history of Non-hodgkins B-cell Lymphoma last active 2 years agoMar 09, 2017
|
|

Retinoblastoma1916 viewsYoung male who has a retinal tumor inferior with a calcium core in the left eye. This is a regressed retinoblastoma. Apr 28, 2014
|
|

Cavernous Choroidal Hemangioma439 viewsPatient presents with Cavernous Choroidal Hemangioma in the right eye. VA is 20/50 after manifest refraction. Patient also notices decreased vision with shadow close to her central vision in the right eye. Patient will undergo photodynamic therapy in the right eye. Jul 30, 2013
|
|

Cavernous Choroidal Hemangioma469 viewsPatient presents with Cavernous Choroidal Hemangioma in the right eye. VA is 20/50 after manifest refraction. Patient also notices decreased vision with shadow close to her central vision in the right eye. Patient will undergo photodynamic therapy in the right eye. Jul 30, 2013
|
|

Cavernous Choroidal Hemangioma481 viewsPatient presents with Cavernous Choroidal Hemangioma in the right eye. VA is 20/50 after manifest refraction. Patient also notices decreased vision with shadow close to her central vision in the right eye. Patient will undergo photodynamic therapy in the right eye. Jul 30, 2013
|
|

Cavernous Choroidal Hemangioma509 viewsPatient presents with Cavernous Choroidal Hemangioma in the right eye. VA is 20/50 after manifest refraction. Patient also notices decreased vision with shadow close to her central vision in the right eye. Patient will undergo photodynamic therapy in the right eye. Jul 30, 2013
|
|

Retinal Capillary Hemangioma due to Von Hipple-Lindau Syndrome415 viewsA 47-year old female comes in for a second opinion for retinal capillary Hemangioma in the left eye. VA was HM (hand motion) in the left eye. She has had multiple procedures done for the left eye including, Retinal Detachment surgery, YAG Laser PI, YAG Laser Capsulotomy, and Cataract surgery. Feb 26, 2013
|
|

Retinal Capillary Hemangioma due to Von Hipple-Lindau Syndrome385 viewsA 47-year old female comes in for a second opinion for retinal capillary Hemangioma in the left eye. VA was HM (hand motion) in the left eye. She has had multiple procedures done for the left eye including, Retinal Detachment surgery, YAG Laser PI, YAG Laser Capsulotomy, and Cataract surgery. Feb 26, 2013
|
|

Retinal Capillary Hemangioma due to Von Hipple-Lindau Syndrome443 viewsA 47-year old female comes in for a second opinion for retinal capillary Hemangioma in the left eye. VA was HM (hand motion) in the left eye. She has had multiple procedures done for the left eye including, Retinal Detachment surgery, YAG Laser PI, YAG Laser Capsulotomy, and Cataract surgery. Feb 26, 2013
|
|

Retinal Capillary Hemangioma due to Von Hipple-Lindau Syndrome393 viewsA 47-year old female comes in for a second opinion for retinal capillary Hemangioma in the left eye. VA was HM (hand motion) in the left eye. She has had multiple procedures done for the left eye including, Retinal Detachment surgery, YAG Laser PI, YAG Laser Capsulotomy, and Cataract surgery. Feb 26, 2013
|
|

Retinal Capillary Hemangioma due to Von Hipple-Lindau Syndrome475 viewsA 47-year old female comes in for a second opinion for retinal capillary Hemangioma in the left eye. VA was HM (hand motion) in the left eye. She has had multiple procedures done for the left eye including, Retinal Detachment surgery, YAG Laser PI, YAG Laser Capsulotomy, and Cataract surgery. Feb 26, 2013
|
|

Retinal Capillary Hemangioma due to Von Hipple-Lindau Syndrome501 viewsA 47-year old female comes in for a second opinion for retinal capillary Hemangioma in the left eye. VA was HM (hand motion) in the left eye. She has had multiple procedures done for the left eye including, Retinal Detachment surgery, YAG Laser PI, YAG Laser Capsulotomy, and Cataract surgery. Feb 26, 2013
|
|

Retinal Capillary Hemangioma due to Von Hipple-Lindau Syndrome368 viewsA 47-year old female comes in for a second opinion for retinal capillary Hemangioma in the left eye. VA was HM (hand motion) in the left eye. She has had multiple procedures done for the left eye including, Retinal Detachment surgery, YAG Laser PI, YAG Laser Capsulotomy, and Cataract surgery. Feb 26, 2013
|
|

Retinal Capillary Hemangioma due to Von Hipple-Lindau Syndrome477 viewsA 47-year old female comes in for a second opinion for retinal capillary Hemangioma in the left eye. VA was HM (hand motion) in the left eye. She has had multiple procedures done for the left eye including, Retinal Detachment surgery, YAG Laser PI, YAG Laser Capsulotomy, and Cataract surgery. Feb 26, 2013
|
|

Retinal Capillary Hemangioma due to Von Hipple-Lindau Syndrome573 viewsA 47-year old female comes in for a second opinion for retinal capillary Hemangioma in the left eye. VA was HM (hand motion) in the left eye. She has had multiple procedures done for the left eye including, Retinal Detachment surgery, YAG Laser PI, YAG Laser Capsulotomy, and Cataract surgery. Feb 26, 2013
|
|

Retinal Capillary Hemangioma due to Von Hipple-Lindau Syndrome643 viewsA 47-year old female comes in for a second opinion for retinal capillary Hemangioma in the left eye. VA was HM (hand motion) in the left eye. She has had multiple procedures done for the left eye including, Retinal Detachment surgery, YAG Laser PI, YAG Laser Capsulotomy, and Cataract surgery. Feb 26, 2013
|
|

Hemangioma919 viewsFP Composite of Hemangioma in ODFeb 11, 2013
|
|

Primary Ocular Lymphoma - Lesion has grown in size over 3 months708 viewsFeb 08, 2013
|
|

Primary Ocular Lymphoma - 020513 - SD OCT561 viewsVIDEO TAKES TIME TO LOADFeb 08, 2013
|
|

Primary Ocular Lymphoma - 020513 - SD OCT841 viewsFeb 08, 2013
|
|

Primary Ocular Lymphoma - 020513 - SD OCT - SD OCT915 viewsFeb 08, 2013
|
|

Primary Ocular Lymphoma - 020513 - SD OCT551 viewsVIDEO TAKES TIME TO LOADFeb 08, 2013
|
|

Primary Ocular Lymphoma - 020513 - SD OCT615 viewsVIDEO TAKES TIME TO LOADFeb 08, 2013
|
|

Primary Ocular Lymphoma - 020513 - SD OCT744 viewsFeb 08, 2013
|
|

Primary Ocular Lymphoma - 020513 - SD OCT607 viewsFeb 08, 2013
|
|

Primary Ocular Lymphoma - 020513 - SD OCT566 viewsFeb 08, 2013
|
|

Primary Ocular Lymphoma - 020513 - FUndus Autofluorescence670 viewsFeb 08, 2013
|
|
|
|