Derniers ajouts - Tumors of the Retina and Retinal Pigment Epithelium
|

Astrocytoma (Astrocytic Hamartoma) no calcificationvu 158 fois38 year old man with no symptoms14 Avril 2025
|
|

Astrocytoma (Astrocytic Hamartoma) no calcificationvu 175 fois38 year old man with no symptoms14 Avril 2025
|
|

Astrocytoma (Astrocytic Hamartoma) no calcificationvu 170 fois38 year old man with no symptoms14 Avril 2025
|
|

Astrocytoma (Astrocytic Hamartoma) no calcificationvu 138 fois38 year old man with no symptoms14 Avril 2025
|
|

Astrocytoma (Astrocytic Hamartoma) no calcificationvu 109 fois38 year old man with no symptoms14 Avril 2025
|
|

Advanced age-related macular degenerationvu 251 fois87 year old female. Severe macular bleed 15 years ago OD. Now with disciform scar. Left eye has progressing geographic atrophy.
VA OD: HM, OS: 5/200. IOP normal OU17 Mars 2024
|
|

Advanced age-related macular degenerationvu 133 fois87 year old female. Severe macular bleed 15 years ago OD. Now with disciform scar. Left eye has progressing geographic atrophy.
VA OD: HM, OS: 5/200. IOP normal OU17 Mars 2024
|
|

Advanced age-related macular degenerationvu 131 fois87 year old female. Severe macular bleed 15 years ago OD. Now with disciform scar. Left eye has progressing geographic atrophy.
VA OD: HM, OS: 5/200. IOP normal OU17 Mars 2024
|
|

Advanced age-related macular degenerationvu 105 fois87 year old female. Severe macular bleed 15 years ago OD. Now with disciform scar. Left eye has progressing geographic atrophy.
VA OD: HM, OS: 5/200. IOP normal OU17 Mars 2024
|
|

Advanced age-related macular degenerationvu 97 fois87 year old female. Severe macular bleed 15 years ago OD. Now with disciform scar. Left eye has progressing geographic atrophy.
VA OD: HM, OS: 5/200. IOP normal OU17 Mars 2024
|
|

Advanced age-related macular degenerationvu 103 fois87 year old female. Severe macular bleed 15 years ago OD. Now with disciform scar. Left eye has progressing geographic atrophy.
VA OD: HM, OS: 5/200. IOP normal OU17 Mars 2024
|
|

Advanced age-related macular degenerationvu 118 fois87 year old female. Severe macular bleed 15 years ago OD. Now with disciform scar. Left eye has progressing geographic atrophy.
VA OD: HM, OS: 5/200. IOP normal OU17 Mars 2024
|
|

Advanced age-related macular degenerationvu 104 fois87 year old female. Severe macular bleed 15 years ago OD. Now with disciform scar. Left eye has progressing geographic atrophy.
VA OD: HM, OS: 5/200. IOP normal OU17 Mars 2024
|
|

Advanced age-related macular degenerationvu 114 fois87 year old female. Severe macular bleed 15 years ago OD. Now with disciform scar. Left eye has progressing geographic atrophy.
VA OD: HM, OS: 5/200. IOP normal OU17 Mars 2024
|
|

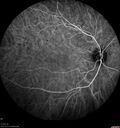
Retinal Angiomavu 88 fois46 year old female - Her original reason for an eye examination was that she had been in a car accident. Then she saw that the vision was blurry in just the left eye. Prior to that she had no known vision changes. Since the accident she notices that her vision is better and her headaches are getting less bothersome.
PMhx benign, Meds: none
VA OD: Dcc20/20
VA OS: Dcc20/2511 Mars 2024
|
|

Retinal Angiomavu 91 fois46 year old female - Her original reason for an eye examination was that she had been in a car accident. Then she saw that the vision was blurry in just the left eye. Prior to that she had no known vision changes. Since the accident she notices that her vision is better and her headaches are getting less bothersome.
PMhx benign, Meds: none
VA OD: Dcc20/20
VA OS: Dcc20/2511 Mars 2024
|
|

Retinal Angiomavu 115 fois46 year old female - Her original reason for an eye examination was that she had been in a car accident. Then she saw that the vision was blurry in just the left eye. Prior to that she had no known vision changes. Since the accident she notices that her vision is better and her headaches are getting less bothersome.
PMhx benign, Meds: none
VA OD: Dcc20/20
VA OS: Dcc20/2511 Mars 2024
|
|

Retinal Angiomavu 103 fois46 year old female - Her original reason for an eye examination was that she had been in a car accident. Then she saw that the vision was blurry in just the left eye. Prior to that she had no known vision changes. Since the accident she notices that her vision is better and her headaches are getting less bothersome.
PMhx benign, Meds: none
VA OD: Dcc20/20
VA OS: Dcc20/2511 Mars 2024
|
|

Retinal Angiomavu 104 fois46 year old female - Her original reason for an eye examination was that she had been in a car accident. Then she saw that the vision was blurry in just the left eye. Prior to that she had no known vision changes. Since the accident she notices that her vision is better and her headaches are getting less bothersome.
PMhx benign, Meds: none
VA OD: Dcc20/20
VA OS: Dcc20/2511 Mars 2024
|
|

Retinal Angiomavu 101 fois46 year old female - Her original reason for an eye examination was that she had been in a car accident. Then she saw that the vision was blurry in just the left eye. Prior to that she had no known vision changes. Since the accident she notices that her vision is better and her headaches are getting less bothersome.
PMhx benign, Meds: none
VA OD: Dcc20/20
VA OS: Dcc20/2511 Mars 2024
|
|

Retinal Angiomavu 96 fois46 year old female - Her original reason for an eye examination was that she had been in a car accident. Then she saw that the vision was blurry in just the left eye. Prior to that she had no known vision changes. Since the accident she notices that her vision is better and her headaches are getting less bothersome.
PMhx benign, Meds: none
VA OD: Dcc20/20
VA OS: Dcc20/2511 Mars 2024
|
|

Retinal Angiomavu 102 fois46 year old female - Her original reason for an eye examination was that she had been in a car accident. Then she saw that the vision was blurry in just the left eye. Prior to that she had no known vision changes. Since the accident she notices that her vision is better and her headaches are getting less bothersome.
PMhx benign, Meds: none
VA OD: Dcc20/20
VA OS: Dcc20/2511 Mars 2024
|
|

Retinal Angiomavu 98 fois46 year old female - Her original reason for an eye examination was that she had been in a car accident. Then she saw that the vision was blurry in just the left eye. Prior to that she had no known vision changes. Since the accident she notices that her vision is better and her headaches are getting less bothersome.
PMhx benign, Meds: none
VA OD: Dcc20/20
VA OS: Dcc20/2511 Mars 2024
|
|

Retinal Angiomavu 93 fois46 year old female - Her original reason for an eye examination was that she had been in a car accident. Then she saw that the vision was blurry in just the left eye. Prior to that she had no known vision changes. Since the accident she notices that her vision is better and her headaches are getting less bothersome.
PMhx benign, Meds: none
VA OD: Dcc20/20
VA OS: Dcc20/2511 Mars 2024
|
|

Retinal Angiomavu 107 fois46 year old female - Her original reason for an eye examination was that she had been in a car accident. Then she saw that the vision was blurry in just the left eye. Prior to that she had no known vision changes. Since the accident she notices that her vision is better and her headaches are getting less bothersome.
PMhx benign, Meds: none
VA OD: Dcc20/20
VA OS: Dcc20/2511 Mars 2024
|
|

Retinal Angiomavu 104 fois46 year old female - Her original reason for an eye examination was that she had been in a car accident. Then she saw that the vision was blurry in just the left eye. Prior to that she had no known vision changes. Since the accident she notices that her vision is better and her headaches are getting less bothersome.
PMhx benign, Meds: none
VA OD: Dcc20/20
VA OS: Dcc20/2511 Mars 2024
|
|

Retinal Angiomavu 97 fois46 year old female - Her original reason for an eye examination was that she had been in a car accident. Then she saw that the vision was blurry in just the left eye. Prior to that she had no known vision changes. Since the accident she notices that her vision is better and her headaches are getting less bothersome.
PMhx benign, Meds: none
VA OD: Dcc20/20
VA OS: Dcc20/2511 Mars 2024
|
|

Radiation Retinopathy Both Eyes - 2023 - Two years after radiation for ocular lymphoma vu 204 fois21 Août 2023
|
|

Radiation Retinopathy Both Eyes - 2023 - Two years after radiation for ocular lymphoma (24)vu 200 fois21 Août 2023
|
|

Radiation Retinopathy Both Eyes - 2023 - Two years after radiation for ocular lymphoma (23)vu 202 fois21 Août 2023
|
|

Radiation Retinopathy Both Eyes - 2023 - Two years after radiation for ocular lymphoma (22)vu 207 fois21 Août 2023
|
|

Radiation Retinopathy Both Eyes - 2023 - Two years after radiation for ocular lymphoma (21)vu 229 fois21 Août 2023
|
|

Radiation Retinopathy Both Eyes - 2023 - Two years after radiation for ocular lymphoma (20)vu 216 fois21 Août 2023
|
|

Radiation Retinopathy Both Eyes - 2023 - Two years after radiation for ocular lymphoma (19)vu 200 fois21 Août 2023
|
|

Radiation Retinopathy Both Eyes - 2023 - Two years after radiation for ocular lymphoma (18)vu 207 fois21 Août 2023
|
|

Radiation Retinopathy Both Eyes - 2023 - Two years after radiation for ocular lymphoma (1)vu 202 fois21 Août 2023
|
|

Radiation Retinopathy Both Eyes - 2023 - Two years after radiation for ocular lymphoma (17)vu 206 fois21 Août 2023
|
|

Radiation Retinopathy Both Eyes - 2023 - Two years after radiation for ocular lymphoma (16)vu 204 fois21 Août 2023
|
|

Radiation Retinopathy Both Eyes - 2023 - Two years after radiation for ocular lymphoma (15)vu 200 fois21 Août 2023
|
|

Radiation Retinopathy Both Eyes - 2023 - Two years after radiation for ocular lymphoma (14)vu 201 fois21 Août 2023
|
|

Radiation Retinopathy Both Eyes - 2023 - Two years after radiation for ocular lymphoma (13)vu 214 fois21 Août 2023
|
|

Radiation Retinopathy Both Eyes - 2023 - Two years after radiation for ocular lymphoma (12)vu 201 fois21 Août 2023
|
|

Radiation Retinopathy Both Eyes - 2023 - Two years after radiation for ocular lymphoma (11)vu 227 fois21 Août 2023
|
|

Radiation Retinopathy Both Eyes - 2023 - Two years after radiation for ocular lymphoma (10)vu 208 fois21 Août 2023
|
|

Radiation Retinopathy Both Eyes - 2023 - Two years after radiation for ocular lymphoma (9)vu 227 fois21 Août 2023
|
|

Radiation Retinopathy Both Eyes - 2023 - Two years after radiation for ocular lymphoma (8)vu 225 fois21 Août 2023
|
|

Radiation Retinopathy Both Eyes - 2023 - Two years after radiation for ocular lymphoma (6)vu 178 fois21 Août 2023
|
|

Radiation Retinopathy Both Eyes - 2023 - Two years after radiation for ocular lymphoma (7)vu 193 fois21 Août 2023
|
|

Radiation Retinopathy Both Eyes - 2023 - Two years after radiation for ocular lymphoma (5)vu 210 fois21 Août 2023
|
|

Radiation Retinopathy Both Eyes - 2023 - Two years after radiation for ocular lymphoma (4)vu 191 fois21 Août 2023
|
|

Radiation Retinopathy Both Eyes - 2023 - Two years after radiation for ocular lymphoma (3)vu 210 fois21 Août 2023
|
|

Radiation Retinopathy Both Eyes - 2023 - Two years after radiation for ocular lymphoma (2)vu 228 fois21 Août 2023
|
|

Retinal Cavernous Hemangiomavu 297 fois27 year old female with normal vision - MRI was normal04 Février 2022
|
|

Retinal Cavernous Hemangiomavu 295 fois27 year old female with normal vision - MRI was normal04 Février 2022
|
|

Retinal Cavernous Hemangiomavu 298 fois27 year old female with normal vision - MRI was normal04 Février 2022
|
|

Retinal Cavernous Hemangiomavu 264 fois27 year old female with normal vision - MRI was normal04 Février 2022
|
|

Ocular lymphoma - better following intravitreal methotrexatevu 290 foisVA improved from LP to 20/200 after 4 injections of methotrexate06 Janvier 2022
|
|

Ocular Lymphoma - Flare up despite chemotherapy and radiation therapy - This was treated with intravitreal methotrexatevu 327 foisVision in the left eye has declined to LP in this image following ocular recurrence of lymphoma06 Janvier 2022
|
|

Ocular Lymphoma - Initially presented like auto-immune retinopathyvu 321 fois43 year old man: initial presentation - The vision in the left eye is blurry and opaque for about 2 weeks. In the central of the vision, when he covers the right eye, in the center of the left eye there is a film with a light in the middle. This has never happened before. He has not been sick for the last few months. A few weeks ago he saw waves on the floor when looking down but that has gone away. Since the vision loss started the vision has not changed much. The central vision is not getting better. Â
PMHx – Borderline HTN
VA OD: Dcc20/20
VA OS: Dcc20/40-1 IOP: TP: OD:15 OS:19
1+ NS
No uveitis
Labs normal. One positive antiretinal antibody - Arrestin
VA improved over 2 months to normal. Then the patient had 2 more episodes of self-limited vision loss (no treatment). Then 2 years later he presented with a diagnosis of CNS lymphoma and later developed subretinal deposits (last images)25 Octobre 2021
|
|

Ocular Lymphoma - Initially presented like auto-immune retinopathyvu 309 fois43 year old man: initial presentation - The vision in the left eye is blurry and opaque for about 2 weeks. In the central of the vision, when he covers the right eye, in the center of the left eye there is a film with a light in the middle. This has never happened before. He has not been sick for the last few months. A few weeks ago he saw waves on the floor when looking down but that has gone away. Since the vision loss started the vision has not changed much. The central vision is not getting better. Â
PMHx – Borderline HTN
VA OD: Dcc20/20
VA OS: Dcc20/40-1 IOP: TP: OD:15 OS:19
1+ NS
No uveitis
Labs normal. One positive antiretinal antibody - Arrestin
VA improved over 2 months to normal. Then the patient had 2 more episodes of self-limited vision loss (no treatment). Then 2 years later he presented with a diagnosis of CNS lymphoma and later developed subretinal deposits (last images)25 Octobre 2021
|
|

Ocular Lymphoma - Initially presented like auto-immune retinopathyvu 300 fois43 year old man: initial presentation - The vision in the left eye is blurry and opaque for about 2 weeks. In the central of the vision, when he covers the right eye, in the center of the left eye there is a film with a light in the middle. This has never happened before. He has not been sick for the last few months. A few weeks ago he saw waves on the floor when looking down but that has gone away. Since the vision loss started the vision has not changed much. The central vision is not getting better. Â
PMHx – Borderline HTN
VA OD: Dcc20/20
VA OS: Dcc20/40-1 IOP: TP: OD:15 OS:19
1+ NS
No uveitis
Labs normal. One positive antiretinal antibody - Arrestin
VA improved over 2 months to normal. Then the patient had 2 more episodes of self-limited vision loss (no treatment). Then 2 years later he presented with a diagnosis of CNS lymphoma and later developed subretinal deposits (last images)25 Octobre 2021
|
|

Ocular Lymphoma - Initially presented like auto-immune retinopathyvu 308 fois43 year old man: initial presentation - The vision in the left eye is blurry and opaque for about 2 weeks. In the central of the vision, when he covers the right eye, in the center of the left eye there is a film with a light in the middle. This has never happened before. He has not been sick for the last few months. A few weeks ago he saw waves on the floor when looking down but that has gone away. Since the vision loss started the vision has not changed much. The central vision is not getting better. Â
PMHx – Borderline HTN
VA OD: Dcc20/20
VA OS: Dcc20/40-1 IOP: TP: OD:15 OS:19
1+ NS
No uveitis
Labs normal. One positive antiretinal antibody - Arrestin
VA improved over 2 months to normal. Then the patient had 2 more episodes of self-limited vision loss (no treatment). Then 2 years later he presented with a diagnosis of CNS lymphoma and later developed subretinal deposits (last images)25 Octobre 2021
|
|

Ocular Lymphoma - Initially presented like auto-immune retinopathyvu 291 fois43 year old man: initial presentation - The vision in the left eye is blurry and opaque for about 2 weeks. In the central of the vision, when he covers the right eye, in the center of the left eye there is a film with a light in the middle. This has never happened before. He has not been sick for the last few months. A few weeks ago he saw waves on the floor when looking down but that has gone away. Since the vision loss started the vision has not changed much. The central vision is not getting better. Â
PMHx – Borderline HTN
VA OD: Dcc20/20
VA OS: Dcc20/40-1 IOP: TP: OD:15 OS:19
1+ NS
No uveitis
Labs normal. One positive antiretinal antibody - Arrestin
VA improved over 2 months to normal. Then the patient had 2 more episodes of self-limited vision loss (no treatment). Then 2 years later he presented with a diagnosis of CNS lymphoma and later developed subretinal deposits (last images)25 Octobre 2021
|
|

Ocular Lymphoma - Initially presented like auto-immune retinopathyvu 282 fois43 year old man: initial presentation - The vision in the left eye is blurry and opaque for about 2 weeks. In the central of the vision, when he covers the right eye, in the center of the left eye there is a film with a light in the middle. This has never happened before. He has not been sick for the last few months. A few weeks ago he saw waves on the floor when looking down but that has gone away. Since the vision loss started the vision has not changed much. The central vision is not getting better. Â
PMHx – Borderline HTN
VA OD: Dcc20/20
VA OS: Dcc20/40-1 IOP: TP: OD:15 OS:19
1+ NS
No uveitis
Labs normal. One positive antiretinal antibody - Arrestin
VA improved over 2 months to normal. Then the patient had 2 more episodes of self-limited vision loss (no treatment). Then 2 years later he presented with a diagnosis of CNS lymphoma and later developed subretinal deposits (last images)25 Octobre 2021
|
|

Ocular Lymphoma - Initially presented like auto-immune retinopathyvu 272 fois43 year old man: initial presentation - The vision in the left eye is blurry and opaque for about 2 weeks. In the central of the vision, when he covers the right eye, in the center of the left eye there is a film with a light in the middle. This has never happened before. He has not been sick for the last few months. A few weeks ago he saw waves on the floor when looking down but that has gone away. Since the vision loss started the vision has not changed much. The central vision is not getting better. Â
PMHx – Borderline HTN
VA OD: Dcc20/20
VA OS: Dcc20/40-1 IOP: TP: OD:15 OS:19
1+ NS
No uveitis
Labs normal. One positive antiretinal antibody - Arrestin
VA improved over 2 months to normal. Then the patient had 2 more episodes of self-limited vision loss (no treatment). Then 2 years later he presented with a diagnosis of CNS lymphoma and later developed subretinal deposits (last images)25 Octobre 2021
|
|

Ocular Lymphoma - Initially presented like auto-immune retinopathyvu 277 fois43 year old man: initial presentation - The vision in the left eye is blurry and opaque for about 2 weeks. In the central of the vision, when he covers the right eye, in the center of the left eye there is a film with a light in the middle. This has never happened before. He has not been sick for the last few months. A few weeks ago he saw waves on the floor when looking down but that has gone away. Since the vision loss started the vision has not changed much. The central vision is not getting better. Â
PMHx – Borderline HTN
VA OD: Dcc20/20
VA OS: Dcc20/40-1 IOP: TP: OD:15 OS:19
1+ NS
No uveitis
Labs normal. One positive antiretinal antibody - Arrestin
VA improved over 2 months to normal. Then the patient had 2 more episodes of self-limited vision loss (no treatment). Then 2 years later he presented with a diagnosis of CNS lymphoma and later developed subretinal deposits (last images)25 Octobre 2021
|
|

Ocular Lymphoma - Initially presented like auto-immune retinopathyvu 273 fois43 year old man: initial presentation - The vision in the left eye is blurry and opaque for about 2 weeks. In the central of the vision, when he covers the right eye, in the center of the left eye there is a film with a light in the middle. This has never happened before. He has not been sick for the last few months. A few weeks ago he saw waves on the floor when looking down but that has gone away. Since the vision loss started the vision has not changed much. The central vision is not getting better. Â
PMHx – Borderline HTN
VA OD: Dcc20/20
VA OS: Dcc20/40-1 IOP: TP: OD:15 OS:19
1+ NS
No uveitis
Labs normal. One positive antiretinal antibody - Arrestin
VA improved over 2 months to normal. Then the patient had 2 more episodes of self-limited vision loss (no treatment). Then 2 years later he presented with a diagnosis of CNS lymphoma and later developed subretinal deposits (last images)25 Octobre 2021
|
|

Ocular Lymphoma - Initially presented like auto-immune retinopathyvu 268 fois43 year old man: initial presentation - The vision in the left eye is blurry and opaque for about 2 weeks. In the central of the vision, when he covers the right eye, in the center of the left eye there is a film with a light in the middle. This has never happened before. He has not been sick for the last few months. A few weeks ago he saw waves on the floor when looking down but that has gone away. Since the vision loss started the vision has not changed much. The central vision is not getting better. Â
PMHx – Borderline HTN
VA OD: Dcc20/20
VA OS: Dcc20/40-1 IOP: TP: OD:15 OS:19
1+ NS
No uveitis
Labs normal. One positive antiretinal antibody - Arrestin
VA improved over 2 months to normal. Then the patient had 2 more episodes of self-limited vision loss (no treatment). Then 2 years later he presented with a diagnosis of CNS lymphoma and later developed subretinal deposits (last images)25 Octobre 2021
|
|

Ocular Lymphoma - Initially presented like auto-immune retinopathyvu 306 fois43 year old man: initial presentation - The vision in the left eye is blurry and opaque for about 2 weeks. In the central of the vision, when he covers the right eye, in the center of the left eye there is a film with a light in the middle. This has never happened before. He has not been sick for the last few months. A few weeks ago he saw waves on the floor when looking down but that has gone away. Since the vision loss started the vision has not changed much. The central vision is not getting better. Â
PMHx – Borderline HTN
VA OD: Dcc20/20
VA OS: Dcc20/40-1 IOP: TP: OD:15 OS:19
1+ NS
No uveitis
Labs normal. One positive antiretinal antibody - Arrestin
VA improved over 2 months to normal. Then the patient had 2 more episodes of self-limited vision loss (no treatment). Then 2 years later he presented with a diagnosis of CNS lymphoma and later developed subretinal deposits (last images)25 Octobre 2021
|
|

Ocular Lymphoma - Initially presented like auto-immune retinopathyvu 293 fois43 year old man: initial presentation - The vision in the left eye is blurry and opaque for about 2 weeks. In the central of the vision, when he covers the right eye, in the center of the left eye there is a film with a light in the middle. This has never happened before. He has not been sick for the last few months. A few weeks ago he saw waves on the floor when looking down but that has gone away. Since the vision loss started the vision has not changed much. The central vision is not getting better. Â
PMHx – Borderline HTN
VA OD: Dcc20/20
VA OS: Dcc20/40-1 IOP: TP: OD:15 OS:19
1+ NS
No uveitis
Labs normal. One positive antiretinal antibody - Arrestin
VA improved over 2 months to normal. Then the patient had 2 more episodes of self-limited vision loss (no treatment). Then 2 years later he presented with a diagnosis of CNS lymphoma and later developed subretinal deposits (last images)25 Octobre 2021
|
|

Ocular Lymphoma - Initially presented like auto-immune retinopathyvu 298 fois43 year old man: initial presentation - The vision in the left eye is blurry and opaque for about 2 weeks. In the central of the vision, when he covers the right eye, in the center of the left eye there is a film with a light in the middle. This has never happened before. He has not been sick for the last few months. A few weeks ago he saw waves on the floor when looking down but that has gone away. Since the vision loss started the vision has not changed much. The central vision is not getting better. Â
PMHx – Borderline HTN
VA OD: Dcc20/20
VA OS: Dcc20/40-1 IOP: TP: OD:15 OS:19
1+ NS
No uveitis
Labs normal. One positive antiretinal antibody - Arrestin
VA improved over 2 months to normal. Then the patient had 2 more episodes of self-limited vision loss (no treatment). Then 2 years later he presented with a diagnosis of CNS lymphoma and later developed subretinal deposits (last images)25 Octobre 2021
|
|

Ocular Lymphoma - Initially presented like auto-immune retinopathyvu 273 fois43 year old man: initial presentation - The vision in the left eye is blurry and opaque for about 2 weeks. In the central of the vision, when he covers the right eye, in the center of the left eye there is a film with a light in the middle. This has never happened before. He has not been sick for the last few months. A few weeks ago he saw waves on the floor when looking down but that has gone away. Since the vision loss started the vision has not changed much. The central vision is not getting better. Â
PMHx – Borderline HTN
VA OD: Dcc20/20
VA OS: Dcc20/40-1 IOP: TP: OD:15 OS:19
1+ NS
No uveitis
Labs normal. One positive antiretinal antibody - Arrestin
VA improved over 2 months to normal. Then the patient had 2 more episodes of self-limited vision loss (no treatment). Then 2 years later he presented with a diagnosis of CNS lymphoma and later developed subretinal deposits (last images)25 Octobre 2021
|
|

Ocular Lymphoma - Initially presented like auto-immune retinopathyvu 283 fois43 year old man: initial presentation - The vision in the left eye is blurry and opaque for about 2 weeks. In the central of the vision, when he covers the right eye, in the center of the left eye there is a film with a light in the middle. This has never happened before. He has not been sick for the last few months. A few weeks ago he saw waves on the floor when looking down but that has gone away. Since the vision loss started the vision has not changed much. The central vision is not getting better. Â
PMHx – Borderline HTN
VA OD: Dcc20/20
VA OS: Dcc20/40-1 IOP: TP: OD:15 OS:19
1+ NS
No uveitis
Labs normal. One positive antiretinal antibody - Arrestin
VA improved over 2 months to normal. Then the patient had 2 more episodes of self-limited vision loss (no treatment). Then 2 years later he presented with a diagnosis of CNS lymphoma and later developed subretinal deposits (last images)25 Octobre 2021
|
|

Ocular Lymphoma - Initially presented like auto-immune retinopathyvu 290 fois43 year old man: initial presentation - The vision in the left eye is blurry and opaque for about 2 weeks. In the central of the vision, when he covers the right eye, in the center of the left eye there is a film with a light in the middle. This has never happened before. He has not been sick for the last few months. A few weeks ago he saw waves on the floor when looking down but that has gone away. Since the vision loss started the vision has not changed much. The central vision is not getting better. Â
PMHx – Borderline HTN
VA OD: Dcc20/20
VA OS: Dcc20/40-1 IOP: TP: OD:15 OS:19
1+ NS
No uveitis
Labs normal. One positive antiretinal antibody - Arrestin
VA improved over 2 months to normal. Then the patient had 2 more episodes of self-limited vision loss (no treatment). Then 2 years later he presented with a diagnosis of CNS lymphoma and later developed subretinal deposits (last images)25 Octobre 2021
|
|

Ocular Lymphoma - Initially presented like auto-immune retinopathyvu 280 fois43 year old man: initial presentation - The vision in the left eye is blurry and opaque for about 2 weeks. In the central of the vision, when he covers the right eye, in the center of the left eye there is a film with a light in the middle. This has never happened before. He has not been sick for the last few months. A few weeks ago he saw waves on the floor when looking down but that has gone away. Since the vision loss started the vision has not changed much. The central vision is not getting better. Â
PMHx – Borderline HTN
VA OD: Dcc20/20
VA OS: Dcc20/40-1 IOP: TP: OD:15 OS:19
1+ NS
No uveitis
Labs normal. One positive antiretinal antibody - Arrestin
VA improved over 2 months to normal. Then the patient had 2 more episodes of self-limited vision loss (no treatment). Then 2 years later he presented with a diagnosis of CNS lymphoma and later developed subretinal deposits (last images)25 Octobre 2021
|
|

Ocular Lymphoma - Initially presented like auto-immune retinopathyvu 276 fois43 year old man: initial presentation - The vision in the left eye is blurry and opaque for about 2 weeks. In the central of the vision, when he covers the right eye, in the center of the left eye there is a film with a light in the middle. This has never happened before. He has not been sick for the last few months. A few weeks ago he saw waves on the floor when looking down but that has gone away. Since the vision loss started the vision has not changed much. The central vision is not getting better. Â
PMHx – Borderline HTN
VA OD: Dcc20/20
VA OS: Dcc20/40-1 IOP: TP: OD:15 OS:19
1+ NS
No uveitis
Labs normal. One positive antiretinal antibody - Arrestin
VA improved over 2 months to normal. Then the patient had 2 more episodes of self-limited vision loss (no treatment). Then 2 years later he presented with a diagnosis of CNS lymphoma and later developed subretinal deposits (last images)25 Octobre 2021
|
|

Ocular Lymphoma - Initially presented like auto-immune retinopathyvu 280 fois43 year old man: initial presentation - The vision in the left eye is blurry and opaque for about 2 weeks. In the central of the vision, when he covers the right eye, in the center of the left eye there is a film with a light in the middle. This has never happened before. He has not been sick for the last few months. A few weeks ago he saw waves on the floor when looking down but that has gone away. Since the vision loss started the vision has not changed much. The central vision is not getting better. Â
PMHx – Borderline HTN
VA OD: Dcc20/20
VA OS: Dcc20/40-1 IOP: TP: OD:15 OS:19
1+ NS
No uveitis
Labs normal. One positive antiretinal antibody - Arrestin
VA improved over 2 months to normal. Then the patient had 2 more episodes of self-limited vision loss (no treatment). Then 2 years later he presented with a diagnosis of CNS lymphoma and later developed subretinal deposits (last images)25 Octobre 2021
|
|

Ocular Lymphoma - Initially presented like auto-immune retinopathyvu 257 fois43 year old man: initial presentation - The vision in the left eye is blurry and opaque for about 2 weeks. In the central of the vision, when he covers the right eye, in the center of the left eye there is a film with a light in the middle. This has never happened before. He has not been sick for the last few months. A few weeks ago he saw waves on the floor when looking down but that has gone away. Since the vision loss started the vision has not changed much. The central vision is not getting better. Â
PMHx – Borderline HTN
VA OD: Dcc20/20
VA OS: Dcc20/40-1 IOP: TP: OD:15 OS:19
1+ NS
No uveitis
Labs normal. One positive antiretinal antibody - Arrestin
VA improved over 2 months to normal. Then the patient had 2 more episodes of self-limited vision loss (no treatment). Then 2 years later he presented with a diagnosis of CNS lymphoma and later developed subretinal deposits (last images)25 Octobre 2021
|
|

Ocular Lymphoma - Initially presented like auto-immune retinopathyvu 296 fois43 year old man: initial presentation - The vision in the left eye is blurry and opaque for about 2 weeks. In the central of the vision, when he covers the right eye, in the center of the left eye there is a film with a light in the middle. This has never happened before. He has not been sick for the last few months. A few weeks ago he saw waves on the floor when looking down but that has gone away. Since the vision loss started the vision has not changed much. The central vision is not getting better. Â
PMHx – Borderline HTN
VA OD: Dcc20/20
VA OS: Dcc20/40-1 IOP: TP: OD:15 OS:19
1+ NS
No uveitis
Labs normal. One positive antiretinal antibody - Arrestin
VA improved over 2 months to normal. Then the patient had 2 more episodes of self-limited vision loss (no treatment). Then 2 years later he presented with a diagnosis of CNS lymphoma and later developed subretinal deposits (last images)25 Octobre 2021
|
|

Ocular Lymphoma - Initially presented like auto-immune retinopathyvu 284 fois43 year old man: initial presentation - The vision in the left eye is blurry and opaque for about 2 weeks. In the central of the vision, when he covers the right eye, in the center of the left eye there is a film with a light in the middle. This has never happened before. He has not been sick for the last few months. A few weeks ago he saw waves on the floor when looking down but that has gone away. Since the vision loss started the vision has not changed much. The central vision is not getting better. Â
PMHx – Borderline HTN
VA OD: Dcc20/20
VA OS: Dcc20/40-1 IOP: TP: OD:15 OS:19
1+ NS
No uveitis
Labs normal. One positive antiretinal antibody - Arrestin
VA improved over 2 months to normal. Then the patient had 2 more episodes of self-limited vision loss (no treatment). Then 2 years later he presented with a diagnosis of CNS lymphoma and later developed subretinal deposits (last images)25 Octobre 2021
|
|

Ocular Lymphoma - Initially presented like auto-immune retinopathyvu 288 fois43 year old man: initial presentation - The vision in the left eye is blurry and opaque for about 2 weeks. In the central of the vision, when he covers the right eye, in the center of the left eye there is a film with a light in the middle. This has never happened before. He has not been sick for the last few months. A few weeks ago he saw waves on the floor when looking down but that has gone away. Since the vision loss started the vision has not changed much. The central vision is not getting better. Â
PMHx – Borderline HTN
VA OD: Dcc20/20
VA OS: Dcc20/40-1 IOP: TP: OD:15 OS:19
1+ NS
No uveitis
Labs normal. One positive antiretinal antibody - Arrestin
VA improved over 2 months to normal. Then the patient had 2 more episodes of self-limited vision loss (no treatment). Then 2 years later he presented with a diagnosis of CNS lymphoma and later developed subretinal deposits (last images)25 Octobre 2021
|
|

Ocular Lymphoma - Initially presented like auto-immune retinopathyvu 284 fois43 year old man: initial presentation - The vision in the left eye is blurry and opaque for about 2 weeks. In the central of the vision, when he covers the right eye, in the center of the left eye there is a film with a light in the middle. This has never happened before. He has not been sick for the last few months. A few weeks ago he saw waves on the floor when looking down but that has gone away. Since the vision loss started the vision has not changed much. The central vision is not getting better. Â
PMHx – Borderline HTN
VA OD: Dcc20/20
VA OS: Dcc20/40-1 IOP: TP: OD:15 OS:19
1+ NS
No uveitis
Labs normal. One positive antiretinal antibody - Arrestin
VA improved over 2 months to normal. Then the patient had 2 more episodes of self-limited vision loss (no treatment). Then 2 years later he presented with a diagnosis of CNS lymphoma and later developed subretinal deposits (last images)25 Octobre 2021
|
|

Ocular Lymphoma - Initially presented like auto-immune retinopathyvu 274 fois43 year old man: initial presentation - The vision in the left eye is blurry and opaque for about 2 weeks. In the central of the vision, when he covers the right eye, in the center of the left eye there is a film with a light in the middle. This has never happened before. He has not been sick for the last few months. A few weeks ago he saw waves on the floor when looking down but that has gone away. Since the vision loss started the vision has not changed much. The central vision is not getting better. Â
PMHx – Borderline HTN
VA OD: Dcc20/20
VA OS: Dcc20/40-1 IOP: TP: OD:15 OS:19
1+ NS
No uveitis
Labs normal. One positive antiretinal antibody - Arrestin
VA improved over 2 months to normal. Then the patient had 2 more episodes of self-limited vision loss (no treatment). Then 2 years later he presented with a diagnosis of CNS lymphoma and later developed subretinal deposits (last images)25 Octobre 2021
|
|

Ocular Lymphoma - Initially presented like auto-immune retinopathyvu 293 fois43 year old man: initial presentation - The vision in the left eye is blurry and opaque for about 2 weeks. In the central of the vision, when he covers the right eye, in the center of the left eye there is a film with a light in the middle. This has never happened before. He has not been sick for the last few months. A few weeks ago he saw waves on the floor when looking down but that has gone away. Since the vision loss started the vision has not changed much. The central vision is not getting better. Â
PMHx – Borderline HTN
VA OD: Dcc20/20
VA OS: Dcc20/40-1 IOP: TP: OD:15 OS:19
1+ NS
No uveitis
Labs normal. One positive antiretinal antibody - Arrestin
VA improved over 2 months to normal. Then the patient had 2 more episodes of self-limited vision loss (no treatment). Then 2 years later he presented with a diagnosis of CNS lymphoma and later developed subretinal deposits (last images)25 Octobre 2021
|
|

Ocular Lymphoma - Initially presented like auto-immune retinopathyvu 294 fois43 year old man: initial presentation - The vision in the left eye is blurry and opaque for about 2 weeks. In the central of the vision, when he covers the right eye, in the center of the left eye there is a film with a light in the middle. This has never happened before. He has not been sick for the last few months. A few weeks ago he saw waves on the floor when looking down but that has gone away. Since the vision loss started the vision has not changed much. The central vision is not getting better. Â
PMHx – Borderline HTN
VA OD: Dcc20/20
VA OS: Dcc20/40-1 IOP: TP: OD:15 OS:19
1+ NS
No uveitis
Labs normal. One positive antiretinal antibody - Arrestin
VA improved over 2 months to normal. Then the patient had 2 more episodes of self-limited vision loss (no treatment). Then 2 years later he presented with a diagnosis of CNS lymphoma and later developed subretinal deposits (last images)25 Octobre 2021
|
|

Ocular Lymphoma - Initially presented like auto-immune retinopathyvu 295 fois43 year old man: initial presentation - The vision in the left eye is blurry and opaque for about 2 weeks. In the central of the vision, when he covers the right eye, in the center of the left eye there is a film with a light in the middle. This has never happened before. He has not been sick for the last few months. A few weeks ago he saw waves on the floor when looking down but that has gone away. Since the vision loss started the vision has not changed much. The central vision is not getting better. Â
PMHx – Borderline HTN
VA OD: Dcc20/20
VA OS: Dcc20/40-1 IOP: TP: OD:15 OS:19
1+ NS
No uveitis
Labs normal. One positive antiretinal antibody - Arrestin
VA improved over 2 months to normal. Then the patient had 2 more episodes of self-limited vision loss (no treatment). Then 2 years later he presented with a diagnosis of CNS lymphoma and later developed subretinal deposits (last images)25 Octobre 2021
|
|

Ocular Lymphoma - Initially presented like auto-immune retinopathyvu 273 fois43 year old man: initial presentation - The vision in the left eye is blurry and opaque for about 2 weeks. In the central of the vision, when he covers the right eye, in the center of the left eye there is a film with a light in the middle. This has never happened before. He has not been sick for the last few months. A few weeks ago he saw waves on the floor when looking down but that has gone away. Since the vision loss started the vision has not changed much. The central vision is not getting better. Â
PMHx – Borderline HTN
VA OD: Dcc20/20
VA OS: Dcc20/40-1 IOP: TP: OD:15 OS:19
1+ NS
No uveitis
Labs normal. One positive antiretinal antibody - Arrestin
VA improved over 2 months to normal. Then the patient had 2 more episodes of self-limited vision loss (no treatment). Then 2 years later he presented with a diagnosis of CNS lymphoma and later developed subretinal deposits (last images)25 Octobre 2021
|
|

Ocular Lymphoma - Initially presented like auto-immune retinopathyvu 262 fois43 year old man: initial presentation - The vision in the left eye is blurry and opaque for about 2 weeks. In the central of the vision, when he covers the right eye, in the center of the left eye there is a film with a light in the middle. This has never happened before. He has not been sick for the last few months. A few weeks ago he saw waves on the floor when looking down but that has gone away. Since the vision loss started the vision has not changed much. The central vision is not getting better. Â
PMHx – Borderline HTN
VA OD: Dcc20/20
VA OS: Dcc20/40-1 IOP: TP: OD:15 OS:19
1+ NS
No uveitis
Labs normal. One positive antiretinal antibody - Arrestin
VA improved over 2 months to normal. Then the patient had 2 more episodes of self-limited vision loss (no treatment). Then 2 years later he presented with a diagnosis of CNS lymphoma and later developed subretinal deposits (last images)25 Octobre 2021
|
|

Ocular Lymphoma - Initially presented like auto-immune retinopathyvu 284 fois43 year old man: initial presentation - The vision in the left eye is blurry and opaque for about 2 weeks. In the central of the vision, when he covers the right eye, in the center of the left eye there is a film with a light in the middle. This has never happened before. He has not been sick for the last few months. A few weeks ago he saw waves on the floor when looking down but that has gone away. Since the vision loss started the vision has not changed much. The central vision is not getting better. Â
PMHx – Borderline HTN
VA OD: Dcc20/20
VA OS: Dcc20/40-1 IOP: TP: OD:15 OS:19
1+ NS
No uveitis
Labs normal. One positive antiretinal antibody - Arrestin
VA improved over 2 months to normal. Then the patient had 2 more episodes of self-limited vision loss (no treatment). Then 2 years later he presented with a diagnosis of CNS lymphoma and later developed subretinal deposits (last images)25 Octobre 2021
|
|

Ocular Lymphoma - Initially presented like auto-immune retinopathyvu 297 fois43 year old man: initial presentation - The vision in the left eye is blurry and opaque for about 2 weeks. In the central of the vision, when he covers the right eye, in the center of the left eye there is a film with a light in the middle. This has never happened before. He has not been sick for the last few months. A few weeks ago he saw waves on the floor when looking down but that has gone away. Since the vision loss started the vision has not changed much. The central vision is not getting better. Â
PMHx – Borderline HTN
VA OD: Dcc20/20
VA OS: Dcc20/40-1 IOP: TP: OD:15 OS:19
1+ NS
No uveitis
Labs normal. One positive antiretinal antibody - Arrestin
VA improved over 2 months to normal. Then the patient had 2 more episodes of self-limited vision loss (no treatment). Then 2 years later he presented with a diagnosis of CNS lymphoma and later developed subretinal deposits (last images)25 Octobre 2021
|
|

Ocular Lymphoma - Initially presented like auto-immune retinopathyvu 329 fois43 year old man: initial presentation - The vision in the left eye is blurry and opaque for about 2 weeks. In the central of the vision, when he covers the right eye, in the center of the left eye there is a film with a light in the middle. This has never happened before. He has not been sick for the last few months. A few weeks ago he saw waves on the floor when looking down but that has gone away. Since the vision loss started the vision has not changed much. The central vision is not getting better. Â
PMHx – Borderline HTN
VA OD: Dcc20/20
VA OS: Dcc20/40-1 IOP: TP: OD:15 OS:19
1+ NS
No uveitis
Labs normal. One positive antiretinal antibody - Arrestin
VA improved over 2 months to normal. Then the patient had 2 more episodes of self-limited vision loss (no treatment). Then 2 years later he presented with a diagnosis of CNS lymphoma and later developed subretinal deposits (last images)25 Octobre 2021
|
|

Ocular Lymphoma - Initially presented like auto-immune retinopathyvu 286 fois43 year old man: initial presentation - The vision in the left eye is blurry and opaque for about 2 weeks. In the central of the vision, when he covers the right eye, in the center of the left eye there is a film with a light in the middle. This has never happened before. He has not been sick for the last few months. A few weeks ago he saw waves on the floor when looking down but that has gone away. Since the vision loss started the vision has not changed much. The central vision is not getting better. Â
PMHx – Borderline HTN
VA OD: Dcc20/20
VA OS: Dcc20/40-1 IOP: TP: OD:15 OS:19
1+ NS
No uveitis
Labs normal. One positive antiretinal antibody - Arrestin
VA improved over 2 months to normal. Then the patient had 2 more episodes of self-limited vision loss (no treatment). Then 2 years later he presented with a diagnosis of CNS lymphoma and later developed subretinal deposits (last images)25 Octobre 2021
|
|

Ocular Lymphoma - Initially presented like auto-immune retinopathyvu 317 fois43 year old man: initial presentation - The vision in the left eye is blurry and opaque for about 2 weeks. In the central of the vision, when he covers the right eye, in the center of the left eye there is a film with a light in the middle. This has never happened before. He has not been sick for the last few months. A few weeks ago he saw waves on the floor when looking down but that has gone away. Since the vision loss started the vision has not changed much. The central vision is not getting better. Â
PMHx – Borderline HTN
VA OD: Dcc20/20
VA OS: Dcc20/40-1 IOP: TP: OD:15 OS:19
1+ NS
No uveitis
Labs normal. One positive antiretinal antibody - Arrestin
VA improved over 2 months to normal. Then the patient had 2 more episodes of self-limited vision loss (no treatment). Then 2 years later he presented with a diagnosis of CNS lymphoma and later developed subretinal deposits (last images)25 Octobre 2021
|
|

Ocular Lymphoma - Initially presented like auto-immune retinopathyvu 277 fois43 year old man: initial presentation - The vision in the left eye is blurry and opaque for about 2 weeks. In the central of the vision, when he covers the right eye, in the center of the left eye there is a film with a light in the middle. This has never happened before. He has not been sick for the last few months. A few weeks ago he saw waves on the floor when looking down but that has gone away. Since the vision loss started the vision has not changed much. The central vision is not getting better. Â
PMHx – Borderline HTN
VA OD: Dcc20/20
VA OS: Dcc20/40-1 IOP: TP: OD:15 OS:19
1+ NS
No uveitis
Labs normal. One positive antiretinal antibody - Arrestin
VA improved over 2 months to normal. Then the patient had 2 more episodes of self-limited vision loss (no treatment). Then 2 years later he presented with a diagnosis of CNS lymphoma and later developed subretinal deposits (last images)25 Octobre 2021
|
|

Ocular Lymphoma - Initially presented like auto-immune retinopathyvu 291 fois43 year old man: initial presentation - The vision in the left eye is blurry and opaque for about 2 weeks. In the central of the vision, when he covers the right eye, in the center of the left eye there is a film with a light in the middle. This has never happened before. He has not been sick for the last few months. A few weeks ago he saw waves on the floor when looking down but that has gone away. Since the vision loss started the vision has not changed much. The central vision is not getting better. Â
PMHx – Borderline HTN
VA OD: Dcc20/20
VA OS: Dcc20/40-1 IOP: TP: OD:15 OS:19
1+ NS
No uveitis
Labs normal. One positive antiretinal antibody - Arrestin
VA improved over 2 months to normal. Then the patient had 2 more episodes of self-limited vision loss (no treatment). Then 2 years later he presented with a diagnosis of CNS lymphoma and later developed subretinal deposits (last images)25 Octobre 2021
|
|

Ocular Lymphoma - Initially presented like auto-immune retinopathyvu 315 fois43 year old man: initial presentation - The vision in the left eye is blurry and opaque for about 2 weeks. In the central of the vision, when he covers the right eye, in the center of the left eye there is a film with a light in the middle. This has never happened before. He has not been sick for the last few months. A few weeks ago he saw waves on the floor when looking down but that has gone away. Since the vision loss started the vision has not changed much. The central vision is not getting better. Â
PMHx – Borderline HTN
VA OD: Dcc20/20
VA OS: Dcc20/40-1 IOP: TP: OD:15 OS:19
1+ NS
No uveitis
Labs normal. One positive antiretinal antibody - Arrestin
VA improved over 2 months to normal. Then the patient had 2 more episodes of self-limited vision loss (no treatment). Then 2 years later he presented with a diagnosis of CNS lymphoma and later developed subretinal deposits (last images)25 Octobre 2021
|
|

Ocular Lymphoma - Initially presented like auto-immune retinopathyvu 307 fois43 year old man: initial presentation - The vision in the left eye is blurry and opaque for about 2 weeks. In the central of the vision, when he covers the right eye, in the center of the left eye there is a film with a light in the middle. This has never happened before. He has not been sick for the last few months. A few weeks ago he saw waves on the floor when looking down but that has gone away. Since the vision loss started the vision has not changed much. The central vision is not getting better. Â
PMHx – Borderline HTN
VA OD: Dcc20/20
VA OS: Dcc20/40-1 IOP: TP: OD:15 OS:19
1+ NS
No uveitis
Labs normal. One positive antiretinal antibody - Arrestin
VA improved over 2 months to normal. Then the patient had 2 more episodes of self-limited vision loss (no treatment). Then 2 years later he presented with a diagnosis of CNS lymphoma and later developed subretinal deposits (last images)25 Octobre 2021
|
|

Ocular Lymphoma - Initially presented like auto-immune retinopathyvu 288 fois43 year old man: initial presentation - The vision in the left eye is blurry and opaque for about 2 weeks. In the central of the vision, when he covers the right eye, in the center of the left eye there is a film with a light in the middle. This has never happened before. He has not been sick for the last few months. A few weeks ago he saw waves on the floor when looking down but that has gone away. Since the vision loss started the vision has not changed much. The central vision is not getting better. Â
PMHx – Borderline HTN
VA OD: Dcc20/20
VA OS: Dcc20/40-1 IOP: TP: OD:15 OS:19
1+ NS
No uveitis
Labs normal. One positive antiretinal antibody - Arrestin
VA improved over 2 months to normal. Then the patient had 2 more episodes of self-limited vision loss (no treatment). Then 2 years later he presented with a diagnosis of CNS lymphoma and later developed subretinal deposits (last images)25 Octobre 2021
|
|

Ocular Lymphoma - Initially presented like auto-immune retinopathyvu 270 fois43 year old man: initial presentation - The vision in the left eye is blurry and opaque for about 2 weeks. In the central of the vision, when he covers the right eye, in the center of the left eye there is a film with a light in the middle. This has never happened before. He has not been sick for the last few months. A few weeks ago he saw waves on the floor when looking down but that has gone away. Since the vision loss started the vision has not changed much. The central vision is not getting better. Â
PMHx – Borderline HTN
VA OD: Dcc20/20
VA OS: Dcc20/40-1 IOP: TP: OD:15 OS:19
1+ NS
No uveitis
Labs normal. One positive antiretinal antibody - Arrestin
VA improved over 2 months to normal. Then the patient had 2 more episodes of self-limited vision loss (no treatment). Then 2 years later he presented with a diagnosis of CNS lymphoma and later developed subretinal deposits (last images)25 Octobre 2021
|
|

Ocular Lymphoma - Initially presented like auto-immune retinopathyvu 308 fois43 year old man: initial presentation - The vision in the left eye is blurry and opaque for about 2 weeks. In the central of the vision, when he covers the right eye, in the center of the left eye there is a film with a light in the middle. This has never happened before. He has not been sick for the last few months. A few weeks ago he saw waves on the floor when looking down but that has gone away. Since the vision loss started the vision has not changed much. The central vision is not getting better. Â
PMHx – Borderline HTN
VA OD: Dcc20/20
VA OS: Dcc20/40-1 IOP: TP: OD:15 OS:19
1+ NS
No uveitis
Labs normal. One positive antiretinal antibody - Arrestin
VA improved over 2 months to normal. Then the patient had 2 more episodes of self-limited vision loss (no treatment). Then 2 years later he presented with a diagnosis of CNS lymphoma and later developed subretinal deposits (last images)25 Octobre 2021
|
|
| 293 photos sur 3 page(s) |
1 |
|