Last additions - Congenital Anomalies
|

Congenital Hypetrophy of the Retinal Pigment Epithelium (CHRPE)621 views63 year old female with normal vision and CHRPE lesion in the right eye.Apr 27, 2020
|
|

Congenital Hypetrophy of the Retinal Pigment Epithelium (CHRPE)381 views63 year old female with normal vision and CHRPE lesion in the right eye.Apr 27, 2020
|
|

Congenital Hypetrophy of the Retinal Pigment Epithelium (CHRPE)365 views63 year old female with normal vision and CHRPE lesion in the right eye.Apr 27, 2020
|
|

Congenital Hypetrophy of the Retinal Pigment Epithelium (CHRPE)375 views63 year old female with normal vision and CHRPE lesion in the right eye.Apr 27, 2020
|
|

Congenital Hypetrophy of the Retinal Pigment Epithelium (CHRPE)376 views63 year old female with normal vision and CHRPE lesion in the right eye.Apr 27, 2020
|
|

Congenital Hypetrophy of the Retinal Pigment Epithelium (CHRPE)432 views63 year old female with normal vision and CHRPE lesion in the right eye.Apr 27, 2020
|
|

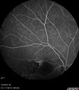
Coats Disease - Parafoveal Telangiectasis Type I - Right Eye402 views67 year old man with long history of vision loss in the right eye. Previously treated with laser, avastin. VA 20/200.Feb 11, 2020
|
|

Coats Disease - Parafoveal Telangiectasis Type I - Right Eye393 views67 year old man with long history of vision loss in the right eye. Previously treated with laser, avastin. VA 20/200.Feb 11, 2020
|
|

Coats Disease - Parafoveal Telangiectasis Type I - Right Eye370 views67 year old man with long history of vision loss in the right eye. Previously treated with laser, avastin. VA 20/200.Feb 11, 2020
|
|

Coats Disease - Parafoveal Telangiectasis Type I - Right Eye394 views67 year old man with long history of vision loss in the right eye. Previously treated with laser, avastin. VA 20/200.Feb 11, 2020
|
|

Coats Disease - Parafoveal Telangiectasis Type I - Right Eye363 views67 year old man with long history of vision loss in the right eye. Previously treated with laser, avastin. VA 20/200.Feb 11, 2020
|
|

Coats Disease - Parafoveal Telangiectasis Type I - Right Eye373 views67 year old man with long history of vision loss in the right eye. Previously treated with laser, avastin. VA 20/200.Feb 11, 2020
|
|

Coats Disease - Parafoveal Telangiectasis Type I - Right Eye390 views67 year old man with long history of vision loss in the right eye. Previously treated with laser, avastin. VA 20/200.Feb 11, 2020
|
|

Coats Disease - Parafoveal Telangiectasis Type I - Right Eye376 views67 year old man with long history of vision loss in the right eye. Previously treated with laser, avastin. VA 20/200.Feb 11, 2020
|
|

Coats Disease - Parafoveal Telangiectasis Type I - Right Eye401 views67 year old man with long history of vision loss in the right eye. Previously treated with laser, avastin. VA 20/200.Feb 11, 2020
|
|

Coats Disease - Parafoveal Telangiectasis Type I - Right Eye360 views67 year old man with long history of vision loss in the right eye. Previously treated with laser, avastin. VA 20/200.Feb 11, 2020
|
|

Coats Disease - Parafoveal Telangiectasis Type I - Right Eye365 views67 year old man with long history of vision loss in the right eye. Previously treated with laser, avastin. VA 20/200.Feb 11, 2020
|
|

Coats Disease - Parafoveal Telangiectasis Type I - Right Eye365 views67 year old man with long history of vision loss in the right eye. Previously treated with laser, avastin. VA 20/200.Feb 11, 2020
|
|

Coats Disease - Parafoveal Telangiectasis Type I - Right Eye382 views67 year old man with long history of vision loss in the right eye. Previously treated with laser, avastin. VA 20/200.Feb 11, 2020
|
|

Coats Disease - Parafoveal Telangiectasis Type I - Right Eye418 views67 year old man with long history of vision loss in the right eye. Previously treated with laser, avastin. VA 20/200.Feb 11, 2020
|
|

Coats Disease - Parafoveal Telangiectasis Type I - Right Eye393 views67 year old man with long history of vision loss in the right eye. Previously treated with laser, avastin. VA 20/200.Feb 11, 2020
|
|

Coats Disease - Parafoveal Telangiectasis Type I - Right Eye358 views67 year old man with long history of vision loss in the right eye. Previously treated with laser, avastin. VA 20/200.Feb 11, 2020
|
|

Coats Disease - Parafoveal Telangiectasis Type I - Right Eye396 views67 year old man with long history of vision loss in the right eye. Previously treated with laser, avastin. VA 20/200.Feb 11, 2020
|
|

Torpedo Maculopathy - Left Eye470 views25 year old man with normal vision. Left macula has torpedo lesionNov 17, 2019
|
|

Torpedo Maculopathy - Left Eye401 views25 year old man with normal vision. Left macula has torpedo lesionNov 17, 2019
|
|

Torpedo Maculopathy - Left Eye407 views25 year old man with normal vision. Left macula has torpedo lesionNov 17, 2019
|
|

Torpedo Maculopathy - Left Eye521 views25 year old man with normal vision. Left macula has torpedo lesionNov 17, 2019
|
|

Torpedo Maculopathy - Left Eye419 views25 year old man with normal vision. Left macula has torpedo lesionNov 17, 2019
|
|

Torpedo Maculopathy - Left Eye358 views25 year old man with normal vision. Left macula has torpedo lesionNov 17, 2019
|
|

Torpedo Maculopathy - Left Eye427 views25 year old man with normal vision. Left macula has torpedo lesionNov 17, 2019
|
|

Torpedo Maculopathy - Left Eye358 views25 year old man with normal vision. Left macula has torpedo lesionNov 17, 2019
|
|

Torpedo Maculopathy - Left Eye438 views25 year old man with normal vision. Left macula has torpedo lesionNov 17, 2019
|
|

Torpedo Maculopathy - Left Eye440 views25 year old man with normal vision. Left macula has torpedo lesionNov 17, 2019
|
|

Torpedo Maculopathy - Left Eye424 views25 year old man with normal vision. Left macula has torpedo lesionNov 17, 2019
|
|

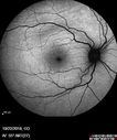
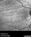
Congenital hypertrophy of the retinal pigment epithelium CHRPE703 viewsFAF, Optos Photo and FAJun 11, 2019
|
|

Congenital hypertrophy of the retinal pigment epithelium CHRPE443 viewsJun 11, 2019
|
|

Congenital hypertrophy of the retinal pigment epithelium CHRPE462 viewsFA was done for scleritis in the fellow eyeJun 11, 2019
|
|

Nanophthalmous with Choroidal Folds371 views71 year old female with 20/20 vision and worsening cataracts. There is also a CHRPE lesion in the peripheryApr 06, 2019
|
|

Nanophthalmous with Choroidal Folds345 views71 year old female with 20/20 vision and worsening cataracts. There is also a CHRPE lesion in the peripheryApr 06, 2019
|
|

Nanophthalmous with Choroidal Folds373 views71 year old female with 20/20 vision and worsening cataracts. There is also a CHRPE lesion in the peripheryApr 06, 2019
|
|

Nanophthalmous with Choroidal Folds375 views71 year old female with 20/20 vision and worsening cataracts. There is also a CHRPE lesion in the peripheryApr 06, 2019
|
|

Nanophthalmous with Choroidal Folds349 views71 year old female with 20/20 vision and worsening cataracts. There is also a CHRPE lesion in the peripheryApr 06, 2019
|
|

Nanophthalmous with Choroidal Folds351 views71 year old female with 20/20 vision and worsening cataracts. There is also a CHRPE lesion in the peripheryApr 06, 2019
|
|

Nanophthalmous with Choroidal Folds396 views71 year old female with 20/20 vision and worsening cataracts. There is also a CHRPE lesion in the peripheryApr 06, 2019
|
|

Nanophthalmous with Choroidal Folds363 views71 year old female with 20/20 vision and worsening cataracts. There is also a CHRPE lesion in the peripheryApr 06, 2019
|
|

Nanophthalmous with Choroidal Folds348 views71 year old female with 20/20 vision and worsening cataracts. There is also a CHRPE lesion in the peripheryApr 06, 2019
|
|

Nanophthalmous with Choroidal Folds376 views71 year old female with 20/20 vision and worsening cataracts. There is also a CHRPE lesion in the peripheryApr 06, 2019
|
|

Nanophthalmous with Choroidal Folds398 views71 year old female with 20/20 vision and worsening cataracts. There is also a CHRPE lesion in the peripheryApr 06, 2019
|
|

Nanophthalmous with Choroidal Folds398 views71 year old female with 20/20 vision and worsening cataracts. There is also a CHRPE lesion in the peripheryApr 06, 2019
|
|

Nanophthalmous with Choroidal Folds373 views71 year old female with 20/20 vision and worsening cataracts. There is also a CHRPE lesion in the peripheryApr 06, 2019
|
|

Nanophthalmous with Choroidal Folds361 views71 year old female with 20/20 vision and worsening cataracts. There is also a CHRPE lesion in the peripheryApr 06, 2019
|
|

Nanophthalmous with Choroidal Folds370 views71 year old female with 20/20 vision and worsening cataracts. There is also a CHRPE lesion in the peripheryApr 06, 2019
|
|

Nanophthalmous with Choroidal Folds439 views71 year old female with 20/20 vision and worsening cataracts. There is also a CHRPE lesion in the peripheryApr 06, 2019
|
|

Nanophthalmous with Choroidal Folds354 views71 year old female with 20/20 vision and worsening cataracts. There is also a CHRPE lesion in the peripheryApr 06, 2019
|
|

Macular Macroaneurysm with Coats Disease412 views61 year old man with increased leakage from macular macroaneurysm right eyeApr 06, 2019
|
|

Macular Macroaneurysm with Coats Disease381 views61 year old man with increased leakage from macular macroaneurysm right eyeApr 06, 2019
|
|

Macular Macroaneurysm with Coats Disease369 views61 year old man with increased leakage from macular macroaneurysm right eyeApr 06, 2019
|
|

Macular Macroaneurysm with Coats Disease376 views61 year old man with increased leakage from macular macroaneurysm right eyeApr 06, 2019
|
|

Macular Macroaneurysm with Coats Disease446 views61 year old man with increased leakage from macular macroaneurysm right eyeApr 06, 2019
|
|

Macular Macroaneurysm with Coats Disease395 views61 year old man with increased leakage from macular macroaneurysm right eyeApr 06, 2019
|
|

Macular Macroaneurysm with Coats Disease414 views61 year old man with increased leakage from macular macroaneurysm right eyeApr 06, 2019
|
|

Macular Macroaneurysm with Coats Disease407 views61 year old man with increased leakage from macular macroaneurysm right eyeApr 06, 2019
|
|

Familial Exudative Vitreoretinopathy - FEVR - Stage 4b OD384 views10 year old child with poor vision OD from birth. The left eye had vascular remodelling in the temporal periphery with preretinal abnormalitlies seen on OCT. The patient never returned for a fluorescein angiogram. Left eye is either stage 1 or stage 2. no family historyJan 01, 2019
|
|

Familial Exudative Vitreoretinopathy - FEVR - Stage 4b OD582 views10 year old child with poor vision OD from birth. The left eye had vascular remodelling in the temporal periphery with preretinal abnormalitlies seen on OCT. The patient never returned for a fluorescein angiogram. Left eye is either stage 1 or stage 2. no family historyJan 01, 2019
|
|

Familial Exudative Vitreoretinopathy - FEVR - Stage 4b OD467 views10 year old child with poor vision OD from birth. The left eye had vascular remodelling in the temporal periphery with preretinal abnormalitlies seen on OCT. The patient never returned for a fluorescein angiogram. Left eye is either stage 1 or stage 2. no family historyJan 01, 2019
|
|

Familial Exudative Vitreoretinopathy - FEVR - Stage 4b OD410 views10 year old child with poor vision OD from birth. The left eye had vascular remodelling in the temporal periphery with preretinal abnormalitlies seen on OCT. The patient never returned for a fluorescein angiogram. Left eye is either stage 1 or stage 2. no family historyJan 01, 2019
|
|

Familial Exudative Vitreoretinopathy - FEVR - Stage 4b OD410 views10 year old child with poor vision OD from birth. The left eye had vascular remodelling in the temporal periphery with preretinal abnormalitlies seen on OCT. The patient never returned for a fluorescein angiogram. Left eye is either stage 1 or stage 2. no family historyJan 01, 2019
|
|

Familial Exudative Vitreoretinopathy - FEVR - Stage 4b OD403 views10 year old child with poor vision OD from birth. The left eye had vascular remodelling in the temporal periphery with preretinal abnormalitlies seen on OCT. The patient never returned for a fluorescein angiogram. Left eye is either stage 1 or stage 2. no family historyJan 01, 2019
|
|

Familial Exudative Vitreoretinopathy - FEVR - Stage 4b OD463 views10 year old child with poor vision OD from birth. The left eye had vascular remodelling in the temporal periphery with preretinal abnormalitlies seen on OCT. The patient never returned for a fluorescein angiogram. Left eye is either stage 1 or stage 2. no family historyJan 01, 2019
|
|

Familial Exudative Vitreoretinopathy - FEVR - Stage 4b OD413 views10 year old child with poor vision OD from birth. The left eye had vascular remodelling in the temporal periphery with preretinal abnormalitlies seen on OCT. The patient never returned for a fluorescein angiogram. Left eye is either stage 1 or stage 2. no family historyJan 01, 2019
|
|

Familial Exudative Vitreoretinopathy - FEVR - Stage 4b OD469 views10 year old child with poor vision OD from birth. The left eye had vascular remodelling in the temporal periphery with preretinal abnormalitlies seen on OCT. The patient never returned for a fluorescein angiogram. Left eye is either stage 1 or stage 2. no family historyJan 01, 2019
|
|

Familial Exudative Vitreoretinopathy - FEVR - Stage 4b OD557 views10 year old child with poor vision OD from birth. The left eye had vascular remodelling in the temporal periphery with preretinal abnormalitlies seen on OCT. The patient never returned for a fluorescein angiogram. Left eye is either stage 1 or stage 2. no family historyJan 01, 2019
|
|

Familial Exudative Vitreoretinopathy - FEVR - Stage 4b OD528 views10 year old child with poor vision OD from birth. The left eye had vascular remodelling in the temporal periphery with preretinal abnormalitlies seen on OCT. The patient never returned for a fluorescein angiogram. Left eye is either stage 1 or stage 2. no family historyJan 01, 2019
|
|

Familial Exudative Vitreoretinopathy - FEVR - Stage 4b OD495 views10 year old child with poor vision OD from birth. The left eye had vascular remodelling in the temporal periphery with preretinal abnormalitlies seen on OCT. The patient never returned for a fluorescein angiogram. Left eye is either stage 1 or stage 2. no family historyJan 01, 2019
|
|

Familial Exudative Vitreoretinopathy - FEVR - Stage 4b OD675 views10 year old child with poor vision OD from birth. The left eye had vascular remodelling in the temporal periphery with preretinal abnormalitlies seen on OCT. The patient never returned for a fluorescein angiogram. Left eye is either stage 1 or stage 2. no family historyJan 01, 2019
|
|

Familial Exudative Vitreoretinopathy - FEVR - Stage 4b OD717 views10 year old child with poor vision OD from birth. The left eye had vascular remodelling in the temporal periphery with preretinal abnormalitlies seen on OCT. The patient never returned for a fluorescein angiogram. Left eye is either stage 1 or stage 2. no family historyJan 01, 2019
|
|

Foveal hypoplasia - aplasia494 viewsSD OCT shows persistent plexiform layers in the center of the macula
EXTENDED HPI: He is having some trouble seeing his gadgets (like his watch). He was diagnosed with morning glory syndrome at about 3 yeras old. This last visit you saw fluid under the retina and asked him to come here. The vision is a little worse.
VA OD: Dcc20/40+2 NccJ2-2
VA OS: Dcc20/25-2 NccJ1-2Dec 20, 2018
|
|

Foveal hypoplasia - aplasia511 viewsSD OCT shows persistent plexiform layers in the center of the macula
EXTENDED HPI: He is having some trouble seeing his gadgets (like his watch). He was diagnosed with morning glory syndrome at about 3 yeras old. This last visit you saw fluid under the retina and asked him to come here. The vision is a little worse.
VA OD: Dcc20/40+2 NccJ2-2
VA OS: Dcc20/25-2 NccJ1-2Dec 20, 2018
|
|

Foveal hypoplasia - aplasia572 viewsSD OCT shows persistent plexiform layers in the center of the macula
EXTENDED HPI: He is having some trouble seeing his gadgets (like his watch). He was diagnosed with morning glory syndrome at about 3 yeras old. This last visit you saw fluid under the retina and asked him to come here. The vision is a little worse.
VA OD: Dcc20/40+2 NccJ2-2
VA OS: Dcc20/25-2 NccJ1-2Dec 20, 2018
|
|

Foveal hypoplasia - aplasia684 viewsSD OCT shows persistent plexiform layers in the center of the macula
EXTENDED HPI: He is having some trouble seeing his gadgets (like his watch). He was diagnosed with morning glory syndrome at about 3 yeras old. This last visit you saw fluid under the retina and asked him to come here. The vision is a little worse.
VA OD: Dcc20/40+2 NccJ2-2
VA OS: Dcc20/25-2 NccJ1-2Dec 20, 2018
|
|

Foveal hypoplasia - aplasia970 viewsSD OCT shows persistent plexiform layers in the center of the macula
EXTENDED HPI: He is having some trouble seeing his gadgets (like his watch). He was diagnosed with morning glory syndrome at about 3 yeras old. This last visit you saw fluid under the retina and asked him to come here. The vision is a little worse.
VA OD: Dcc20/40+2 NccJ2-2
VA OS: Dcc20/25-2 NccJ1-2Dec 20, 2018
|
|

Foveal hypoplasia - aplasia517 viewsSD OCT shows persistent plexiform layers in the center of the macula
EXTENDED HPI: He is having some trouble seeing his gadgets (like his watch). He was diagnosed with morning glory syndrome at about 3 yeras old. This last visit you saw fluid under the retina and asked him to come here. The vision is a little worse.
VA OD: Dcc20/40+2 NccJ2-2
VA OS: Dcc20/25-2 NccJ1-2Dec 20, 2018
|
|

Foveal hypoplasia - aplasia451 viewsSD OCT shows persistent plexiform layers in the center of the macula
EXTENDED HPI: He is having some trouble seeing his gadgets (like his watch). He was diagnosed with morning glory syndrome at about 3 yeras old. This last visit you saw fluid under the retina and asked him to come here. The vision is a little worse.
VA OD: Dcc20/40+2 NccJ2-2
VA OS: Dcc20/25-2 NccJ1-2Dec 20, 2018
|
|

Foveal hypoplasia - aplasia477 viewsSD OCT shows persistent plexiform layers in the center of the macula
EXTENDED HPI: He is having some trouble seeing his gadgets (like his watch). He was diagnosed with morning glory syndrome at about 3 yeras old. This last visit you saw fluid under the retina and asked him to come here. The vision is a little worse.
VA OD: Dcc20/40+2 NccJ2-2
VA OS: Dcc20/25-2 NccJ1-2Dec 20, 2018
|
|

Coats' Disease -51 year old asymptomatic male386 views20/20 vision - had laser to non-perfusion because of proliferation.Jul 27, 2018
|
|

Coats' Disease -51 year old asymptomatic male422 views20/20 vision - had laser to non-perfusion because of proliferation.Jul 27, 2018
|
|

Coats' Disease -51 year old asymptomatic male436 views20/20 vision - had laser to non-perfusion because of proliferation.Jul 27, 2018
|
|

Coats' Disease -51 year old asymptomatic male446 views20/20 vision - had laser to non-perfusion because of proliferation.Jul 27, 2018
|
|

Coats' Disease -51 year old asymptomatic male377 views20/20 vision - had laser to non-perfusion because of proliferation.Jul 27, 2018
|
|

Coats' Disease -51 year old asymptomatic male385 views20/20 vision - had laser to non-perfusion because of proliferation.Jul 27, 2018
|
|

Coats' Disease -51 year old asymptomatic male358 views20/20 vision - had laser to non-perfusion because of proliferation.Jul 27, 2018
|
|

Coats' Disease -51 year old asymptomatic male412 views20/20 vision - had laser to non-perfusion because of proliferation.Jul 27, 2018
|
|

Coats' Disease -51 year old asymptomatic male421 views20/20 vision - had laser to non-perfusion because of proliferation.Jul 27, 2018
|
|

Coats' Disease -51 year old asymptomatic male398 views20/20 vision - had laser to non-perfusion because of proliferation.Jul 27, 2018
|
|

Coats' Disease -51 year old asymptomatic male398 views20/20 vision - had laser to non-perfusion because of proliferation.Jul 27, 2018
|
|

Coats' Disease -51 year old asymptomatic male388 views20/20 vision - had laser to non-perfusion because of proliferation.Jul 27, 2018
|
|

Coats' Disease -51 year old asymptomatic male342 views20/20 vision - had laser to non-perfusion because of proliferation.Jul 27, 2018
|
|

Coats' Disease -51 year old asymptomatic male387 views20/20 vision - had laser to non-perfusion because of proliferation.Jul 27, 2018
|
|

Coats' Disease -51 year old asymptomatic male416 views20/20 vision - had laser to non-perfusion because of proliferation.Jul 27, 2018
|
|

Coats' Disease -51 year old asymptomatic male380 views20/20 vision - had laser to non-perfusion because of proliferation.Jul 27, 2018
|
|
|
|