Last additions - Congenital Anomalies
|

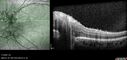
Bullous Retinoschisis - Asymptomatic54 viewsDec 17, 2025
|
|

Bullous Retinoschisis - Asymptomatic61 viewsDec 17, 2025
|
|

Bullous Retinoschisis - Asymptomatic57 viewsDec 17, 2025
|
|

Bear tracks (and diabetic retinopathy)45 views48 year old female with bear tracks in her retina and NPDR.Jul 28, 2025
|
|

Bear tracks (and diabetic retinopathy)55 views48 year old female with bear tracks in her retina and NPDR.Jul 28, 2025
|
|

Bear tracks (and diabetic retinopathy)42 views48 year old female with bear tracks in her retina and NPDR.Jul 28, 2025
|
|

Bear tracks (and diabetic retinopathy)36 views48 year old female with bear tracks in her retina and NPDR.Jul 28, 2025
|
|

Bear tracks (and diabetic retinopathy)45 views48 year old female with bear tracks in her retina and NPDR.Jul 28, 2025
|
|

Bear tracks (and diabetic retinopathy)58 views48 year old female with bear tracks in her retina and NPDR.Jul 28, 2025
|
|

Bear tracks (and diabetic retinopathy)46 views48 year old female with bear tracks in her retina and NPDR.Jul 28, 2025
|
|

Bear tracks (and diabetic retinopathy)70 views48 year old female with bear tracks in her retina and NPDR.Jul 28, 2025
|
|

Bear tracks (and diabetic retinopathy)45 views48 year old female with bear tracks in her retina and NPDR.Jul 28, 2025
|
|

Bear tracks (and diabetic retinopathy)42 views48 year old female with bear tracks in her retina and NPDR.Jul 28, 2025
|
|

Bear tracks (and diabetic retinopathy)39 views48 year old female with bear tracks in her retina and NPDR.Jul 28, 2025
|
|

Bear tracks (and diabetic retinopathy)47 views48 year old female with bear tracks in her retina and NPDR.Jul 28, 2025
|
|

Albinism and Renal failure - Possible Hermansky-Pudlak Syndrome72 views65 year old female with foveal hypoplasia and renal failure since age 18. VA 20/40 OD, 20/63 OSDec 21, 2024
|
|

Albinism and Renal failure - Possible Hermansky-Pudlak Syndrome72 views65 year old female with foveal hypoplasia and renal failure since age 18. VA 20/40 OD, 20/63 OSDec 21, 2024
|
|

Albinism and Renal failure - Possible Hermansky-Pudlak Syndrome66 views65 year old female with foveal hypoplasia and renal failure since age 18. VA 20/40 OD, 20/63 OSDec 21, 2024
|
|

Albinism and Renal failure - Possible Hermansky-Pudlak Syndrome73 views65 year old female with foveal hypoplasia and renal failure since age 18. VA 20/40 OD, 20/63 OSDec 21, 2024
|
|

Albinism and Renal failure - Possible Hermansky-Pudlak Syndrome83 views65 year old female with foveal hypoplasia and renal failure since age 18. VA 20/40 OD, 20/63 OSDec 21, 2024
|
|

Albinism and Renal failure - Possible Hermansky-Pudlak Syndrome79 views65 year old female with foveal hypoplasia and renal failure since age 18. VA 20/40 OD, 20/63 OSDec 21, 2024
|
|

Albinism and Renal failure - Possible Hermansky-Pudlak Syndrome54 views65 year old female with foveal hypoplasia and renal failure since age 18. VA 20/40 OD, 20/63 OSDec 21, 2024
|
|

Albinism and Renal failure - Possible Hermansky-Pudlak Syndrome71 views65 year old female with foveal hypoplasia and renal failure since age 18. VA 20/40 OD, 20/63 OSDec 21, 2024
|
|

Albinism and Renal failure - Possible Hermansky-Pudlak Syndrome75 views65 year old female with foveal hypoplasia and renal failure since age 18. VA 20/40 OD, 20/63 OSDec 21, 2024
|
|

Albinism and Renal failure - Possible Hermansky-Pudlak Syndrome71 views65 year old female with foveal hypoplasia and renal failure since age 18. VA 20/40 OD, 20/63 OSDec 21, 2024
|
|

Albinism and Renal failure - Possible Hermansky-Pudlak Syndrome58 views65 year old female with foveal hypoplasia and renal failure since age 18. VA 20/40 OD, 20/63 OSDec 21, 2024
|
|

Myelinated Nerve Fiber Layer - Peripheral106 views43 year old man with floatersNov 03, 2024
|
|

Myelinated Nerve Fiber Layer - Peripheral75 views43 year old man with floatersNov 03, 2024
|
|

Myelinated Nerve Fiber Layer - Peripheral91 views43 year old man with floatersNov 03, 2024
|
|

Myelinated Nerve Fiber Layer - Peripheral83 views43 year old man with floatersNov 03, 2024
|
|

Myelinated Nerve Fiber Layer - Peripheral77 views43 year old man with floatersNov 03, 2024
|
|

Myelinated Nerve Fiber Layer - Peripheral82 views43 year old man with floatersNov 03, 2024
|
|

Myelinated Nerve Fiber Layer - Peripheral73 views43 year old man with floatersNov 03, 2024
|
|

Myelinated Nerve Fiber Layer - Peripheral79 views43 year old man with floatersNov 03, 2024
|
|

Myelinated Nerve Fiber Layer - Peripheral80 views43 year old man with floatersNov 03, 2024
|
|

Myelinated Nerve Fiber Layer - Peripheral94 views43 year old man with floatersNov 03, 2024
|
|

32 year old female with normal vision and CHRPE74 viewsSep 17, 2024
|
|

32 year old female with normal vision and CHRPE72 viewsSep 17, 2024
|
|

32 year old female with normal vision and CHRPE78 viewsSep 17, 2024
|
|

32 year old female with normal vision and CHRPE67 viewsSep 17, 2024
|
|

32 year old female with normal vision and CHRPE84 viewsSep 17, 2024
|
|

32 year old female with normal vision and CHRPE73 viewsSep 17, 2024
|
|

32 year old female with normal vision and CHRPE68 viewsSep 17, 2024
|
|

32 year old female with normal vision and CHRPE78 viewsSep 17, 2024
|
|

32 year old female with normal vision and CHRPE90 viewsSep 17, 2024
|
|

FEVR and Loeys-Deitz Syndrome - TGFBR gene defect217 views15 year old boy with Loeys-Deitz Syndrome. And TGFBR gene positivity. At age 11 he had aortic root surgery. VA 20/25 OU. Anterior segment normal. Retina shows findings consistent with mild familial exudative vitreoretinopathyAug 21, 2023
|
|

FEVR and Loeys-Deitz Syndrome - TGFBR gene defect194 views15 year old boy with Loeys-Deitz Syndrome. And TGFBR gene positivity. At age 11 he had aortic root surgery. VA 20/25 OU. Anterior segment normal. Retina shows findings consistent with mild familial exudative vitreoretinopathyAug 21, 2023
|
|

FEVR and Loeys-Deitz Syndrome - TGFBR gene defect174 views15 year old boy with Loeys-Deitz Syndrome. And TGFBR gene positivity. At age 11 he had aortic root surgery. VA 20/25 OU. Anterior segment normal. Retina shows findings consistent with mild familial exudative vitreoretinopathyAug 21, 2023
|
|

FEVR and Loeys-Deitz Syndrome - TGFBR gene defect182 views15 year old boy with Loeys-Deitz Syndrome. And TGFBR gene positivity. At age 11 he had aortic root surgery. VA 20/25 OU. Anterior segment normal. Retina shows findings consistent with mild familial exudative vitreoretinopathyAug 21, 2023
|
|

FEVR and Loeys-Deitz Syndrome - TGFBR gene defect176 views15 year old boy with Loeys-Deitz Syndrome. And TGFBR gene positivity. At age 11 he had aortic root surgery. VA 20/25 OU. Anterior segment normal. Retina shows findings consistent with mild familial exudative vitreoretinopathyAug 21, 2023
|
|

Sticklers syndrome with Pierre Robin Sequence258 views9 year old child with father who had retinal detachment at age 10. History of cleft palate repair and teeth removal. VA 20/40 OU. Images show perivascular RPE and retinal changes especially nasallyApr 05, 2022
|
|

Sticklers syndrome with Pierre Robin Sequence248 views9 year old child with father who had retinal detachment at age 10. History of cleft palate repair and teeth removal. VA 20/40 OU. Images show perivascular RPE and retinal changes especially nasallyApr 05, 2022
|
|

Sticklers syndrome with Pierre Robin Sequence259 views9 year old child with father who had retinal detachment at age 10. History of cleft palate repair and teeth removal. VA 20/40 OU. Images show perivascular RPE and retinal changes especially nasallyApr 05, 2022
|
|

Sticklers syndrome with Pierre Robin Sequence254 views9 year old child with father who had retinal detachment at age 10. History of cleft palate repair and teeth removal. VA 20/40 OU. Images show perivascular RPE and retinal changes especially nasallyApr 05, 2022
|
|

Sticklers syndrome with Pierre Robin Sequence221 views9 year old child with father who had retinal detachment at age 10. History of cleft palate repair and teeth removal. VA 20/40 OU. Images show perivascular RPE and retinal changes especially nasallyApr 05, 2022
|
|

Sticklers syndrome with Pierre Robin Sequence238 views9 year old child with father who had retinal detachment at age 10. History of cleft palate repair and teeth removal. VA 20/40 OU. Images show perivascular RPE and retinal changes especially nasallyApr 05, 2022
|
|

Sticklers syndrome with Pierre Robin Sequence230 views9 year old child with father who had retinal detachment at age 10. History of cleft palate repair and teeth removal. VA 20/40 OU. Images show perivascular RPE and retinal changes especially nasallyApr 05, 2022
|
|

Sticklers syndrome with Pierre Robin Sequence256 views9 year old child with father who had retinal detachment at age 10. History of cleft palate repair and teeth removal. VA 20/40 OU. Images show perivascular RPE and retinal changes especially nasallyApr 05, 2022
|
|

Sticklers syndrome with Pierre Robin Sequence278 views9 year old child with father who had retinal detachment at age 10. History of cleft palate repair and teeth removal. VA 20/40 OU. Images show perivascular RPE and retinal changes especially nasallyApr 05, 2022
|
|

Combined hamartoma of the retina and retinal pigment epithelium234 views8 year old boy failed vision screening at school. VA 20/20 OD, 20/40 OSApr 05, 2022
|
|

Combined hamartoma of the retina and retinal pigment epithelium214 views8 year old boy failed vision screening at school. VA 20/20 OD, 20/40 OSApr 05, 2022
|
|

Combined hamartoma of the retina and retinal pigment epithelium226 views8 year old boy failed vision screening at school. VA 20/20 OD, 20/40 OSApr 05, 2022
|
|

Combined hamartoma of the retina and retinal pigment epithelium249 views8 year old boy failed vision screening at school. VA 20/20 OD, 20/40 OSApr 05, 2022
|
|

Combined hamartoma of the retina and retinal pigment epithelium226 views8 year old boy failed vision screening at school. VA 20/20 OD, 20/40 OSApr 05, 2022
|
|

Combined hamartoma of the retina and retinal pigment epithelium227 views8 year old boy failed vision screening at school. VA 20/20 OD, 20/40 OSApr 05, 2022
|
|

Combined hamartoma of the retina and retinal pigment epithelium216 views8 year old boy failed vision screening at school. VA 20/20 OD, 20/40 OSApr 05, 2022
|
|

Combined hamartoma of the retina and retinal pigment epithelium253 views8 year old boy failed vision screening at school. VA 20/20 OD, 20/40 OSApr 05, 2022
|
|

Combined hamartoma of the retina and retinal pigment epithelium234 views8 year old boy failed vision screening at school. VA 20/20 OD, 20/40 OSApr 05, 2022
|
|

Combined hamartoma of the retina and retinal pigment epithelium248 views8 year old boy failed vision screening at school. VA 20/20 OD, 20/40 OSApr 05, 2022
|
|

Combined hamartoma of the retina and retinal pigment epithelium248 views8 year old boy failed vision screening at school. VA 20/20 OD, 20/40 OSApr 05, 2022
|
|

Combined hamartoma of the retina and retinal pigment epithelium253 views8 year old boy failed vision screening at school. VA 20/20 OD, 20/40 OSApr 05, 2022
|
|

Combined hamartoma of the retina and retinal pigment epithelium247 views8 year old boy failed vision screening at school. VA 20/20 OD, 20/40 OSApr 05, 2022
|
|

Combined hamartoma of the retina and retinal pigment epithelium249 views8 year old boy failed vision screening at school. VA 20/20 OD, 20/40 OSApr 05, 2022
|
|

Combined hamartoma of the retina and retinal pigment epithelium233 views8 year old boy failed vision screening at school. VA 20/20 OD, 20/40 OSApr 05, 2022
|
|

Combined hamartoma of the retina and retinal pigment epithelium241 views8 year old boy failed vision screening at school. VA 20/20 OD, 20/40 OSApr 05, 2022
|
|

Combined hamartoma of the retina and retinal pigment epithelium228 views8 year old boy failed vision screening at school. VA 20/20 OD, 20/40 OSApr 05, 2022
|
|

Combined hamartoma of the retina and retinal pigment epithelium212 views8 year old boy failed vision screening at school. VA 20/20 OD, 20/40 OSApr 05, 2022
|
|

Combined hamartoma of the retina and retinal pigment epithelium220 views8 year old boy failed vision screening at school. VA 20/20 OD, 20/40 OSApr 05, 2022
|
|

Combined hamartoma of the retina and retinal pigment epithelium218 views8 year old boy failed vision screening at school. VA 20/20 OD, 20/40 OSApr 05, 2022
|
|

Combined hamartoma of the retina and retinal pigment epithelium252 views8 year old boy failed vision screening at school. VA 20/20 OD, 20/40 OSApr 05, 2022
|
|

Combined hamartoma of the retina and retinal pigment epithelium229 views8 year old boy failed vision screening at school. VA 20/20 OD, 20/40 OSApr 05, 2022
|
|

Combined hamartoma of the retina and retinal pigment epithelium221 views8 year old boy failed vision screening at school. VA 20/20 OD, 20/40 OSApr 05, 2022
|
|

Combined hamartoma of the retina and retinal pigment epithelium219 views8 year old boy failed vision screening at school. VA 20/20 OD, 20/40 OSApr 05, 2022
|
|

Combined hamartoma of the retina and retinal pigment epithelium229 views8 year old boy failed vision screening at school. VA 20/20 OD, 20/40 OSApr 05, 2022
|
|

Combined hamartoma of the retina and retinal pigment epithelium217 views8 year old boy failed vision screening at school. VA 20/20 OD, 20/40 OSApr 05, 2022
|
|

Combined hamartoma of the retina and retinal pigment epithelium228 views8 year old boy failed vision screening at school. VA 20/20 OD, 20/40 OSApr 05, 2022
|
|

Combined hamartoma of the retina and retinal pigment epithelium249 views8 year old boy failed vision screening at school. VA 20/20 OD, 20/40 OSApr 05, 2022
|
|

Combined hamartoma of the retina and retinal pigment epithelium229 views8 year old boy failed vision screening at school. VA 20/20 OD, 20/40 OSApr 05, 2022
|
|

Combined hamartoma of the retina and retinal pigment epithelium205 views8 year old boy failed vision screening at school. VA 20/20 OD, 20/40 OSApr 05, 2022
|
|

Combined hamartoma of the retina and retinal pigment epithelium245 views8 year old boy failed vision screening at school. VA 20/20 OD, 20/40 OSApr 05, 2022
|
|

Combined hamartoma of the retina and retinal pigment epithelium242 views8 year old boy failed vision screening at school. VA 20/20 OD, 20/40 OSApr 05, 2022
|
|

Combined hamartoma of the retina and retinal pigment epithelium231 views8 year old boy failed vision screening at school. VA 20/20 OD, 20/40 OSApr 05, 2022
|
|

Combined hamartoma of the retina and retinal pigment epithelium258 views8 year old boy failed vision screening at school. VA 20/20 OD, 20/40 OSApr 05, 2022
|
|

Combined hamartoma of the retina and retinal pigment epithelium236 views8 year old boy failed vision screening at school. VA 20/20 OD, 20/40 OSApr 05, 2022
|
|

Combined hamartoma of the retina and retinal pigment epithelium227 views8 year old boy failed vision screening at school. VA 20/20 OD, 20/40 OSApr 05, 2022
|
|

Combined hamartoma of the retina and retinal pigment epithelium229 views8 year old boy failed vision screening at school. VA 20/20 OD, 20/40 OSApr 05, 2022
|
|

Combined hamartoma of the retina and retinal pigment epithelium263 views8 year old boy failed vision screening at school. VA 20/20 OD, 20/40 OSApr 05, 2022
|
|

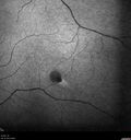
Torpedo Maculopathy - Small Lesion257 viewsAsymptomatic 77 year old femaleOct 11, 2021
|
|

Torpedo Maculopathy - Small Lesion268 viewsAsymptomatic 77 year old femaleOct 11, 2021
|
|

Torpedo Maculopathy - Small Lesion284 viewsAsymptomatic 77 year old femaleOct 11, 2021
|
|
|
|