Last additions - Diabetic Retinopathy
|

Siegrist Streaks and severe diabetic macular edema141 views56 year old female who presents four years after developing necrotizing fascitis and multiple organ failure from an infected foot from a roofing nail. Her vision was 20/100 OU. She has multiple peripheral pigment spots consistent with Siegrist streaks.Sep 19, 2023
|
|

Siegrist Streaks and severe diabetic macular edema132 views56 year old female who presents four years after developing necrotizing fascitis and multiple organ failure from an infected foot from a roofing nail. Her vision was 20/100 OU. She has multiple peripheral pigment spots consistent with Siegrist streaks.Sep 19, 2023
|
|

Siegrist Streaks and severe diabetic macular edema124 views56 year old female who presents four years after developing necrotizing fascitis and multiple organ failure from an infected foot from a roofing nail. Her vision was 20/100 OU. She has multiple peripheral pigment spots consistent with Siegrist streaks.Sep 19, 2023
|
|

Siegrist Streaks and severe diabetic macular edema166 views56 year old female who presents four years after developing necrotizing fascitis and multiple organ failure from an infected foot from a roofing nail. Her vision was 20/100 OU. She has multiple peripheral pigment spots consistent with Siegrist streaks.Sep 19, 2023
|
|

Siegrist Streaks and severe diabetic macular edema131 views56 year old female who presents four years after developing necrotizing fascitis and multiple organ failure from an infected foot from a roofing nail. Her vision was 20/100 OU. She has multiple peripheral pigment spots consistent with Siegrist streaks.Sep 19, 2023
|
|

Siegrist Streaks and severe diabetic macular edema166 views56 year old female who presents four years after developing necrotizing fascitis and multiple organ failure from an infected foot from a roofing nail. Her vision was 20/100 OU. She has multiple peripheral pigment spots consistent with Siegrist streaks.Sep 19, 2023
|
|

Siegrist Streaks and severe diabetic macular edema147 views56 year old female who presents four years after developing necrotizing fascitis and multiple organ failure from an infected foot from a roofing nail. Her vision was 20/100 OU. She has multiple peripheral pigment spots consistent with Siegrist streaks.Sep 19, 2023
|
|

Siegrist Streaks and severe diabetic macular edema160 views56 year old female who presents four years after developing necrotizing fascitis and multiple organ failure from an infected foot from a roofing nail. Her vision was 20/100 OU. She has multiple peripheral pigment spots consistent with Siegrist streaks.Sep 19, 2023
|
|

Siegrist Streaks and severe diabetic macular edema168 views56 year old female who presents four years after developing necrotizing fascitis and multiple organ failure from an infected foot from a roofing nail. Her vision was 20/100 OU. She has multiple peripheral pigment spots consistent with Siegrist streaks.Sep 19, 2023
|
|

Siegrist Streaks and severe diabetic macular edema186 views56 year old female who presents four years after developing necrotizing fascitis and multiple organ failure from an infected foot from a roofing nail. Her vision was 20/100 OU. She has multiple peripheral pigment spots consistent with Siegrist streaks.Sep 19, 2023
|
|

Siegrist Streaks and severe diabetic macular edema176 views56 year old female who presents four years after developing necrotizing fascitis and multiple organ failure from an infected foot from a roofing nail. Her vision was 20/100 OU. She has multiple peripheral pigment spots consistent with Siegrist streaks.Sep 19, 2023
|
|

Siegrist Streaks and severe diabetic macular edema150 views56 year old female who presents four years after developing necrotizing fascitis and multiple organ failure from an infected foot from a roofing nail. Her vision was 20/100 OU. She has multiple peripheral pigment spots consistent with Siegrist streaks.Sep 19, 2023
|
|

Proliferative diabetic retinopathy with vitreous hemorrhage181 views53 year old man with foggy vision in the left eye for one day. VA 20/25 OD, 20/40 OS. Diabetes for 10 years. Type IISep 16, 2023
|
|

Proliferative diabetic retinopathy with vitreous hemorrhage164 views53 year old man with foggy vision in the left eye for one day. VA 20/25 OD, 20/40 OS. Diabetes for 10 years. Type IISep 16, 2023
|
|

Proliferative diabetic retinopathy with vitreous hemorrhage165 views53 year old man with foggy vision in the left eye for one day. VA 20/25 OD, 20/40 OS. Diabetes for 10 years. Type IISep 16, 2023
|
|

Proliferative diabetic retinopathy with vitreous hemorrhage161 views53 year old man with foggy vision in the left eye for one day. VA 20/25 OD, 20/40 OS. Diabetes for 10 years. Type IISep 16, 2023
|
|

Proliferative diabetic retinopathy with vitreous hemorrhage162 views53 year old man with foggy vision in the left eye for one day. VA 20/25 OD, 20/40 OS. Diabetes for 10 years. Type IISep 16, 2023
|
|

Proliferative diabetic retinopathy with vitreous hemorrhage159 views53 year old man with foggy vision in the left eye for one day. VA 20/25 OD, 20/40 OS. Diabetes for 10 years. Type IISep 16, 2023
|
|

Proliferative diabetic retinopathy with vitreous hemorrhage173 views53 year old man with foggy vision in the left eye for one day. VA 20/25 OD, 20/40 OS. Diabetes for 10 years. Type IISep 16, 2023
|
|

Proliferative diabetic retinopathy with vitreous hemorrhage169 views53 year old man with foggy vision in the left eye for one day. VA 20/25 OD, 20/40 OS. Diabetes for 10 years. Type IISep 16, 2023
|
|

Proliferative diabetic retinopathy with vitreous hemorrhage152 views53 year old man with foggy vision in the left eye for one day. VA 20/25 OD, 20/40 OS. Diabetes for 10 years. Type IISep 16, 2023
|
|

Proliferative diabetic retinopathy with vitreous hemorrhage171 views53 year old man with foggy vision in the left eye for one day. VA 20/25 OD, 20/40 OS. Diabetes for 10 years. Type IISep 16, 2023
|
|

Proliferative diabetic retinopathy with vitreous hemorrhage166 views53 year old man with foggy vision in the left eye for one day. VA 20/25 OD, 20/40 OS. Diabetes for 10 years. Type IISep 16, 2023
|
|

Proliferative diabetic retinopathy with vitreous hemorrhage161 views53 year old man with foggy vision in the left eye for one day. VA 20/25 OD, 20/40 OS. Diabetes for 10 years. Type IISep 16, 2023
|
|

Proliferative diabetic retinopathy with vitreous hemorrhage154 views53 year old man with foggy vision in the left eye for one day. VA 20/25 OD, 20/40 OS. Diabetes for 10 years. Type IISep 16, 2023
|
|

Proliferative diabetic retinopathy with vitreous hemorrhage165 views53 year old man with foggy vision in the left eye for one day. VA 20/25 OD, 20/40 OS. Diabetes for 10 years. Type IISep 16, 2023
|
|

Proliferative diabetic retinopathy with vitreous hemorrhage148 views53 year old man with foggy vision in the left eye for one day. VA 20/25 OD, 20/40 OS. Diabetes for 10 years. Type IISep 16, 2023
|
|

Proliferative diabetic retinopathy with vitreous hemorrhage157 views53 year old man with foggy vision in the left eye for one day. VA 20/25 OD, 20/40 OS. Diabetes for 10 years. Type IISep 16, 2023
|
|

Proliferative diabetic retinopathy with vitreous hemorrhage161 views53 year old man with foggy vision in the left eye for one day. VA 20/25 OD, 20/40 OS. Diabetes for 10 years. Type IISep 16, 2023
|
|

Proliferative diabetic retinopathy with vitreous hemorrhage156 views53 year old man with foggy vision in the left eye for one day. VA 20/25 OD, 20/40 OS. Diabetes for 10 years. Type IISep 16, 2023
|
|

Proliferative diabetic retinopathy with vitreous hemorrhage158 views53 year old man with foggy vision in the left eye for one day. VA 20/25 OD, 20/40 OS. Diabetes for 10 years. Type IISep 16, 2023
|
|

Proliferative diabetic retinopathy with vitreous hemorrhage164 views53 year old man with foggy vision in the left eye for one day. VA 20/25 OD, 20/40 OS. Diabetes for 10 years. Type IISep 16, 2023
|
|

Proliferative diabetic retinopathy with vitreous hemorrhage167 views53 year old man with foggy vision in the left eye for one day. VA 20/25 OD, 20/40 OS. Diabetes for 10 years. Type IISep 16, 2023
|
|

Proliferative diabetic retinopathy with vitreous hemorrhage170 views53 year old man with foggy vision in the left eye for one day. VA 20/25 OD, 20/40 OS. Diabetes for 10 years. Type IISep 16, 2023
|
|

Proliferative diabetic retinopathy with vitreous hemorrhage177 views53 year old man with foggy vision in the left eye for one day. VA 20/25 OD, 20/40 OS. Diabetes for 10 years. Type IISep 16, 2023
|
|

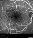
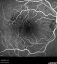
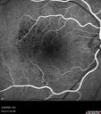
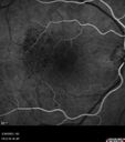
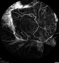
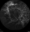
Macular ischemia left eye in type I diabetic (enlarged foveal avascular zone)213 views29 year old female with type I diabetes since age 5. Left eye has enlarged FAZ with vision of 20/20 OD and 20/60 OS. Both eyes have CSME. The left eye did have focal laserApr 12, 2023
|
|

Macular ischemia left eye in type I diabetic (enlarged foveal avascular zone)182 views29 year old female with type I diabetes since age 5. Left eye has enlarged FAZ with vision of 20/20 OD and 20/60 OS. Both eyes have CSME. The left eye did have focal laserApr 12, 2023
|
|

Macular ischemia left eye in type I diabetic (enlarged foveal avascular zone)229 views29 year old female with type I diabetes since age 5. Left eye has enlarged FAZ with vision of 20/20 OD and 20/60 OS. Both eyes have CSME. The left eye did have focal laserApr 12, 2023
|
|

Macular ischemia left eye in type I diabetic (enlarged foveal avascular zone)216 views29 year old female with type I diabetes since age 5. Left eye has enlarged FAZ with vision of 20/20 OD and 20/60 OS. Both eyes have CSME. The left eye did have focal laserApr 12, 2023
|
|

Macular ischemia left eye in type I diabetic (enlarged foveal avascular zone)217 views29 year old female with type I diabetes since age 5. Left eye has enlarged FAZ with vision of 20/20 OD and 20/60 OS. Both eyes have CSME. The left eye did have focal laserApr 12, 2023
|
|

Macular ischemia left eye in type I diabetic (enlarged foveal avascular zone)186 views29 year old female with type I diabetes since age 5. Left eye has enlarged FAZ with vision of 20/20 OD and 20/60 OS. Both eyes have CSME. The left eye did have focal laserApr 12, 2023
|
|

Macular ischemia left eye in type I diabetic (enlarged foveal avascular zone)194 views29 year old female with type I diabetes since age 5. Left eye has enlarged FAZ with vision of 20/20 OD and 20/60 OS. Both eyes have CSME. The left eye did have focal laserApr 12, 2023
|
|

Macular ischemia left eye in type I diabetic (enlarged foveal avascular zone)176 views29 year old female with type I diabetes since age 5. Left eye has enlarged FAZ with vision of 20/20 OD and 20/60 OS. Both eyes have CSME. The left eye did have focal laserApr 12, 2023
|
|

Macular ischemia left eye in type I diabetic (enlarged foveal avascular zone)185 views29 year old female with type I diabetes since age 5. Left eye has enlarged FAZ with vision of 20/20 OD and 20/60 OS. Both eyes have CSME. The left eye did have focal laserApr 12, 2023
|
|

Macular ischemia left eye in type I diabetic (enlarged foveal avascular zone)202 views29 year old female with type I diabetes since age 5. Left eye has enlarged FAZ with vision of 20/20 OD and 20/60 OS. Both eyes have CSME. The left eye did have focal laserApr 12, 2023
|
|

Macular ischemia left eye in type I diabetic (enlarged foveal avascular zone)181 views29 year old female with type I diabetes since age 5. Left eye has enlarged FAZ with vision of 20/20 OD and 20/60 OS. Both eyes have CSME. The left eye did have focal laserApr 12, 2023
|
|

Macular ischemia left eye in type I diabetic (enlarged foveal avascular zone)226 views29 year old female with type I diabetes since age 5. Left eye has enlarged FAZ with vision of 20/20 OD and 20/60 OS. Both eyes have CSME. The left eye did have focal laserApr 12, 2023
|
|

Macular ischemia left eye in type I diabetic (enlarged foveal avascular zone)169 views29 year old female with type I diabetes since age 5. Left eye has enlarged FAZ with vision of 20/20 OD and 20/60 OS. Both eyes have CSME. The left eye did have focal laserApr 12, 2023
|
|

Macular ischemia left eye in type I diabetic (enlarged foveal avascular zone)187 views29 year old female with type I diabetes since age 5. Left eye has enlarged FAZ with vision of 20/20 OD and 20/60 OS. Both eyes have CSME. The left eye did have focal laserApr 12, 2023
|
|

Macular ischemia left eye in type I diabetic (enlarged foveal avascular zone)194 views29 year old female with type I diabetes since age 5. Left eye has enlarged FAZ with vision of 20/20 OD and 20/60 OS. Both eyes have CSME. The left eye did have focal laserApr 12, 2023
|
|

Macular ischemia left eye in type I diabetic (enlarged foveal avascular zone)209 views29 year old female with type I diabetes since age 5. Left eye has enlarged FAZ with vision of 20/20 OD and 20/60 OS. Both eyes have CSME. The left eye did have focal laserApr 12, 2023
|
|

Macular ischemia left eye in type I diabetic (enlarged foveal avascular zone)205 views29 year old female with type I diabetes since age 5. Left eye has enlarged FAZ with vision of 20/20 OD and 20/60 OS. Both eyes have CSME. The left eye did have focal laserApr 12, 2023
|
|

Macular ischemia left eye in type I diabetic (enlarged foveal avascular zone)195 views29 year old female with type I diabetes since age 5. Left eye has enlarged FAZ with vision of 20/20 OD and 20/60 OS. Both eyes have CSME. The left eye did have focal laserApr 12, 2023
|
|

Macular ischemia left eye in type I diabetic (enlarged foveal avascular zone)208 views29 year old female with type I diabetes since age 5. Left eye has enlarged FAZ with vision of 20/20 OD and 20/60 OS. Both eyes have CSME. The left eye did have focal laserApr 12, 2023
|
|

Macular ischemia left eye in type I diabetic (enlarged foveal avascular zone)168 views29 year old female with type I diabetes since age 5. Left eye has enlarged FAZ with vision of 20/20 OD and 20/60 OS. Both eyes have CSME. The left eye did have focal laserApr 12, 2023
|
|

Macular ischemia left eye in type I diabetic (enlarged foveal avascular zone)190 views29 year old female with type I diabetes since age 5. Left eye has enlarged FAZ with vision of 20/20 OD and 20/60 OS. Both eyes have CSME. The left eye did have focal laserApr 12, 2023
|
|

Macular ischemia left eye in type I diabetic (enlarged foveal avascular zone)229 views29 year old female with type I diabetes since age 5. Left eye has enlarged FAZ with vision of 20/20 OD and 20/60 OS. Both eyes have CSME. The left eye did have focal laserApr 12, 2023
|
|

Macular ischemia left eye in type I diabetic (enlarged foveal avascular zone)203 views29 year old female with type I diabetes since age 5. Left eye has enlarged FAZ with vision of 20/20 OD and 20/60 OS. Both eyes have CSME. The left eye did have focal laserApr 12, 2023
|
|

Macular ischemia left eye in type I diabetic (enlarged foveal avascular zone)207 views29 year old female with type I diabetes since age 5. Left eye has enlarged FAZ with vision of 20/20 OD and 20/60 OS. Both eyes have CSME. The left eye did have focal laserApr 12, 2023
|
|

Macular ischemia left eye in type I diabetic (enlarged foveal avascular zone)225 views29 year old female with type I diabetes since age 5. Left eye has enlarged FAZ with vision of 20/20 OD and 20/60 OS. Both eyes have CSME. The left eye did have focal laserApr 12, 2023
|
|

Severe diabetic tractional retinal detachment one year following diagnosis of type II Diabetes Mellitus252 views44 year old man The vision in the left eye started to decline about 4 days ago. Prior to that the left eye was the better eye. He was diagnosed with diabetes a year ago.Â
VA OD: Dcc20/50-1 OS: Dcc20/125-2, TP: OD:12 OS:13
Following two surgeries in each eye, silicone oil remaining forever, monthly anti-VEGF for severe DME - BCVA OU 20/200 at 3 yearsAug 17, 2022
|
|

Severe diabetic tractional retinal detachment one year following diagnosis of type II Diabetes Mellitus229 views44 year old man The vision in the left eye started to decline about 4 days ago. Prior to that the left eye was the better eye. He was diagnosed with diabetes a year ago.Â
VA OD: Dcc20/50-1 OS: Dcc20/125-2, TP: OD:12 OS:13
Following two surgeries in each eye, silicone oil remaining forever, monthly anti-VEGF for severe DME - BCVA OU 20/200 at 3 yearsAug 17, 2022
|
|

Severe diabetic tractional retinal detachment one year following diagnosis of type II Diabetes Mellitus272 views44 year old man The vision in the left eye started to decline about 4 days ago. Prior to that the left eye was the better eye. He was diagnosed with diabetes a year ago.Â
VA OD: Dcc20/50-1 OS: Dcc20/125-2, TP: OD:12 OS:13
Following two surgeries in each eye, silicone oil remaining forever, monthly anti-VEGF for severe DME - BCVA OU 20/200 at 3 yearsAug 17, 2022
|
|

Severe diabetic tractional retinal detachment one year following diagnosis of type II Diabetes Mellitus257 views44 year old man The vision in the left eye started to decline about 4 days ago. Prior to that the left eye was the better eye. He was diagnosed with diabetes a year ago.Â
VA OD: Dcc20/50-1 OS: Dcc20/125-2, TP: OD:12 OS:13
Following two surgeries in each eye, silicone oil remaining forever, monthly anti-VEGF for severe DME - BCVA OU 20/200 at 3 yearsAug 17, 2022
|
|

Severe diabetic tractional retinal detachment one year following diagnosis of type II Diabetes Mellitus241 views44 year old man The vision in the left eye started to decline about 4 days ago. Prior to that the left eye was the better eye. He was diagnosed with diabetes a year ago.Â
VA OD: Dcc20/50-1 OS: Dcc20/125-2, TP: OD:12 OS:13
Following two surgeries in each eye, silicone oil remaining forever, monthly anti-VEGF for severe DME - BCVA OU 20/200 at 3 yearsAug 17, 2022
|
|

Severe diabetic tractional retinal detachment one year following diagnosis of type II Diabetes Mellitus237 views44 year old man The vision in the left eye started to decline about 4 days ago. Prior to that the left eye was the better eye. He was diagnosed with diabetes a year ago.Â
VA OD: Dcc20/50-1 OS: Dcc20/125-2, TP: OD:12 OS:13
Following two surgeries in each eye, silicone oil remaining forever, monthly anti-VEGF for severe DME - BCVA OU 20/200 at 3 yearsAug 17, 2022
|
|

Severe diabetic tractional retinal detachment one year following diagnosis of type II Diabetes Mellitus242 views44 year old man The vision in the left eye started to decline about 4 days ago. Prior to that the left eye was the better eye. He was diagnosed with diabetes a year ago.Â
VA OD: Dcc20/50-1 OS: Dcc20/125-2, TP: OD:12 OS:13
Following two surgeries in each eye, silicone oil remaining forever, monthly anti-VEGF for severe DME - BCVA OU 20/200 at 3 yearsAug 17, 2022
|
|

Severe diabetic tractional retinal detachment one year following diagnosis of type II Diabetes Mellitus243 views44 year old man The vision in the left eye started to decline about 4 days ago. Prior to that the left eye was the better eye. He was diagnosed with diabetes a year ago.Â
VA OD: Dcc20/50-1 OS: Dcc20/125-2, TP: OD:12 OS:13
Following two surgeries in each eye, silicone oil remaining forever, monthly anti-VEGF for severe DME - BCVA OU 20/200 at 3 yearsAug 17, 2022
|
|

Severe diabetic tractional retinal detachment one year following diagnosis of type II Diabetes Mellitus230 views44 year old man The vision in the left eye started to decline about 4 days ago. Prior to that the left eye was the better eye. He was diagnosed with diabetes a year ago.Â
VA OD: Dcc20/50-1 OS: Dcc20/125-2, TP: OD:12 OS:13
Following two surgeries in each eye, silicone oil remaining forever, monthly anti-VEGF for severe DME - BCVA OU 20/200 at 3 yearsAug 17, 2022
|
|

Severe diabetic tractional retinal detachment one year following diagnosis of type II Diabetes Mellitus249 views44 year old man The vision in the left eye started to decline about 4 days ago. Prior to that the left eye was the better eye. He was diagnosed with diabetes a year ago.Â
VA OD: Dcc20/50-1 OS: Dcc20/125-2, TP: OD:12 OS:13
Following two surgeries in each eye, silicone oil remaining forever, monthly anti-VEGF for severe DME - BCVA OU 20/200 at 3 yearsAug 17, 2022
|
|

Severe diabetic tractional retinal detachment one year following diagnosis of type II Diabetes Mellitus227 views44 year old man The vision in the left eye started to decline about 4 days ago. Prior to that the left eye was the better eye. He was diagnosed with diabetes a year ago.Â
VA OD: Dcc20/50-1 OS: Dcc20/125-2, TP: OD:12 OS:13
Following two surgeries in each eye, silicone oil remaining forever, monthly anti-VEGF for severe DME - BCVA OU 20/200 at 3 yearsAug 17, 2022
|
|

Severe diabetic tractional retinal detachment one year following diagnosis of type II Diabetes Mellitus241 views44 year old man The vision in the left eye started to decline about 4 days ago. Prior to that the left eye was the better eye. He was diagnosed with diabetes a year ago.Â
VA OD: Dcc20/50-1 OS: Dcc20/125-2, TP: OD:12 OS:13
Following two surgeries in each eye, silicone oil remaining forever, monthly anti-VEGF for severe DME - BCVA OU 20/200 at 3 yearsAug 17, 2022
|
|

Severe diabetic tractional retinal detachment one year following diagnosis of type II Diabetes Mellitus234 views44 year old man The vision in the left eye started to decline about 4 days ago. Prior to that the left eye was the better eye. He was diagnosed with diabetes a year ago.Â
VA OD: Dcc20/50-1 OS: Dcc20/125-2, TP: OD:12 OS:13
Following two surgeries in each eye, silicone oil remaining forever, monthly anti-VEGF for severe DME - BCVA OU 20/200 at 3 yearsAug 17, 2022
|
|

Severe diabetic tractional retinal detachment one year following diagnosis of type II Diabetes Mellitus222 views44 year old man The vision in the left eye started to decline about 4 days ago. Prior to that the left eye was the better eye. He was diagnosed with diabetes a year ago.Â
VA OD: Dcc20/50-1 OS: Dcc20/125-2, TP: OD:12 OS:13
Following two surgeries in each eye, silicone oil remaining forever, monthly anti-VEGF for severe DME - BCVA OU 20/200 at 3 yearsAug 17, 2022
|
|

Severe diabetic tractional retinal detachment one year following diagnosis of type II Diabetes Mellitus241 views44 year old man The vision in the left eye started to decline about 4 days ago. Prior to that the left eye was the better eye. He was diagnosed with diabetes a year ago.Â
VA OD: Dcc20/50-1 OS: Dcc20/125-2, TP: OD:12 OS:13
Following two surgeries in each eye, silicone oil remaining forever, monthly anti-VEGF for severe DME - BCVA OU 20/200 at 3 yearsAug 17, 2022
|
|

Severe diabetic tractional retinal detachment one year following diagnosis of type II Diabetes Mellitus226 views44 year old man The vision in the left eye started to decline about 4 days ago. Prior to that the left eye was the better eye. He was diagnosed with diabetes a year ago.Â
VA OD: Dcc20/50-1 OS: Dcc20/125-2, TP: OD:12 OS:13
Following two surgeries in each eye, silicone oil remaining forever, monthly anti-VEGF for severe DME - BCVA OU 20/200 at 3 yearsAug 17, 2022
|
|

Severe diabetic tractional retinal detachment one year following diagnosis of type II Diabetes Mellitus249 views44 year old man The vision in the left eye started to decline about 4 days ago. Prior to that the left eye was the better eye. He was diagnosed with diabetes a year ago.Â
VA OD: Dcc20/50-1 OS: Dcc20/125-2, TP: OD:12 OS:13
Following two surgeries in each eye, silicone oil remaining forever, monthly anti-VEGF for severe DME - BCVA OU 20/200 at 3 yearsAug 17, 2022
|
|

Severe diabetic tractional retinal detachment one year following diagnosis of type II Diabetes Mellitus246 views44 year old man The vision in the left eye started to decline about 4 days ago. Prior to that the left eye was the better eye. He was diagnosed with diabetes a year ago.Â
VA OD: Dcc20/50-1 OS: Dcc20/125-2, TP: OD:12 OS:13
Following two surgeries in each eye, silicone oil remaining forever, monthly anti-VEGF for severe DME - BCVA OU 20/200 at 3 yearsAug 17, 2022
|
|

Severe diabetic tractional retinal detachment one year following diagnosis of type II Diabetes Mellitus231 views44 year old man The vision in the left eye started to decline about 4 days ago. Prior to that the left eye was the better eye. He was diagnosed with diabetes a year ago.Â
VA OD: Dcc20/50-1 OS: Dcc20/125-2, TP: OD:12 OS:13
Following two surgeries in each eye, silicone oil remaining forever, monthly anti-VEGF for severe DME - BCVA OU 20/200 at 3 yearsAug 17, 2022
|
|

Severe diabetic tractional retinal detachment one year following diagnosis of type II Diabetes Mellitus236 views44 year old man The vision in the left eye started to decline about 4 days ago. Prior to that the left eye was the better eye. He was diagnosed with diabetes a year ago.Â
VA OD: Dcc20/50-1 OS: Dcc20/125-2, TP: OD:12 OS:13
Following two surgeries in each eye, silicone oil remaining forever, monthly anti-VEGF for severe DME - BCVA OU 20/200 at 3 yearsAug 17, 2022
|
|

Severe diabetic tractional retinal detachment one year following diagnosis of type II Diabetes Mellitus249 views44 year old man The vision in the left eye started to decline about 4 days ago. Prior to that the left eye was the better eye. He was diagnosed with diabetes a year ago.Â
VA OD: Dcc20/50-1 OS: Dcc20/125-2, TP: OD:12 OS:13
Following two surgeries in each eye, silicone oil remaining forever, monthly anti-VEGF for severe DME - BCVA OU 20/200 at 3 yearsAug 17, 2022
|
|

Severe diabetic tractional retinal detachment one year following diagnosis of type II Diabetes Mellitus274 views44 year old man The vision in the left eye started to decline about 4 days ago. Prior to that the left eye was the better eye. He was diagnosed with diabetes a year ago.Â
VA OD: Dcc20/50-1 OS: Dcc20/125-2, TP: OD:12 OS:13
Following two surgeries in each eye, silicone oil remaining forever, monthly anti-VEGF for severe DME - BCVA OU 20/200 at 3 yearsAug 17, 2022
|
|

Severe diabetic tractional retinal detachment one year following diagnosis of type II Diabetes Mellitus262 views44 year old man The vision in the left eye started to decline about 4 days ago. Prior to that the left eye was the better eye. He was diagnosed with diabetes a year ago.Â
VA OD: Dcc20/50-1 OS: Dcc20/125-2, TP: OD:12 OS:13
Following two surgeries in each eye, silicone oil remaining forever, monthly anti-VEGF for severe DME - BCVA OU 20/200 at 3 yearsAug 17, 2022
|
|

Severe diabetic tractional retinal detachment one year following diagnosis of type II Diabetes Mellitus243 views44 year old man The vision in the left eye started to decline about 4 days ago. Prior to that the left eye was the better eye. He was diagnosed with diabetes a year ago.Â
VA OD: Dcc20/50-1 OS: Dcc20/125-2, TP: OD:12 OS:13
Following two surgeries in each eye, silicone oil remaining forever, monthly anti-VEGF for severe DME - BCVA OU 20/200 at 3 yearsAug 17, 2022
|
|

Severe diabetic tractional retinal detachment one year following diagnosis of type II Diabetes Mellitus265 views44 year old man The vision in the left eye started to decline about 4 days ago. Prior to that the left eye was the better eye. He was diagnosed with diabetes a year ago.Â
VA OD: Dcc20/50-1 OS: Dcc20/125-2, TP: OD:12 OS:13
Following two surgeries in each eye, silicone oil remaining forever, monthly anti-VEGF for severe DME - BCVA OU 20/200 at 3 yearsAug 17, 2022
|
|

Severe diabetic tractional retinal detachment one year following diagnosis of type II Diabetes Mellitus293 views44 year old man The vision in the left eye started to decline about 4 days ago. Prior to that the left eye was the better eye. He was diagnosed with diabetes a year ago.Â
VA OD: Dcc20/50-1 OS: Dcc20/125-2, TP: OD:12 OS:13
Following two surgeries in each eye, silicone oil remaining forever, monthly anti-VEGF for severe DME - BCVA OU 20/200 at 3 yearsAug 17, 2022
|
|

Severe diabetic tractional retinal detachment one year following diagnosis of type II Diabetes Mellitus290 views44 year old man The vision in the left eye started to decline about 4 days ago. Prior to that the left eye was the better eye. He was diagnosed with diabetes a year ago.Â
VA OD: Dcc20/50-1 OS: Dcc20/125-2, TP: OD:12 OS:13
Following two surgeries in each eye, silicone oil remaining forever, monthly anti-VEGF for severe DME - BCVA OU 20/200 at 3 yearsAug 17, 2022
|
|

Nonproliferative Diabetic Retinopathy and Good Vision337 views59 year old man Vision is good. Just referred following annual eye examination
PMHx: Type II DM, HTN, Cholesterol,
MEDS: Lantus, Metformin, lisinopril, atorvastatin, gabapentin
VA 20/20 OU
2+ NS OU
ObservationOct 29, 2021
|
|

Nonproliferative Diabetic Retinopathy and Good Vision288 views59 year old man Vision is good. Just referred following annual eye examination
PMHx: Type II DM, HTN, Cholesterol,
MEDS: Lantus, Metformin, lisinopril, atorvastatin, gabapentin
VA 20/20 OU
2+ NS OU
ObservationOct 29, 2021
|
|

Nonproliferative Diabetic Retinopathy and Good Vision271 views59 year old man Vision is good. Just referred following annual eye examination
PMHx: Type II DM, HTN, Cholesterol,
MEDS: Lantus, Metformin, lisinopril, atorvastatin, gabapentin
VA 20/20 OU
2+ NS OU
ObservationOct 29, 2021
|
|

Nonproliferative Diabetic Retinopathy and Good Vision313 views59 year old man Vision is good. Just referred following annual eye examination
PMHx: Type II DM, HTN, Cholesterol,
MEDS: Lantus, Metformin, lisinopril, atorvastatin, gabapentin
VA 20/20 OU
2+ NS OU
ObservationOct 29, 2021
|
|

Nonproliferative Diabetic Retinopathy and Good Vision277 views59 year old man Vision is good. Just referred following annual eye examination
PMHx: Type II DM, HTN, Cholesterol,
MEDS: Lantus, Metformin, lisinopril, atorvastatin, gabapentin
VA 20/20 OU
2+ NS OU
ObservationOct 29, 2021
|
|

Nonproliferative Diabetic Retinopathy and Good Vision261 views59 year old man Vision is good. Just referred following annual eye examination
PMHx: Type II DM, HTN, Cholesterol,
MEDS: Lantus, Metformin, lisinopril, atorvastatin, gabapentin
VA 20/20 OU
2+ NS OU
ObservationOct 29, 2021
|
|

Nonproliferative Diabetic Retinopathy and Good Vision276 views59 year old man Vision is good. Just referred following annual eye examination
PMHx: Type II DM, HTN, Cholesterol,
MEDS: Lantus, Metformin, lisinopril, atorvastatin, gabapentin
VA 20/20 OU
2+ NS OU
ObservationOct 29, 2021
|
|

Nonproliferative Diabetic Retinopathy and Good Vision241 views59 year old man Vision is good. Just referred following annual eye examination
PMHx: Type II DM, HTN, Cholesterol,
MEDS: Lantus, Metformin, lisinopril, atorvastatin, gabapentin
VA 20/20 OU
2+ NS OU
ObservationOct 29, 2021
|
|

Nonproliferative Diabetic Retinopathy and Good Vision275 views59 year old man Vision is good. Just referred following annual eye examination
PMHx: Type II DM, HTN, Cholesterol,
MEDS: Lantus, Metformin, lisinopril, atorvastatin, gabapentin
VA 20/20 OU
2+ NS OU
ObservationOct 29, 2021
|
|

Nonproliferative Diabetic Retinopathy and Good Vision264 views59 year old man Vision is good. Just referred following annual eye examination
PMHx: Type II DM, HTN, Cholesterol,
MEDS: Lantus, Metformin, lisinopril, atorvastatin, gabapentin
VA 20/20 OU
2+ NS OU
ObservationOct 29, 2021
|
|

Nonproliferative Diabetic Retinopathy and Good Vision291 views59 year old man Vision is good. Just referred following annual eye examination
PMHx: Type II DM, HTN, Cholesterol,
MEDS: Lantus, Metformin, lisinopril, atorvastatin, gabapentin
VA 20/20 OU
2+ NS OU
ObservationOct 29, 2021
|
|

Nonproliferative Diabetic Retinopathy and Good Vision285 views59 year old man Vision is good. Just referred following annual eye examination
PMHx: Type II DM, HTN, Cholesterol,
MEDS: Lantus, Metformin, lisinopril, atorvastatin, gabapentin
VA 20/20 OU
2+ NS OU
ObservationOct 29, 2021
|
|

Nonproliferative Diabetic Retinopathy and Good Vision301 views59 year old man Vision is good. Just referred following annual eye examination
PMHx: Type II DM, HTN, Cholesterol,
MEDS: Lantus, Metformin, lisinopril, atorvastatin, gabapentin
VA 20/20 OU
2+ NS OU
ObservationOct 29, 2021
|
|
| 1395 files on 14 page(s) |
2 |  |
 |
 |
 |
 |
 |
 |
 |
 |
|